膝关节半月板撕裂引起腘动脉囊性外膜疾病:对滑膜理论的支持。

IF 0.5 Q4 RADIOLOGY, NUCLEAR MEDICINE & MEDICAL IMAGING
BJR Case Reports Pub Date : 2025-03-17 eCollection Date: 2025-03-01 DOI:10.1093/bjrcr/uaaf015
Ruhaid Khurram, Rashed Al-Khudairi, Parag Jaiswal, Helen Marmery
{"title":"膝关节半月板撕裂引起腘动脉囊性外膜疾病:对滑膜理论的支持。","authors":"Ruhaid Khurram, Rashed Al-Khudairi, Parag Jaiswal, Helen Marmery","doi":"10.1093/bjrcr/uaaf015","DOIUrl":null,"url":null,"abstract":"<p><p>Cystic adventitial disease is a rare cause of calf claudication and is characterized by the development of a mucinous, cystic mass within the outer layer (adventitia) of an artery. The popliteal artery is most commonly affected. Several theories and hypotheses exist regarding the aetiology of this disorder with no clear unifying cause accepted in the literature to date. We describe a case of a 32-year-old female with a one-year history of medial right knee pain and intermittent claudication who was diagnosed with a medial meniscal tear and a large parameniscal cyst communicating with the popliteal artery adventitia. She underwent arthroscopic meniscectomy and cyst decompression and achieved an excellent functional outcome with resolution of the claudication.</p>","PeriodicalId":45216,"journal":{"name":"BJR Case Reports","volume":"11 2","pages":"uaaf015"},"PeriodicalIF":0.5000,"publicationDate":"2025-03-17","publicationTypes":"Journal Article","fieldsOfStudy":null,"isOpenAccess":false,"openAccessPdf":"https://www.ncbi.nlm.nih.gov/pmc/articles/PMC11992328/pdf/","citationCount":"0","resultStr":"{\"title\":\"Meniscal tear of the knee causing cystic adventitial disease of popliteal artery: support for the synovial theory.\",\"authors\":\"Ruhaid Khurram, Rashed Al-Khudairi, Parag Jaiswal, Helen Marmery\",\"doi\":\"10.1093/bjrcr/uaaf015\",\"DOIUrl\":null,\"url\":null,\"abstract\":\"<p><p>Cystic adventitial disease is a rare cause of calf claudication and is characterized by the development of a mucinous, cystic mass within the outer layer (adventitia) of an artery. The popliteal artery is most commonly affected. Several theories and hypotheses exist regarding the aetiology of this disorder with no clear unifying cause accepted in the literature to date. We describe a case of a 32-year-old female with a one-year history of medial right knee pain and intermittent claudication who was diagnosed with a medial meniscal tear and a large parameniscal cyst communicating with the popliteal artery adventitia. She underwent arthroscopic meniscectomy and cyst decompression and achieved an excellent functional outcome with resolution of the claudication.</p>\",\"PeriodicalId\":45216,\"journal\":{\"name\":\"BJR Case Reports\",\"volume\":\"11 2\",\"pages\":\"uaaf015\"},\"PeriodicalIF\":0.5000,\"publicationDate\":\"2025-03-17\",\"publicationTypes\":\"Journal Article\",\"fieldsOfStudy\":null,\"isOpenAccess\":false,\"openAccessPdf\":\"https://www.ncbi.nlm.nih.gov/pmc/articles/PMC11992328/pdf/\",\"citationCount\":\"0\",\"resultStr\":null,\"platform\":\"Semanticscholar\",\"paperid\":null,\"PeriodicalName\":\"BJR Case Reports\",\"FirstCategoryId\":\"1085\",\"ListUrlMain\":\"https://doi.org/10.1093/bjrcr/uaaf015\",\"RegionNum\":0,\"RegionCategory\":null,\"ArticlePicture\":[],\"TitleCN\":null,\"AbstractTextCN\":null,\"PMCID\":null,\"EPubDate\":\"2025/3/1 0:00:00\",\"PubModel\":\"eCollection\",\"JCR\":\"Q4\",\"JCRName\":\"RADIOLOGY, NUCLEAR MEDICINE & MEDICAL IMAGING\",\"Score\":null,\"Total\":0}","platform":"Semanticscholar","paperid":null,"PeriodicalName":"BJR Case Reports","FirstCategoryId":"1085","ListUrlMain":"https://doi.org/10.1093/bjrcr/uaaf015","RegionNum":0,"RegionCategory":null,"ArticlePicture":[],"TitleCN":null,"AbstractTextCN":null,"PMCID":null,"EPubDate":"2025/3/1 0:00:00","PubModel":"eCollection","JCR":"Q4","JCRName":"RADIOLOGY, NUCLEAR MEDICINE & MEDICAL IMAGING","Score":null,"Total":0}
引用次数: 0

摘要

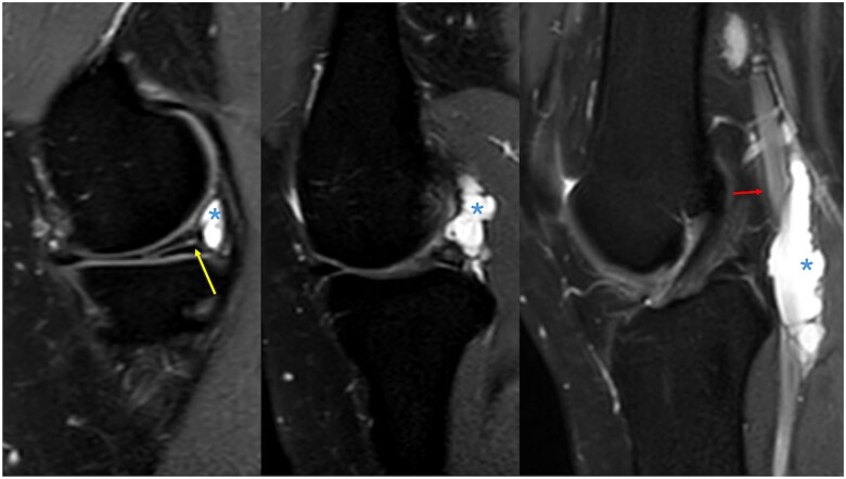
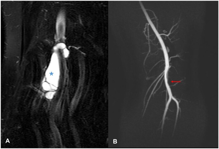
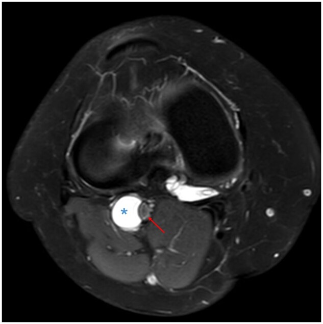
囊性外膜病是一种罕见的小腿跛行原因,其特征是在动脉外层(外膜)内发生粘液囊性肿块。腘动脉最常受影响。关于这种疾病的病因存在几种理论和假设,迄今为止文献中没有明确的统一原因。我们描述了一个32岁的女性病例,她有一年的右膝内侧疼痛和间歇性跛行史,她被诊断为内侧半月板撕裂和一个与腘动脉外膜相连的大腹膜旁囊肿。她接受了关节镜半月板切除术和囊肿减压,并获得了良好的功能结果,跛行得到了解决。
本文章由计算机程序翻译,如有差异,请以英文原文为准。

Meniscal tear of the knee causing cystic adventitial disease of popliteal artery: support for the synovial theory.

Meniscal tear of the knee causing cystic adventitial disease of popliteal artery: support for the synovial theory.

Meniscal tear of the knee causing cystic adventitial disease of popliteal artery: support for the synovial theory.

Meniscal tear of the knee causing cystic adventitial disease of popliteal artery: support for the synovial theory.

Cystic adventitial disease is a rare cause of calf claudication and is characterized by the development of a mucinous, cystic mass within the outer layer (adventitia) of an artery. The popliteal artery is most commonly affected. Several theories and hypotheses exist regarding the aetiology of this disorder with no clear unifying cause accepted in the literature to date. We describe a case of a 32-year-old female with a one-year history of medial right knee pain and intermittent claudication who was diagnosed with a medial meniscal tear and a large parameniscal cyst communicating with the popliteal artery adventitia. She underwent arthroscopic meniscectomy and cyst decompression and achieved an excellent functional outcome with resolution of the claudication.

求助全文
通过发布文献求助,成功后即可免费获取论文全文。 去求助
来源期刊
BJR Case Reports
BJR Case Reports RADIOLOGY, NUCLEAR MEDICINE & MEDICAL IMAGING-
自引率
0.00%
发文量
77
审稿时长
11 weeks
×
引用
GB/T 7714-2015
复制
MLA
复制
APA
复制
导出至
BibTeX EndNote RefMan NoteFirst NoteExpress
×
提示
您的信息不完整,为了账户安全,请先补充。
现在去补充
×
提示
您因"违规操作"
具体请查看互助需知
我知道了
×
提示
确定
请完成安全验证×
copy
已复制链接
快去分享给好友吧!
我知道了
右上角分享
点击右上角分享
0
联系我们:info@booksci.cn Book学术提供免费学术资源搜索服务,方便国内外学者检索中英文文献。致力于提供最便捷和优质的服务体验。 Copyright © 2023 布克学术 All rights reserved.
京ICP备2023020795号-1
ghs 京公网安备 11010802042870号
Book学术文献互助
Book学术文献互助群
群 号:604180095
Book学术官方微信