先前盆腔放疗后置入SpaceOAR后的直肠并发症。

IF 0.5 Q4 RADIOLOGY, NUCLEAR MEDICINE & MEDICAL IMAGING
BJR Case Reports Pub Date : 2025-03-17 eCollection Date: 2025-03-01 DOI:10.1093/bjrcr/uaaf013
Andrew H Yates, Philip J Dempsey, Jack W Power, Adam Agnew, Brian D Murphy, Calvin Coffey, Richard Moore, Mazen El Bassiouni, Michelle M J McNicholas
{"title":"先前盆腔放疗后置入SpaceOAR后的直肠并发症。","authors":"Andrew H Yates, Philip J Dempsey, Jack W Power, Adam Agnew, Brian D Murphy, Calvin Coffey, Richard Moore, Mazen El Bassiouni, Michelle M J McNicholas","doi":"10.1093/bjrcr/uaaf013","DOIUrl":null,"url":null,"abstract":"<p><p>Treating prostate cancer with radiation therapy in patients with a history of prior pelvic radiation may be limited by rectal dose constraints and the risk of rectal toxicity. Rectal spacers have been shown to improve rectal dosimetry in the treatment of prostate cancer. This study aimed to evaluate the safety and outcomes of hydrogel spacer placement, specifically SpaceOAR, between the rectum and prostate in prostate cancer patients who had previously undergone radiation therapy. In this retrospective case series, we analysed the medical records of 8 sequential patients undergoing reirradiation in the setting or prior pelvic radiation, who had received transperineal SpaceOAR placement. We documented the incidence of complications after SpaceOAR placement, before and after undergoing radiation therapy. There was a spectrum of complications in this patient cohort, ranging from pelvic pain to more severe complications such as rectal perforation abscess and fistula. Severe complications occurred in 2 of the 8 patients. Re-irradiation may increase the risk of normal tissue complications; however, hydrogel spacer placement using SpaceOAR in prostate cancer patients with prior pelvic radiation was associated with a higher rate of rectal complications than expected in a small series of patients. We urge caution when using SpaceOAR in this patient group.</p>","PeriodicalId":45216,"journal":{"name":"BJR Case Reports","volume":"11 2","pages":"uaaf013"},"PeriodicalIF":0.5000,"publicationDate":"2025-03-17","publicationTypes":"Journal Article","fieldsOfStudy":null,"isOpenAccess":false,"openAccessPdf":"https://www.ncbi.nlm.nih.gov/pmc/articles/PMC12041414/pdf/","citationCount":"0","resultStr":"{\"title\":\"Rectal complications following SpaceOAR insertion after prior pelvic radiation.\",\"authors\":\"Andrew H Yates, Philip J Dempsey, Jack W Power, Adam Agnew, Brian D Murphy, Calvin Coffey, Richard Moore, Mazen El Bassiouni, Michelle M J McNicholas\",\"doi\":\"10.1093/bjrcr/uaaf013\",\"DOIUrl\":null,\"url\":null,\"abstract\":\"<p><p>Treating prostate cancer with radiation therapy in patients with a history of prior pelvic radiation may be limited by rectal dose constraints and the risk of rectal toxicity. Rectal spacers have been shown to improve rectal dosimetry in the treatment of prostate cancer. This study aimed to evaluate the safety and outcomes of hydrogel spacer placement, specifically SpaceOAR, between the rectum and prostate in prostate cancer patients who had previously undergone radiation therapy. In this retrospective case series, we analysed the medical records of 8 sequential patients undergoing reirradiation in the setting or prior pelvic radiation, who had received transperineal SpaceOAR placement. We documented the incidence of complications after SpaceOAR placement, before and after undergoing radiation therapy. There was a spectrum of complications in this patient cohort, ranging from pelvic pain to more severe complications such as rectal perforation abscess and fistula. Severe complications occurred in 2 of the 8 patients. Re-irradiation may increase the risk of normal tissue complications; however, hydrogel spacer placement using SpaceOAR in prostate cancer patients with prior pelvic radiation was associated with a higher rate of rectal complications than expected in a small series of patients. We urge caution when using SpaceOAR in this patient group.</p>\",\"PeriodicalId\":45216,\"journal\":{\"name\":\"BJR Case Reports\",\"volume\":\"11 2\",\"pages\":\"uaaf013\"},\"PeriodicalIF\":0.5000,\"publicationDate\":\"2025-03-17\",\"publicationTypes\":\"Journal Article\",\"fieldsOfStudy\":null,\"isOpenAccess\":false,\"openAccessPdf\":\"https://www.ncbi.nlm.nih.gov/pmc/articles/PMC12041414/pdf/\",\"citationCount\":\"0\",\"resultStr\":null,\"platform\":\"Semanticscholar\",\"paperid\":null,\"PeriodicalName\":\"BJR Case Reports\",\"FirstCategoryId\":\"1085\",\"ListUrlMain\":\"https://doi.org/10.1093/bjrcr/uaaf013\",\"RegionNum\":0,\"RegionCategory\":null,\"ArticlePicture\":[],\"TitleCN\":null,\"AbstractTextCN\":null,\"PMCID\":null,\"EPubDate\":\"2025/3/1 0:00:00\",\"PubModel\":\"eCollection\",\"JCR\":\"Q4\",\"JCRName\":\"RADIOLOGY, NUCLEAR MEDICINE & MEDICAL IMAGING\",\"Score\":null,\"Total\":0}","platform":"Semanticscholar","paperid":null,"PeriodicalName":"BJR Case Reports","FirstCategoryId":"1085","ListUrlMain":"https://doi.org/10.1093/bjrcr/uaaf013","RegionNum":0,"RegionCategory":null,"ArticlePicture":[],"TitleCN":null,"AbstractTextCN":null,"PMCID":null,"EPubDate":"2025/3/1 0:00:00","PubModel":"eCollection","JCR":"Q4","JCRName":"RADIOLOGY, NUCLEAR MEDICINE & MEDICAL IMAGING","Score":null,"Total":0}
引用次数: 0

摘要

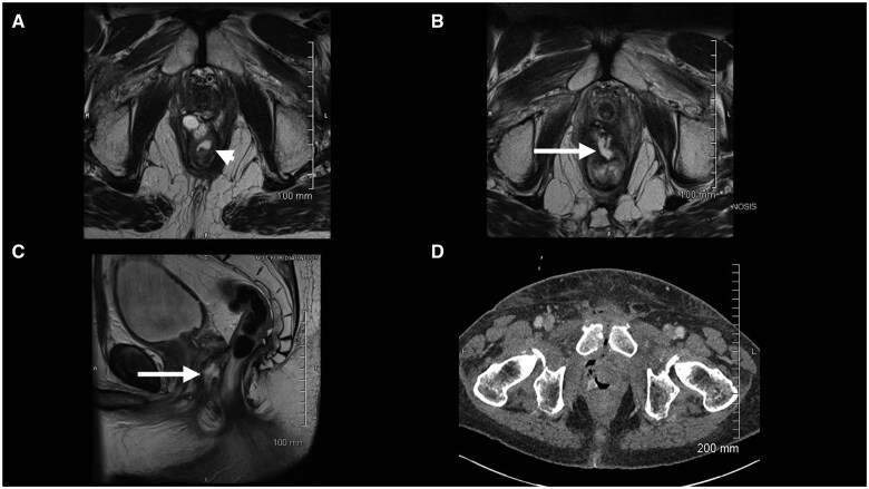
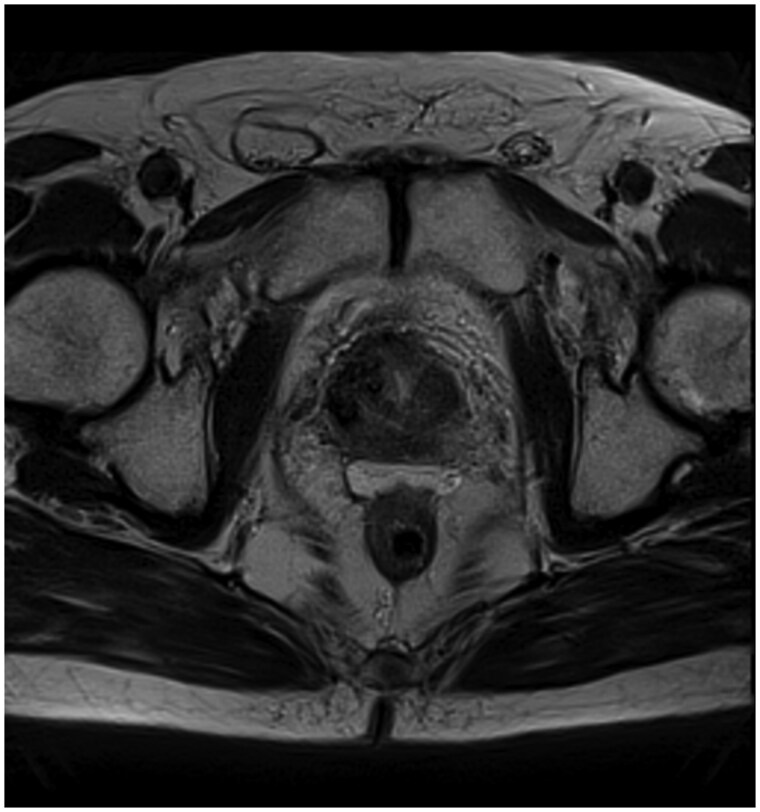
有盆腔放射史的前列腺癌患者的放射治疗可能受到直肠剂量限制和直肠毒性风险的限制。直肠间隔剂已被证明可以改善前列腺癌治疗中的直肠剂量学。本研究旨在评估先前接受过放射治疗的前列腺癌患者在直肠和前列腺之间放置水凝胶间隔物(特别是SpaceOAR)的安全性和结果。在这个回顾性的病例系列中,我们分析了8例连续接受盆腔放疗或盆腔放疗的患者的医疗记录,这些患者接受过经会阴SpaceOAR安置。我们记录了SpaceOAR放置后、放疗前后的并发症发生率。在这个患者队列中有一系列的并发症,从盆腔疼痛到更严重的并发症,如直肠穿孔、脓肿和瘘管。8例患者中2例出现严重并发症。再照射可能增加正常组织并发症的风险;然而,在一小部分患者中,使用SpaceOAR放置水凝胶垫片治疗既往盆腔放疗的前列腺癌患者,其直肠并发症的发生率高于预期。我们强烈建议在此患者组中谨慎使用SpaceOAR。
本文章由计算机程序翻译,如有差异,请以英文原文为准。

Rectal complications following SpaceOAR insertion after prior pelvic radiation.

Rectal complications following SpaceOAR insertion after prior pelvic radiation.

Rectal complications following SpaceOAR insertion after prior pelvic radiation.

Rectal complications following SpaceOAR insertion after prior pelvic radiation.

Treating prostate cancer with radiation therapy in patients with a history of prior pelvic radiation may be limited by rectal dose constraints and the risk of rectal toxicity. Rectal spacers have been shown to improve rectal dosimetry in the treatment of prostate cancer. This study aimed to evaluate the safety and outcomes of hydrogel spacer placement, specifically SpaceOAR, between the rectum and prostate in prostate cancer patients who had previously undergone radiation therapy. In this retrospective case series, we analysed the medical records of 8 sequential patients undergoing reirradiation in the setting or prior pelvic radiation, who had received transperineal SpaceOAR placement. We documented the incidence of complications after SpaceOAR placement, before and after undergoing radiation therapy. There was a spectrum of complications in this patient cohort, ranging from pelvic pain to more severe complications such as rectal perforation abscess and fistula. Severe complications occurred in 2 of the 8 patients. Re-irradiation may increase the risk of normal tissue complications; however, hydrogel spacer placement using SpaceOAR in prostate cancer patients with prior pelvic radiation was associated with a higher rate of rectal complications than expected in a small series of patients. We urge caution when using SpaceOAR in this patient group.

求助全文
通过发布文献求助,成功后即可免费获取论文全文。 去求助
来源期刊
BJR Case Reports
BJR Case Reports RADIOLOGY, NUCLEAR MEDICINE & MEDICAL IMAGING-
自引率
0.00%
发文量
77
审稿时长
11 weeks
×
引用
GB/T 7714-2015
复制
MLA
复制
APA
复制
导出至
BibTeX EndNote RefMan NoteFirst NoteExpress
×
提示
您的信息不完整,为了账户安全,请先补充。
现在去补充
×
提示
您因"违规操作"
具体请查看互助需知
我知道了
×
提示
确定
请完成安全验证×
copy
已复制链接
快去分享给好友吧!
我知道了
右上角分享
点击右上角分享
0
联系我们:info@booksci.cn Book学术提供免费学术资源搜索服务,方便国内外学者检索中英文文献。致力于提供最便捷和优质的服务体验。 Copyright © 2023 布克学术 All rights reserved.
京ICP备2023020795号-1
ghs 京公网安备 11010802042870号
Book学术文献互助
Book学术文献互助群
群 号:604180095
Book学术官方微信