苦参酚提取物可减轻戊四唑引起的瑞士小鼠癫痫发作并保护部分颞叶结构。

IF 1.2 Q4 CLINICAL NEUROLOGY
Moses B Ekong, Okokon O Bassey, Deborah I Ebeh, Godslove D Usukuma, Darlington C Samuel, Rosemary B Bassey, Aniekan I Peter, Christopher C Mbadugha, Jude E Okokon, Monday I Akpanabiatu
{"title":"苦参酚提取物可减轻戊四唑引起的瑞士小鼠癫痫发作并保护部分颞叶结构。","authors":"Moses B Ekong, Okokon O Bassey, Deborah I Ebeh, Godslove D Usukuma, Darlington C Samuel, Rosemary B Bassey, Aniekan I Peter, Christopher C Mbadugha, Jude E Okokon, Monday I Akpanabiatu","doi":"10.1186/s42494-024-00183-2","DOIUrl":null,"url":null,"abstract":"<p><strong>Background: </strong>Rauvolfia vomitoria (R. vomitoria) is a plant of economic importance due to its diverse ethnomedicinal properties, including the anticonvulsant effect. In this study, we studied the antiseizure and neuroprotective potentials of R. vomitoria extracts against pentylenetetrazol (PTZ)-induced kindling.</p><p><strong>Methods: </strong>Twenty-five adult Swiss mice (25-30 g) were assigned to five groups (n = 5): control group, PTZ treatment group, and PTZ treatment after receiving oral R. vomitoria crude extract (100 mg/kg), R. vomitoria phenol extract (50 mg/kg) or sodium valproate (15 mg/kg) every 48 h for 28 days. Seizure scores, cognitive behavioral tests including novel object test, Y-maze test, and the elevated plus maze test, as well as brain neurochemicals and histomorphology studies, were performed.</p><p><strong>Results: </strong>Compared with the control group, the PTZ group showed comparable body weight and durations in closed and open arms (P > 0.05), but preference for familiar objects, significant (P < 0.05) spontaneous alternation, increased monoamine oxidase activity and nitric oxide level, and Nissl chromatolysis in the temporal lobe structures including the cortex, hippocampus, and amygdala. R. vomitoria phenol extract pretreatment significantly (P < 0.05) reduced seizures, prevented adverse cognitive behaviors, decreased the nitric oxide level, and reduced the temporal lobe Nissl chromatolysis compared with the R. vomitoria crude extract pretreatment group and the sodium valproate pretreatment groups.</p><p><strong>Conclusions: </strong>Thus, R. vomitoria phenol extract showed promising results against seizures and potential for general brain protection, suggesting that the anticonvulsant property of R. vomitoria may be attributed to its phenol constituent. More studies are needed to delineate the mechanisms of its action.</p>","PeriodicalId":33628,"journal":{"name":"Acta Epileptologica","volume":"6 1","pages":"35"},"PeriodicalIF":1.2000,"publicationDate":"2024-11-04","publicationTypes":"Journal Article","fieldsOfStudy":null,"isOpenAccess":false,"openAccessPdf":"https://www.ncbi.nlm.nih.gov/pmc/articles/PMC11960394/pdf/","citationCount":"0","resultStr":"{\"title\":\"Rauvolfia vomitoria phenol extract relieves pentylenetetrazol-induced seizures in Swiss mice and protects some temporal lobe structures.\",\"authors\":\"Moses B Ekong, Okokon O Bassey, Deborah I Ebeh, Godslove D Usukuma, Darlington C Samuel, Rosemary B Bassey, Aniekan I Peter, Christopher C Mbadugha, Jude E Okokon, Monday I Akpanabiatu\",\"doi\":\"10.1186/s42494-024-00183-2\",\"DOIUrl\":null,\"url\":null,\"abstract\":\"<p><strong>Background: </strong>Rauvolfia vomitoria (R. vomitoria) is a plant of economic importance due to its diverse ethnomedicinal properties, including the anticonvulsant effect. In this study, we studied the antiseizure and neuroprotective potentials of R. vomitoria extracts against pentylenetetrazol (PTZ)-induced kindling.</p><p><strong>Methods: </strong>Twenty-five adult Swiss mice (25-30 g) were assigned to five groups (n = 5): control group, PTZ treatment group, and PTZ treatment after receiving oral R. vomitoria crude extract (100 mg/kg), R. vomitoria phenol extract (50 mg/kg) or sodium valproate (15 mg/kg) every 48 h for 28 days. Seizure scores, cognitive behavioral tests including novel object test, Y-maze test, and the elevated plus maze test, as well as brain neurochemicals and histomorphology studies, were performed.</p><p><strong>Results: </strong>Compared with the control group, the PTZ group showed comparable body weight and durations in closed and open arms (P > 0.05), but preference for familiar objects, significant (P < 0.05) spontaneous alternation, increased monoamine oxidase activity and nitric oxide level, and Nissl chromatolysis in the temporal lobe structures including the cortex, hippocampus, and amygdala. R. vomitoria phenol extract pretreatment significantly (P < 0.05) reduced seizures, prevented adverse cognitive behaviors, decreased the nitric oxide level, and reduced the temporal lobe Nissl chromatolysis compared with the R. vomitoria crude extract pretreatment group and the sodium valproate pretreatment groups.</p><p><strong>Conclusions: </strong>Thus, R. vomitoria phenol extract showed promising results against seizures and potential for general brain protection, suggesting that the anticonvulsant property of R. vomitoria may be attributed to its phenol constituent. More studies are needed to delineate the mechanisms of its action.</p>\",\"PeriodicalId\":33628,\"journal\":{\"name\":\"Acta Epileptologica\",\"volume\":\"6 1\",\"pages\":\"35\"},\"PeriodicalIF\":1.2000,\"publicationDate\":\"2024-11-04\",\"publicationTypes\":\"Journal Article\",\"fieldsOfStudy\":null,\"isOpenAccess\":false,\"openAccessPdf\":\"https://www.ncbi.nlm.nih.gov/pmc/articles/PMC11960394/pdf/\",\"citationCount\":\"0\",\"resultStr\":null,\"platform\":\"Semanticscholar\",\"paperid\":null,\"PeriodicalName\":\"Acta Epileptologica\",\"FirstCategoryId\":\"1085\",\"ListUrlMain\":\"https://doi.org/10.1186/s42494-024-00183-2\",\"RegionNum\":0,\"RegionCategory\":null,\"ArticlePicture\":[],\"TitleCN\":null,\"AbstractTextCN\":null,\"PMCID\":null,\"EPubDate\":\"\",\"PubModel\":\"\",\"JCR\":\"Q4\",\"JCRName\":\"CLINICAL NEUROLOGY\",\"Score\":null,\"Total\":0}","platform":"Semanticscholar","paperid":null,"PeriodicalName":"Acta Epileptologica","FirstCategoryId":"1085","ListUrlMain":"https://doi.org/10.1186/s42494-024-00183-2","RegionNum":0,"RegionCategory":null,"ArticlePicture":[],"TitleCN":null,"AbstractTextCN":null,"PMCID":null,"EPubDate":"","PubModel":"","JCR":"Q4","JCRName":"CLINICAL NEUROLOGY","Score":null,"Total":0}
引用次数: 0

摘要

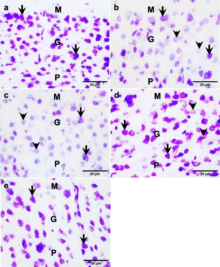
背景:呕吐草(Rauvolfia vomitoria)是一种具有重要经济价值的植物,因为它具有多种民族医药特性,包括抗惊厥作用。在本研究中,我们研究了呕吐草提取物抗癫痫和抗戊四唑(PTZ)诱导的神经保护作用。方法:25只成年瑞士小鼠(25-30 g)分为5组(n = 5):对照组、PTZ治疗组和PTZ治疗组,每48 h口服呕吐物粗提物(100 mg/kg)、呕吐物酚提取物(50 mg/kg)或丙戊酸钠(15 mg/kg),连用28 d。进行癫痫发作评分、认知行为测试(包括新物体测试、y型迷宫测试、升高正迷宫测试)以及脑神经化学和组织形态学研究。结果:与对照组相比,PTZ组大鼠的体重和闭臂和张开双臂的持续时间相当(P < 0.05),但对熟悉物体的偏好显著(P < 0.05)。结论:呕吐草酚提取物具有良好的抗癫痫效果和一般脑保护作用,提示呕吐草的抗惊厥作用可能与其酚成分有关。需要更多的研究来描述其作用机制。
本文章由计算机程序翻译,如有差异,请以英文原文为准。

Rauvolfia vomitoria phenol extract relieves pentylenetetrazol-induced seizures in Swiss mice and protects some temporal lobe structures.

Rauvolfia vomitoria phenol extract relieves pentylenetetrazol-induced seizures in Swiss mice and protects some temporal lobe structures.

Rauvolfia vomitoria phenol extract relieves pentylenetetrazol-induced seizures in Swiss mice and protects some temporal lobe structures.

Rauvolfia vomitoria phenol extract relieves pentylenetetrazol-induced seizures in Swiss mice and protects some temporal lobe structures.

Background: Rauvolfia vomitoria (R. vomitoria) is a plant of economic importance due to its diverse ethnomedicinal properties, including the anticonvulsant effect. In this study, we studied the antiseizure and neuroprotective potentials of R. vomitoria extracts against pentylenetetrazol (PTZ)-induced kindling.

Methods: Twenty-five adult Swiss mice (25-30 g) were assigned to five groups (n = 5): control group, PTZ treatment group, and PTZ treatment after receiving oral R. vomitoria crude extract (100 mg/kg), R. vomitoria phenol extract (50 mg/kg) or sodium valproate (15 mg/kg) every 48 h for 28 days. Seizure scores, cognitive behavioral tests including novel object test, Y-maze test, and the elevated plus maze test, as well as brain neurochemicals and histomorphology studies, were performed.

Results: Compared with the control group, the PTZ group showed comparable body weight and durations in closed and open arms (P > 0.05), but preference for familiar objects, significant (P < 0.05) spontaneous alternation, increased monoamine oxidase activity and nitric oxide level, and Nissl chromatolysis in the temporal lobe structures including the cortex, hippocampus, and amygdala. R. vomitoria phenol extract pretreatment significantly (P < 0.05) reduced seizures, prevented adverse cognitive behaviors, decreased the nitric oxide level, and reduced the temporal lobe Nissl chromatolysis compared with the R. vomitoria crude extract pretreatment group and the sodium valproate pretreatment groups.

Conclusions: Thus, R. vomitoria phenol extract showed promising results against seizures and potential for general brain protection, suggesting that the anticonvulsant property of R. vomitoria may be attributed to its phenol constituent. More studies are needed to delineate the mechanisms of its action.

求助全文
通过发布文献求助,成功后即可免费获取论文全文。 去求助
来源期刊
Acta Epileptologica
Acta Epileptologica Medicine-Neurology (clinical)
CiteScore
2.00
自引率
0.00%
发文量
38
审稿时长
20 weeks
×
引用
GB/T 7714-2015
复制
MLA
复制
APA
复制
导出至
BibTeX EndNote RefMan NoteFirst NoteExpress
×
提示
您的信息不完整,为了账户安全,请先补充。
现在去补充
×
提示
您因"违规操作"
具体请查看互助需知
我知道了
×
提示
确定
请完成安全验证×
copy
已复制链接
快去分享给好友吧!
我知道了
右上角分享
点击右上角分享
0
联系我们:info@booksci.cn Book学术提供免费学术资源搜索服务,方便国内外学者检索中英文文献。致力于提供最便捷和优质的服务体验。 Copyright © 2023 布克学术 All rights reserved.
京ICP备2023020795号-1
ghs 京公网安备 11010802042870号
Book学术文献互助
Book学术文献互助群
群 号:604180095
Book学术官方微信