芝麻素对肠系膜上动脉缺血大鼠回肠的保护作用。

IF 1
Hikmet Özesmer, Mehmet Tolga Kafadar, Eda Yıldızhan, Murat Akkuş
{"title":"芝麻素对肠系膜上动脉缺血大鼠回肠的保护作用。","authors":"Hikmet Özesmer, Mehmet Tolga Kafadar, Eda Yıldızhan, Murat Akkuş","doi":"10.14744/tjtes.2025.97340","DOIUrl":null,"url":null,"abstract":"<p><strong>Background: </strong>Acute mesenteric artery ischemia is recognized as a significant cause of mortality and morbidity, with its incidence increasing with age. This study aims to investigate the efficacy of sesamin in mitigating the histological, immunological, and biochemical damage associated with superior mesenteric artery ischemia and reperfusion (SMA I/R) injury in the ileum.</p><p><strong>Methods: </strong>Twenty-eight Sprague-Dawley rats were randomly assigned into four equal groups. Group I (Control group): Received no treatment. Group II (SMA I/R group): Carboxymethylcellulose was mixed with distilled water and administered orally via gavage at a dose of 1 mL/kg/dose for three weeks. At the end of the third week, SMA ischemia was induced for 60 minutes followed by 120 minutes of reperfusion. Group III (Sesamin group): Received sesamin orally at a dose of 30 mg/kg via gavage for three weeks. Group IV (Sesamin + SMA I/R group): Received sesamin followed by SMA I/R.</p><p><strong>Results: </strong>Serum malondialdehyde (MDA) levels were highest in the SMA I/R group, while lower levels were observed in the Sesamin + SMA I/R group (p<0.05). Similarly, total oxidant status (TOS) was significantly reduced in the Sesamin + SMA I/R group compared to the SMA I/R group (p<0.05). Consistent with these findings, Bax expression, a pro-apoptotic marker, was less intense in the Sesamin + SMA I/R group than in the SMA I/R group.</p><p><strong>Conclusion: </strong>Our findings indicate that the administration of sesamin prior to SMA I/R effectively reduces oxidative damage and prevents histological alterations, as demonstrated by histological, immunohistochemical, and biochemical parameters.</p>","PeriodicalId":94263,"journal":{"name":"Ulusal travma ve acil cerrahi dergisi = Turkish journal of trauma & emergency surgery : TJTES","volume":"31 4","pages":"317-323"},"PeriodicalIF":1.0000,"publicationDate":"2025-04-01","publicationTypes":"Journal Article","fieldsOfStudy":null,"isOpenAccess":false,"openAccessPdf":"https://www.ncbi.nlm.nih.gov/pmc/articles/PMC12000974/pdf/","citationCount":"0","resultStr":"{\"title\":\"The protective effects of sesamin on the ileum in superior mesenteric artery ischemia induced in rats.\",\"authors\":\"Hikmet Özesmer, Mehmet Tolga Kafadar, Eda Yıldızhan, Murat Akkuş\",\"doi\":\"10.14744/tjtes.2025.97340\",\"DOIUrl\":null,\"url\":null,\"abstract\":\"<p><strong>Background: </strong>Acute mesenteric artery ischemia is recognized as a significant cause of mortality and morbidity, with its incidence increasing with age. This study aims to investigate the efficacy of sesamin in mitigating the histological, immunological, and biochemical damage associated with superior mesenteric artery ischemia and reperfusion (SMA I/R) injury in the ileum.</p><p><strong>Methods: </strong>Twenty-eight Sprague-Dawley rats were randomly assigned into four equal groups. Group I (Control group): Received no treatment. Group II (SMA I/R group): Carboxymethylcellulose was mixed with distilled water and administered orally via gavage at a dose of 1 mL/kg/dose for three weeks. At the end of the third week, SMA ischemia was induced for 60 minutes followed by 120 minutes of reperfusion. Group III (Sesamin group): Received sesamin orally at a dose of 30 mg/kg via gavage for three weeks. Group IV (Sesamin + SMA I/R group): Received sesamin followed by SMA I/R.</p><p><strong>Results: </strong>Serum malondialdehyde (MDA) levels were highest in the SMA I/R group, while lower levels were observed in the Sesamin + SMA I/R group (p<0.05). Similarly, total oxidant status (TOS) was significantly reduced in the Sesamin + SMA I/R group compared to the SMA I/R group (p<0.05). Consistent with these findings, Bax expression, a pro-apoptotic marker, was less intense in the Sesamin + SMA I/R group than in the SMA I/R group.</p><p><strong>Conclusion: </strong>Our findings indicate that the administration of sesamin prior to SMA I/R effectively reduces oxidative damage and prevents histological alterations, as demonstrated by histological, immunohistochemical, and biochemical parameters.</p>\",\"PeriodicalId\":94263,\"journal\":{\"name\":\"Ulusal travma ve acil cerrahi dergisi = Turkish journal of trauma & emergency surgery : TJTES\",\"volume\":\"31 4\",\"pages\":\"317-323\"},\"PeriodicalIF\":1.0000,\"publicationDate\":\"2025-04-01\",\"publicationTypes\":\"Journal Article\",\"fieldsOfStudy\":null,\"isOpenAccess\":false,\"openAccessPdf\":\"https://www.ncbi.nlm.nih.gov/pmc/articles/PMC12000974/pdf/\",\"citationCount\":\"0\",\"resultStr\":null,\"platform\":\"Semanticscholar\",\"paperid\":null,\"PeriodicalName\":\"Ulusal travma ve acil cerrahi dergisi = Turkish journal of trauma & emergency surgery : TJTES\",\"FirstCategoryId\":\"1085\",\"ListUrlMain\":\"https://doi.org/10.14744/tjtes.2025.97340\",\"RegionNum\":0,\"RegionCategory\":null,\"ArticlePicture\":[],\"TitleCN\":null,\"AbstractTextCN\":null,\"PMCID\":null,\"EPubDate\":\"\",\"PubModel\":\"\",\"JCR\":\"\",\"JCRName\":\"\",\"Score\":null,\"Total\":0}","platform":"Semanticscholar","paperid":null,"PeriodicalName":"Ulusal travma ve acil cerrahi dergisi = Turkish journal of trauma & emergency surgery : TJTES","FirstCategoryId":"1085","ListUrlMain":"https://doi.org/10.14744/tjtes.2025.97340","RegionNum":0,"RegionCategory":null,"ArticlePicture":[],"TitleCN":null,"AbstractTextCN":null,"PMCID":null,"EPubDate":"","PubModel":"","JCR":"","JCRName":"","Score":null,"Total":0}
引用次数: 0

摘要

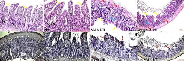
背景:急性肠系膜动脉缺血被认为是死亡率和发病率的重要原因,其发病率随着年龄的增长而增加。本研究旨在探讨芝麻素对缓解回肠肠系膜上动脉缺血再灌注(SMA I/R)损伤相关的组织学、免疫学和生化损伤的作用。方法:28只Sprague-Dawley大鼠随机分为4组。第一组(对照组):未接受任何治疗。II组(SMA I/R组):羧甲基纤维素与蒸馏水混合,灌胃给药,剂量为1ml /kg/剂,持续3周。第三周末,缺血60分钟,再灌注120分钟。第三组(芝麻素组):给予芝麻素30 mg/kg口服,灌胃3周。IV组(芝麻素+ SMA I/R组):先给予芝麻素,再给予SMA I/R。结果:SMA I/R组血清丙二醛(MDA)水平最高,而芝麻素+ SMA I/R组血清丙二醛(MDA)水平较低(结论:我们的研究结果表明,在SMA I/R之前给予芝麻素可以有效减少氧化损伤并防止组织学改变,这是组织学,免疫组织化学和生化参数所证明的。
本文章由计算机程序翻译,如有差异,请以英文原文为准。

The protective effects of sesamin on the ileum in superior mesenteric artery ischemia induced in rats.

The protective effects of sesamin on the ileum in superior mesenteric artery ischemia induced in rats.

Background: Acute mesenteric artery ischemia is recognized as a significant cause of mortality and morbidity, with its incidence increasing with age. This study aims to investigate the efficacy of sesamin in mitigating the histological, immunological, and biochemical damage associated with superior mesenteric artery ischemia and reperfusion (SMA I/R) injury in the ileum.

Methods: Twenty-eight Sprague-Dawley rats were randomly assigned into four equal groups. Group I (Control group): Received no treatment. Group II (SMA I/R group): Carboxymethylcellulose was mixed with distilled water and administered orally via gavage at a dose of 1 mL/kg/dose for three weeks. At the end of the third week, SMA ischemia was induced for 60 minutes followed by 120 minutes of reperfusion. Group III (Sesamin group): Received sesamin orally at a dose of 30 mg/kg via gavage for three weeks. Group IV (Sesamin + SMA I/R group): Received sesamin followed by SMA I/R.

Results: Serum malondialdehyde (MDA) levels were highest in the SMA I/R group, while lower levels were observed in the Sesamin + SMA I/R group (p<0.05). Similarly, total oxidant status (TOS) was significantly reduced in the Sesamin + SMA I/R group compared to the SMA I/R group (p<0.05). Consistent with these findings, Bax expression, a pro-apoptotic marker, was less intense in the Sesamin + SMA I/R group than in the SMA I/R group.

Conclusion: Our findings indicate that the administration of sesamin prior to SMA I/R effectively reduces oxidative damage and prevents histological alterations, as demonstrated by histological, immunohistochemical, and biochemical parameters.

求助全文
通过发布文献求助,成功后即可免费获取论文全文。 去求助
来源期刊
自引率
0.00%
发文量
0
×
引用
GB/T 7714-2015
复制
MLA
复制
APA
复制
导出至
BibTeX EndNote RefMan NoteFirst NoteExpress
×
提示
您的信息不完整,为了账户安全,请先补充。
现在去补充
×
提示
您因"违规操作"
具体请查看互助需知
我知道了
×
提示
确定
请完成安全验证×
copy
已复制链接
快去分享给好友吧!
我知道了
右上角分享
点击右上角分享
0
联系我们:info@booksci.cn Book学术提供免费学术资源搜索服务,方便国内外学者检索中英文文献。致力于提供最便捷和优质的服务体验。 Copyright © 2023 布克学术 All rights reserved.
京ICP备2023020795号-1
ghs 京公网安备 11010802042870号
Book学术文献互助
Book学术文献互助群
群 号:604180095
Book学术官方微信