气胸治疗的实用方法。

IF 3 Q2 RESPIRATORY SYSTEM
Pulmonary Therapy Pub Date : 2025-06-01 Epub Date: 2025-04-29 DOI:10.1007/s41030-025-00297-z
Alberto Fantin, Nadia Castaldo, Simone Salvitti, Ernesto Crisafulli, Giulia Sartori, Filippo Patrucco, Paolo Vailati, Giuseppe Morana, Vincenzo Patruno, Avinash Aujayeb
{"title":"气胸治疗的实用方法。","authors":"Alberto Fantin, Nadia Castaldo, Simone Salvitti, Ernesto Crisafulli, Giulia Sartori, Filippo Patrucco, Paolo Vailati, Giuseppe Morana, Vincenzo Patruno, Avinash Aujayeb","doi":"10.1007/s41030-025-00297-z","DOIUrl":null,"url":null,"abstract":"<p><p>Pneumothorax, defined by the presence of air in the pleural cavity, is a potentially life-threatening condition requiring prompt diagnosis and tailored management. Rapid and accurate diagnosis is primarily achieved through radiological imaging. Management strategies for pneumothorax vary according to severity and aetiology. Conservative care, involving vigilant observation and supplemental oxygen, is suitable for small, stable pneumothoraxes. Needle aspiration can be an effective first-line treatment, although it may fail in some instances, necessitating escalation. Ambulatory devices facilitate outpatient care and reduce the length of hospital stays. Chest drainage remains a cornerstone therapy. Indwelling pleural catheters may be implemented in selective cases. Endobronchial treatments, including valves and spigots, offer minimally invasive options for reducing the flow of air leaks. Medical thoracoscopy with talc poudrage provides both diagnostic and therapeutic benefits in patients unsuitable for surgery, while surgical intervention represents the gold standard for definitive treatment. Adjunctive interventions include talc slurry pleurodesis and autologous blood patch pleurodesis for patients unsuitable for surgery. Effective management necessitates individualized treatment plans, incorporating risk factor modification, pain management, and physiotherapy. This practical approach aims to update the reader on the treatment modalities that can be used in all forms of pneumothorax in clinical practice.</p>","PeriodicalId":20919,"journal":{"name":"Pulmonary Therapy","volume":" ","pages":"327-346"},"PeriodicalIF":3.0000,"publicationDate":"2025-06-01","publicationTypes":"Journal Article","fieldsOfStudy":null,"isOpenAccess":false,"openAccessPdf":"https://www.ncbi.nlm.nih.gov/pmc/articles/PMC12102440/pdf/","citationCount":"0","resultStr":"{\"title\":\"A Practical Approach to Pneumothorax Management.\",\"authors\":\"Alberto Fantin, Nadia Castaldo, Simone Salvitti, Ernesto Crisafulli, Giulia Sartori, Filippo Patrucco, Paolo Vailati, Giuseppe Morana, Vincenzo Patruno, Avinash Aujayeb\",\"doi\":\"10.1007/s41030-025-00297-z\",\"DOIUrl\":null,\"url\":null,\"abstract\":\"<p><p>Pneumothorax, defined by the presence of air in the pleural cavity, is a potentially life-threatening condition requiring prompt diagnosis and tailored management. Rapid and accurate diagnosis is primarily achieved through radiological imaging. Management strategies for pneumothorax vary according to severity and aetiology. Conservative care, involving vigilant observation and supplemental oxygen, is suitable for small, stable pneumothoraxes. Needle aspiration can be an effective first-line treatment, although it may fail in some instances, necessitating escalation. Ambulatory devices facilitate outpatient care and reduce the length of hospital stays. Chest drainage remains a cornerstone therapy. Indwelling pleural catheters may be implemented in selective cases. Endobronchial treatments, including valves and spigots, offer minimally invasive options for reducing the flow of air leaks. Medical thoracoscopy with talc poudrage provides both diagnostic and therapeutic benefits in patients unsuitable for surgery, while surgical intervention represents the gold standard for definitive treatment. Adjunctive interventions include talc slurry pleurodesis and autologous blood patch pleurodesis for patients unsuitable for surgery. Effective management necessitates individualized treatment plans, incorporating risk factor modification, pain management, and physiotherapy. This practical approach aims to update the reader on the treatment modalities that can be used in all forms of pneumothorax in clinical practice.</p>\",\"PeriodicalId\":20919,\"journal\":{\"name\":\"Pulmonary Therapy\",\"volume\":\" \",\"pages\":\"327-346\"},\"PeriodicalIF\":3.0000,\"publicationDate\":\"2025-06-01\",\"publicationTypes\":\"Journal Article\",\"fieldsOfStudy\":null,\"isOpenAccess\":false,\"openAccessPdf\":\"https://www.ncbi.nlm.nih.gov/pmc/articles/PMC12102440/pdf/\",\"citationCount\":\"0\",\"resultStr\":null,\"platform\":\"Semanticscholar\",\"paperid\":null,\"PeriodicalName\":\"Pulmonary Therapy\",\"FirstCategoryId\":\"1085\",\"ListUrlMain\":\"https://doi.org/10.1007/s41030-025-00297-z\",\"RegionNum\":0,\"RegionCategory\":null,\"ArticlePicture\":[],\"TitleCN\":null,\"AbstractTextCN\":null,\"PMCID\":null,\"EPubDate\":\"2025/4/29 0:00:00\",\"PubModel\":\"Epub\",\"JCR\":\"Q2\",\"JCRName\":\"RESPIRATORY SYSTEM\",\"Score\":null,\"Total\":0}","platform":"Semanticscholar","paperid":null,"PeriodicalName":"Pulmonary Therapy","FirstCategoryId":"1085","ListUrlMain":"https://doi.org/10.1007/s41030-025-00297-z","RegionNum":0,"RegionCategory":null,"ArticlePicture":[],"TitleCN":null,"AbstractTextCN":null,"PMCID":null,"EPubDate":"2025/4/29 0:00:00","PubModel":"Epub","JCR":"Q2","JCRName":"RESPIRATORY SYSTEM","Score":null,"Total":0}
引用次数: 0

摘要

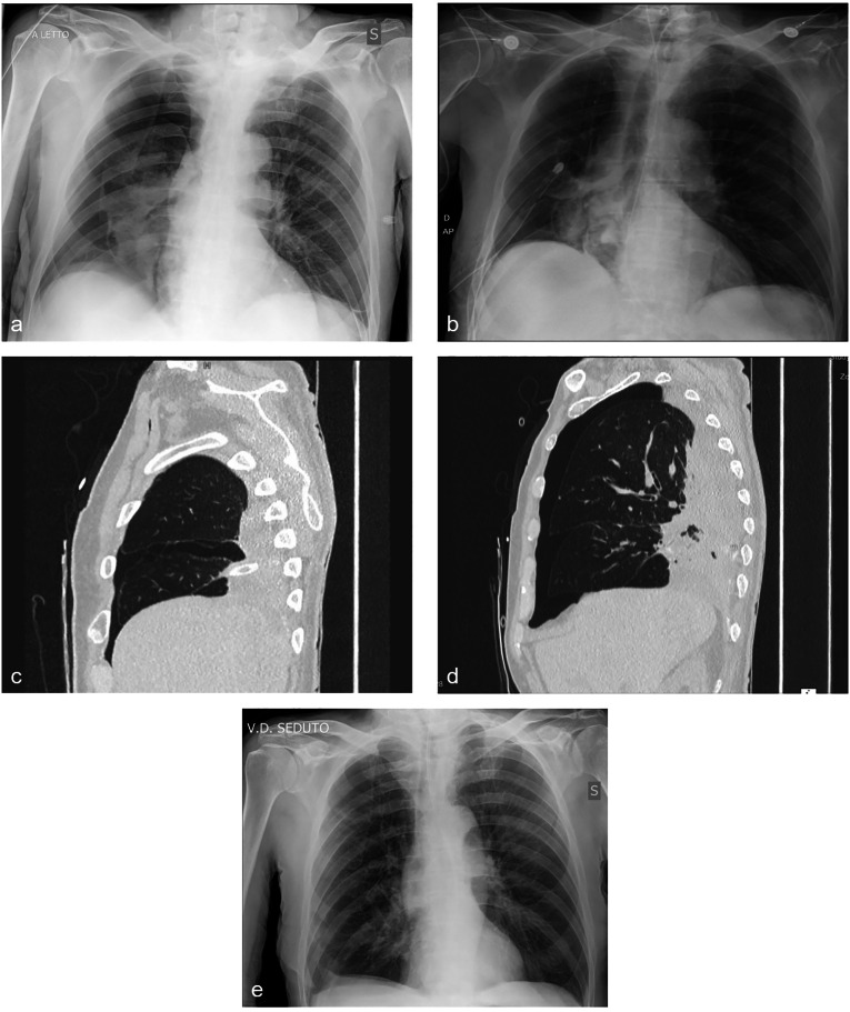
气胸的定义是胸膜腔中存在空气,是一种潜在的危及生命的疾病,需要及时诊断和量身定制的治疗。快速准确的诊断主要是通过放射成像来实现的。气胸的治疗策略因其严重程度和病因而异。保守护理,包括警惕观察和补充氧气,适用于小的,稳定的气胸。针吸可能是有效的一线治疗,尽管在某些情况下可能会失败,需要升级。流动设备方便门诊护理,缩短住院时间。胸腔引流仍然是一种基础疗法。在选择性病例中可实施留置胸膜导管。支气管内治疗,包括瓣膜和导管,为减少空气泄漏的流量提供了微创选择。医学胸腔镜与滑石粉粉末提供诊断和治疗的好处,病人不适合手术,而手术干预是最终治疗的黄金标准。对于不适合手术的患者,辅助干预包括滑石粉浆液胸膜固定术和自体血贴片胸膜固定术。有效的管理需要个性化的治疗计划,包括风险因素调整、疼痛管理和物理治疗。这种实用的方法旨在更新读者的治疗方式,可用于所有形式的气胸在临床实践中。
本文章由计算机程序翻译,如有差异,请以英文原文为准。

A Practical Approach to Pneumothorax Management.

A Practical Approach to Pneumothorax Management.

A Practical Approach to Pneumothorax Management.

A Practical Approach to Pneumothorax Management.

Pneumothorax, defined by the presence of air in the pleural cavity, is a potentially life-threatening condition requiring prompt diagnosis and tailored management. Rapid and accurate diagnosis is primarily achieved through radiological imaging. Management strategies for pneumothorax vary according to severity and aetiology. Conservative care, involving vigilant observation and supplemental oxygen, is suitable for small, stable pneumothoraxes. Needle aspiration can be an effective first-line treatment, although it may fail in some instances, necessitating escalation. Ambulatory devices facilitate outpatient care and reduce the length of hospital stays. Chest drainage remains a cornerstone therapy. Indwelling pleural catheters may be implemented in selective cases. Endobronchial treatments, including valves and spigots, offer minimally invasive options for reducing the flow of air leaks. Medical thoracoscopy with talc poudrage provides both diagnostic and therapeutic benefits in patients unsuitable for surgery, while surgical intervention represents the gold standard for definitive treatment. Adjunctive interventions include talc slurry pleurodesis and autologous blood patch pleurodesis for patients unsuitable for surgery. Effective management necessitates individualized treatment plans, incorporating risk factor modification, pain management, and physiotherapy. This practical approach aims to update the reader on the treatment modalities that can be used in all forms of pneumothorax in clinical practice.

求助全文
通过发布文献求助,成功后即可免费获取论文全文。 去求助
来源期刊
Pulmonary Therapy
Pulmonary Therapy Medicine-Pulmonary and Respiratory Medicine
CiteScore
5.20
自引率
3.30%
发文量
24
审稿时长
6 weeks
期刊介绍: Aims and Scope Pulmonary Therapy is an international, open access, peer-reviewed (single-blind), and rapid publication journal. The scope of the journal is broad and will consider all scientifically sound research from pre-clinical, clinical (all phases), observational, real-world, and health outcomes research around the use of pulmonary therapies, devices, and surgical techniques. Areas of focus include, but are not limited to: asthma; chronic obstructive pulmonary disease; idiopathic pulmonary fibrosis; pulmonary hypertension; cystic fibrosis; lung cancer; respiratory tract disorders; allergic rhinitis and other respiratory allergies; influenza, pneumococcal infection, respiratory syncytial virus and other respiratory infections; and inhalers and other device therapies. The journal is of interest to a broad audience of pharmaceutical and healthcare professionals and publishes original research, reviews, case reports/series, trial protocols and short communications such as commentaries and editorials. Pulmonary Therapy will consider all scientifically sound research be it positive, confirmatory or negative data. Submissions are welcomed whether they relate to an international and/or a country-specific audience, something that is crucially important when researchers are trying to target more specific patient populations. This inclusive approach allows the journal to assist in the dissemination of quality research, which may be considered of insufficient interest by other journals. Rapid Publication The journal’s publication timelines aim for a rapid peer review of 2 weeks. If an article is accepted it will be published 3–4 weeks from acceptance. The rapid timelines are achieved through the combination of a dedicated in-house editorial team, who manage article workflow, and an extensive Editorial and Advisory Board who assist with peer review. This allows the journal to support the rapid dissemination of research, whilst still providing robust peer review. Combined with the journal’s open access model this allows for the rapid, efficient communication of the latest research and reviews, fostering the advancement of pulmonary therapies. Open Access All articles published by Pulmonary Therapy are open access. Personal Service The journal’s dedicated in-house editorial team offer a personal “concierge service” meaning authors will always have an editorial contact able to update them on the status of their manuscript. The editorial team check all manuscripts to ensure that articles conform to the most recent COPE, GPP and ICMJE publishing guidelines. This supports the publication of ethically sound and transparent research. Digital Features and Plain Language Summaries Pulmonary Therapy offers a range of additional features designed to increase the visibility, readership and educational value of the journal’s content. Each article is accompanied by key summary points, giving a time-efficient overview of the content to a wide readership. Articles may be accompanied by plain language summaries to assist readers who have some knowledge of, but not in-depth expertise in, the area to understand the scientific content and overall implications of the article. The journal also provides the option to include various types of digital features including animated abstracts, video abstracts, slide decks, audio slides, instructional videos, infographics, podcasts and animations. All additional features are peer reviewed to the same high standard as the article itself. If you consider that your paper would benefit from the inclusion of a digital feature, please let us know. Our editorial team are able to create high-quality slide decks and infographics in-house, and video abstracts through our partner Research Square, and would be happy to assist in any way we can. For further information about digital features, please contact the journal editor (see ‘Contact the Journal’ for email address), and see the ‘Guidelines for digital features and plain language summaries’ document under ‘Submission guidelines’. For examples of digital features please visit our showcase page https://springerhealthcare.com/expertise/publishing-digital-features/ Publication Fees Upon acceptance of an article, authors will be required to pay the mandatory Rapid Service Fee of €4500/ $5100/ £3650. The journal will consider fee discounts and waivers for developing countries and this is decided on a case by case basis. Peer Review Process Upon submission, manuscripts are assessed by the editorial team to ensure they fit within the aims and scope of the journal and are also checked for plagiarism. All suitable submissions are then subject to a comprehensive single-blind peer review. Reviewers are selected based on their relevant expertise and publication history in the subject area. The journal has an extensive pool of editorial and advisory board members who have been selected to assist with peer review based on the afore-mentioned criteria. At least two extensive reviews are required to make the editorial decision, with the exception of some article types such as Commentaries, Editorials, and Letters which are generally reviewed by one member of the Editorial Board. Where reviewer recommendations are conflicted, the editorial board will be contacted for further advice and a presiding decision. Manuscripts are then either accepted, rejected or authors are required to make major or minor revisions (both reviewer comments and editorial comments may need to be addressed). Once a revised manuscript is re-submitted, it is assessed along with the responses to reviewer comments and if it has been adequately revised it will be accepted for publication. Accepted manuscripts are then copyedited and typeset by the production team before online publication. Appeals against decisions following peer review are considered on a case-by-case basis and should be sent to the journal editor. Preprints We encourage posting of preprints of primary research manuscripts on preprint servers, authors’ or institutional websites, and open communications between researchers whether on community preprint servers or preprint commenting platforms. Posting of preprints is not considered prior publication and will not jeopardize consideration in our journals. Authors should disclose details of preprint posting during the submission process or at any other point during consideration in one of our journals. Once the manuscript is published, it is the author’s responsibility to ensure that the preprint record is updated with a publication reference, including the DOI and a URL link to the published version of the article on the journal website. Please follow the link for further information on preprint sharing: https://www.springer.com/gp/authors-editors/journal-author/journal-author-helpdesk/submission/1302#c16721550 Copyright Pulmonary Therapy''s content is published open access under the Creative Commons Attribution-Noncommercial License, which allows users to read, copy, distribute, and make derivative works for non-commercial purposes from the material, as long as the author of the original work is cited. The author assigns the exclusive right to any commercial use of the article to Springer. For more information about the Creative Commons Attribution-Noncommercial License, click here: http://creativecommons.org/licenses/by-nc/4.0. Contact For more information about the journal, including pre-submission enquiries, please contact christopher.vautrinot@springer.com.
×
引用
GB/T 7714-2015
复制
MLA
复制
APA
复制
导出至
BibTeX EndNote RefMan NoteFirst NoteExpress
×
提示
您的信息不完整,为了账户安全,请先补充。
现在去补充
×
提示
您因"违规操作"
具体请查看互助需知
我知道了
×
提示
确定
请完成安全验证×
copy
已复制链接
快去分享给好友吧!
我知道了
右上角分享
点击右上角分享
0
联系我们:info@booksci.cn Book学术提供免费学术资源搜索服务,方便国内外学者检索中英文文献。致力于提供最便捷和优质的服务体验。 Copyright © 2023 布克学术 All rights reserved.
京ICP备2023020795号-1
ghs 京公网安备 11010802042870号
Book学术文献互助
Book学术文献互助群
群 号:604180095
Book学术官方微信