促甲状腺激素/生长激素共分泌垂体腺瘤促甲状腺激素水平正常。

JCEM case reports Pub Date : 2025-04-11 eCollection Date: 2025-05-01 DOI:10.1210/jcemcr/luaf063
Feyza Erenler, Benjamin Katcher, Van Phan, Knarik Arkun, Mina G Safain
{"title":"促甲状腺激素/生长激素共分泌垂体腺瘤促甲状腺激素水平正常。","authors":"Feyza Erenler, Benjamin Katcher, Van Phan, Knarik Arkun, Mina G Safain","doi":"10.1210/jcemcr/luaf063","DOIUrl":null,"url":null,"abstract":"<p><p>Thyroid-stimulating hormone (TSH; thyrotropin) adenoma is a rare pituitary tumor that can be missed due to its subtle symptoms. We are reporting a 67-year-old man with history of ventricular fibrillation on amiodarone who presented with acute headache and right third cranial nerve palsy. His computed tomography (CT) scan revealed a 2.2-cm suprasellar mass, consistent with pituitary apoplexy, and he underwent pituitary tumor resection. Preoperational hormonal workup revealed TSH 0.25 mIU/mL (0.25 IU/L) (normal reference range: 0.35-4.94 mIU/mL; 0.35-4.94 IU/L), free thyroxine (T4) 3.17 ng/dL (40.80 pmol/L) (normal reference range: 0.7-1.48 ng/dL; 9.78-19.05 pmol/L), and total triiodothyronine (T3) 91 ng/dL (140 nmol/L) (normal reference range: 58-159 ng/dL; 89-244 nmol/L). Initial differential diagnoses included TSH-producing pituitary adenoma (TSH-oma) and amiodarone-induced thyrotoxicosis. His free T4 declined significantly postoperatively, favoring a TSH-oma diagnosis. The pathology report showed a TSH and growth hormone (GH) cosecreting adenoma. Furthermore, he had a normal thyroid uptake scan, as well as negative thyroid antibodies, making primary thyroid diseases less likely. A high free T4 with normal TSH 3 years ago, prior to the start of amiodarone, suggested a long disease duration. This case demonstrates challenges in diagnosing TSH-oma, especially in patients with normal TSH and concurrent amiodarone use.</p>","PeriodicalId":73540,"journal":{"name":"JCEM case reports","volume":"3 5","pages":"luaf063"},"PeriodicalIF":0.0000,"publicationDate":"2025-04-11","publicationTypes":"Journal Article","fieldsOfStudy":null,"isOpenAccess":false,"openAccessPdf":"https://www.ncbi.nlm.nih.gov/pmc/articles/PMC11986576/pdf/","citationCount":"0","resultStr":"{\"title\":\"Thyroid-Stimulating Hormone/Growth Hormone Cosecreting Pituitary Adenoma With Normal Thyroid-Stimulating Hormone Level.\",\"authors\":\"Feyza Erenler, Benjamin Katcher, Van Phan, Knarik Arkun, Mina G Safain\",\"doi\":\"10.1210/jcemcr/luaf063\",\"DOIUrl\":null,\"url\":null,\"abstract\":\"<p><p>Thyroid-stimulating hormone (TSH; thyrotropin) adenoma is a rare pituitary tumor that can be missed due to its subtle symptoms. We are reporting a 67-year-old man with history of ventricular fibrillation on amiodarone who presented with acute headache and right third cranial nerve palsy. His computed tomography (CT) scan revealed a 2.2-cm suprasellar mass, consistent with pituitary apoplexy, and he underwent pituitary tumor resection. Preoperational hormonal workup revealed TSH 0.25 mIU/mL (0.25 IU/L) (normal reference range: 0.35-4.94 mIU/mL; 0.35-4.94 IU/L), free thyroxine (T4) 3.17 ng/dL (40.80 pmol/L) (normal reference range: 0.7-1.48 ng/dL; 9.78-19.05 pmol/L), and total triiodothyronine (T3) 91 ng/dL (140 nmol/L) (normal reference range: 58-159 ng/dL; 89-244 nmol/L). Initial differential diagnoses included TSH-producing pituitary adenoma (TSH-oma) and amiodarone-induced thyrotoxicosis. His free T4 declined significantly postoperatively, favoring a TSH-oma diagnosis. The pathology report showed a TSH and growth hormone (GH) cosecreting adenoma. Furthermore, he had a normal thyroid uptake scan, as well as negative thyroid antibodies, making primary thyroid diseases less likely. A high free T4 with normal TSH 3 years ago, prior to the start of amiodarone, suggested a long disease duration. This case demonstrates challenges in diagnosing TSH-oma, especially in patients with normal TSH and concurrent amiodarone use.</p>\",\"PeriodicalId\":73540,\"journal\":{\"name\":\"JCEM case reports\",\"volume\":\"3 5\",\"pages\":\"luaf063\"},\"PeriodicalIF\":0.0000,\"publicationDate\":\"2025-04-11\",\"publicationTypes\":\"Journal Article\",\"fieldsOfStudy\":null,\"isOpenAccess\":false,\"openAccessPdf\":\"https://www.ncbi.nlm.nih.gov/pmc/articles/PMC11986576/pdf/\",\"citationCount\":\"0\",\"resultStr\":null,\"platform\":\"Semanticscholar\",\"paperid\":null,\"PeriodicalName\":\"JCEM case reports\",\"FirstCategoryId\":\"1085\",\"ListUrlMain\":\"https://doi.org/10.1210/jcemcr/luaf063\",\"RegionNum\":0,\"RegionCategory\":null,\"ArticlePicture\":[],\"TitleCN\":null,\"AbstractTextCN\":null,\"PMCID\":null,\"EPubDate\":\"2025/5/1 0:00:00\",\"PubModel\":\"eCollection\",\"JCR\":\"\",\"JCRName\":\"\",\"Score\":null,\"Total\":0}","platform":"Semanticscholar","paperid":null,"PeriodicalName":"JCEM case reports","FirstCategoryId":"1085","ListUrlMain":"https://doi.org/10.1210/jcemcr/luaf063","RegionNum":0,"RegionCategory":null,"ArticlePicture":[],"TitleCN":null,"AbstractTextCN":null,"PMCID":null,"EPubDate":"2025/5/1 0:00:00","PubModel":"eCollection","JCR":"","JCRName":"","Score":null,"Total":0}
引用次数: 0

摘要

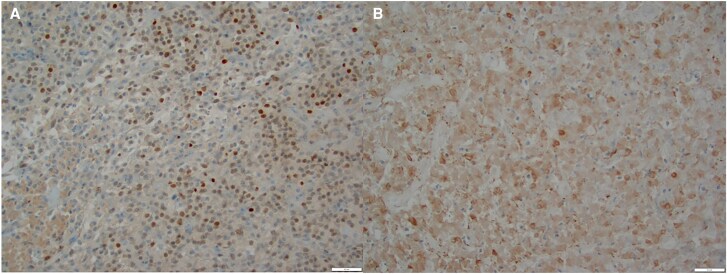
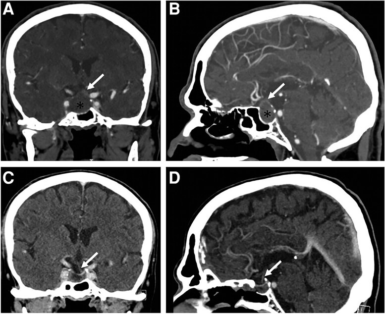
促甲状腺激素(TSH;促甲状腺素腺瘤是一种罕见的垂体肿瘤,因其症状不易察觉而易被漏诊。我们报告一位67岁的男性患者,因服用胺碘酮而有心室颤动史,并表现为急性头痛和右第三脑神经麻痹。他的计算机断层扫描(CT)显示一个2.2厘米的鞍上肿块,符合垂体中风,他接受了垂体肿瘤切除术。术前激素检查显示TSH 0.25 mIU/mL (0.25 IU/L)(正常参考范围:0.35-4.94 mIU/mL;0.35-4.94 IU/L),游离甲状腺素(T4) 3.17 ng/dL (40.80 pmol/L)(正常参考范围:0.7-1.48 ng/dL;9.78-19.05 pmol/L),总三碘甲状腺原氨酸(T3) 91 ng/dL (140 nmol/L)(正常参考范围:58-159 ng/dL;89 - 244 nmol / L)。最初的鉴别诊断包括产生tsh的垂体腺瘤(TSH-oma)和胺碘酮诱导的甲状腺毒症。术后游离T4明显下降,有利于tsh瘤的诊断。病理报告显示为TSH和生长激素(GH)共分泌腺瘤。此外,他的甲状腺摄取扫描正常,甲状腺抗体阴性,原发性甲状腺疾病的可能性较小。3年前,在开始使用胺碘酮之前,游离T4高,TSH正常,提示病程长。本病例显示了诊断TSH瘤的挑战,特别是在TSH正常且同时使用胺碘酮的患者中。
本文章由计算机程序翻译,如有差异,请以英文原文为准。

Thyroid-Stimulating Hormone/Growth Hormone Cosecreting Pituitary Adenoma With Normal Thyroid-Stimulating Hormone Level.

Thyroid-Stimulating Hormone/Growth Hormone Cosecreting Pituitary Adenoma With Normal Thyroid-Stimulating Hormone Level.

Thyroid-Stimulating Hormone/Growth Hormone Cosecreting Pituitary Adenoma With Normal Thyroid-Stimulating Hormone Level.

Thyroid-stimulating hormone (TSH; thyrotropin) adenoma is a rare pituitary tumor that can be missed due to its subtle symptoms. We are reporting a 67-year-old man with history of ventricular fibrillation on amiodarone who presented with acute headache and right third cranial nerve palsy. His computed tomography (CT) scan revealed a 2.2-cm suprasellar mass, consistent with pituitary apoplexy, and he underwent pituitary tumor resection. Preoperational hormonal workup revealed TSH 0.25 mIU/mL (0.25 IU/L) (normal reference range: 0.35-4.94 mIU/mL; 0.35-4.94 IU/L), free thyroxine (T4) 3.17 ng/dL (40.80 pmol/L) (normal reference range: 0.7-1.48 ng/dL; 9.78-19.05 pmol/L), and total triiodothyronine (T3) 91 ng/dL (140 nmol/L) (normal reference range: 58-159 ng/dL; 89-244 nmol/L). Initial differential diagnoses included TSH-producing pituitary adenoma (TSH-oma) and amiodarone-induced thyrotoxicosis. His free T4 declined significantly postoperatively, favoring a TSH-oma diagnosis. The pathology report showed a TSH and growth hormone (GH) cosecreting adenoma. Furthermore, he had a normal thyroid uptake scan, as well as negative thyroid antibodies, making primary thyroid diseases less likely. A high free T4 with normal TSH 3 years ago, prior to the start of amiodarone, suggested a long disease duration. This case demonstrates challenges in diagnosing TSH-oma, especially in patients with normal TSH and concurrent amiodarone use.

求助全文
通过发布文献求助,成功后即可免费获取论文全文。 去求助
来源期刊
自引率
0.00%
发文量
0
×
引用
GB/T 7714-2015
复制
MLA
复制
APA
复制
导出至
BibTeX EndNote RefMan NoteFirst NoteExpress
×
提示
您的信息不完整,为了账户安全,请先补充。
现在去补充
×
提示
您因"违规操作"
具体请查看互助需知
我知道了
×
提示
确定
请完成安全验证×
copy
已复制链接
快去分享给好友吧!
我知道了
右上角分享
点击右上角分享
0
联系我们:info@booksci.cn Book学术提供免费学术资源搜索服务,方便国内外学者检索中英文文献。致力于提供最便捷和优质的服务体验。 Copyright © 2023 布克学术 All rights reserved.
京ICP备2023020795号-1
ghs 京公网安备 11010802042870号
Book学术文献互助
Book学术文献互助群
群 号:604180095
Book学术官方微信