近端部分腓骨切除术与胫骨高位截骨术:早期膝关节骨关节炎的比较结果。

IF 1.9 Q2 ORTHOPEDICS
Emre Gultac, Fatih İlker Can, Nevres Hürriyet Aydoğan
{"title":"近端部分腓骨切除术与胫骨高位截骨术:早期膝关节骨关节炎的比较结果。","authors":"Emre Gultac, Fatih İlker Can, Nevres Hürriyet Aydoğan","doi":"10.52312/jdrs.2025.2107","DOIUrl":null,"url":null,"abstract":"<p><strong>Objectives: </strong>This study aims to compare the clinical and radiographic outcomes of proximal partial fibular resection (PPFR) and opening-wedge high tibial osteotomy (OWHTO) in middle-aged patients with early-stage medial compartment knee osteoarthritis (OA).</p><p><strong>Patients and methods: </strong>Between January 2017 and January 2023, a total of 90 patients (47 males, 43 females; mean age: 50.9±5.8 years; range, 40 to 59 years) who underwent PPFR or OWHTO for early-stage medial compartment knee OA were retrospectively analyzed. The patients were divided into two groups based on the surgical technique: Group 1 (n=48) included those who underwent PPFR, while Group 2 (n=42) comprised those treated with OWHTO. Clinical outcomes were evaluated using the Visual Analog Scale (VAS) and the Western Ontario and McMaster Universities Osteoarthritis Index (WOMAC). Radiographic measurements included femorotibial angle (FTA) and lateral joint space (LJS).</p><p><strong>Results: </strong>Both procedures demonstrated a significant improvement in function and pain. The mean postoperative FTA change was greater in the OWHTO group (7.69±1.35°) compared to the PPFR group (2.87±1.24°, p=0.001). The mean LJS changes were not statistically significant between the groups. Postoperative WOMAC and VAS scores improved in both groups, indicating no significant difference. Minor complications included transient peroneal nerve symptoms in the PPFR group, which resolved spontaneously at three months postoperatively.</p><p><strong>Conclusion: </strong>Both PPFR and OWHTO are effective surgical options for early-stage medial compartment knee OA. While OWHTO offers superior mechanical correction, PPFR provides a less invasive alternative with similar functional outcomes.</p>","PeriodicalId":73560,"journal":{"name":"Joint diseases and related surgery","volume":"36 2","pages":"266-271"},"PeriodicalIF":1.9000,"publicationDate":"2025-02-07","publicationTypes":"Journal Article","fieldsOfStudy":null,"isOpenAccess":false,"openAccessPdf":"https://www.ncbi.nlm.nih.gov/pmc/articles/PMC12086477/pdf/","citationCount":"0","resultStr":"{\"title\":\"Proximal partial fibular resection versus high tibial osteotomy: Comparative outcomes in early-stage knee osteoarthritis.\",\"authors\":\"Emre Gultac, Fatih İlker Can, Nevres Hürriyet Aydoğan\",\"doi\":\"10.52312/jdrs.2025.2107\",\"DOIUrl\":null,\"url\":null,\"abstract\":\"<p><strong>Objectives: </strong>This study aims to compare the clinical and radiographic outcomes of proximal partial fibular resection (PPFR) and opening-wedge high tibial osteotomy (OWHTO) in middle-aged patients with early-stage medial compartment knee osteoarthritis (OA).</p><p><strong>Patients and methods: </strong>Between January 2017 and January 2023, a total of 90 patients (47 males, 43 females; mean age: 50.9±5.8 years; range, 40 to 59 years) who underwent PPFR or OWHTO for early-stage medial compartment knee OA were retrospectively analyzed. The patients were divided into two groups based on the surgical technique: Group 1 (n=48) included those who underwent PPFR, while Group 2 (n=42) comprised those treated with OWHTO. Clinical outcomes were evaluated using the Visual Analog Scale (VAS) and the Western Ontario and McMaster Universities Osteoarthritis Index (WOMAC). Radiographic measurements included femorotibial angle (FTA) and lateral joint space (LJS).</p><p><strong>Results: </strong>Both procedures demonstrated a significant improvement in function and pain. The mean postoperative FTA change was greater in the OWHTO group (7.69±1.35°) compared to the PPFR group (2.87±1.24°, p=0.001). The mean LJS changes were not statistically significant between the groups. Postoperative WOMAC and VAS scores improved in both groups, indicating no significant difference. Minor complications included transient peroneal nerve symptoms in the PPFR group, which resolved spontaneously at three months postoperatively.</p><p><strong>Conclusion: </strong>Both PPFR and OWHTO are effective surgical options for early-stage medial compartment knee OA. While OWHTO offers superior mechanical correction, PPFR provides a less invasive alternative with similar functional outcomes.</p>\",\"PeriodicalId\":73560,\"journal\":{\"name\":\"Joint diseases and related surgery\",\"volume\":\"36 2\",\"pages\":\"266-271\"},\"PeriodicalIF\":1.9000,\"publicationDate\":\"2025-02-07\",\"publicationTypes\":\"Journal Article\",\"fieldsOfStudy\":null,\"isOpenAccess\":false,\"openAccessPdf\":\"https://www.ncbi.nlm.nih.gov/pmc/articles/PMC12086477/pdf/\",\"citationCount\":\"0\",\"resultStr\":null,\"platform\":\"Semanticscholar\",\"paperid\":null,\"PeriodicalName\":\"Joint diseases and related surgery\",\"FirstCategoryId\":\"1085\",\"ListUrlMain\":\"https://doi.org/10.52312/jdrs.2025.2107\",\"RegionNum\":0,\"RegionCategory\":null,\"ArticlePicture\":[],\"TitleCN\":null,\"AbstractTextCN\":null,\"PMCID\":null,\"EPubDate\":\"\",\"PubModel\":\"\",\"JCR\":\"Q2\",\"JCRName\":\"ORTHOPEDICS\",\"Score\":null,\"Total\":0}","platform":"Semanticscholar","paperid":null,"PeriodicalName":"Joint diseases and related surgery","FirstCategoryId":"1085","ListUrlMain":"https://doi.org/10.52312/jdrs.2025.2107","RegionNum":0,"RegionCategory":null,"ArticlePicture":[],"TitleCN":null,"AbstractTextCN":null,"PMCID":null,"EPubDate":"","PubModel":"","JCR":"Q2","JCRName":"ORTHOPEDICS","Score":null,"Total":0}
引用次数: 0

摘要

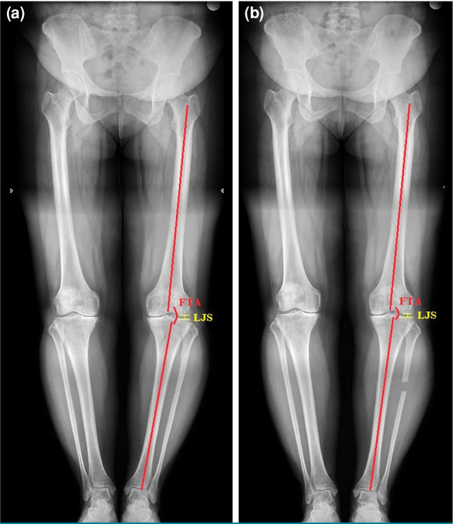
目的:本研究旨在比较近端部分腓骨切除术(PPFR)和开放楔形胫骨高位截骨术(OWHTO)治疗中年早期内侧室膝骨关节炎(OA)的临床和影像学结果。患者与方法:2017年1月至2023年1月,共90例患者,其中男性47例,女性43例;平均年龄:50.9±5.8岁;回顾性分析了40 - 59岁的早期内侧室膝关节炎患者接受PPFR或OWHTO治疗。根据手术技术将患者分为两组:1组(n=48)包括接受PPFR的患者,2组(n=42)包括接受OWHTO治疗的患者。临床结果采用视觉模拟量表(VAS)和西安大略和麦克马斯特大学骨关节炎指数(WOMAC)进行评估。x线测量包括股胫角(FTA)和外侧关节间隙(LJS)。结果:两种手术均能显著改善患者的功能和疼痛。OWHTO组术后FTA平均变化(7.69±1.35°)大于PPFR组(2.87±1.24°,p=0.001)。各组间LJS平均变化无统计学意义。两组术后WOMAC评分和VAS评分均有改善,差异无统计学意义。PPFR组的轻微并发症包括一过性腓神经症状,这些症状在术后3个月自行消退。结论:PPFR和OWHTO是治疗早期内侧室膝关节炎的有效手术选择。虽然OWHTO提供了优越的机械矫正,但PPFR提供了侵入性较小的替代方案,具有相似的功能结果。
本文章由计算机程序翻译,如有差异,请以英文原文为准。

Proximal partial fibular resection versus high tibial osteotomy: Comparative outcomes in early-stage knee osteoarthritis.

Proximal partial fibular resection versus high tibial osteotomy: Comparative outcomes in early-stage knee osteoarthritis.

Proximal partial fibular resection versus high tibial osteotomy: Comparative outcomes in early-stage knee osteoarthritis.

Objectives: This study aims to compare the clinical and radiographic outcomes of proximal partial fibular resection (PPFR) and opening-wedge high tibial osteotomy (OWHTO) in middle-aged patients with early-stage medial compartment knee osteoarthritis (OA).

Patients and methods: Between January 2017 and January 2023, a total of 90 patients (47 males, 43 females; mean age: 50.9±5.8 years; range, 40 to 59 years) who underwent PPFR or OWHTO for early-stage medial compartment knee OA were retrospectively analyzed. The patients were divided into two groups based on the surgical technique: Group 1 (n=48) included those who underwent PPFR, while Group 2 (n=42) comprised those treated with OWHTO. Clinical outcomes were evaluated using the Visual Analog Scale (VAS) and the Western Ontario and McMaster Universities Osteoarthritis Index (WOMAC). Radiographic measurements included femorotibial angle (FTA) and lateral joint space (LJS).

Results: Both procedures demonstrated a significant improvement in function and pain. The mean postoperative FTA change was greater in the OWHTO group (7.69±1.35°) compared to the PPFR group (2.87±1.24°, p=0.001). The mean LJS changes were not statistically significant between the groups. Postoperative WOMAC and VAS scores improved in both groups, indicating no significant difference. Minor complications included transient peroneal nerve symptoms in the PPFR group, which resolved spontaneously at three months postoperatively.

Conclusion: Both PPFR and OWHTO are effective surgical options for early-stage medial compartment knee OA. While OWHTO offers superior mechanical correction, PPFR provides a less invasive alternative with similar functional outcomes.

求助全文
通过发布文献求助,成功后即可免费获取论文全文。 去求助
来源期刊
CiteScore
2.50
自引率
0.00%
发文量
0
×
引用
GB/T 7714-2015
复制
MLA
复制
APA
复制
导出至
BibTeX EndNote RefMan NoteFirst NoteExpress
×
提示
您的信息不完整,为了账户安全,请先补充。
现在去补充
×
提示
您因"违规操作"
具体请查看互助需知
我知道了
×
提示
确定
请完成安全验证×
copy
已复制链接
快去分享给好友吧!
我知道了
右上角分享
点击右上角分享
0
联系我们:info@booksci.cn Book学术提供免费学术资源搜索服务,方便国内外学者检索中英文文献。致力于提供最便捷和优质的服务体验。 Copyright © 2023 布克学术 All rights reserved.
京ICP备2023020795号-1
ghs 京公网安备 11010802042870号
Book学术文献互助
Book学术文献互助群
群 号:604180095
Book学术官方微信