原发性喉部鳞状细胞癌合并DEK: AFF2融合1例报告。

IF 4.1 Q2 PATHOLOGY
Alan Yan-Lun Huang, Ying-Ju Kuo, Muh-Hwa Yang, Shyh-Kuan Tai, Jen-Fan Hang
{"title":"原发性喉部鳞状细胞癌合并DEK: AFF2融合1例报告。","authors":"Alan Yan-Lun Huang, Ying-Ju Kuo, Muh-Hwa Yang, Shyh-Kuan Tai, Jen-Fan Hang","doi":"10.1007/s12105-025-01793-z","DOIUrl":null,"url":null,"abstract":"<p><strong>Background: </strong>DEK::AFF2 fusion squamous cell carcinoma (SCC) is a rare and aggressive subtype of non-keratinizing SCC. Previously reported cases have predominantly involved the sinonasal tract, middle ear, and skull base. To date, only 62 cases have been described, with rare exceptions including a primary lung tumor and a recurrent tumor in the trachea.</p><p><strong>Methods: </strong>We describe the first documented case of primary laryngeal SCC harboring a DEK::AFF2 fusion in a 64-year-old female who presented with progressive hoarseness and airway obstruction. Clinical, radiologic, histopathologic, immunohistochemical, and molecular analyses were performed to characterize the tumor.</p><p><strong>Results: </strong>Imaging and laryngoscopic evaluation revealed a transglottic mass. Histopathology demonstrated non-keratinizing SCC composed of monotonous tumor cells with an infiltrative growth pattern. Immunohistochemistry showed diffuse p40 positivity and moderate to strong nuclear AFF2 expression. The DEK::AFF2 fusion was confirmed by fluorescence in situ hybridization and reverse transcription polymerase chain reaction. The patient underwent total laryngectomy followed by adjuvant chemoradiotherapy and remains disease-free at 12 months of follow-up.</p><p><strong>Conclusions: </strong>This case expands the known anatomical distribution of DEK::AFF2 fusion SCC to include the larynx, suggesting that this rare entity may arise throughout the respiratory tract epithelium. Recognition of this fusion is important in the differential diagnosis of non-keratinizing SCCs across the respiratory tract.</p>","PeriodicalId":47972,"journal":{"name":"Head & Neck Pathology","volume":"19 1","pages":"51"},"PeriodicalIF":4.1000,"publicationDate":"2025-04-29","publicationTypes":"Journal Article","fieldsOfStudy":null,"isOpenAccess":false,"openAccessPdf":"https://www.ncbi.nlm.nih.gov/pmc/articles/PMC12040765/pdf/","citationCount":"0","resultStr":"{\"title\":\"Primary Laryngeal Squamous Cell Carcinoma with DEK::AFF2 Fusion: The First Case Report.\",\"authors\":\"Alan Yan-Lun Huang, Ying-Ju Kuo, Muh-Hwa Yang, Shyh-Kuan Tai, Jen-Fan Hang\",\"doi\":\"10.1007/s12105-025-01793-z\",\"DOIUrl\":null,\"url\":null,\"abstract\":\"<p><strong>Background: </strong>DEK::AFF2 fusion squamous cell carcinoma (SCC) is a rare and aggressive subtype of non-keratinizing SCC. Previously reported cases have predominantly involved the sinonasal tract, middle ear, and skull base. To date, only 62 cases have been described, with rare exceptions including a primary lung tumor and a recurrent tumor in the trachea.</p><p><strong>Methods: </strong>We describe the first documented case of primary laryngeal SCC harboring a DEK::AFF2 fusion in a 64-year-old female who presented with progressive hoarseness and airway obstruction. Clinical, radiologic, histopathologic, immunohistochemical, and molecular analyses were performed to characterize the tumor.</p><p><strong>Results: </strong>Imaging and laryngoscopic evaluation revealed a transglottic mass. Histopathology demonstrated non-keratinizing SCC composed of monotonous tumor cells with an infiltrative growth pattern. Immunohistochemistry showed diffuse p40 positivity and moderate to strong nuclear AFF2 expression. The DEK::AFF2 fusion was confirmed by fluorescence in situ hybridization and reverse transcription polymerase chain reaction. The patient underwent total laryngectomy followed by adjuvant chemoradiotherapy and remains disease-free at 12 months of follow-up.</p><p><strong>Conclusions: </strong>This case expands the known anatomical distribution of DEK::AFF2 fusion SCC to include the larynx, suggesting that this rare entity may arise throughout the respiratory tract epithelium. Recognition of this fusion is important in the differential diagnosis of non-keratinizing SCCs across the respiratory tract.</p>\",\"PeriodicalId\":47972,\"journal\":{\"name\":\"Head & Neck Pathology\",\"volume\":\"19 1\",\"pages\":\"51\"},\"PeriodicalIF\":4.1000,\"publicationDate\":\"2025-04-29\",\"publicationTypes\":\"Journal Article\",\"fieldsOfStudy\":null,\"isOpenAccess\":false,\"openAccessPdf\":\"https://www.ncbi.nlm.nih.gov/pmc/articles/PMC12040765/pdf/\",\"citationCount\":\"0\",\"resultStr\":null,\"platform\":\"Semanticscholar\",\"paperid\":null,\"PeriodicalName\":\"Head & Neck Pathology\",\"FirstCategoryId\":\"1085\",\"ListUrlMain\":\"https://doi.org/10.1007/s12105-025-01793-z\",\"RegionNum\":0,\"RegionCategory\":null,\"ArticlePicture\":[],\"TitleCN\":null,\"AbstractTextCN\":null,\"PMCID\":null,\"EPubDate\":\"\",\"PubModel\":\"\",\"JCR\":\"Q2\",\"JCRName\":\"PATHOLOGY\",\"Score\":null,\"Total\":0}","platform":"Semanticscholar","paperid":null,"PeriodicalName":"Head & Neck Pathology","FirstCategoryId":"1085","ListUrlMain":"https://doi.org/10.1007/s12105-025-01793-z","RegionNum":0,"RegionCategory":null,"ArticlePicture":[],"TitleCN":null,"AbstractTextCN":null,"PMCID":null,"EPubDate":"","PubModel":"","JCR":"Q2","JCRName":"PATHOLOGY","Score":null,"Total":0}
引用次数: 0

摘要

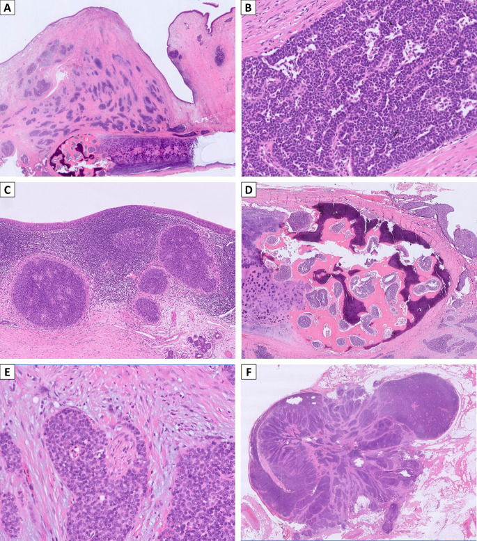
背景:DEK: AFF2融合鳞状细胞癌(SCC)是一种罕见的侵袭性非角化SCC亚型。以前报道的病例主要累及鼻窦道、中耳和颅底。迄今为止,只有62例被描述,罕见的例外包括原发性肺肿瘤和气管复发肿瘤。方法:我们描述了一例64岁女性原发性喉部SCC伴有DEK::AFF2融合的病例,她表现为进行性声音嘶哑和气道阻塞。临床,放射学,组织病理学,免疫组织化学和分子分析进行表征肿瘤。结果:影像学及喉镜检查显示声门外肿块。组织病理学显示非角化SCC由单一的肿瘤细胞组成,浸润性生长模式。免疫组化示弥漫性p40阳性,核AFF2中至强表达。通过荧光原位杂交和逆转录聚合酶链反应证实DEK::AFF2融合。患者接受了全喉切除术和辅助放化疗,在12个月的随访中保持无疾病。结论:本病例扩大了已知的DEK::AFF2融合SCC的解剖分布,包括喉部,表明这种罕见的实体可能出现在整个呼吸道上皮。在呼吸道非角化性SCCs的鉴别诊断中,识别这种融合是很重要的。
本文章由计算机程序翻译,如有差异,请以英文原文为准。

Primary Laryngeal Squamous Cell Carcinoma with DEK::AFF2 Fusion: The First Case Report.

Primary Laryngeal Squamous Cell Carcinoma with DEK::AFF2 Fusion: The First Case Report.

Primary Laryngeal Squamous Cell Carcinoma with DEK::AFF2 Fusion: The First Case Report.

Primary Laryngeal Squamous Cell Carcinoma with DEK::AFF2 Fusion: The First Case Report.

Background: DEK::AFF2 fusion squamous cell carcinoma (SCC) is a rare and aggressive subtype of non-keratinizing SCC. Previously reported cases have predominantly involved the sinonasal tract, middle ear, and skull base. To date, only 62 cases have been described, with rare exceptions including a primary lung tumor and a recurrent tumor in the trachea.

Methods: We describe the first documented case of primary laryngeal SCC harboring a DEK::AFF2 fusion in a 64-year-old female who presented with progressive hoarseness and airway obstruction. Clinical, radiologic, histopathologic, immunohistochemical, and molecular analyses were performed to characterize the tumor.

Results: Imaging and laryngoscopic evaluation revealed a transglottic mass. Histopathology demonstrated non-keratinizing SCC composed of monotonous tumor cells with an infiltrative growth pattern. Immunohistochemistry showed diffuse p40 positivity and moderate to strong nuclear AFF2 expression. The DEK::AFF2 fusion was confirmed by fluorescence in situ hybridization and reverse transcription polymerase chain reaction. The patient underwent total laryngectomy followed by adjuvant chemoradiotherapy and remains disease-free at 12 months of follow-up.

Conclusions: This case expands the known anatomical distribution of DEK::AFF2 fusion SCC to include the larynx, suggesting that this rare entity may arise throughout the respiratory tract epithelium. Recognition of this fusion is important in the differential diagnosis of non-keratinizing SCCs across the respiratory tract.

求助全文
通过发布文献求助,成功后即可免费获取论文全文。 去求助
来源期刊
CiteScore
5.70
自引率
9.50%
发文量
99
期刊介绍: Head & Neck Pathology presents scholarly papers, reviews and symposia that cover the spectrum of human surgical pathology within the anatomic zones of the oral cavity, sinonasal tract, larynx, hypopharynx, salivary gland, ear and temporal bone, and neck. The journal publishes rapid developments in new diagnostic criteria, intraoperative consultation, immunohistochemical studies, molecular techniques, genetic analyses, diagnostic aids, experimental pathology, cytology, radiographic imaging, and application of uniform terminology to allow practitioners to continue to maintain and expand their knowledge in the subspecialty of head and neck pathology. Coverage of practical application to daily clinical practice is supported with proceedings and symposia from international societies and academies devoted to this field. Single-blind peer review The journal follows a single-blind review procedure, where the reviewers are aware of the names and affiliations of the authors, but the reviewer reports provided to authors are anonymous. Single-blind peer review is the traditional model of peer review that many reviewers are comfortable with, and it facilitates a dispassionate critique of a manuscript.
×
引用
GB/T 7714-2015
复制
MLA
复制
APA
复制
导出至
BibTeX EndNote RefMan NoteFirst NoteExpress
×
提示
您的信息不完整,为了账户安全,请先补充。
现在去补充
×
提示
您因"违规操作"
具体请查看互助需知
我知道了
×
提示
确定
请完成安全验证×
copy
已复制链接
快去分享给好友吧!
我知道了
右上角分享
点击右上角分享
0
联系我们:info@booksci.cn Book学术提供免费学术资源搜索服务,方便国内外学者检索中英文文献。致力于提供最便捷和优质的服务体验。 Copyright © 2023 布克学术 All rights reserved.
京ICP备2023020795号-1
ghs 京公网安备 11010802042870号
Book学术文献互助
Book学术文献互助群
群 号:604180095
Book学术官方微信