前列腺小囊的患病率和特征:中老年男性的回顾性MRI研究。

IF 2.5 3区 医学 Q3 ENDOCRINOLOGY & METABOLISM
Prostate Pub Date : 2025-08-01 Epub Date: 2025-04-28 DOI:10.1002/pros.24907
Tomer Bashi, Shoni Kamshov, Adi Kidron, Sophie Barnes, Amihay Nevo, Snir Dekalo, Yuval Bar-Yosef
{"title":"前列腺小囊的患病率和特征:中老年男性的回顾性MRI研究。","authors":"Tomer Bashi, Shoni Kamshov, Adi Kidron, Sophie Barnes, Amihay Nevo, Snir Dekalo, Yuval Bar-Yosef","doi":"10.1002/pros.24907","DOIUrl":null,"url":null,"abstract":"<p><strong>Background: </strong>Congenital urological malformations encompass a wide range of anomalies affecting the urinary tract and reproductive organs. MRI has emerged as a diagnostic tool in identifying these conditions. Prostatic utricle is an enlarged diverticulum in the posterior urethra, which results from incomplete degradation of the Müllerian ducts or decreased androgenic stimulation of the urogenital sinus. Prostatic utricle is an uncommon congenital anomalies, with 1% incidence in autopsy findings and clinical prevalence of 5% in urologic patients.</p><p><strong>Methods: </strong>This retrospective study analyzed 5819 prostate MRI interpretations from 4990 unique patients. The primary objective was to identify congenital abnormalities, focusing on the presence of a utricle and other related anomalies. Prostates suspected to have utricles were reevaluated by genitourinary specialized radiologist and utricles size were measured.</p><p><strong>Results: </strong>The study identified 127 patients positive for a utricle with an average age of 66 years at examination among the unique cohort. The average prostate size for patients with a utricle was 78.3 cc and the average utricle size was 0.4 cm<sup>3</sup>. Statistical analysis did not demonstrate any statistical trend between prostate size, age or PSA to utricle size. Additional congenital anomalies detected included one patient with a seminal vesicle cyst, one patient with right seminal vesicle agenesis and bilateral vas deferens agenesis, and two patients with ureterocele.</p><p><strong>Conclusion: </strong>The prevalence of prostate utricle within a cohort of 4990 middle-aged to elderly men is 2.54%.</p>","PeriodicalId":54544,"journal":{"name":"Prostate","volume":" ","pages":"1000-1004"},"PeriodicalIF":2.5000,"publicationDate":"2025-08-01","publicationTypes":"Journal Article","fieldsOfStudy":null,"isOpenAccess":false,"openAccessPdf":"https://www.ncbi.nlm.nih.gov/pmc/articles/PMC12211538/pdf/","citationCount":"0","resultStr":"{\"title\":\"Prevalence and Characteristics of Prostatic Utricles: A Retrospective MRI Study in Middle-Aged to Elderly Men.\",\"authors\":\"Tomer Bashi, Shoni Kamshov, Adi Kidron, Sophie Barnes, Amihay Nevo, Snir Dekalo, Yuval Bar-Yosef\",\"doi\":\"10.1002/pros.24907\",\"DOIUrl\":null,\"url\":null,\"abstract\":\"<p><strong>Background: </strong>Congenital urological malformations encompass a wide range of anomalies affecting the urinary tract and reproductive organs. MRI has emerged as a diagnostic tool in identifying these conditions. Prostatic utricle is an enlarged diverticulum in the posterior urethra, which results from incomplete degradation of the Müllerian ducts or decreased androgenic stimulation of the urogenital sinus. Prostatic utricle is an uncommon congenital anomalies, with 1% incidence in autopsy findings and clinical prevalence of 5% in urologic patients.</p><p><strong>Methods: </strong>This retrospective study analyzed 5819 prostate MRI interpretations from 4990 unique patients. The primary objective was to identify congenital abnormalities, focusing on the presence of a utricle and other related anomalies. Prostates suspected to have utricles were reevaluated by genitourinary specialized radiologist and utricles size were measured.</p><p><strong>Results: </strong>The study identified 127 patients positive for a utricle with an average age of 66 years at examination among the unique cohort. The average prostate size for patients with a utricle was 78.3 cc and the average utricle size was 0.4 cm<sup>3</sup>. Statistical analysis did not demonstrate any statistical trend between prostate size, age or PSA to utricle size. Additional congenital anomalies detected included one patient with a seminal vesicle cyst, one patient with right seminal vesicle agenesis and bilateral vas deferens agenesis, and two patients with ureterocele.</p><p><strong>Conclusion: </strong>The prevalence of prostate utricle within a cohort of 4990 middle-aged to elderly men is 2.54%.</p>\",\"PeriodicalId\":54544,\"journal\":{\"name\":\"Prostate\",\"volume\":\" \",\"pages\":\"1000-1004\"},\"PeriodicalIF\":2.5000,\"publicationDate\":\"2025-08-01\",\"publicationTypes\":\"Journal Article\",\"fieldsOfStudy\":null,\"isOpenAccess\":false,\"openAccessPdf\":\"https://www.ncbi.nlm.nih.gov/pmc/articles/PMC12211538/pdf/\",\"citationCount\":\"0\",\"resultStr\":null,\"platform\":\"Semanticscholar\",\"paperid\":null,\"PeriodicalName\":\"Prostate\",\"FirstCategoryId\":\"3\",\"ListUrlMain\":\"https://doi.org/10.1002/pros.24907\",\"RegionNum\":3,\"RegionCategory\":\"医学\",\"ArticlePicture\":[],\"TitleCN\":null,\"AbstractTextCN\":null,\"PMCID\":null,\"EPubDate\":\"2025/4/28 0:00:00\",\"PubModel\":\"Epub\",\"JCR\":\"Q3\",\"JCRName\":\"ENDOCRINOLOGY & METABOLISM\",\"Score\":null,\"Total\":0}","platform":"Semanticscholar","paperid":null,"PeriodicalName":"Prostate","FirstCategoryId":"3","ListUrlMain":"https://doi.org/10.1002/pros.24907","RegionNum":3,"RegionCategory":"医学","ArticlePicture":[],"TitleCN":null,"AbstractTextCN":null,"PMCID":null,"EPubDate":"2025/4/28 0:00:00","PubModel":"Epub","JCR":"Q3","JCRName":"ENDOCRINOLOGY & METABOLISM","Score":null,"Total":0}
引用次数: 0

摘要

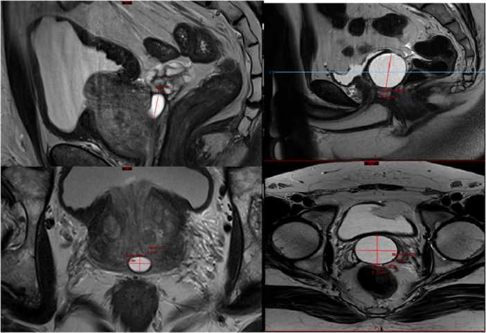
背景:先天性泌尿系统畸形包括影响泌尿道和生殖器官的各种异常。核磁共振成像已经成为一种诊断这些疾病的工具。前列腺小囊是后尿道增大的憩室,是由于尿道小囊管降解不完全或泌尿生殖窦雄激素刺激减少所致。前列腺小囊是一种罕见的先天性异常,尸检发现的发病率为1%,泌尿科患者的临床患病率为5%。方法:回顾性分析4990例特殊患者的5819例前列腺MRI判读结果。主要目的是确定先天性异常,重点关注子宫内膜和其他相关异常的存在。由泌尿生殖专科放射科医师重新评估怀疑有小囊的前列腺,并测量小囊的大小。结果:在独特的队列中,研究确定了127例平均年龄为66岁的子宫内膜癌阳性患者。有胞囊的患者前列腺平均大小为78.3 cc,胞囊平均大小为0.4 cm3。统计分析未显示前列腺大小、年龄或PSA与胞囊大小之间的统计学趋势。另外发现的先天性异常包括1例精囊囊肿,1例右侧精囊发育不全和双侧输精管发育不全,2例输尿管膨出。结论:4990名中老年男性前列腺小囊的患病率为2.54%。
本文章由计算机程序翻译,如有差异,请以英文原文为准。

Prevalence and Characteristics of Prostatic Utricles: A Retrospective MRI Study in Middle-Aged to Elderly Men.

Prevalence and Characteristics of Prostatic Utricles: A Retrospective MRI Study in Middle-Aged to Elderly Men.

Prevalence and Characteristics of Prostatic Utricles: A Retrospective MRI Study in Middle-Aged to Elderly Men.

Background: Congenital urological malformations encompass a wide range of anomalies affecting the urinary tract and reproductive organs. MRI has emerged as a diagnostic tool in identifying these conditions. Prostatic utricle is an enlarged diverticulum in the posterior urethra, which results from incomplete degradation of the Müllerian ducts or decreased androgenic stimulation of the urogenital sinus. Prostatic utricle is an uncommon congenital anomalies, with 1% incidence in autopsy findings and clinical prevalence of 5% in urologic patients.

Methods: This retrospective study analyzed 5819 prostate MRI interpretations from 4990 unique patients. The primary objective was to identify congenital abnormalities, focusing on the presence of a utricle and other related anomalies. Prostates suspected to have utricles were reevaluated by genitourinary specialized radiologist and utricles size were measured.

Results: The study identified 127 patients positive for a utricle with an average age of 66 years at examination among the unique cohort. The average prostate size for patients with a utricle was 78.3 cc and the average utricle size was 0.4 cm3. Statistical analysis did not demonstrate any statistical trend between prostate size, age or PSA to utricle size. Additional congenital anomalies detected included one patient with a seminal vesicle cyst, one patient with right seminal vesicle agenesis and bilateral vas deferens agenesis, and two patients with ureterocele.

Conclusion: The prevalence of prostate utricle within a cohort of 4990 middle-aged to elderly men is 2.54%.

求助全文
通过发布文献求助,成功后即可免费获取论文全文。 去求助
来源期刊
Prostate
Prostate 医学-泌尿学与肾脏学
CiteScore
5.10
自引率
3.60%
发文量
180
审稿时长
1.5 months
期刊介绍: The Prostate is a peer-reviewed journal dedicated to original studies of this organ and the male accessory glands. It serves as an international medium for these studies, presenting comprehensive coverage of clinical, anatomic, embryologic, physiologic, endocrinologic, and biochemical studies.
×
引用
GB/T 7714-2015
复制
MLA
复制
APA
复制
导出至
BibTeX EndNote RefMan NoteFirst NoteExpress
×
提示
您的信息不完整,为了账户安全,请先补充。
现在去补充
×
提示
您因"违规操作"
具体请查看互助需知
我知道了
×
提示
确定
请完成安全验证×
copy
已复制链接
快去分享给好友吧!
我知道了
右上角分享
点击右上角分享
0
联系我们:info@booksci.cn Book学术提供免费学术资源搜索服务,方便国内外学者检索中英文文献。致力于提供最便捷和优质的服务体验。 Copyright © 2023 布克学术 All rights reserved.
京ICP备2023020795号-1
ghs 京公网安备 11010802042870号
Book学术文献互助
Book学术文献互助群
群 号:604180095
Book学术官方微信