结节性再生增生是枫糖尿病患者的常见发现。

IF 1.3 4区 医学 Q3 PATHOLOGY
Pediatric and Developmental Pathology Pub Date : 2025-07-01 Epub Date: 2025-04-17 DOI:10.1177/10935266251333007
Yuan Shui, Yipeng Geng, Bita V Naini, Hanlin L Wang
{"title":"结节性再生增生是枫糖尿病患者的常见发现。","authors":"Yuan Shui, Yipeng Geng, Bita V Naini, Hanlin L Wang","doi":"10.1177/10935266251333007","DOIUrl":null,"url":null,"abstract":"<p><strong>Background: </strong>Maple syrup urine disease (MSUD) is an autosomal recessive inherited disorder characterized by deficiency of branched-chain α-keto acid dehydrogenase complex. The affected patients can experience severe metabolic intoxication and encephalopathy in the first few years of life. Liver transplantation is an effective long-term treatment. There has been a lack of histologic description of explanted livers from MSUD patients in the literature.</p><p><strong>Methods: </strong>A search of the medical record system was performed for cases carrying a diagnosis of MSUD between January 2003 and May 2024. Eight patients who underwent liver transplantation were identified. Their explanted livers were evaluated and their medical records were extensively reviewed.</p><p><strong>Results: </strong>The weights of explanted livers were within normal range for patients' age. Histologic examination demonstrated features of nodular regenerative hyperplasia (NRH) in 5 (62.5%) liver explants. Other histologic findings included minimal to mild lymphocytic portal inflammation seen in 6 cases and mild steatosis in 2 cases. A detailed review of clinical histories revealed no signs of portal hypertension or specific underlying conditions conducive to NRH development.</p><p><strong>Conclusion: </strong>NRH is a frequent histologic finding in explanted livers from MSUD patients, although the underlying etiopathogenesis and clinical implication remain to be elucidated.</p>","PeriodicalId":54634,"journal":{"name":"Pediatric and Developmental Pathology","volume":" ","pages":"273-280"},"PeriodicalIF":1.3000,"publicationDate":"2025-07-01","publicationTypes":"Journal Article","fieldsOfStudy":null,"isOpenAccess":false,"openAccessPdf":"https://www.ncbi.nlm.nih.gov/pmc/articles/PMC12241677/pdf/","citationCount":"0","resultStr":"{\"title\":\"Nodular Regenerative Hyperplasia Is a Frequent Finding in Explanted Livers of Patients With Maple Syrup Urine Disease.\",\"authors\":\"Yuan Shui, Yipeng Geng, Bita V Naini, Hanlin L Wang\",\"doi\":\"10.1177/10935266251333007\",\"DOIUrl\":null,\"url\":null,\"abstract\":\"<p><strong>Background: </strong>Maple syrup urine disease (MSUD) is an autosomal recessive inherited disorder characterized by deficiency of branched-chain α-keto acid dehydrogenase complex. The affected patients can experience severe metabolic intoxication and encephalopathy in the first few years of life. Liver transplantation is an effective long-term treatment. There has been a lack of histologic description of explanted livers from MSUD patients in the literature.</p><p><strong>Methods: </strong>A search of the medical record system was performed for cases carrying a diagnosis of MSUD between January 2003 and May 2024. Eight patients who underwent liver transplantation were identified. Their explanted livers were evaluated and their medical records were extensively reviewed.</p><p><strong>Results: </strong>The weights of explanted livers were within normal range for patients' age. Histologic examination demonstrated features of nodular regenerative hyperplasia (NRH) in 5 (62.5%) liver explants. Other histologic findings included minimal to mild lymphocytic portal inflammation seen in 6 cases and mild steatosis in 2 cases. A detailed review of clinical histories revealed no signs of portal hypertension or specific underlying conditions conducive to NRH development.</p><p><strong>Conclusion: </strong>NRH is a frequent histologic finding in explanted livers from MSUD patients, although the underlying etiopathogenesis and clinical implication remain to be elucidated.</p>\",\"PeriodicalId\":54634,\"journal\":{\"name\":\"Pediatric and Developmental Pathology\",\"volume\":\" \",\"pages\":\"273-280\"},\"PeriodicalIF\":1.3000,\"publicationDate\":\"2025-07-01\",\"publicationTypes\":\"Journal Article\",\"fieldsOfStudy\":null,\"isOpenAccess\":false,\"openAccessPdf\":\"https://www.ncbi.nlm.nih.gov/pmc/articles/PMC12241677/pdf/\",\"citationCount\":\"0\",\"resultStr\":null,\"platform\":\"Semanticscholar\",\"paperid\":null,\"PeriodicalName\":\"Pediatric and Developmental Pathology\",\"FirstCategoryId\":\"3\",\"ListUrlMain\":\"https://doi.org/10.1177/10935266251333007\",\"RegionNum\":4,\"RegionCategory\":\"医学\",\"ArticlePicture\":[],\"TitleCN\":null,\"AbstractTextCN\":null,\"PMCID\":null,\"EPubDate\":\"2025/4/17 0:00:00\",\"PubModel\":\"Epub\",\"JCR\":\"Q3\",\"JCRName\":\"PATHOLOGY\",\"Score\":null,\"Total\":0}","platform":"Semanticscholar","paperid":null,"PeriodicalName":"Pediatric and Developmental Pathology","FirstCategoryId":"3","ListUrlMain":"https://doi.org/10.1177/10935266251333007","RegionNum":4,"RegionCategory":"医学","ArticlePicture":[],"TitleCN":null,"AbstractTextCN":null,"PMCID":null,"EPubDate":"2025/4/17 0:00:00","PubModel":"Epub","JCR":"Q3","JCRName":"PATHOLOGY","Score":null,"Total":0}
引用次数: 0

摘要

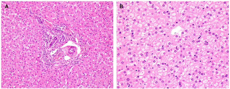
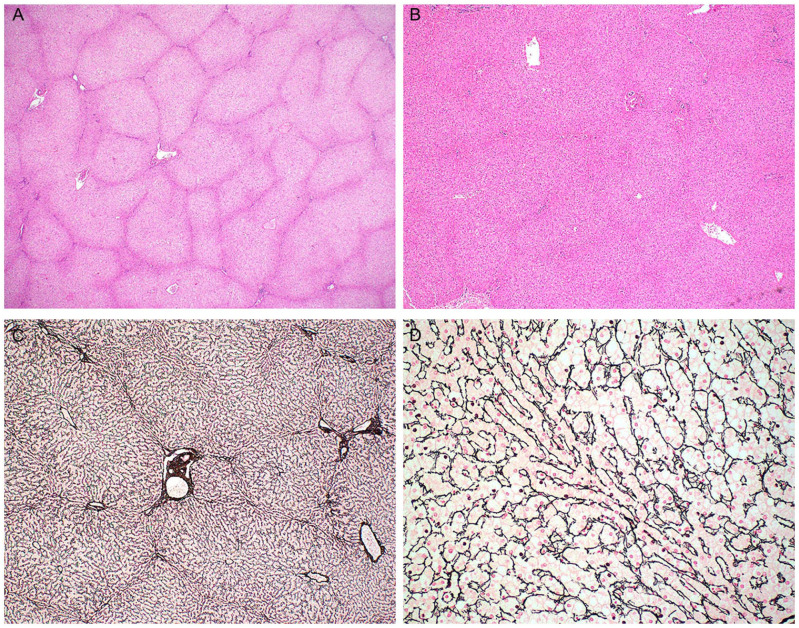
背景:枫糖尿病(Maple syrup urine disease, MSUD)是一种常染色体隐性遗传疾病,其特征为支链α-酮酸脱氢酶复合物缺乏。受影响的患者可在生命的最初几年经历严重的代谢性中毒和脑病。肝移植是一种有效的长期治疗方法。文献中缺乏对MSUD患者肝脏外植的组织学描述。方法:检索2003年1月至2024年5月诊断为MSUD的病例的病历系统。8例患者接受肝移植。对他们的移植肝脏进行了评估,并对他们的医疗记录进行了广泛审查。结果:离体肝脏重量在正常范围内。组织学检查显示5例(62.5%)肝移植体有结节性再生增生(NRH)。其他组织学表现包括6例轻度淋巴细胞性门脉炎和2例轻度脂肪变性。临床病史的详细回顾显示没有门静脉高压症的迹象或特定的潜在条件有利于NRH的发展。结论:NRH是MSUD患者离体肝脏中常见的组织学发现,尽管其潜在的发病机制和临床意义仍有待阐明。
本文章由计算机程序翻译,如有差异,请以英文原文为准。

Nodular Regenerative Hyperplasia Is a Frequent Finding in Explanted Livers of Patients With Maple Syrup Urine Disease.

Nodular Regenerative Hyperplasia Is a Frequent Finding in Explanted Livers of Patients With Maple Syrup Urine Disease.

Nodular Regenerative Hyperplasia Is a Frequent Finding in Explanted Livers of Patients With Maple Syrup Urine Disease.

Nodular Regenerative Hyperplasia Is a Frequent Finding in Explanted Livers of Patients With Maple Syrup Urine Disease.

Background: Maple syrup urine disease (MSUD) is an autosomal recessive inherited disorder characterized by deficiency of branched-chain α-keto acid dehydrogenase complex. The affected patients can experience severe metabolic intoxication and encephalopathy in the first few years of life. Liver transplantation is an effective long-term treatment. There has been a lack of histologic description of explanted livers from MSUD patients in the literature.

Methods: A search of the medical record system was performed for cases carrying a diagnosis of MSUD between January 2003 and May 2024. Eight patients who underwent liver transplantation were identified. Their explanted livers were evaluated and their medical records were extensively reviewed.

Results: The weights of explanted livers were within normal range for patients' age. Histologic examination demonstrated features of nodular regenerative hyperplasia (NRH) in 5 (62.5%) liver explants. Other histologic findings included minimal to mild lymphocytic portal inflammation seen in 6 cases and mild steatosis in 2 cases. A detailed review of clinical histories revealed no signs of portal hypertension or specific underlying conditions conducive to NRH development.

Conclusion: NRH is a frequent histologic finding in explanted livers from MSUD patients, although the underlying etiopathogenesis and clinical implication remain to be elucidated.

求助全文
通过发布文献求助,成功后即可免费获取论文全文。 去求助
来源期刊
CiteScore
3.70
自引率
5.30%
发文量
59
审稿时长
6-12 weeks
期刊介绍: The Journal covers the spectrum of disorders of early development (including embryology, placentology, and teratology), gestational and perinatal diseases, and all diseases of childhood. Studies may be in any field of experimental, anatomic, or clinical pathology, including molecular pathology. Case reports are published only if they provide new insights into disease mechanisms or new information.
×
引用
GB/T 7714-2015
复制
MLA
复制
APA
复制
导出至
BibTeX EndNote RefMan NoteFirst NoteExpress
×
提示
您的信息不完整,为了账户安全,请先补充。
现在去补充
×
提示
您因"违规操作"
具体请查看互助需知
我知道了
×
提示
确定
请完成安全验证×
copy
已复制链接
快去分享给好友吧!
我知道了
右上角分享
点击右上角分享
0
联系我们:info@booksci.cn Book学术提供免费学术资源搜索服务,方便国内外学者检索中英文文献。致力于提供最便捷和优质的服务体验。 Copyright © 2023 布克学术 All rights reserved.
京ICP备2023020795号-1
ghs 京公网安备 11010802042870号
Book学术文献互助
Book学术文献互助群
群 号:604180095
Book学术官方微信