脑转移诱发良性阵发性位置性眩晕引起的中枢性眼震释放动作的短暂反应- 1例报告。

IF 2.4 3区 医学 Q3 NEUROSCIENCES
Maritta Spiegelberg, Joao Lemos, Sun-Uk Lee, Jeong-Yoon Choi, Alexander Andrea Tarnutzer
{"title":"脑转移诱发良性阵发性位置性眩晕引起的中枢性眼震释放动作的短暂反应- 1例报告。","authors":"Maritta Spiegelberg, Joao Lemos, Sun-Uk Lee, Jeong-Yoon Choi, Alexander Andrea Tarnutzer","doi":"10.1007/s12311-025-01851-w","DOIUrl":null,"url":null,"abstract":"<p><strong>Background: </strong>Benign paroxysmal positional vertigo (BPPV) is by far the most frequent cause of positional nystagmus (PN). However, PN may also be encountered in central lesions. In this case report we describe a patient with isolated positional vertigo and central PN which mimicked a lateral-canal cupulithiasis, including initial response to liberation maneuvers.</p><p><strong>Case description: </strong>A 44-year-old male patient reported new-onset position-dependent vertigo with nausea and gait-imbalance for 10 days. During supine roll testing for the lateral semicircular canals, he showed a persistent apogeotropic PN (being more intense left-ear-down) accompanied by moderate vertigo. Except for the PN, the neurologic examination was normal. He received a diagnosis of a apogeotropic-variant right-lateral canal BPPV and responded well to a Gufoni maneuver (nose-up). However, on follow-up, apogeotropic PN showed-up again, converted into a geotropic variant after a Barbecue-liberation maneuver, and then disappeared. Due to the re-emergence of the initial PN on the second follow-up consult, a brain-MRI was requested, disclosing disseminated infra- and supratentorial cystic brain metastases. The largest mass compressed midline cerebellar structures. Urgent surgical resection revealed a histopathologic diagnosis of an adeno-carcinoma of the lung.</p><p><strong>Discussion: </strong>Short-lasting responses to liberation maneuvers may also be seen in CPN, mimicking the response-pattern expected in BPPV cases. Thus, response to treatment must be validated on a follow-up consultation. Pressure by a cystic cerebellar mass lesion on the nodulus and uvula that varies with changing head-position relative to gravity, resulting in adaptational changes in PN direction and intensity could explain our findings.</p>","PeriodicalId":50706,"journal":{"name":"Cerebellum","volume":"24 4","pages":"96"},"PeriodicalIF":2.4000,"publicationDate":"2025-05-09","publicationTypes":"Journal Article","fieldsOfStudy":null,"isOpenAccess":false,"openAccessPdf":"https://www.ncbi.nlm.nih.gov/pmc/articles/PMC12064596/pdf/","citationCount":"0","resultStr":"{\"title\":\"Transient Response to Liberation Maneuvers in Central Positional Nystagmus Due to Cerebral Metastases Mimicking Benign Paroxysmal Positional Vertigo- A Case Report.\",\"authors\":\"Maritta Spiegelberg, Joao Lemos, Sun-Uk Lee, Jeong-Yoon Choi, Alexander Andrea Tarnutzer\",\"doi\":\"10.1007/s12311-025-01851-w\",\"DOIUrl\":null,\"url\":null,\"abstract\":\"<p><strong>Background: </strong>Benign paroxysmal positional vertigo (BPPV) is by far the most frequent cause of positional nystagmus (PN). However, PN may also be encountered in central lesions. In this case report we describe a patient with isolated positional vertigo and central PN which mimicked a lateral-canal cupulithiasis, including initial response to liberation maneuvers.</p><p><strong>Case description: </strong>A 44-year-old male patient reported new-onset position-dependent vertigo with nausea and gait-imbalance for 10 days. During supine roll testing for the lateral semicircular canals, he showed a persistent apogeotropic PN (being more intense left-ear-down) accompanied by moderate vertigo. Except for the PN, the neurologic examination was normal. He received a diagnosis of a apogeotropic-variant right-lateral canal BPPV and responded well to a Gufoni maneuver (nose-up). However, on follow-up, apogeotropic PN showed-up again, converted into a geotropic variant after a Barbecue-liberation maneuver, and then disappeared. Due to the re-emergence of the initial PN on the second follow-up consult, a brain-MRI was requested, disclosing disseminated infra- and supratentorial cystic brain metastases. The largest mass compressed midline cerebellar structures. Urgent surgical resection revealed a histopathologic diagnosis of an adeno-carcinoma of the lung.</p><p><strong>Discussion: </strong>Short-lasting responses to liberation maneuvers may also be seen in CPN, mimicking the response-pattern expected in BPPV cases. Thus, response to treatment must be validated on a follow-up consultation. Pressure by a cystic cerebellar mass lesion on the nodulus and uvula that varies with changing head-position relative to gravity, resulting in adaptational changes in PN direction and intensity could explain our findings.</p>\",\"PeriodicalId\":50706,\"journal\":{\"name\":\"Cerebellum\",\"volume\":\"24 4\",\"pages\":\"96\"},\"PeriodicalIF\":2.4000,\"publicationDate\":\"2025-05-09\",\"publicationTypes\":\"Journal Article\",\"fieldsOfStudy\":null,\"isOpenAccess\":false,\"openAccessPdf\":\"https://www.ncbi.nlm.nih.gov/pmc/articles/PMC12064596/pdf/\",\"citationCount\":\"0\",\"resultStr\":null,\"platform\":\"Semanticscholar\",\"paperid\":null,\"PeriodicalName\":\"Cerebellum\",\"FirstCategoryId\":\"3\",\"ListUrlMain\":\"https://doi.org/10.1007/s12311-025-01851-w\",\"RegionNum\":3,\"RegionCategory\":\"医学\",\"ArticlePicture\":[],\"TitleCN\":null,\"AbstractTextCN\":null,\"PMCID\":null,\"EPubDate\":\"\",\"PubModel\":\"\",\"JCR\":\"Q3\",\"JCRName\":\"NEUROSCIENCES\",\"Score\":null,\"Total\":0}","platform":"Semanticscholar","paperid":null,"PeriodicalName":"Cerebellum","FirstCategoryId":"3","ListUrlMain":"https://doi.org/10.1007/s12311-025-01851-w","RegionNum":3,"RegionCategory":"医学","ArticlePicture":[],"TitleCN":null,"AbstractTextCN":null,"PMCID":null,"EPubDate":"","PubModel":"","JCR":"Q3","JCRName":"NEUROSCIENCES","Score":null,"Total":0}
引用次数: 0

摘要

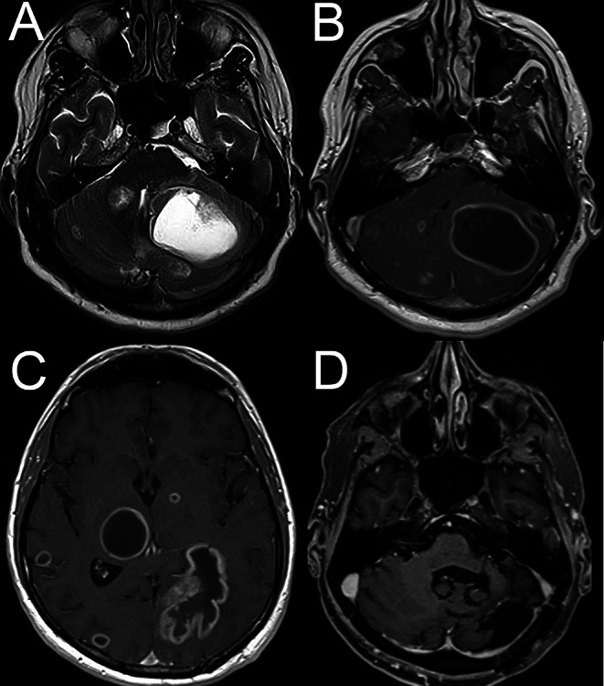
背景:良性阵发性位置性眩晕(BPPV)是目前位置性眼球震颤(PN)最常见的原因。然而,PN也可能出现在中枢性病变。在这个病例报告中,我们描述了一个孤立的体位性眩晕和中枢性PN的病人,它模仿了外侧椎管结石,包括对解放演习的初步反应。病例描述:一名44岁男性患者报告新发体位依赖性眩晕伴恶心和步态不平衡10天。在仰卧位侧半圆管滚动检查中,患者表现出持续的向地性PN(更强烈的左耳下倾)并伴有中度眩晕。除PN外,神经系统检查正常。他被诊断为异向性右外侧管BPPV,对Gufoni手法(鼻上)反应良好。然而,在随访中,非向地性PN再次出现,在烧烤解放演习后转化为向地性变异,然后消失。由于在第二次随访中再次出现最初的PN,要求进行脑mri检查,发现弥漫性幕下和幕上囊性脑转移。最大的肿块压缩了小脑中线结构。紧急手术切除显示组织病理学诊断为肺腺癌。讨论:在CPN中也可以看到对解放动作的短期反应,模仿BPPV病例中预期的反应模式。因此,对治疗的反应必须在后续咨询中进行验证。小脑囊性肿块对结节和小舌的压力随头部相对重力位置的变化而变化,导致PN方向和强度的适应性变化,这可以解释我们的发现。
本文章由计算机程序翻译,如有差异,请以英文原文为准。

Transient Response to Liberation Maneuvers in Central Positional Nystagmus Due to Cerebral Metastases Mimicking Benign Paroxysmal Positional Vertigo- A Case Report.

Transient Response to Liberation Maneuvers in Central Positional Nystagmus Due to Cerebral Metastases Mimicking Benign Paroxysmal Positional Vertigo- A Case Report.

Background: Benign paroxysmal positional vertigo (BPPV) is by far the most frequent cause of positional nystagmus (PN). However, PN may also be encountered in central lesions. In this case report we describe a patient with isolated positional vertigo and central PN which mimicked a lateral-canal cupulithiasis, including initial response to liberation maneuvers.

Case description: A 44-year-old male patient reported new-onset position-dependent vertigo with nausea and gait-imbalance for 10 days. During supine roll testing for the lateral semicircular canals, he showed a persistent apogeotropic PN (being more intense left-ear-down) accompanied by moderate vertigo. Except for the PN, the neurologic examination was normal. He received a diagnosis of a apogeotropic-variant right-lateral canal BPPV and responded well to a Gufoni maneuver (nose-up). However, on follow-up, apogeotropic PN showed-up again, converted into a geotropic variant after a Barbecue-liberation maneuver, and then disappeared. Due to the re-emergence of the initial PN on the second follow-up consult, a brain-MRI was requested, disclosing disseminated infra- and supratentorial cystic brain metastases. The largest mass compressed midline cerebellar structures. Urgent surgical resection revealed a histopathologic diagnosis of an adeno-carcinoma of the lung.

Discussion: Short-lasting responses to liberation maneuvers may also be seen in CPN, mimicking the response-pattern expected in BPPV cases. Thus, response to treatment must be validated on a follow-up consultation. Pressure by a cystic cerebellar mass lesion on the nodulus and uvula that varies with changing head-position relative to gravity, resulting in adaptational changes in PN direction and intensity could explain our findings.

求助全文
通过发布文献求助,成功后即可免费获取论文全文。 去求助
来源期刊
Cerebellum
Cerebellum 医学-神经科学
CiteScore
6.40
自引率
14.30%
发文量
150
审稿时长
4-8 weeks
期刊介绍: Official publication of the Society for Research on the Cerebellum devoted to genetics of cerebellar ataxias, role of cerebellum in motor control and cognitive function, and amid an ageing population, diseases associated with cerebellar dysfunction. The Cerebellum is a central source for the latest developments in fundamental neurosciences including molecular and cellular biology; behavioural neurosciences and neurochemistry; genetics; fundamental and clinical neurophysiology; neurology and neuropathology; cognition and neuroimaging. The Cerebellum benefits neuroscientists in molecular and cellular biology; neurophysiologists; researchers in neurotransmission; neurologists; radiologists; paediatricians; neuropsychologists; students of neurology and psychiatry and others.
×
引用
GB/T 7714-2015
复制
MLA
复制
APA
复制
导出至
BibTeX EndNote RefMan NoteFirst NoteExpress
×
提示
您的信息不完整,为了账户安全,请先补充。
现在去补充
×
提示
您因"违规操作"
具体请查看互助需知
我知道了
×
提示
确定
请完成安全验证×
copy
已复制链接
快去分享给好友吧!
我知道了
右上角分享
点击右上角分享
0
联系我们:info@booksci.cn Book学术提供免费学术资源搜索服务,方便国内外学者检索中英文文献。致力于提供最便捷和优质的服务体验。 Copyright © 2023 布克学术 All rights reserved.
京ICP备2023020795号-1
ghs 京公网安备 11010802042870号
Book学术文献互助
Book学术文献互助群
群 号:604180095
Book学术官方微信