及时识别可能危及生命的遗传性皮肤病:遗传性平滑肌瘤病和肾细胞癌的家族性病例报告。

IF 2.3 4区 医学 Q3 ONCOLOGY
Pathology & Oncology Research Pub Date : 2025-04-08 eCollection Date: 2025-01-01 DOI:10.3389/pore.2025.1612086
Judit Kárteszi, Nikoletta Nagy, Márta Széll, Zsuzsanna Lengyel, Dávid Semjén, Zsolt Egyházi, Gábor Bajzik, Levente Kuthi, Csaba Pusztai, Zita Battyáni
{"title":"及时识别可能危及生命的遗传性皮肤病:遗传性平滑肌瘤病和肾细胞癌的家族性病例报告。","authors":"Judit Kárteszi, Nikoletta Nagy, Márta Széll, Zsuzsanna Lengyel, Dávid Semjén, Zsolt Egyházi, Gábor Bajzik, Levente Kuthi, Csaba Pusztai, Zita Battyáni","doi":"10.3389/pore.2025.1612086","DOIUrl":null,"url":null,"abstract":"<p><strong>Background: </strong>Autosomal dominant genodermatoses with a predisposition for cancer make up a well-described disease group with unique cutaneous alterations in each. This should urge dermatologists to think of other consequences beyond the skin. Histological examination serves as the gold standard, and it is an effective tool for the first investigation, even nowadays in the \"next-generation genetic\" era. Multiple appearances of benign tumours histologically proved to be cutaneous leiomyomatosis suggest a rare disorder with germline heterozygous pathogen variant in the <i>FH</i> gene. The encoded fumarate hydratase is a Krebs cycle enzyme, and has a role in catalysing the transition from fumarate to malate.</p><p><strong>Case presentation: </strong>Years before the easy accessibility of the complete genetic workup in Hungary, a yearly abdominal MRI check-up was suggested preventively for a middle-aged man with multiplex cutaneous leiomyomata. During the follow-up period papillary type 2 renal cell carcinoma was diagnosed in the left kidney at an early stage, and a successful operation saved his life without the need for aggressive chemotherapy or immunotherapy. Immunohistochemistry of tumour tissue proved FH-deficient renal cell cancer. We discuss in short the current knowledge of pathophysiology and accessible therapies regarding this aggressive malignant tumour type in the kidney, which is usually detected in the advanced stage with early metastasis. We also highlight an early sign, i.e., solitary cystic alteration in the kidney, which can be preliminarily observed before malignant transformation, which was also described in mouse models. Sanger sequencing and Multiplex-Ligation-Dependent Probe Amplification (MLPA) analysis of the <i>FH</i> gene was completed in the affected son of the original proband, and Hereditary Leiomyomatosis and Renal Cell Cancer (HLRCC) was confirmed by demonstrating a large germline deletion in this family after years of observation.</p><p><strong>Conclusion: </strong>Regular observation of individuals with hereditary leiomyomatosis may prevent a serious sequelae of untreatable renal malignancy.</p>","PeriodicalId":19981,"journal":{"name":"Pathology & Oncology Research","volume":"31 ","pages":"1612086"},"PeriodicalIF":2.3000,"publicationDate":"2025-04-08","publicationTypes":"Journal Article","fieldsOfStudy":null,"isOpenAccess":false,"openAccessPdf":"https://www.ncbi.nlm.nih.gov/pmc/articles/PMC12011599/pdf/","citationCount":"0","resultStr":"{\"title\":\"Timely recognition of a probably life-threatening genodermatosis: familial case report of hereditary leiomyomatosis and renal cell cancer.\",\"authors\":\"Judit Kárteszi, Nikoletta Nagy, Márta Széll, Zsuzsanna Lengyel, Dávid Semjén, Zsolt Egyházi, Gábor Bajzik, Levente Kuthi, Csaba Pusztai, Zita Battyáni\",\"doi\":\"10.3389/pore.2025.1612086\",\"DOIUrl\":null,\"url\":null,\"abstract\":\"<p><strong>Background: </strong>Autosomal dominant genodermatoses with a predisposition for cancer make up a well-described disease group with unique cutaneous alterations in each. This should urge dermatologists to think of other consequences beyond the skin. Histological examination serves as the gold standard, and it is an effective tool for the first investigation, even nowadays in the \\\"next-generation genetic\\\" era. Multiple appearances of benign tumours histologically proved to be cutaneous leiomyomatosis suggest a rare disorder with germline heterozygous pathogen variant in the <i>FH</i> gene. The encoded fumarate hydratase is a Krebs cycle enzyme, and has a role in catalysing the transition from fumarate to malate.</p><p><strong>Case presentation: </strong>Years before the easy accessibility of the complete genetic workup in Hungary, a yearly abdominal MRI check-up was suggested preventively for a middle-aged man with multiplex cutaneous leiomyomata. During the follow-up period papillary type 2 renal cell carcinoma was diagnosed in the left kidney at an early stage, and a successful operation saved his life without the need for aggressive chemotherapy or immunotherapy. Immunohistochemistry of tumour tissue proved FH-deficient renal cell cancer. We discuss in short the current knowledge of pathophysiology and accessible therapies regarding this aggressive malignant tumour type in the kidney, which is usually detected in the advanced stage with early metastasis. We also highlight an early sign, i.e., solitary cystic alteration in the kidney, which can be preliminarily observed before malignant transformation, which was also described in mouse models. Sanger sequencing and Multiplex-Ligation-Dependent Probe Amplification (MLPA) analysis of the <i>FH</i> gene was completed in the affected son of the original proband, and Hereditary Leiomyomatosis and Renal Cell Cancer (HLRCC) was confirmed by demonstrating a large germline deletion in this family after years of observation.</p><p><strong>Conclusion: </strong>Regular observation of individuals with hereditary leiomyomatosis may prevent a serious sequelae of untreatable renal malignancy.</p>\",\"PeriodicalId\":19981,\"journal\":{\"name\":\"Pathology & Oncology Research\",\"volume\":\"31 \",\"pages\":\"1612086\"},\"PeriodicalIF\":2.3000,\"publicationDate\":\"2025-04-08\",\"publicationTypes\":\"Journal Article\",\"fieldsOfStudy\":null,\"isOpenAccess\":false,\"openAccessPdf\":\"https://www.ncbi.nlm.nih.gov/pmc/articles/PMC12011599/pdf/\",\"citationCount\":\"0\",\"resultStr\":null,\"platform\":\"Semanticscholar\",\"paperid\":null,\"PeriodicalName\":\"Pathology & Oncology Research\",\"FirstCategoryId\":\"3\",\"ListUrlMain\":\"https://doi.org/10.3389/pore.2025.1612086\",\"RegionNum\":4,\"RegionCategory\":\"医学\",\"ArticlePicture\":[],\"TitleCN\":null,\"AbstractTextCN\":null,\"PMCID\":null,\"EPubDate\":\"2025/1/1 0:00:00\",\"PubModel\":\"eCollection\",\"JCR\":\"Q3\",\"JCRName\":\"ONCOLOGY\",\"Score\":null,\"Total\":0}","platform":"Semanticscholar","paperid":null,"PeriodicalName":"Pathology & Oncology Research","FirstCategoryId":"3","ListUrlMain":"https://doi.org/10.3389/pore.2025.1612086","RegionNum":4,"RegionCategory":"医学","ArticlePicture":[],"TitleCN":null,"AbstractTextCN":null,"PMCID":null,"EPubDate":"2025/1/1 0:00:00","PubModel":"eCollection","JCR":"Q3","JCRName":"ONCOLOGY","Score":null,"Total":0}
引用次数: 0

摘要

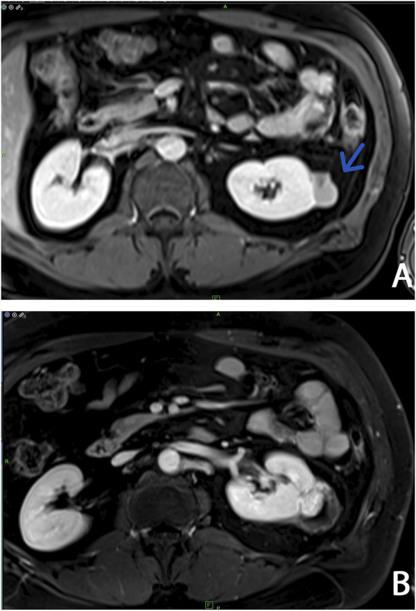
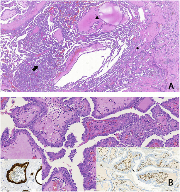
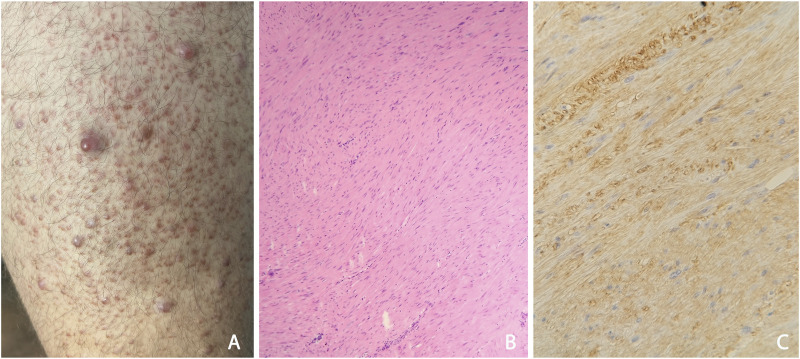
背景:常染色体显性遗传性皮肤病具有癌症易感性,构成了一种描述良好的疾病群体,每种疾病都有独特的皮肤改变。这应该促使皮肤科医生考虑皮肤以外的其他后果。组织学检查是金标准,即使在“下一代遗传”时代,它也是首次调查的有效工具。组织学证实为皮肤平滑肌瘤病的多发良性肿瘤提示是一种罕见的FH基因种系杂合致病菌变异的疾病。所编码的富马酸水合酶是一种克雷布斯循环酶,在催化从富马酸到苹果酸的转化中起作用。病例介绍:在匈牙利完整的遗传检查容易获得的几年前,建议每年进行腹部MRI检查,以预防患有多发性皮肤平滑肌瘤的中年男性。在随访期间,早期诊断为左肾乳头状2型肾细胞癌,手术成功挽救了他的生命,无需积极的化疗或免疫治疗。肿瘤组织免疫组化证实为fh缺陷肾细胞癌。简而言之,我们讨论了目前关于这种侵袭性肾恶性肿瘤类型的病理生理学知识和可获得的治疗方法,这种肿瘤通常在早期转移的晚期被发现。我们还强调了一个早期迹象,即肾脏的孤立囊性改变,这可以在恶性转化之前初步观察到,这也在小鼠模型中得到了描述。在原先证的患病儿子中完成了FH基因的Sanger测序和多重连接依赖探针扩增(MLPA)分析,经过多年的观察,遗传性平滑肌瘤病和肾细胞癌(HLRCC)在该家族中发现了大量的种系缺失,从而证实了FH基因的存在。结论:对遗传性平滑肌瘤患者进行定期观察,可预防顽固性肾恶性肿瘤的严重后遗症。
本文章由计算机程序翻译,如有差异,请以英文原文为准。

Timely recognition of a probably life-threatening genodermatosis: familial case report of hereditary leiomyomatosis and renal cell cancer.

Timely recognition of a probably life-threatening genodermatosis: familial case report of hereditary leiomyomatosis and renal cell cancer.

Timely recognition of a probably life-threatening genodermatosis: familial case report of hereditary leiomyomatosis and renal cell cancer.

Timely recognition of a probably life-threatening genodermatosis: familial case report of hereditary leiomyomatosis and renal cell cancer.

Background: Autosomal dominant genodermatoses with a predisposition for cancer make up a well-described disease group with unique cutaneous alterations in each. This should urge dermatologists to think of other consequences beyond the skin. Histological examination serves as the gold standard, and it is an effective tool for the first investigation, even nowadays in the "next-generation genetic" era. Multiple appearances of benign tumours histologically proved to be cutaneous leiomyomatosis suggest a rare disorder with germline heterozygous pathogen variant in the FH gene. The encoded fumarate hydratase is a Krebs cycle enzyme, and has a role in catalysing the transition from fumarate to malate.

Case presentation: Years before the easy accessibility of the complete genetic workup in Hungary, a yearly abdominal MRI check-up was suggested preventively for a middle-aged man with multiplex cutaneous leiomyomata. During the follow-up period papillary type 2 renal cell carcinoma was diagnosed in the left kidney at an early stage, and a successful operation saved his life without the need for aggressive chemotherapy or immunotherapy. Immunohistochemistry of tumour tissue proved FH-deficient renal cell cancer. We discuss in short the current knowledge of pathophysiology and accessible therapies regarding this aggressive malignant tumour type in the kidney, which is usually detected in the advanced stage with early metastasis. We also highlight an early sign, i.e., solitary cystic alteration in the kidney, which can be preliminarily observed before malignant transformation, which was also described in mouse models. Sanger sequencing and Multiplex-Ligation-Dependent Probe Amplification (MLPA) analysis of the FH gene was completed in the affected son of the original proband, and Hereditary Leiomyomatosis and Renal Cell Cancer (HLRCC) was confirmed by demonstrating a large germline deletion in this family after years of observation.

Conclusion: Regular observation of individuals with hereditary leiomyomatosis may prevent a serious sequelae of untreatable renal malignancy.

求助全文
通过发布文献求助,成功后即可免费获取论文全文。 去求助
来源期刊
CiteScore
6.30
自引率
0.00%
发文量
134
审稿时长
4-8 weeks
期刊介绍: Pathology & Oncology Research (POR) is an interdisciplinary Journal at the interface of pathology and oncology including the preclinical and translational research, diagnostics and therapy. Furthermore, POR is an international forum for the rapid communication of reviews, original research, critical and topical reports with excellence and novelty. Published quarterly, POR is dedicated to keeping scientists informed of developments on the selected biomedical fields bridging the gap between basic research and clinical medicine. It is a special aim for POR to promote pathological and oncological publishing activity of colleagues in the Central and East European region. The journal will be of interest to pathologists, and a broad range of experimental and clinical oncologists, and related experts. POR is supported by an acknowledged international advisory board and the Arányi Fundation for modern pathology.
×
引用
GB/T 7714-2015
复制
MLA
复制
APA
复制
导出至
BibTeX EndNote RefMan NoteFirst NoteExpress
×
提示
您的信息不完整,为了账户安全,请先补充。
现在去补充
×
提示
您因"违规操作"
具体请查看互助需知
我知道了
×
提示
确定
请完成安全验证×
copy
已复制链接
快去分享给好友吧!
我知道了
右上角分享
点击右上角分享
0
联系我们:info@booksci.cn Book学术提供免费学术资源搜索服务,方便国内外学者检索中英文文献。致力于提供最便捷和优质的服务体验。 Copyright © 2023 布克学术 All rights reserved.
京ICP备2023020795号-1
ghs 京公网安备 11010802042870号
Book学术文献互助
Book学术文献互助群
群 号:604180095
Book学术官方微信