肝细胞癌的罕见表现:颅骨溶解性骨损伤1例。

IF 2.1 Q1 SURGERY
Sherif Wael, Omar Hamdy, Mohamed Yasser, Sara Elmandrawi, Mai Mostafa, Nouran Mohammed, Ahmed Elghrieb
{"title":"肝细胞癌的罕见表现:颅骨溶解性骨损伤1例。","authors":"Sherif Wael, Omar Hamdy, Mohamed Yasser, Sara Elmandrawi, Mai Mostafa, Nouran Mohammed, Ahmed Elghrieb","doi":"10.1186/s13037-025-00434-2","DOIUrl":null,"url":null,"abstract":"<p><strong>Background: </strong>Hepatocellular carcinoma (HCC) ranks among the leading causes of cancer-related deaths worldwide, with metastatic spread to bones being alarmingly frequent. However, HCC metastases to the skull are notably rare, accounting for only 0.4-1.6% of all bone metastases. Typically, metastases are found in the spine, pelvis, and ribs. The occurrence of solitary skull metastases, especially in the absence of active primary liver cancer, is extremely uncommon.</p><p><strong>Case description: </strong>We present the clinical case of a 57-year-old male patient with a documented history of hepatitis C virus infection but without prior evidence of active hepatocellular carcinoma. Over the course of several months, he developed a non-tender, progressively enlarging mass located in the occipital region of the skull. A computed tomography (CT) scan identified a lytic lesion with intracranial compression, although no midline shift was noted. Histopathological examination confirmed the lesion as metastatic HCC, further supported by immunohistochemical markers Hepatari- 1 and Cytokeratin- 19. Subsequent diagnostic procedures revealed hepatic lesions, including a positron emission tomography (PET)-CT scan. Further examination through CT imaging of the abdomen with contrast highlighted a well-defined focal lesion in hepatic segment 4a, measuring 4.3 × 4.3 cm, predominantly enhancing with HCC characteristics. The skull lesion was surgically removed en bloc, and the patient underwent adjunct radiotherapy and systemic therapy, with palliative therapy till his death in May 2024. To better understand and manage this atypical presentation, we conducted a review for the discussion of clinical manifestations, imaging findings, pathological features, and patient outcomes associated with HCC skull metastases.</p><p><strong>Conclusion: </strong>This case emphasizes the critical importance of considering hepatocellular carcinoma in the differential diagnosis of solitary skull lesions, especially in patients with risk factors for liver disease. Prompt identification of the primary malignancy remains essential for ensuring optimal management and improving patient prognosis.</p>","PeriodicalId":46782,"journal":{"name":"Patient Safety in Surgery","volume":"19 1","pages":"12"},"PeriodicalIF":2.1000,"publicationDate":"2025-04-22","publicationTypes":"Journal Article","fieldsOfStudy":null,"isOpenAccess":false,"openAccessPdf":"https://www.ncbi.nlm.nih.gov/pmc/articles/PMC12016127/pdf/","citationCount":"0","resultStr":"{\"title\":\"Lytic bone lesion of the skull as a rare manifestation of hepatocellular carcinoma: a case report.\",\"authors\":\"Sherif Wael, Omar Hamdy, Mohamed Yasser, Sara Elmandrawi, Mai Mostafa, Nouran Mohammed, Ahmed Elghrieb\",\"doi\":\"10.1186/s13037-025-00434-2\",\"DOIUrl\":null,\"url\":null,\"abstract\":\"<p><strong>Background: </strong>Hepatocellular carcinoma (HCC) ranks among the leading causes of cancer-related deaths worldwide, with metastatic spread to bones being alarmingly frequent. However, HCC metastases to the skull are notably rare, accounting for only 0.4-1.6% of all bone metastases. Typically, metastases are found in the spine, pelvis, and ribs. The occurrence of solitary skull metastases, especially in the absence of active primary liver cancer, is extremely uncommon.</p><p><strong>Case description: </strong>We present the clinical case of a 57-year-old male patient with a documented history of hepatitis C virus infection but without prior evidence of active hepatocellular carcinoma. Over the course of several months, he developed a non-tender, progressively enlarging mass located in the occipital region of the skull. A computed tomography (CT) scan identified a lytic lesion with intracranial compression, although no midline shift was noted. Histopathological examination confirmed the lesion as metastatic HCC, further supported by immunohistochemical markers Hepatari- 1 and Cytokeratin- 19. Subsequent diagnostic procedures revealed hepatic lesions, including a positron emission tomography (PET)-CT scan. Further examination through CT imaging of the abdomen with contrast highlighted a well-defined focal lesion in hepatic segment 4a, measuring 4.3 × 4.3 cm, predominantly enhancing with HCC characteristics. The skull lesion was surgically removed en bloc, and the patient underwent adjunct radiotherapy and systemic therapy, with palliative therapy till his death in May 2024. To better understand and manage this atypical presentation, we conducted a review for the discussion of clinical manifestations, imaging findings, pathological features, and patient outcomes associated with HCC skull metastases.</p><p><strong>Conclusion: </strong>This case emphasizes the critical importance of considering hepatocellular carcinoma in the differential diagnosis of solitary skull lesions, especially in patients with risk factors for liver disease. Prompt identification of the primary malignancy remains essential for ensuring optimal management and improving patient prognosis.</p>\",\"PeriodicalId\":46782,\"journal\":{\"name\":\"Patient Safety in Surgery\",\"volume\":\"19 1\",\"pages\":\"12\"},\"PeriodicalIF\":2.1000,\"publicationDate\":\"2025-04-22\",\"publicationTypes\":\"Journal Article\",\"fieldsOfStudy\":null,\"isOpenAccess\":false,\"openAccessPdf\":\"https://www.ncbi.nlm.nih.gov/pmc/articles/PMC12016127/pdf/\",\"citationCount\":\"0\",\"resultStr\":null,\"platform\":\"Semanticscholar\",\"paperid\":null,\"PeriodicalName\":\"Patient Safety in Surgery\",\"FirstCategoryId\":\"1085\",\"ListUrlMain\":\"https://doi.org/10.1186/s13037-025-00434-2\",\"RegionNum\":0,\"RegionCategory\":null,\"ArticlePicture\":[],\"TitleCN\":null,\"AbstractTextCN\":null,\"PMCID\":null,\"EPubDate\":\"\",\"PubModel\":\"\",\"JCR\":\"Q1\",\"JCRName\":\"SURGERY\",\"Score\":null,\"Total\":0}","platform":"Semanticscholar","paperid":null,"PeriodicalName":"Patient Safety in Surgery","FirstCategoryId":"1085","ListUrlMain":"https://doi.org/10.1186/s13037-025-00434-2","RegionNum":0,"RegionCategory":null,"ArticlePicture":[],"TitleCN":null,"AbstractTextCN":null,"PMCID":null,"EPubDate":"","PubModel":"","JCR":"Q1","JCRName":"SURGERY","Score":null,"Total":0}
引用次数: 0

摘要

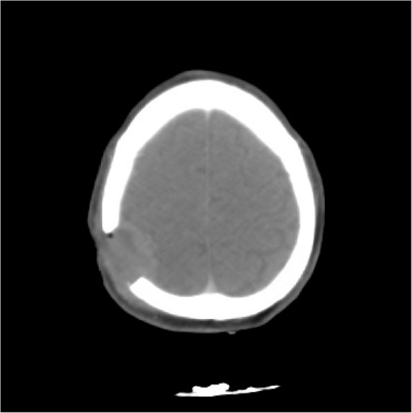
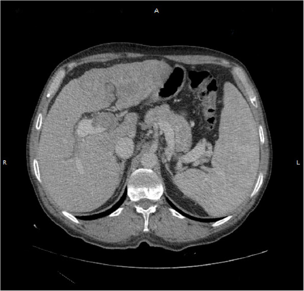
背景:肝细胞癌(HCC)是世界范围内癌症相关死亡的主要原因之一,其转移扩散到骨骼的频率惊人。然而,HCC转移到颅骨非常罕见,仅占所有骨转移的0.4-1.6%。转移瘤通常发生在脊柱、骨盆和肋骨。单独颅骨转移的发生,特别是在没有活动性原发性肝癌的情况下,是非常罕见的。病例描述:我们报告一名57岁男性患者的临床病例,有丙型肝炎病毒感染史,但之前没有活动性肝细胞癌的证据。在几个月的时间里,他在颅骨枕区出现了一个无痛的、逐渐增大的肿块。计算机断层扫描(CT)发现溶解性病变伴颅内压迫,但未见中线移位。组织病理学检查证实病变为转移性HCC,免疫组织化学标志物Hepatari- 1和Cytokeratin- 19进一步支持。随后的诊断程序显示肝脏病变,包括正电子发射断层扫描(PET)-CT扫描。进一步腹部CT造影剂检查显示肝4a段一界限清晰的局灶性病变,尺寸为4.3 × 4.3 cm,主要增强HCC特征。手术切除颅骨病变,患者接受了辅助放疗和全身治疗,并进行了姑息治疗,直到2024年5月去世。为了更好地理解和处理这种不典型的表现,我们进行了一项综述,讨论了与HCC颅骨转移相关的临床表现、影像学表现、病理特征和患者预后。结论:本病例强调了在孤立性颅骨病变鉴别诊断中考虑肝细胞癌的重要性,特别是在有肝脏疾病危险因素的患者中。及时识别原发恶性肿瘤对于确保最佳治疗和改善患者预后至关重要。
本文章由计算机程序翻译,如有差异,请以英文原文为准。

Lytic bone lesion of the skull as a rare manifestation of hepatocellular carcinoma: a case report.

Lytic bone lesion of the skull as a rare manifestation of hepatocellular carcinoma: a case report.

Lytic bone lesion of the skull as a rare manifestation of hepatocellular carcinoma: a case report.

Lytic bone lesion of the skull as a rare manifestation of hepatocellular carcinoma: a case report.

Background: Hepatocellular carcinoma (HCC) ranks among the leading causes of cancer-related deaths worldwide, with metastatic spread to bones being alarmingly frequent. However, HCC metastases to the skull are notably rare, accounting for only 0.4-1.6% of all bone metastases. Typically, metastases are found in the spine, pelvis, and ribs. The occurrence of solitary skull metastases, especially in the absence of active primary liver cancer, is extremely uncommon.

Case description: We present the clinical case of a 57-year-old male patient with a documented history of hepatitis C virus infection but without prior evidence of active hepatocellular carcinoma. Over the course of several months, he developed a non-tender, progressively enlarging mass located in the occipital region of the skull. A computed tomography (CT) scan identified a lytic lesion with intracranial compression, although no midline shift was noted. Histopathological examination confirmed the lesion as metastatic HCC, further supported by immunohistochemical markers Hepatari- 1 and Cytokeratin- 19. Subsequent diagnostic procedures revealed hepatic lesions, including a positron emission tomography (PET)-CT scan. Further examination through CT imaging of the abdomen with contrast highlighted a well-defined focal lesion in hepatic segment 4a, measuring 4.3 × 4.3 cm, predominantly enhancing with HCC characteristics. The skull lesion was surgically removed en bloc, and the patient underwent adjunct radiotherapy and systemic therapy, with palliative therapy till his death in May 2024. To better understand and manage this atypical presentation, we conducted a review for the discussion of clinical manifestations, imaging findings, pathological features, and patient outcomes associated with HCC skull metastases.

Conclusion: This case emphasizes the critical importance of considering hepatocellular carcinoma in the differential diagnosis of solitary skull lesions, especially in patients with risk factors for liver disease. Prompt identification of the primary malignancy remains essential for ensuring optimal management and improving patient prognosis.

求助全文
通过发布文献求助,成功后即可免费获取论文全文。 去求助
来源期刊
CiteScore
6.80
自引率
8.10%
发文量
37
审稿时长
9 weeks
×
引用
GB/T 7714-2015
复制
MLA
复制
APA
复制
导出至
BibTeX EndNote RefMan NoteFirst NoteExpress
×
提示
您的信息不完整,为了账户安全,请先补充。
现在去补充
×
提示
您因"违规操作"
具体请查看互助需知
我知道了
×
提示
确定
请完成安全验证×
copy
已复制链接
快去分享给好友吧!
我知道了
右上角分享
点击右上角分享
0
联系我们:info@booksci.cn Book学术提供免费学术资源搜索服务,方便国内外学者检索中英文文献。致力于提供最便捷和优质的服务体验。 Copyright © 2023 布克学术 All rights reserved.
京ICP备2023020795号-1
ghs 京公网安备 11010802042870号
Book学术文献互助
Book学术文献互助群
群 号:604180095
Book学术官方微信