一项前瞻性研究:儿童肱骨髁上骨折放射学愈合评分的可靠性和临床结果的相关性。

IF 1.6 4区 医学 Q3 ORTHOPEDICS
Journal of Childrens Orthopaedics Pub Date : 2025-04-12 eCollection Date: 2025-06-01 DOI:10.1177/18632521251331773
Uğur Yüzügüldü, Murat Yeşil, Özal Özcan, Gökhan Maralcan, Mehmet Nuri Konya
{"title":"一项前瞻性研究:儿童肱骨髁上骨折放射学愈合评分的可靠性和临床结果的相关性。","authors":"Uğur Yüzügüldü, Murat Yeşil, Özal Özcan, Gökhan Maralcan, Mehmet Nuri Konya","doi":"10.1177/18632521251331773","DOIUrl":null,"url":null,"abstract":"<p><strong>Background: </strong>Supracondylar humerus fractures are common in childhood, and postoperative follow-up planning for surgically treated fractures is still controversial. This study aims to investigate the interobserver and intraobserver reliability of the Radiographic Union Score for Tibial Fracture in the postoperative radiological follow-up of pediatric supracondylar humerus fractures and to evaluate the clinical results with the scores obtained during follow-up.</p><p><strong>Methods: </strong>In this prospective study, patients who were operated on for supracondylar humerus fractures were called for follow-up three times: postoperative splint removal, pin removal, and final control. A total of 58 patients, 34 boys and 24 girls, who provided regular follow-ups, were included in the study. During follow-ups, the Radiographic Union Score for Tibial Fracture was calculated by evaluating the patients' elbow anteroposterior and lateral radiographs, and the elbow joint range of motion was recorded with a goniometer. In two experiments, orthopedic surgeons evaluated intraobserver and interobserver reliability using the intraclass correlation coefficient at different times. The patients were evaluated at the last follow-up according to the Flynn criteria.</p><p><strong>Results: </strong>The first follow-up Radiographic Union Score for Tibial Fracture (median (range) was 8 (7-10), the second follow-up was 11 (9-12), and the third follow-up was 12 (11-12). Range of motion was 40° at the first follow-up, 90° at the second follow-up, and 120° at the third follow-up. Radiographic Union Score for Tibial Fracture and range of motion increased significantly as the weeks progressed (<i>p</i> < 0.001). Interobserver intraclass correlation coefficient at first follow-up was 0.80 (95% confidence interval 0.69-0.87), second follow-up was 0.85 (0.77-0.91), and third follow-up was 0.79 (0.67-0.87). Intraobserver intraclass correlation coefficient was 0.92 (0.88-0.95) at the first follow-up, 0.93 (0.98-0.96) at the second follow-up, and 1.00 (1.00-1.00) at the third follow-up. Flynn score results are functional; the cosmetic results were excellent in 46 patients, good in 4 patients, fair in 5 patients, poor in 3 patients, and cosmetic results were excellent in 54 patients and good in 4 patients.</p><p><strong>Conclusion: </strong>Our study determined that the radiographic union of fractures in pediatric supracondylar humerus fractures is reliably evaluated with the Radiographic Union Score for Tibial Fracture score. Radiographic Union Score for Tibial Fracture can be used to provide data-driven estimates of splint and pin removal.</p><p><strong>Level of evidence: </strong>Level II, prospective study.</p>","PeriodicalId":56060,"journal":{"name":"Journal of Childrens Orthopaedics","volume":" ","pages":"221-228"},"PeriodicalIF":1.6000,"publicationDate":"2025-04-12","publicationTypes":"Journal Article","fieldsOfStudy":null,"isOpenAccess":false,"openAccessPdf":"https://www.ncbi.nlm.nih.gov/pmc/articles/PMC11993557/pdf/","citationCount":"0","resultStr":"{\"title\":\"Reliability of radiographic union score and correlation of clinical outcomes in children operated for supracondylar humerus fracture: A prospective study.\",\"authors\":\"Uğur Yüzügüldü, Murat Yeşil, Özal Özcan, Gökhan Maralcan, Mehmet Nuri Konya\",\"doi\":\"10.1177/18632521251331773\",\"DOIUrl\":null,\"url\":null,\"abstract\":\"<p><strong>Background: </strong>Supracondylar humerus fractures are common in childhood, and postoperative follow-up planning for surgically treated fractures is still controversial. This study aims to investigate the interobserver and intraobserver reliability of the Radiographic Union Score for Tibial Fracture in the postoperative radiological follow-up of pediatric supracondylar humerus fractures and to evaluate the clinical results with the scores obtained during follow-up.</p><p><strong>Methods: </strong>In this prospective study, patients who were operated on for supracondylar humerus fractures were called for follow-up three times: postoperative splint removal, pin removal, and final control. A total of 58 patients, 34 boys and 24 girls, who provided regular follow-ups, were included in the study. During follow-ups, the Radiographic Union Score for Tibial Fracture was calculated by evaluating the patients' elbow anteroposterior and lateral radiographs, and the elbow joint range of motion was recorded with a goniometer. In two experiments, orthopedic surgeons evaluated intraobserver and interobserver reliability using the intraclass correlation coefficient at different times. The patients were evaluated at the last follow-up according to the Flynn criteria.</p><p><strong>Results: </strong>The first follow-up Radiographic Union Score for Tibial Fracture (median (range) was 8 (7-10), the second follow-up was 11 (9-12), and the third follow-up was 12 (11-12). Range of motion was 40° at the first follow-up, 90° at the second follow-up, and 120° at the third follow-up. Radiographic Union Score for Tibial Fracture and range of motion increased significantly as the weeks progressed (<i>p</i> < 0.001). Interobserver intraclass correlation coefficient at first follow-up was 0.80 (95% confidence interval 0.69-0.87), second follow-up was 0.85 (0.77-0.91), and third follow-up was 0.79 (0.67-0.87). Intraobserver intraclass correlation coefficient was 0.92 (0.88-0.95) at the first follow-up, 0.93 (0.98-0.96) at the second follow-up, and 1.00 (1.00-1.00) at the third follow-up. Flynn score results are functional; the cosmetic results were excellent in 46 patients, good in 4 patients, fair in 5 patients, poor in 3 patients, and cosmetic results were excellent in 54 patients and good in 4 patients.</p><p><strong>Conclusion: </strong>Our study determined that the radiographic union of fractures in pediatric supracondylar humerus fractures is reliably evaluated with the Radiographic Union Score for Tibial Fracture score. Radiographic Union Score for Tibial Fracture can be used to provide data-driven estimates of splint and pin removal.</p><p><strong>Level of evidence: </strong>Level II, prospective study.</p>\",\"PeriodicalId\":56060,\"journal\":{\"name\":\"Journal of Childrens Orthopaedics\",\"volume\":\" \",\"pages\":\"221-228\"},\"PeriodicalIF\":1.6000,\"publicationDate\":\"2025-04-12\",\"publicationTypes\":\"Journal Article\",\"fieldsOfStudy\":null,\"isOpenAccess\":false,\"openAccessPdf\":\"https://www.ncbi.nlm.nih.gov/pmc/articles/PMC11993557/pdf/\",\"citationCount\":\"0\",\"resultStr\":null,\"platform\":\"Semanticscholar\",\"paperid\":null,\"PeriodicalName\":\"Journal of Childrens Orthopaedics\",\"FirstCategoryId\":\"3\",\"ListUrlMain\":\"https://doi.org/10.1177/18632521251331773\",\"RegionNum\":4,\"RegionCategory\":\"医学\",\"ArticlePicture\":[],\"TitleCN\":null,\"AbstractTextCN\":null,\"PMCID\":null,\"EPubDate\":\"2025/6/1 0:00:00\",\"PubModel\":\"eCollection\",\"JCR\":\"Q3\",\"JCRName\":\"ORTHOPEDICS\",\"Score\":null,\"Total\":0}","platform":"Semanticscholar","paperid":null,"PeriodicalName":"Journal of Childrens Orthopaedics","FirstCategoryId":"3","ListUrlMain":"https://doi.org/10.1177/18632521251331773","RegionNum":4,"RegionCategory":"医学","ArticlePicture":[],"TitleCN":null,"AbstractTextCN":null,"PMCID":null,"EPubDate":"2025/6/1 0:00:00","PubModel":"eCollection","JCR":"Q3","JCRName":"ORTHOPEDICS","Score":null,"Total":0}
引用次数: 0

摘要

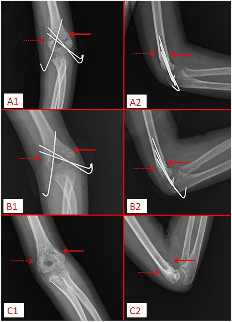
背景:肱骨髁上骨折在儿童时期很常见,手术治疗骨折的术后随访计划仍然存在争议。本研究旨在探讨小儿肱骨髁上骨折术后影像学随访中胫骨骨折放射联合评分在观察者间和观察者内的可靠性,并利用随访中获得的评分评估临床结果。方法:在本前瞻性研究中,对肱骨髁上骨折手术患者进行三次随访:术后取出夹板、取出销钉和最终对照。共有58名患者,34名男孩和24名女孩,提供定期随访,包括在研究中。随访期间,通过评估患者肘关节正位片和侧位片,计算胫骨骨折放射联合评分,并用角度计记录肘关节活动范围。在两个实验中,骨科医生在不同时间使用类内相关系数评估观察者内和观察者间的信度。在最后一次随访时根据Flynn标准对患者进行评估。结果:第一次随访胫骨骨折影像学联合评分中位数(范围)为8分(7-10分),第二次随访为11分(9-12分),第三次随访为12分(11-12分)。第一次随访时活动范围为40°,第二次随访时为90°,第三次随访时为120°。随着时间的推移,胫骨骨折的x线结合评分和活动范围显著增加(p)。结论:我们的研究确定,儿童肱骨髁上骨折的x线结合评分可以可靠地评估胫骨骨折的x线结合评分。胫骨骨折的x线联合评分可用于提供数据驱动的夹板和销钉移除评估。证据等级:II级,前瞻性研究。
本文章由计算机程序翻译,如有差异,请以英文原文为准。

Reliability of radiographic union score and correlation of clinical outcomes in children operated for supracondylar humerus fracture: A prospective study.

Reliability of radiographic union score and correlation of clinical outcomes in children operated for supracondylar humerus fracture: A prospective study.

Reliability of radiographic union score and correlation of clinical outcomes in children operated for supracondylar humerus fracture: A prospective study.

Reliability of radiographic union score and correlation of clinical outcomes in children operated for supracondylar humerus fracture: A prospective study.

Background: Supracondylar humerus fractures are common in childhood, and postoperative follow-up planning for surgically treated fractures is still controversial. This study aims to investigate the interobserver and intraobserver reliability of the Radiographic Union Score for Tibial Fracture in the postoperative radiological follow-up of pediatric supracondylar humerus fractures and to evaluate the clinical results with the scores obtained during follow-up.

Methods: In this prospective study, patients who were operated on for supracondylar humerus fractures were called for follow-up three times: postoperative splint removal, pin removal, and final control. A total of 58 patients, 34 boys and 24 girls, who provided regular follow-ups, were included in the study. During follow-ups, the Radiographic Union Score for Tibial Fracture was calculated by evaluating the patients' elbow anteroposterior and lateral radiographs, and the elbow joint range of motion was recorded with a goniometer. In two experiments, orthopedic surgeons evaluated intraobserver and interobserver reliability using the intraclass correlation coefficient at different times. The patients were evaluated at the last follow-up according to the Flynn criteria.

Results: The first follow-up Radiographic Union Score for Tibial Fracture (median (range) was 8 (7-10), the second follow-up was 11 (9-12), and the third follow-up was 12 (11-12). Range of motion was 40° at the first follow-up, 90° at the second follow-up, and 120° at the third follow-up. Radiographic Union Score for Tibial Fracture and range of motion increased significantly as the weeks progressed (p < 0.001). Interobserver intraclass correlation coefficient at first follow-up was 0.80 (95% confidence interval 0.69-0.87), second follow-up was 0.85 (0.77-0.91), and third follow-up was 0.79 (0.67-0.87). Intraobserver intraclass correlation coefficient was 0.92 (0.88-0.95) at the first follow-up, 0.93 (0.98-0.96) at the second follow-up, and 1.00 (1.00-1.00) at the third follow-up. Flynn score results are functional; the cosmetic results were excellent in 46 patients, good in 4 patients, fair in 5 patients, poor in 3 patients, and cosmetic results were excellent in 54 patients and good in 4 patients.

Conclusion: Our study determined that the radiographic union of fractures in pediatric supracondylar humerus fractures is reliably evaluated with the Radiographic Union Score for Tibial Fracture score. Radiographic Union Score for Tibial Fracture can be used to provide data-driven estimates of splint and pin removal.

Level of evidence: Level II, prospective study.

求助全文
通过发布文献求助,成功后即可免费获取论文全文。 去求助
来源期刊
Journal of Childrens Orthopaedics
Journal of Childrens Orthopaedics Medicine-Orthopedics and Sports Medicine
CiteScore
2.70
自引率
14.30%
发文量
61
审稿时长
23 weeks
期刊介绍: Aims & Scope The Journal of Children’s Orthopaedics is the official journal of the European Paediatric Orthopaedic Society (EPOS) and is published by The British Editorial Society of Bone & Joint Surgery. It provides a forum for the advancement of the knowledge and education in paediatric orthopaedics and traumatology across geographical borders. It advocates an increased worldwide involvement in preventing and treating musculoskeletal diseases in children and adolescents. The journal publishes high quality, peer-reviewed articles that focus on clinical practice, diagnosis and treatment of disorders unique to paediatric orthopaedics, as well as on basic and applied research. It aims to help physicians stay abreast of the latest and ever-changing developments in the field of paediatric orthopaedics and traumatology. The journal welcomes original contributions submitted exclusively for review to the journal. This continuously published online journal is fully open access and will publish one print issue each year to coincide with the EPOS Annual Congress, featuring the meeting’s abstracts.
×
引用
GB/T 7714-2015
复制
MLA
复制
APA
复制
导出至
BibTeX EndNote RefMan NoteFirst NoteExpress
×
提示
您的信息不完整,为了账户安全,请先补充。
现在去补充
×
提示
您因"违规操作"
具体请查看互助需知
我知道了
×
提示
确定
请完成安全验证×
copy
已复制链接
快去分享给好友吧!
我知道了
右上角分享
点击右上角分享
0
联系我们:info@booksci.cn Book学术提供免费学术资源搜索服务,方便国内外学者检索中英文文献。致力于提供最便捷和优质的服务体验。 Copyright © 2023 布克学术 All rights reserved.
京ICP备2023020795号-1
ghs 京公网安备 11010802042870号
Book学术文献互助
Book学术文献互助群
群 号:604180095
Book学术官方微信