巴伊亚州萨尔瓦多一家医院万古霉素耐药肠球菌感染:2021-2023年的描述性研究

IF 2 Q1 Multidisciplinary
Epidemiologia e Servicos de Saude Pub Date : 2025-04-14 eCollection Date: 2025-01-01 DOI:10.1590/S2237-96222024v34e20240135.en
Verônica França Rocha, Matheus Sales Barbosa, Euclimeire da Silva Neves, Valmira de Jesus Santos, Renata Ferreira da Silva Rego, Tiago Lôbo Pessoa, Marcelo Telles Ribeiro, Jessica Lais Almeida Dos Santos, Felicidade Mota Pereira, Joice Neves Reis
{"title":"巴伊亚州萨尔瓦多一家医院万古霉素耐药肠球菌感染:2021-2023年的描述性研究","authors":"Verônica França Rocha, Matheus Sales Barbosa, Euclimeire da Silva Neves, Valmira de Jesus Santos, Renata Ferreira da Silva Rego, Tiago Lôbo Pessoa, Marcelo Telles Ribeiro, Jessica Lais Almeida Dos Santos, Felicidade Mota Pereira, Joice Neves Reis","doi":"10.1590/S2237-96222024v34e20240135.en","DOIUrl":null,"url":null,"abstract":"<p><strong>Objective: </strong>To address the occurrence of an outbreak of vancomycin-resistant Enterococcus in inpatient units intended for COVID-19 patients in a hospital in Salvador, Brazil, specialized in infectious diseases, which underwent several adaptations with effect from March 2020.</p><p><strong>Methods: </strong>This is a descriptive study of patients with positive culture results for vancomycin-resistant Enterococcus between January 2021 and December 2023. The vanA/vanB genotype was defined by real-time polymerase chain reaction, and the clonal profile, by pulsed-field gel electrophoresis. Descriptive analyses were performed and presented as proportions.</p><p><strong>Results: </strong>Fifteen Enterococcus spp. infected/colonized patients were identified, of which 7 were E. faecalis, 7 were E. faecium and 1 was E. gallinarum. Two clonal profiles were identified: E. faecalis profile A and E. faecium profile C. The vanA genotype was predominant. Possible cross-contamination of disinfected materials and other dirty materials used for bathing and waste disposal was detected in utility/sluice room sinks.</p><p><strong>Conclusion: </strong>The vancomycin-resistant Enterococcus outbreak in the inpatient units was controlled after implementing a unidirectional flow of disinfection of materials in utility/sluice rooms.</p>","PeriodicalId":51473,"journal":{"name":"Epidemiologia e Servicos de Saude","volume":"34 ","pages":"e20240135"},"PeriodicalIF":2.0000,"publicationDate":"2025-04-14","publicationTypes":"Journal Article","fieldsOfStudy":null,"isOpenAccess":false,"openAccessPdf":"https://www.ncbi.nlm.nih.gov/pmc/articles/PMC12039790/pdf/","citationCount":"0","resultStr":"{\"title\":\"Vancomycin-resistant Enterococcus infections in a hospital in Salvador, Bahia: a descriptive study, 2021-2023.\",\"authors\":\"Verônica França Rocha, Matheus Sales Barbosa, Euclimeire da Silva Neves, Valmira de Jesus Santos, Renata Ferreira da Silva Rego, Tiago Lôbo Pessoa, Marcelo Telles Ribeiro, Jessica Lais Almeida Dos Santos, Felicidade Mota Pereira, Joice Neves Reis\",\"doi\":\"10.1590/S2237-96222024v34e20240135.en\",\"DOIUrl\":null,\"url\":null,\"abstract\":\"<p><strong>Objective: </strong>To address the occurrence of an outbreak of vancomycin-resistant Enterococcus in inpatient units intended for COVID-19 patients in a hospital in Salvador, Brazil, specialized in infectious diseases, which underwent several adaptations with effect from March 2020.</p><p><strong>Methods: </strong>This is a descriptive study of patients with positive culture results for vancomycin-resistant Enterococcus between January 2021 and December 2023. The vanA/vanB genotype was defined by real-time polymerase chain reaction, and the clonal profile, by pulsed-field gel electrophoresis. Descriptive analyses were performed and presented as proportions.</p><p><strong>Results: </strong>Fifteen Enterococcus spp. infected/colonized patients were identified, of which 7 were E. faecalis, 7 were E. faecium and 1 was E. gallinarum. Two clonal profiles were identified: E. faecalis profile A and E. faecium profile C. The vanA genotype was predominant. Possible cross-contamination of disinfected materials and other dirty materials used for bathing and waste disposal was detected in utility/sluice room sinks.</p><p><strong>Conclusion: </strong>The vancomycin-resistant Enterococcus outbreak in the inpatient units was controlled after implementing a unidirectional flow of disinfection of materials in utility/sluice rooms.</p>\",\"PeriodicalId\":51473,\"journal\":{\"name\":\"Epidemiologia e Servicos de Saude\",\"volume\":\"34 \",\"pages\":\"e20240135\"},\"PeriodicalIF\":2.0000,\"publicationDate\":\"2025-04-14\",\"publicationTypes\":\"Journal Article\",\"fieldsOfStudy\":null,\"isOpenAccess\":false,\"openAccessPdf\":\"https://www.ncbi.nlm.nih.gov/pmc/articles/PMC12039790/pdf/\",\"citationCount\":\"0\",\"resultStr\":null,\"platform\":\"Semanticscholar\",\"paperid\":null,\"PeriodicalName\":\"Epidemiologia e Servicos de Saude\",\"FirstCategoryId\":\"1085\",\"ListUrlMain\":\"https://doi.org/10.1590/S2237-96222024v34e20240135.en\",\"RegionNum\":0,\"RegionCategory\":null,\"ArticlePicture\":[],\"TitleCN\":null,\"AbstractTextCN\":null,\"PMCID\":null,\"EPubDate\":\"2025/1/1 0:00:00\",\"PubModel\":\"eCollection\",\"JCR\":\"Q1\",\"JCRName\":\"Multidisciplinary\",\"Score\":null,\"Total\":0}","platform":"Semanticscholar","paperid":null,"PeriodicalName":"Epidemiologia e Servicos de Saude","FirstCategoryId":"1085","ListUrlMain":"https://doi.org/10.1590/S2237-96222024v34e20240135.en","RegionNum":0,"RegionCategory":null,"ArticlePicture":[],"TitleCN":null,"AbstractTextCN":null,"PMCID":null,"EPubDate":"2025/1/1 0:00:00","PubModel":"eCollection","JCR":"Q1","JCRName":"Multidisciplinary","Score":null,"Total":0}
引用次数: 0

摘要

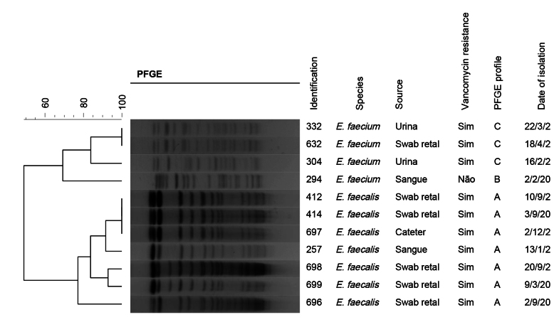
目的:为应对巴西萨尔瓦多某传染病专科医院2019冠状病毒病(COVID-19)住院病房发生的耐万古霉素肠球菌疫情,该医院自2020年3月起进行了多次调整。方法:对2021年1月至2023年12月期间万古霉素耐药肠球菌培养结果阳性的患者进行描述性研究。通过实时聚合酶链反应确定vanA/vanB基因型,通过脉冲场凝胶电泳确定克隆谱。进行描述性分析并以比例表示。结果:共检出15例肠球菌感染/定殖患者,其中粪肠球菌7例,粪肠球菌7例,鸡肠球菌1例。鉴定出粪肠杆菌A型和c型两个克隆型,以vanA基因型为主。在公用事业/水闸室水槽中检测到消毒材料和其他用于洗浴和废物处理的脏材料可能交叉污染。结论:对公用/水闸室物料实行单向消毒后,住院病房耐万古霉素肠球菌疫情得到控制。
本文章由计算机程序翻译,如有差异,请以英文原文为准。

Vancomycin-resistant Enterococcus infections in a hospital in Salvador, Bahia: a descriptive study, 2021-2023.

Vancomycin-resistant Enterococcus infections in a hospital in Salvador, Bahia: a descriptive study, 2021-2023.

Vancomycin-resistant Enterococcus infections in a hospital in Salvador, Bahia: a descriptive study, 2021-2023.

Vancomycin-resistant Enterococcus infections in a hospital in Salvador, Bahia: a descriptive study, 2021-2023.

Objective: To address the occurrence of an outbreak of vancomycin-resistant Enterococcus in inpatient units intended for COVID-19 patients in a hospital in Salvador, Brazil, specialized in infectious diseases, which underwent several adaptations with effect from March 2020.

Methods: This is a descriptive study of patients with positive culture results for vancomycin-resistant Enterococcus between January 2021 and December 2023. The vanA/vanB genotype was defined by real-time polymerase chain reaction, and the clonal profile, by pulsed-field gel electrophoresis. Descriptive analyses were performed and presented as proportions.

Results: Fifteen Enterococcus spp. infected/colonized patients were identified, of which 7 were E. faecalis, 7 were E. faecium and 1 was E. gallinarum. Two clonal profiles were identified: E. faecalis profile A and E. faecium profile C. The vanA genotype was predominant. Possible cross-contamination of disinfected materials and other dirty materials used for bathing and waste disposal was detected in utility/sluice room sinks.

Conclusion: The vancomycin-resistant Enterococcus outbreak in the inpatient units was controlled after implementing a unidirectional flow of disinfection of materials in utility/sluice rooms.

求助全文
通过发布文献求助,成功后即可免费获取论文全文。 去求助
来源期刊
Epidemiologia e Servicos de Saude
Epidemiologia e Servicos de Saude PUBLIC, ENVIRONMENTAL & OCCUPATIONAL HEALTH-
CiteScore
4.90
自引率
0.00%
发文量
88
审稿时长
21 weeks
×
引用
GB/T 7714-2015
复制
MLA
复制
APA
复制
导出至
BibTeX EndNote RefMan NoteFirst NoteExpress
×
提示
您的信息不完整,为了账户安全,请先补充。
现在去补充
×
提示
您因"违规操作"
具体请查看互助需知
我知道了
×
提示
确定
请完成安全验证×
copy
已复制链接
快去分享给好友吧!
我知道了
右上角分享
点击右上角分享
0
联系我们:info@booksci.cn Book学术提供免费学术资源搜索服务,方便国内外学者检索中英文文献。致力于提供最便捷和优质的服务体验。 Copyright © 2023 布克学术 All rights reserved.
京ICP备2023020795号-1
ghs 京公网安备 11010802042870号
Book学术文献互助
Book学术文献互助群
群 号:604180095
Book学术官方微信