婴儿左冠状动脉起源于肺动脉异常的巨大左心房。

IF 1 Q4 RADIOLOGY, NUCLEAR MEDICINE & MEDICAL IMAGING
Indian Journal of Radiology and Imaging Pub Date : 2024-10-24 eCollection Date: 2025-04-01 DOI:10.1055/s-0044-1791747
Damandeep Singh, Aprateem Mukherjee, Sanjeev Kumar, Saurabh Kumar Gupta
{"title":"婴儿左冠状动脉起源于肺动脉异常的巨大左心房。","authors":"Damandeep Singh, Aprateem Mukherjee, Sanjeev Kumar, Saurabh Kumar Gupta","doi":"10.1055/s-0044-1791747","DOIUrl":null,"url":null,"abstract":"<p><p>Anomalous origin of the left coronary artery (ALCAPA) from the pulmonary artery is a rare congenital anomaly with coronary steal and myocardial ischemia. The left ventricular dilatation leads to mitral regurgitation causing left atrial enlargement. We report a rare case of giant left atrium in an infant with ALCAPA-mediated secondary mitral regurgitation, which has been hitherto unreported.</p>","PeriodicalId":51597,"journal":{"name":"Indian Journal of Radiology and Imaging","volume":"35 2","pages":"343-345"},"PeriodicalIF":1.0000,"publicationDate":"2024-10-24","publicationTypes":"Journal Article","fieldsOfStudy":null,"isOpenAccess":false,"openAccessPdf":"https://www.ncbi.nlm.nih.gov/pmc/articles/PMC12034407/pdf/","citationCount":"0","resultStr":"{\"title\":\"Giant Left Atrium in an Infant with Anomalous Origin of Left Coronary Artery from Pulmonary Artery.\",\"authors\":\"Damandeep Singh, Aprateem Mukherjee, Sanjeev Kumar, Saurabh Kumar Gupta\",\"doi\":\"10.1055/s-0044-1791747\",\"DOIUrl\":null,\"url\":null,\"abstract\":\"<p><p>Anomalous origin of the left coronary artery (ALCAPA) from the pulmonary artery is a rare congenital anomaly with coronary steal and myocardial ischemia. The left ventricular dilatation leads to mitral regurgitation causing left atrial enlargement. We report a rare case of giant left atrium in an infant with ALCAPA-mediated secondary mitral regurgitation, which has been hitherto unreported.</p>\",\"PeriodicalId\":51597,\"journal\":{\"name\":\"Indian Journal of Radiology and Imaging\",\"volume\":\"35 2\",\"pages\":\"343-345\"},\"PeriodicalIF\":1.0000,\"publicationDate\":\"2024-10-24\",\"publicationTypes\":\"Journal Article\",\"fieldsOfStudy\":null,\"isOpenAccess\":false,\"openAccessPdf\":\"https://www.ncbi.nlm.nih.gov/pmc/articles/PMC12034407/pdf/\",\"citationCount\":\"0\",\"resultStr\":null,\"platform\":\"Semanticscholar\",\"paperid\":null,\"PeriodicalName\":\"Indian Journal of Radiology and Imaging\",\"FirstCategoryId\":\"1085\",\"ListUrlMain\":\"https://doi.org/10.1055/s-0044-1791747\",\"RegionNum\":0,\"RegionCategory\":null,\"ArticlePicture\":[],\"TitleCN\":null,\"AbstractTextCN\":null,\"PMCID\":null,\"EPubDate\":\"2025/4/1 0:00:00\",\"PubModel\":\"eCollection\",\"JCR\":\"Q4\",\"JCRName\":\"RADIOLOGY, NUCLEAR MEDICINE & MEDICAL IMAGING\",\"Score\":null,\"Total\":0}","platform":"Semanticscholar","paperid":null,"PeriodicalName":"Indian Journal of Radiology and Imaging","FirstCategoryId":"1085","ListUrlMain":"https://doi.org/10.1055/s-0044-1791747","RegionNum":0,"RegionCategory":null,"ArticlePicture":[],"TitleCN":null,"AbstractTextCN":null,"PMCID":null,"EPubDate":"2025/4/1 0:00:00","PubModel":"eCollection","JCR":"Q4","JCRName":"RADIOLOGY, NUCLEAR MEDICINE & MEDICAL IMAGING","Score":null,"Total":0}
引用次数: 0

摘要

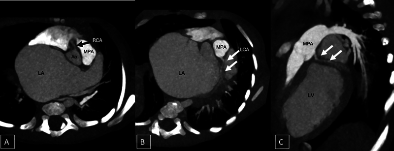
摘要左冠状动脉异常起源于肺动脉是一种罕见的先天性异常,伴有冠状动脉偷取和心肌缺血。左心室扩张导致二尖瓣反流导致左房增大。我们报告一个罕见的病例巨大左心房的婴儿与alcapa介导的继发性二尖瓣反流,这是迄今为止尚未报道。
本文章由计算机程序翻译,如有差异,请以英文原文为准。

Giant Left Atrium in an Infant with Anomalous Origin of Left Coronary Artery from Pulmonary Artery.

Giant Left Atrium in an Infant with Anomalous Origin of Left Coronary Artery from Pulmonary Artery.

Giant Left Atrium in an Infant with Anomalous Origin of Left Coronary Artery from Pulmonary Artery.

Anomalous origin of the left coronary artery (ALCAPA) from the pulmonary artery is a rare congenital anomaly with coronary steal and myocardial ischemia. The left ventricular dilatation leads to mitral regurgitation causing left atrial enlargement. We report a rare case of giant left atrium in an infant with ALCAPA-mediated secondary mitral regurgitation, which has been hitherto unreported.

求助全文
通过发布文献求助,成功后即可免费获取论文全文。 去求助
来源期刊
Indian Journal of Radiology and Imaging
Indian Journal of Radiology and Imaging RADIOLOGY, NUCLEAR MEDICINE & MEDICAL IMAGING-
CiteScore
1.20
自引率
0.00%
发文量
115
审稿时长
45 weeks
期刊介绍: Information not localized
×
引用
GB/T 7714-2015
复制
MLA
复制
APA
复制
导出至
BibTeX EndNote RefMan NoteFirst NoteExpress
×
提示
您的信息不完整,为了账户安全,请先补充。
现在去补充
×
提示
您因"违规操作"
具体请查看互助需知
我知道了
×
提示
确定
请完成安全验证×
copy
已复制链接
快去分享给好友吧!
我知道了
右上角分享
点击右上角分享
0
联系我们:info@booksci.cn Book学术提供免费学术资源搜索服务,方便国内外学者检索中英文文献。致力于提供最便捷和优质的服务体验。 Copyright © 2023 布克学术 All rights reserved.
京ICP备2023020795号-1
ghs 京公网安备 11010802042870号
Book学术文献互助
Book学术文献互助群
群 号:604180095
Book学术官方微信