下直肌脓肿1例报告。

Journal of education & teaching in emergency medicine Pub Date : 2025-04-30 eCollection Date: 2025-04-01 DOI:10.21980/J8J35G
Luke Chi, Adam Sauer, Danielle Matonis
{"title":"下直肌脓肿1例报告。","authors":"Luke Chi, Adam Sauer, Danielle Matonis","doi":"10.21980/J8J35G","DOIUrl":null,"url":null,"abstract":"<p><p>Soft tissue infections, including abscesses, are frequently encountered in the emergency department. However, abscesses of the inferior rectus muscle are rare and may present unique diagnostic and therapeutic challenges due to the scarcity of documented cases. This case report highlights the treatment of a 47-year-old male presenting with an abscess in the left inferior rectus muscle due to an acute Methicillin-resistant Staphylococcus aureus infection. Imaging revealed a distinct fluid collection compressing the left globe, causing restricted ocular motility and other symptoms. Despite prior intravenous antibiotics, the abscess persisted. While intravenous antibiotics are an important component of treatment, this case highlights the potential insufficiency of this approach alone, emphasizing a need for surgical intervention such as orbitotomy for drainage. This report contributes to the limited literature on inferior rectus muscle abscesses and underscores the need for further research and clinical attention to optimize patient outcomes.</p><p><strong>Topics: </strong>Abscess, soft tissue infection, extraocular muscles, pyomyositis, Methicillin-resistant Staphylococcus aureus, proptosis, diplopia, vision loss.</p>","PeriodicalId":73721,"journal":{"name":"Journal of education & teaching in emergency medicine","volume":"10 2","pages":"V10-V13"},"PeriodicalIF":0.0000,"publicationDate":"2025-04-30","publicationTypes":"Journal Article","fieldsOfStudy":null,"isOpenAccess":false,"openAccessPdf":"https://www.ncbi.nlm.nih.gov/pmc/articles/PMC12054069/pdf/","citationCount":"0","resultStr":"{\"title\":\"A Case Report of Inferior Rectus Abscess.\",\"authors\":\"Luke Chi, Adam Sauer, Danielle Matonis\",\"doi\":\"10.21980/J8J35G\",\"DOIUrl\":null,\"url\":null,\"abstract\":\"<p><p>Soft tissue infections, including abscesses, are frequently encountered in the emergency department. However, abscesses of the inferior rectus muscle are rare and may present unique diagnostic and therapeutic challenges due to the scarcity of documented cases. This case report highlights the treatment of a 47-year-old male presenting with an abscess in the left inferior rectus muscle due to an acute Methicillin-resistant Staphylococcus aureus infection. Imaging revealed a distinct fluid collection compressing the left globe, causing restricted ocular motility and other symptoms. Despite prior intravenous antibiotics, the abscess persisted. While intravenous antibiotics are an important component of treatment, this case highlights the potential insufficiency of this approach alone, emphasizing a need for surgical intervention such as orbitotomy for drainage. This report contributes to the limited literature on inferior rectus muscle abscesses and underscores the need for further research and clinical attention to optimize patient outcomes.</p><p><strong>Topics: </strong>Abscess, soft tissue infection, extraocular muscles, pyomyositis, Methicillin-resistant Staphylococcus aureus, proptosis, diplopia, vision loss.</p>\",\"PeriodicalId\":73721,\"journal\":{\"name\":\"Journal of education & teaching in emergency medicine\",\"volume\":\"10 2\",\"pages\":\"V10-V13\"},\"PeriodicalIF\":0.0000,\"publicationDate\":\"2025-04-30\",\"publicationTypes\":\"Journal Article\",\"fieldsOfStudy\":null,\"isOpenAccess\":false,\"openAccessPdf\":\"https://www.ncbi.nlm.nih.gov/pmc/articles/PMC12054069/pdf/\",\"citationCount\":\"0\",\"resultStr\":null,\"platform\":\"Semanticscholar\",\"paperid\":null,\"PeriodicalName\":\"Journal of education & teaching in emergency medicine\",\"FirstCategoryId\":\"1085\",\"ListUrlMain\":\"https://doi.org/10.21980/J8J35G\",\"RegionNum\":0,\"RegionCategory\":null,\"ArticlePicture\":[],\"TitleCN\":null,\"AbstractTextCN\":null,\"PMCID\":null,\"EPubDate\":\"2025/4/1 0:00:00\",\"PubModel\":\"eCollection\",\"JCR\":\"\",\"JCRName\":\"\",\"Score\":null,\"Total\":0}","platform":"Semanticscholar","paperid":null,"PeriodicalName":"Journal of education & teaching in emergency medicine","FirstCategoryId":"1085","ListUrlMain":"https://doi.org/10.21980/J8J35G","RegionNum":0,"RegionCategory":null,"ArticlePicture":[],"TitleCN":null,"AbstractTextCN":null,"PMCID":null,"EPubDate":"2025/4/1 0:00:00","PubModel":"eCollection","JCR":"","JCRName":"","Score":null,"Total":0}
引用次数: 0

摘要

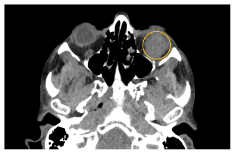
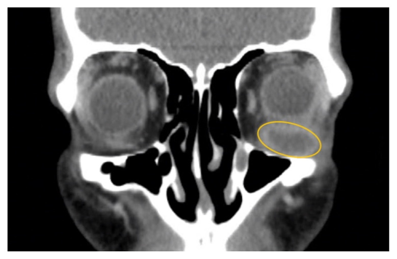
软组织感染,包括脓肿,是急诊科经常遇到的。然而,下直肌脓肿是罕见的,可能会提出独特的诊断和治疗挑战,由于缺乏文献病例。本病例报告强调了一名47岁男性,因急性耐甲氧西林金黄色葡萄球菌感染而出现左下直肌脓肿的治疗。影像显示明显的积液压迫左眼球,引起眼球运动受限和其他症状。尽管先前静脉注射抗生素,脓肿仍然存在。虽然静脉注射抗生素是治疗的重要组成部分,但本病例强调了单独使用这种方法的潜在不足,强调需要手术干预,如眼窝切开引流。本报告补充了关于下直肌脓肿的有限文献,并强调了进一步研究和临床关注以优化患者预后的必要性。主题:脓肿、软组织感染、眼外肌、化脓炎、耐甲氧西林金黄色葡萄球菌、眼球突出、复视、视力丧失。
本文章由计算机程序翻译,如有差异,请以英文原文为准。

A Case Report of Inferior Rectus Abscess.

A Case Report of Inferior Rectus Abscess.

A Case Report of Inferior Rectus Abscess.

A Case Report of Inferior Rectus Abscess.

Soft tissue infections, including abscesses, are frequently encountered in the emergency department. However, abscesses of the inferior rectus muscle are rare and may present unique diagnostic and therapeutic challenges due to the scarcity of documented cases. This case report highlights the treatment of a 47-year-old male presenting with an abscess in the left inferior rectus muscle due to an acute Methicillin-resistant Staphylococcus aureus infection. Imaging revealed a distinct fluid collection compressing the left globe, causing restricted ocular motility and other symptoms. Despite prior intravenous antibiotics, the abscess persisted. While intravenous antibiotics are an important component of treatment, this case highlights the potential insufficiency of this approach alone, emphasizing a need for surgical intervention such as orbitotomy for drainage. This report contributes to the limited literature on inferior rectus muscle abscesses and underscores the need for further research and clinical attention to optimize patient outcomes.

Topics: Abscess, soft tissue infection, extraocular muscles, pyomyositis, Methicillin-resistant Staphylococcus aureus, proptosis, diplopia, vision loss.

求助全文
通过发布文献求助,成功后即可免费获取论文全文。 去求助
来源期刊
自引率
0.00%
发文量
0
审稿时长
10 weeks
×
引用
GB/T 7714-2015
复制
MLA
复制
APA
复制
导出至
BibTeX EndNote RefMan NoteFirst NoteExpress
×
提示
您的信息不完整,为了账户安全,请先补充。
现在去补充
×
提示
您因"违规操作"
具体请查看互助需知
我知道了
×
提示
确定
请完成安全验证×
copy
已复制链接
快去分享给好友吧!
我知道了
右上角分享
点击右上角分享
0
联系我们:info@booksci.cn Book学术提供免费学术资源搜索服务,方便国内外学者检索中英文文献。致力于提供最便捷和优质的服务体验。 Copyright © 2023 布克学术 All rights reserved.
京ICP备2023020795号-1
ghs 京公网安备 11010802042870号
Book学术文献互助
Book学术文献互助群
群 号:604180095
Book学术官方微信