骨巨细胞瘤的手术和放射预后:Campanacci分级和denosumab选择性使用的预后价值。

IF 3.7 2区 医学 Q1 ORTHOPEDICS
Jasminka Igrec, Lisa Jernej, Maria Anna Smolle, Jakob Steiner, Susanne Scheipl, Birgit Lohberger, Andreas Leithner, Iva Brcic
{"title":"骨巨细胞瘤的手术和放射预后:Campanacci分级和denosumab选择性使用的预后价值。","authors":"Jasminka Igrec, Lisa Jernej, Maria Anna Smolle, Jakob Steiner, Susanne Scheipl, Birgit Lohberger, Andreas Leithner, Iva Brcic","doi":"10.1186/s10195-025-00841-2","DOIUrl":null,"url":null,"abstract":"<p><strong>Background: </strong>Advancements in diagnostic and therapeutic modalities for giant cell tumors of bone (GCTB) have introduced molecular and radiological tools that refine clinical decision-making. H3.3 G34W immunohistochemical staining has become a routine diagnostic marker, while H3F3A mutational analysis enhances prognostic insights. Treatment primarily involves surgical methods such as curettage or en bloc resection, with denosumab serving as an adjunct in high-risk or inoperable cases.</p><p><strong>Methods: </strong>We retrospectively analyzed 55 patients with GCTB, focusing on clinicopathologic and radiological findings. Tumors were evaluated using the Campanacci grading system. Immunohistochemical analysis with H3.3 G34W antibody and next-generation sequencing (NGS) were performed to detect H3F3A mutations. A subgroup of nine patients treated with denosumab was further analyzed for clinical outcomes and histological changes.</p><p><strong>Results: </strong>The cohort had a mean age of 37.7 years, with tumors most commonly affecting the knee joint (55%). All tested tumors demonstrated positive H3.3 G34W staining, with eight exhibiting H3F3A G34W mutations. Recurrence rates were 32% following curettage and 18% after en bloc resection. Denosumab treatment, administered for an average of 14.6 months, facilitated tumor downsizing and new bone formation without major side effects. Histologically, treated tumors showed a depletion of giant cells and increased bone matrix deposition.</p><p><strong>Conclusions: </strong>Surgery remains the cornerstone of GCTB treatment, with curettage or resection tailored to tumor characteristics. Denosumab offers a valuable adjunct in high-risk cases, enhancing surgical feasibility and promoting joint preservation. The Campanacci grading system continues to be a crucial tool for prognostication and treatment planning, particularly when complemented by molecular and radiological diagnostics. Future research should focus on integrating advanced imaging and artificial intelligence for personalized GCTB management.</p><p><strong>Level of evidence: </strong>Level 4.</p>","PeriodicalId":48603,"journal":{"name":"Journal of Orthopaedics and Traumatology","volume":"26 1","pages":"27"},"PeriodicalIF":3.7000,"publicationDate":"2025-05-03","publicationTypes":"Journal Article","fieldsOfStudy":null,"isOpenAccess":false,"openAccessPdf":"https://www.ncbi.nlm.nih.gov/pmc/articles/PMC12049345/pdf/","citationCount":"0","resultStr":"{\"title\":\"Surgical and radiological outcomes of giant cell tumor of the bone: prognostic value of Campanacci grading and selective use of denosumab.\",\"authors\":\"Jasminka Igrec, Lisa Jernej, Maria Anna Smolle, Jakob Steiner, Susanne Scheipl, Birgit Lohberger, Andreas Leithner, Iva Brcic\",\"doi\":\"10.1186/s10195-025-00841-2\",\"DOIUrl\":null,\"url\":null,\"abstract\":\"<p><strong>Background: </strong>Advancements in diagnostic and therapeutic modalities for giant cell tumors of bone (GCTB) have introduced molecular and radiological tools that refine clinical decision-making. H3.3 G34W immunohistochemical staining has become a routine diagnostic marker, while H3F3A mutational analysis enhances prognostic insights. Treatment primarily involves surgical methods such as curettage or en bloc resection, with denosumab serving as an adjunct in high-risk or inoperable cases.</p><p><strong>Methods: </strong>We retrospectively analyzed 55 patients with GCTB, focusing on clinicopathologic and radiological findings. Tumors were evaluated using the Campanacci grading system. Immunohistochemical analysis with H3.3 G34W antibody and next-generation sequencing (NGS) were performed to detect H3F3A mutations. A subgroup of nine patients treated with denosumab was further analyzed for clinical outcomes and histological changes.</p><p><strong>Results: </strong>The cohort had a mean age of 37.7 years, with tumors most commonly affecting the knee joint (55%). All tested tumors demonstrated positive H3.3 G34W staining, with eight exhibiting H3F3A G34W mutations. Recurrence rates were 32% following curettage and 18% after en bloc resection. Denosumab treatment, administered for an average of 14.6 months, facilitated tumor downsizing and new bone formation without major side effects. Histologically, treated tumors showed a depletion of giant cells and increased bone matrix deposition.</p><p><strong>Conclusions: </strong>Surgery remains the cornerstone of GCTB treatment, with curettage or resection tailored to tumor characteristics. Denosumab offers a valuable adjunct in high-risk cases, enhancing surgical feasibility and promoting joint preservation. The Campanacci grading system continues to be a crucial tool for prognostication and treatment planning, particularly when complemented by molecular and radiological diagnostics. Future research should focus on integrating advanced imaging and artificial intelligence for personalized GCTB management.</p><p><strong>Level of evidence: </strong>Level 4.</p>\",\"PeriodicalId\":48603,\"journal\":{\"name\":\"Journal of Orthopaedics and Traumatology\",\"volume\":\"26 1\",\"pages\":\"27\"},\"PeriodicalIF\":3.7000,\"publicationDate\":\"2025-05-03\",\"publicationTypes\":\"Journal Article\",\"fieldsOfStudy\":null,\"isOpenAccess\":false,\"openAccessPdf\":\"https://www.ncbi.nlm.nih.gov/pmc/articles/PMC12049345/pdf/\",\"citationCount\":\"0\",\"resultStr\":null,\"platform\":\"Semanticscholar\",\"paperid\":null,\"PeriodicalName\":\"Journal of Orthopaedics and Traumatology\",\"FirstCategoryId\":\"3\",\"ListUrlMain\":\"https://doi.org/10.1186/s10195-025-00841-2\",\"RegionNum\":2,\"RegionCategory\":\"医学\",\"ArticlePicture\":[],\"TitleCN\":null,\"AbstractTextCN\":null,\"PMCID\":null,\"EPubDate\":\"\",\"PubModel\":\"\",\"JCR\":\"Q1\",\"JCRName\":\"ORTHOPEDICS\",\"Score\":null,\"Total\":0}","platform":"Semanticscholar","paperid":null,"PeriodicalName":"Journal of Orthopaedics and Traumatology","FirstCategoryId":"3","ListUrlMain":"https://doi.org/10.1186/s10195-025-00841-2","RegionNum":2,"RegionCategory":"医学","ArticlePicture":[],"TitleCN":null,"AbstractTextCN":null,"PMCID":null,"EPubDate":"","PubModel":"","JCR":"Q1","JCRName":"ORTHOPEDICS","Score":null,"Total":0}
引用次数: 0

摘要

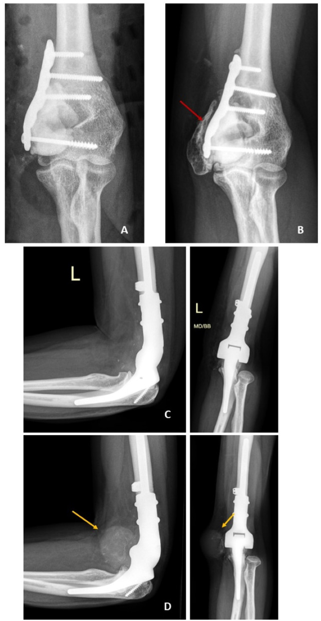
背景:骨巨细胞瘤(GCTB)的诊断和治疗方式的进步引入了分子和放射学工具来改进临床决策。H3.3 G34W免疫组化染色已成为常规诊断标志物,而H3F3A突变分析增强了对预后的认识。治疗主要包括手术方法,如刮除或整体切除,在高风险或不能手术的病例中,denosumab作为辅助。方法:回顾性分析55例GCTB患者的临床病理和影像学表现。采用Campanacci分级系统对肿瘤进行评估。采用H3.3 G34W抗体免疫组化分析和下一代测序(NGS)检测H3F3A突变。对接受denosumab治疗的9例患者的亚组进行进一步的临床结果和组织学变化分析。结果:该队列的平均年龄为37.7岁,肿瘤最常影响膝关节(55%)。所有检测的肿瘤均显示H3.3 G34W阳性染色,其中8个肿瘤显示H3F3A G34W突变。刮除术后复发率为32%,整体切除后复发率为18%。Denosumab治疗平均14.6个月,促进肿瘤缩小和新骨形成,无主要副作用。组织学上,治疗后的肿瘤显示巨细胞耗竭和骨基质沉积增加。结论:手术仍然是GCTB治疗的基石,根据肿瘤特征进行刮除或切除。Denosumab在高风险病例中提供了有价值的辅助手段,提高了手术的可行性并促进了关节的保护。Campanacci分级系统仍然是预测和治疗计划的重要工具,特别是在分子和放射诊断的补充下。未来的研究应侧重于将先进成像技术与人工智能技术相结合,实现GCTB的个性化管理。证据等级:四级。
本文章由计算机程序翻译,如有差异,请以英文原文为准。

Surgical and radiological outcomes of giant cell tumor of the bone: prognostic value of Campanacci grading and selective use of denosumab.

Surgical and radiological outcomes of giant cell tumor of the bone: prognostic value of Campanacci grading and selective use of denosumab.

Surgical and radiological outcomes of giant cell tumor of the bone: prognostic value of Campanacci grading and selective use of denosumab.

Surgical and radiological outcomes of giant cell tumor of the bone: prognostic value of Campanacci grading and selective use of denosumab.

Background: Advancements in diagnostic and therapeutic modalities for giant cell tumors of bone (GCTB) have introduced molecular and radiological tools that refine clinical decision-making. H3.3 G34W immunohistochemical staining has become a routine diagnostic marker, while H3F3A mutational analysis enhances prognostic insights. Treatment primarily involves surgical methods such as curettage or en bloc resection, with denosumab serving as an adjunct in high-risk or inoperable cases.

Methods: We retrospectively analyzed 55 patients with GCTB, focusing on clinicopathologic and radiological findings. Tumors were evaluated using the Campanacci grading system. Immunohistochemical analysis with H3.3 G34W antibody and next-generation sequencing (NGS) were performed to detect H3F3A mutations. A subgroup of nine patients treated with denosumab was further analyzed for clinical outcomes and histological changes.

Results: The cohort had a mean age of 37.7 years, with tumors most commonly affecting the knee joint (55%). All tested tumors demonstrated positive H3.3 G34W staining, with eight exhibiting H3F3A G34W mutations. Recurrence rates were 32% following curettage and 18% after en bloc resection. Denosumab treatment, administered for an average of 14.6 months, facilitated tumor downsizing and new bone formation without major side effects. Histologically, treated tumors showed a depletion of giant cells and increased bone matrix deposition.

Conclusions: Surgery remains the cornerstone of GCTB treatment, with curettage or resection tailored to tumor characteristics. Denosumab offers a valuable adjunct in high-risk cases, enhancing surgical feasibility and promoting joint preservation. The Campanacci grading system continues to be a crucial tool for prognostication and treatment planning, particularly when complemented by molecular and radiological diagnostics. Future research should focus on integrating advanced imaging and artificial intelligence for personalized GCTB management.

Level of evidence: Level 4.

求助全文
通过发布文献求助,成功后即可免费获取论文全文。 去求助
来源期刊
Journal of Orthopaedics and Traumatology
Journal of Orthopaedics and Traumatology Medicine-Orthopedics and Sports Medicine
CiteScore
4.30
自引率
0.00%
发文量
56
审稿时长
13 weeks
期刊介绍: The Journal of Orthopaedics and Traumatology, the official open access peer-reviewed journal of the Italian Society of Orthopaedics and Traumatology, publishes original papers reporting basic or clinical research in the field of orthopaedic and traumatologic surgery, as well as systematic reviews, brief communications, case reports and letters to the Editor. Narrative instructional reviews and commentaries to original articles may be commissioned by Editors from eminent colleagues. The Journal of Orthopaedics and Traumatology aims to be an international forum for the communication and exchange of ideas concerning the various aspects of orthopaedics and musculoskeletal trauma.
×
引用
GB/T 7714-2015
复制
MLA
复制
APA
复制
导出至
BibTeX EndNote RefMan NoteFirst NoteExpress
×
提示
您的信息不完整,为了账户安全,请先补充。
现在去补充
×
提示
您因"违规操作"
具体请查看互助需知
我知道了
×
提示
确定
请完成安全验证×
copy
已复制链接
快去分享给好友吧!
我知道了
右上角分享
点击右上角分享
0
联系我们:info@booksci.cn Book学术提供免费学术资源搜索服务,方便国内外学者检索中英文文献。致力于提供最便捷和优质的服务体验。 Copyright © 2023 布克学术 All rights reserved.
京ICP备2023020795号-1
ghs 京公网安备 11010802042870号
Book学术文献互助
Book学术文献互助群
群 号:604180095
Book学术官方微信