臭氧疗法治疗大鼠肩周炎的实验研究。

IF 1.9 Q2 ORTHOPEDICS
Ekin Kaya Simsek, Duygu Turkbey Simsek, Deniz Mert Ayan, Coskun Araz, Bahtiyar Haberal
{"title":"臭氧疗法治疗大鼠肩周炎的实验研究。","authors":"Ekin Kaya Simsek, Duygu Turkbey Simsek, Deniz Mert Ayan, Coskun Araz, Bahtiyar Haberal","doi":"10.52312/jdrs.2025.2055","DOIUrl":null,"url":null,"abstract":"<p><strong>Objectives: </strong>This study aims to explore the therapeutic effects of medical ozone therapy on the frozen shoulder (FS) model and compares it with traditional corticosteroid treatments in rats.</p><p><strong>Materials and methods: </strong>A total of 30 Sprague-Dawley rats aged 18 to 20 months weighing between 400 to 450 g were included in the study. The rats were randomly divided into three equal groups: a control group (C, n=10, FS model only), a corticosteroid treatment group (CST, n=10, FS model + intraarticular 0.5 mg/kg betamethasone), and an ozone treatment group (OT, n=10, FS model + intraarticular 1 mg/kg ozone). Frozen shoulder was induced via surgical immobilization, and treatments were administered intraarticularly. Outcomes were measured through histopathological and functional assessments.</p><p><strong>Results: </strong>The CST and OT significantly reduced inflammation (p<0.001), capillary proliferation (p<0.001), fibroblastic proliferation (p=0.002), collagen type 3 staining (p=0.022), and mean capsular thickness (p<0.001), while improving the range of motion in all directions compared to the control group. Ozone therapy showed a comparable reduction in fibrosis and improvement in joint mobility to CST (p=0.001).</p><p><strong>Conclusion: </strong>Ozone therapy effectively reduces fibrosis and improves mobility in an FS rat model, presenting a promising alternative to corticosteroids. However, further studies are still needed to elucidate the molecular mechanisms and optimize treatment protocols, underscoring the potential for future discoveries in this area.</p>","PeriodicalId":73560,"journal":{"name":"Joint diseases and related surgery","volume":"36 2","pages":"272-282"},"PeriodicalIF":1.9000,"publicationDate":"2025-01-20","publicationTypes":"Journal Article","fieldsOfStudy":null,"isOpenAccess":false,"openAccessPdf":"https://www.ncbi.nlm.nih.gov/pmc/articles/PMC12086470/pdf/","citationCount":"0","resultStr":"{\"title\":\"Efficacy of ozone therapy in the treatment of frozen shoulder in rats: An experimental study.\",\"authors\":\"Ekin Kaya Simsek, Duygu Turkbey Simsek, Deniz Mert Ayan, Coskun Araz, Bahtiyar Haberal\",\"doi\":\"10.52312/jdrs.2025.2055\",\"DOIUrl\":null,\"url\":null,\"abstract\":\"<p><strong>Objectives: </strong>This study aims to explore the therapeutic effects of medical ozone therapy on the frozen shoulder (FS) model and compares it with traditional corticosteroid treatments in rats.</p><p><strong>Materials and methods: </strong>A total of 30 Sprague-Dawley rats aged 18 to 20 months weighing between 400 to 450 g were included in the study. The rats were randomly divided into three equal groups: a control group (C, n=10, FS model only), a corticosteroid treatment group (CST, n=10, FS model + intraarticular 0.5 mg/kg betamethasone), and an ozone treatment group (OT, n=10, FS model + intraarticular 1 mg/kg ozone). Frozen shoulder was induced via surgical immobilization, and treatments were administered intraarticularly. Outcomes were measured through histopathological and functional assessments.</p><p><strong>Results: </strong>The CST and OT significantly reduced inflammation (p<0.001), capillary proliferation (p<0.001), fibroblastic proliferation (p=0.002), collagen type 3 staining (p=0.022), and mean capsular thickness (p<0.001), while improving the range of motion in all directions compared to the control group. Ozone therapy showed a comparable reduction in fibrosis and improvement in joint mobility to CST (p=0.001).</p><p><strong>Conclusion: </strong>Ozone therapy effectively reduces fibrosis and improves mobility in an FS rat model, presenting a promising alternative to corticosteroids. However, further studies are still needed to elucidate the molecular mechanisms and optimize treatment protocols, underscoring the potential for future discoveries in this area.</p>\",\"PeriodicalId\":73560,\"journal\":{\"name\":\"Joint diseases and related surgery\",\"volume\":\"36 2\",\"pages\":\"272-282\"},\"PeriodicalIF\":1.9000,\"publicationDate\":\"2025-01-20\",\"publicationTypes\":\"Journal Article\",\"fieldsOfStudy\":null,\"isOpenAccess\":false,\"openAccessPdf\":\"https://www.ncbi.nlm.nih.gov/pmc/articles/PMC12086470/pdf/\",\"citationCount\":\"0\",\"resultStr\":null,\"platform\":\"Semanticscholar\",\"paperid\":null,\"PeriodicalName\":\"Joint diseases and related surgery\",\"FirstCategoryId\":\"1085\",\"ListUrlMain\":\"https://doi.org/10.52312/jdrs.2025.2055\",\"RegionNum\":0,\"RegionCategory\":null,\"ArticlePicture\":[],\"TitleCN\":null,\"AbstractTextCN\":null,\"PMCID\":null,\"EPubDate\":\"\",\"PubModel\":\"\",\"JCR\":\"Q2\",\"JCRName\":\"ORTHOPEDICS\",\"Score\":null,\"Total\":0}","platform":"Semanticscholar","paperid":null,"PeriodicalName":"Joint diseases and related surgery","FirstCategoryId":"1085","ListUrlMain":"https://doi.org/10.52312/jdrs.2025.2055","RegionNum":0,"RegionCategory":null,"ArticlePicture":[],"TitleCN":null,"AbstractTextCN":null,"PMCID":null,"EPubDate":"","PubModel":"","JCR":"Q2","JCRName":"ORTHOPEDICS","Score":null,"Total":0}
引用次数: 0

摘要

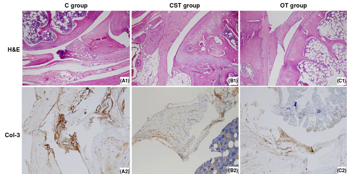
目的:探讨医用臭氧治疗大鼠冷冻肩(FS)模型的疗效,并与传统皮质类固醇治疗进行比较。材料与方法:选取18 ~ 20月龄的Sprague-Dawley大鼠30只,体重400 ~ 450 g。将大鼠随机分为3组:对照组(C, n=10,仅FS模型)、皮质类固醇治疗组(CST, n=10, FS模型+关节内倍他米松0.5 mg/kg)和臭氧治疗组(OT, n=10, FS模型+关节内臭氧1 mg/kg)。通过手术固定诱导肩周炎,并进行关节内治疗。通过组织病理学和功能评估来衡量结果。结论:臭氧治疗可有效减少FS大鼠模型的纤维化并改善其活动能力,是一种有希望的皮质类固醇替代方案。然而,仍需要进一步的研究来阐明分子机制和优化治疗方案,强调该领域未来发现的潜力。
本文章由计算机程序翻译,如有差异,请以英文原文为准。

Efficacy of ozone therapy in the treatment of frozen shoulder in rats: An experimental study.

Efficacy of ozone therapy in the treatment of frozen shoulder in rats: An experimental study.

Efficacy of ozone therapy in the treatment of frozen shoulder in rats: An experimental study.

Efficacy of ozone therapy in the treatment of frozen shoulder in rats: An experimental study.

Objectives: This study aims to explore the therapeutic effects of medical ozone therapy on the frozen shoulder (FS) model and compares it with traditional corticosteroid treatments in rats.

Materials and methods: A total of 30 Sprague-Dawley rats aged 18 to 20 months weighing between 400 to 450 g were included in the study. The rats were randomly divided into three equal groups: a control group (C, n=10, FS model only), a corticosteroid treatment group (CST, n=10, FS model + intraarticular 0.5 mg/kg betamethasone), and an ozone treatment group (OT, n=10, FS model + intraarticular 1 mg/kg ozone). Frozen shoulder was induced via surgical immobilization, and treatments were administered intraarticularly. Outcomes were measured through histopathological and functional assessments.

Results: The CST and OT significantly reduced inflammation (p<0.001), capillary proliferation (p<0.001), fibroblastic proliferation (p=0.002), collagen type 3 staining (p=0.022), and mean capsular thickness (p<0.001), while improving the range of motion in all directions compared to the control group. Ozone therapy showed a comparable reduction in fibrosis and improvement in joint mobility to CST (p=0.001).

Conclusion: Ozone therapy effectively reduces fibrosis and improves mobility in an FS rat model, presenting a promising alternative to corticosteroids. However, further studies are still needed to elucidate the molecular mechanisms and optimize treatment protocols, underscoring the potential for future discoveries in this area.

求助全文
通过发布文献求助,成功后即可免费获取论文全文。 去求助
来源期刊
CiteScore
2.50
自引率
0.00%
发文量
0
×
引用
GB/T 7714-2015
复制
MLA
复制
APA
复制
导出至
BibTeX EndNote RefMan NoteFirst NoteExpress
×
提示
您的信息不完整,为了账户安全,请先补充。
现在去补充
×
提示
您因"违规操作"
具体请查看互助需知
我知道了
×
提示
确定
请完成安全验证×
copy
已复制链接
快去分享给好友吧!
我知道了
右上角分享
点击右上角分享
0
联系我们:info@booksci.cn Book学术提供免费学术资源搜索服务,方便国内外学者检索中英文文献。致力于提供最便捷和优质的服务体验。 Copyright © 2023 布克学术 All rights reserved.
京ICP备2023020795号-1
ghs 京公网安备 11010802042870号
Book学术文献互助
Book学术文献互助群
群 号:604180095
Book学术官方微信