丢失的胆结石:胆囊切除术后胸腔镜下切除残留的胆结石。

CRSLS : MIS case reports from SLS Pub Date : 2025-04-29 eCollection Date: 2025-04-01 DOI:10.4293/CRSLS.2024.00030
Aulon Jerliu, Brian Wong Won, Alicia McKelvey
{"title":"丢失的胆结石:胆囊切除术后胸腔镜下切除残留的胆结石。","authors":"Aulon Jerliu, Brian Wong Won, Alicia McKelvey","doi":"10.4293/CRSLS.2024.00030","DOIUrl":null,"url":null,"abstract":"<p><p>Cholecystectomy, the surgical removal of the gallbladder, is a common abdominal operation often performed laparoscopically due to its minimally invasive nature. Despite its safety and efficacy, rare complications such as gallstone retention outside the biliary system can occur. One unusual complication is the migration of gallstones into the thoracic cavity, potentially causing severe outcomes like pleural effusion, empyema, or bronchopleural fistula, which present diagnostic challenges due to their rarity and varied symptoms. Advanced imaging techniques are essential for diagnosis, while treatment ranges from conservative management for asymptomatic cases to surgical intervention for significant complications. This report details the case of an 80-year-old male who presented with epistaxis and hemoptysis, later found to have a retained thoracic gallstone postcholecystectomy. Despite initial normal imaging and clinical improvement, further investigation revealed a gallstone eroding through the diaphragm into the thoracic cavity. The patient underwent successful thoracoscopic removal of the stone but experienced a prolonged hospital stay due to complications, including atrial fibrillation exacerbation, hemothorax, and lower extremity ischemia. The report underscores the diagnostic complexities of intrathoracic gallstone migration and the severe complications that can arise. A high index of suspicion is necessary for patients with persistent respiratory symptoms following cholecystectomy, and timely imaging and surgical intervention are crucial to minimize morbidity.</p>","PeriodicalId":72723,"journal":{"name":"CRSLS : MIS case reports from SLS","volume":"12 2","pages":""},"PeriodicalIF":0.0000,"publicationDate":"2025-04-29","publicationTypes":"Journal Article","fieldsOfStudy":null,"isOpenAccess":false,"openAccessPdf":"https://www.ncbi.nlm.nih.gov/pmc/articles/PMC12038875/pdf/","citationCount":"0","resultStr":"{\"title\":\"The Lost Gallstone: Thoracoscopic Removal of Retained Gallstone Following Cholecystectomy.\",\"authors\":\"Aulon Jerliu, Brian Wong Won, Alicia McKelvey\",\"doi\":\"10.4293/CRSLS.2024.00030\",\"DOIUrl\":null,\"url\":null,\"abstract\":\"<p><p>Cholecystectomy, the surgical removal of the gallbladder, is a common abdominal operation often performed laparoscopically due to its minimally invasive nature. Despite its safety and efficacy, rare complications such as gallstone retention outside the biliary system can occur. One unusual complication is the migration of gallstones into the thoracic cavity, potentially causing severe outcomes like pleural effusion, empyema, or bronchopleural fistula, which present diagnostic challenges due to their rarity and varied symptoms. Advanced imaging techniques are essential for diagnosis, while treatment ranges from conservative management for asymptomatic cases to surgical intervention for significant complications. This report details the case of an 80-year-old male who presented with epistaxis and hemoptysis, later found to have a retained thoracic gallstone postcholecystectomy. Despite initial normal imaging and clinical improvement, further investigation revealed a gallstone eroding through the diaphragm into the thoracic cavity. The patient underwent successful thoracoscopic removal of the stone but experienced a prolonged hospital stay due to complications, including atrial fibrillation exacerbation, hemothorax, and lower extremity ischemia. The report underscores the diagnostic complexities of intrathoracic gallstone migration and the severe complications that can arise. A high index of suspicion is necessary for patients with persistent respiratory symptoms following cholecystectomy, and timely imaging and surgical intervention are crucial to minimize morbidity.</p>\",\"PeriodicalId\":72723,\"journal\":{\"name\":\"CRSLS : MIS case reports from SLS\",\"volume\":\"12 2\",\"pages\":\"\"},\"PeriodicalIF\":0.0000,\"publicationDate\":\"2025-04-29\",\"publicationTypes\":\"Journal Article\",\"fieldsOfStudy\":null,\"isOpenAccess\":false,\"openAccessPdf\":\"https://www.ncbi.nlm.nih.gov/pmc/articles/PMC12038875/pdf/\",\"citationCount\":\"0\",\"resultStr\":null,\"platform\":\"Semanticscholar\",\"paperid\":null,\"PeriodicalName\":\"CRSLS : MIS case reports from SLS\",\"FirstCategoryId\":\"1085\",\"ListUrlMain\":\"https://doi.org/10.4293/CRSLS.2024.00030\",\"RegionNum\":0,\"RegionCategory\":null,\"ArticlePicture\":[],\"TitleCN\":null,\"AbstractTextCN\":null,\"PMCID\":null,\"EPubDate\":\"2025/4/1 0:00:00\",\"PubModel\":\"eCollection\",\"JCR\":\"\",\"JCRName\":\"\",\"Score\":null,\"Total\":0}","platform":"Semanticscholar","paperid":null,"PeriodicalName":"CRSLS : MIS case reports from SLS","FirstCategoryId":"1085","ListUrlMain":"https://doi.org/10.4293/CRSLS.2024.00030","RegionNum":0,"RegionCategory":null,"ArticlePicture":[],"TitleCN":null,"AbstractTextCN":null,"PMCID":null,"EPubDate":"2025/4/1 0:00:00","PubModel":"eCollection","JCR":"","JCRName":"","Score":null,"Total":0}
引用次数: 0

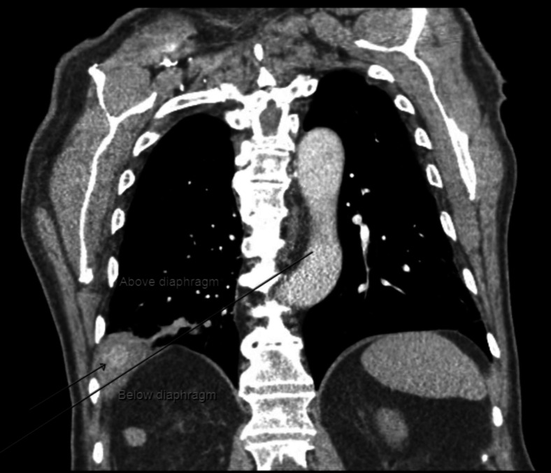
摘要

胆囊切除术是一种切除胆囊的外科手术,由于其微创性,通常在腹腔镜下进行。尽管其安全性和有效性,罕见的并发症,如胆道系统外的胆结石潴留可能发生。一种罕见的并发症是胆结石向胸腔内迁移,可能导致严重的后果,如胸腔积液、脓肿或支气管胸膜瘘,由于其罕见和症状多样,给诊断带来了挑战。先进的影像技术对诊断至关重要,而治疗范围从对无症状病例的保守管理到对严重并发症的手术干预。本文报告一例80岁男性患者,表现为鼻出血和咯血,胆囊切除术后发现有保留的胸部胆结石。尽管最初的影像学和临床改善正常,但进一步的调查显示胆结石穿过膈膜进入胸腔。患者在胸腔镜下成功取出结石,但由于房颤加重、胸血和下肢缺血等并发症,住院时间延长。该报告强调了诊断胸内胆结石迁移的复杂性和可能出现的严重并发症。对于胆囊切除术后出现持续呼吸道症状的患者,高度的怀疑是必要的,及时的影像学检查和手术干预是降低发病率的关键。
本文章由计算机程序翻译,如有差异,请以英文原文为准。

The Lost Gallstone: Thoracoscopic Removal of Retained Gallstone Following Cholecystectomy.

The Lost Gallstone: Thoracoscopic Removal of Retained Gallstone Following Cholecystectomy.

The Lost Gallstone: Thoracoscopic Removal of Retained Gallstone Following Cholecystectomy.

Cholecystectomy, the surgical removal of the gallbladder, is a common abdominal operation often performed laparoscopically due to its minimally invasive nature. Despite its safety and efficacy, rare complications such as gallstone retention outside the biliary system can occur. One unusual complication is the migration of gallstones into the thoracic cavity, potentially causing severe outcomes like pleural effusion, empyema, or bronchopleural fistula, which present diagnostic challenges due to their rarity and varied symptoms. Advanced imaging techniques are essential for diagnosis, while treatment ranges from conservative management for asymptomatic cases to surgical intervention for significant complications. This report details the case of an 80-year-old male who presented with epistaxis and hemoptysis, later found to have a retained thoracic gallstone postcholecystectomy. Despite initial normal imaging and clinical improvement, further investigation revealed a gallstone eroding through the diaphragm into the thoracic cavity. The patient underwent successful thoracoscopic removal of the stone but experienced a prolonged hospital stay due to complications, including atrial fibrillation exacerbation, hemothorax, and lower extremity ischemia. The report underscores the diagnostic complexities of intrathoracic gallstone migration and the severe complications that can arise. A high index of suspicion is necessary for patients with persistent respiratory symptoms following cholecystectomy, and timely imaging and surgical intervention are crucial to minimize morbidity.

求助全文
通过发布文献求助,成功后即可免费获取论文全文。 去求助
来源期刊
自引率
0.00%
发文量
0
×
引用
GB/T 7714-2015
复制
MLA
复制
APA
复制
导出至
BibTeX EndNote RefMan NoteFirst NoteExpress
×
提示
您的信息不完整,为了账户安全,请先补充。
现在去补充
×
提示
您因"违规操作"
具体请查看互助需知
我知道了
×
提示
确定
请完成安全验证×
copy
已复制链接
快去分享给好友吧!
我知道了
右上角分享
点击右上角分享
0
联系我们:info@booksci.cn Book学术提供免费学术资源搜索服务,方便国内外学者检索中英文文献。致力于提供最便捷和优质的服务体验。 Copyright © 2023 布克学术 All rights reserved.
京ICP备2023020795号-1
ghs 京公网安备 11010802042870号
Book学术文献互助
Book学术文献互助群
群 号:604180095
Book学术官方微信