一种新的评估和决策指导椎弓根螺钉错位的评分系统的有效性。

IF 2.3 Q2 ORTHOPEDICS
SICOT-J Pub Date : 2025-01-01 Epub Date: 2025-05-04 DOI:10.1051/sicotj/2025015
Mohamed El-Meshtawy, Moataz Abdelraheem Ahmed, Ibrahim El Sayed Abdellatif Abuomira, Amr Abdelhalem Amr, Mohamed A A Ibrahim
{"title":"一种新的评估和决策指导椎弓根螺钉错位的评分系统的有效性。","authors":"Mohamed El-Meshtawy, Moataz Abdelraheem Ahmed, Ibrahim El Sayed Abdellatif Abuomira, Amr Abdelhalem Amr, Mohamed A A Ibrahim","doi":"10.1051/sicotj/2025015","DOIUrl":null,"url":null,"abstract":"<p><strong>Background: </strong>Pedicle screw fixation in the thoracolumbar spine has become more widely accepted with advancements in instrumentation and clinical efficacy have been made. The optimal way to interpret pedicle screw cortical breaches had the subject of a great deal of research. None of the previous classifications and grading systems include full neurological deficits that may result from screw misplacement and do not provide clear guidance for the management of screw violations, which is crucially needed in the literature.</p><p><strong>Objectives: </strong>Our study aimed to evaluate the reliability and validity of the use of a new scoring system (the Meshtawy Pedicular Screw Malposition - MPSM) for evaluating pedicle screw misplacement by a detailed clinical-radiographic comprehensive scoring system (MPSM) with sharp guidance for treating injurious violations by assessing the correlation between the neurological data of patients and computed tomography (CT) findings.</p><p><strong>Patients and methods: </strong>This prospective case series included 100 patients (508 pedicular screws) who underwent transpedicular fixation at Orthopedic department Al-Azhar University Hospital, Assiut branch, Egypt 255 (50.2%) screws were inserted on the right side, while 253 (49.8%) were inserted on the left side. Intra-observer reliability was examined by calculating Cronbach's alpha intraclass correlation coefficient, which compares three measurements obtained by each observer at different time points. Inter-observer reliability was also examined by calculating Cronbach's alpha intraclass correlation coefficient and comparing the average measurements obtained by each observer.</p><p><strong>Results: </strong>The MPSM demonstrated excellent (100%) intra-observer reliability for each observer regarding the violation score and total MPSM score. A strong positive and statistically significant correlation (Pearson test, P < 0.05) was found between severe neurological deficits and a greater degree of screw-pedicle violation.</p><p><strong>Conclusion: </strong>MPSM scoring is a valid and reliable system for evaluating pedicular screw violations and their possible neurological consequences in the thoracic and lumbosacral spine from D7 to S1. Moreover, grades obtained from the MPSM score are helpful for making clear decisions for management.</p>","PeriodicalId":46378,"journal":{"name":"SICOT-J","volume":"11 ","pages":"27"},"PeriodicalIF":2.3000,"publicationDate":"2025-01-01","publicationTypes":"Journal Article","fieldsOfStudy":null,"isOpenAccess":false,"openAccessPdf":"https://www.ncbi.nlm.nih.gov/pmc/articles/PMC12054976/pdf/","citationCount":"0","resultStr":"{\"title\":\"Validity of a new scoring system for assessment and decision guidance of misplaced pedicular screws.\",\"authors\":\"Mohamed El-Meshtawy, Moataz Abdelraheem Ahmed, Ibrahim El Sayed Abdellatif Abuomira, Amr Abdelhalem Amr, Mohamed A A Ibrahim\",\"doi\":\"10.1051/sicotj/2025015\",\"DOIUrl\":null,\"url\":null,\"abstract\":\"<p><strong>Background: </strong>Pedicle screw fixation in the thoracolumbar spine has become more widely accepted with advancements in instrumentation and clinical efficacy have been made. The optimal way to interpret pedicle screw cortical breaches had the subject of a great deal of research. None of the previous classifications and grading systems include full neurological deficits that may result from screw misplacement and do not provide clear guidance for the management of screw violations, which is crucially needed in the literature.</p><p><strong>Objectives: </strong>Our study aimed to evaluate the reliability and validity of the use of a new scoring system (the Meshtawy Pedicular Screw Malposition - MPSM) for evaluating pedicle screw misplacement by a detailed clinical-radiographic comprehensive scoring system (MPSM) with sharp guidance for treating injurious violations by assessing the correlation between the neurological data of patients and computed tomography (CT) findings.</p><p><strong>Patients and methods: </strong>This prospective case series included 100 patients (508 pedicular screws) who underwent transpedicular fixation at Orthopedic department Al-Azhar University Hospital, Assiut branch, Egypt 255 (50.2%) screws were inserted on the right side, while 253 (49.8%) were inserted on the left side. Intra-observer reliability was examined by calculating Cronbach's alpha intraclass correlation coefficient, which compares three measurements obtained by each observer at different time points. Inter-observer reliability was also examined by calculating Cronbach's alpha intraclass correlation coefficient and comparing the average measurements obtained by each observer.</p><p><strong>Results: </strong>The MPSM demonstrated excellent (100%) intra-observer reliability for each observer regarding the violation score and total MPSM score. A strong positive and statistically significant correlation (Pearson test, P < 0.05) was found between severe neurological deficits and a greater degree of screw-pedicle violation.</p><p><strong>Conclusion: </strong>MPSM scoring is a valid and reliable system for evaluating pedicular screw violations and their possible neurological consequences in the thoracic and lumbosacral spine from D7 to S1. Moreover, grades obtained from the MPSM score are helpful for making clear decisions for management.</p>\",\"PeriodicalId\":46378,\"journal\":{\"name\":\"SICOT-J\",\"volume\":\"11 \",\"pages\":\"27\"},\"PeriodicalIF\":2.3000,\"publicationDate\":\"2025-01-01\",\"publicationTypes\":\"Journal Article\",\"fieldsOfStudy\":null,\"isOpenAccess\":false,\"openAccessPdf\":\"https://www.ncbi.nlm.nih.gov/pmc/articles/PMC12054976/pdf/\",\"citationCount\":\"0\",\"resultStr\":null,\"platform\":\"Semanticscholar\",\"paperid\":null,\"PeriodicalName\":\"SICOT-J\",\"FirstCategoryId\":\"1085\",\"ListUrlMain\":\"https://doi.org/10.1051/sicotj/2025015\",\"RegionNum\":0,\"RegionCategory\":null,\"ArticlePicture\":[],\"TitleCN\":null,\"AbstractTextCN\":null,\"PMCID\":null,\"EPubDate\":\"2025/5/4 0:00:00\",\"PubModel\":\"Epub\",\"JCR\":\"Q2\",\"JCRName\":\"ORTHOPEDICS\",\"Score\":null,\"Total\":0}","platform":"Semanticscholar","paperid":null,"PeriodicalName":"SICOT-J","FirstCategoryId":"1085","ListUrlMain":"https://doi.org/10.1051/sicotj/2025015","RegionNum":0,"RegionCategory":null,"ArticlePicture":[],"TitleCN":null,"AbstractTextCN":null,"PMCID":null,"EPubDate":"2025/5/4 0:00:00","PubModel":"Epub","JCR":"Q2","JCRName":"ORTHOPEDICS","Score":null,"Total":0}
引用次数: 0

摘要

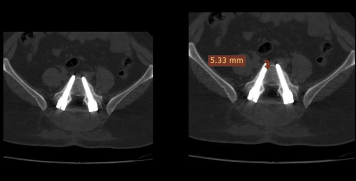
背景:胸腰椎椎弓根螺钉固定术随着内固定技术的进步和临床疗效的提高越来越被广泛接受。椎弓根螺钉皮质断裂的最佳解释方法是大量研究的课题。以前的分类和分级系统都没有包括螺钉错位可能导致的完全神经功能缺损,也没有为螺钉移位的处理提供明确的指导,这是文献中迫切需要的。目的:本研究旨在评估一种新的评分系统(Meshtawy椎弓根螺钉错位- MPSM)的可靠性和有效性,该评分系统通过详细的临床-放射综合评分系统(MPSM)来评估椎弓根螺钉错位,并通过评估患者神经学数据与计算机断层扫描(CT)结果之间的相关性来指导治疗损伤性骨折。患者和方法:本前瞻性病例系列包括100例患者(508枚椎弓根螺钉),他们在埃及爱兹哈尔大学医院Assiut分院骨科接受经椎弓根固定,其中255枚(50.2%)钉在右侧,253枚(49.8%)钉在左侧。通过计算Cronbach's alpha类内相关系数来检验观察者内信度,该系数比较每个观察者在不同时间点获得的三个测量值。还通过计算Cronbach's alpha类内相关系数和比较每个观察者获得的平均测量值来检验观察者间的信度。结果:MPSM在违规得分和MPSM总得分方面表现出优异的观察者内信度(100%)。结论:MPSM评分是一种有效可靠的评估椎弓根螺钉违例及其在D7至S1段胸、腰骶椎可能造成的神经系统后果的系统。此外,从MPSM得分中获得的分数有助于制定明确的管理决策。
本文章由计算机程序翻译,如有差异,请以英文原文为准。

Validity of a new scoring system for assessment and decision guidance of misplaced pedicular screws.

Validity of a new scoring system for assessment and decision guidance of misplaced pedicular screws.

Validity of a new scoring system for assessment and decision guidance of misplaced pedicular screws.

Validity of a new scoring system for assessment and decision guidance of misplaced pedicular screws.

Background: Pedicle screw fixation in the thoracolumbar spine has become more widely accepted with advancements in instrumentation and clinical efficacy have been made. The optimal way to interpret pedicle screw cortical breaches had the subject of a great deal of research. None of the previous classifications and grading systems include full neurological deficits that may result from screw misplacement and do not provide clear guidance for the management of screw violations, which is crucially needed in the literature.

Objectives: Our study aimed to evaluate the reliability and validity of the use of a new scoring system (the Meshtawy Pedicular Screw Malposition - MPSM) for evaluating pedicle screw misplacement by a detailed clinical-radiographic comprehensive scoring system (MPSM) with sharp guidance for treating injurious violations by assessing the correlation between the neurological data of patients and computed tomography (CT) findings.

Patients and methods: This prospective case series included 100 patients (508 pedicular screws) who underwent transpedicular fixation at Orthopedic department Al-Azhar University Hospital, Assiut branch, Egypt 255 (50.2%) screws were inserted on the right side, while 253 (49.8%) were inserted on the left side. Intra-observer reliability was examined by calculating Cronbach's alpha intraclass correlation coefficient, which compares three measurements obtained by each observer at different time points. Inter-observer reliability was also examined by calculating Cronbach's alpha intraclass correlation coefficient and comparing the average measurements obtained by each observer.

Results: The MPSM demonstrated excellent (100%) intra-observer reliability for each observer regarding the violation score and total MPSM score. A strong positive and statistically significant correlation (Pearson test, P < 0.05) was found between severe neurological deficits and a greater degree of screw-pedicle violation.

Conclusion: MPSM scoring is a valid and reliable system for evaluating pedicular screw violations and their possible neurological consequences in the thoracic and lumbosacral spine from D7 to S1. Moreover, grades obtained from the MPSM score are helpful for making clear decisions for management.

求助全文
通过发布文献求助,成功后即可免费获取论文全文。 去求助
来源期刊
SICOT-J
SICOT-J ORTHOPEDICS-
CiteScore
3.20
自引率
12.50%
发文量
44
审稿时长
14 weeks
×
引用
GB/T 7714-2015
复制
MLA
复制
APA
复制
导出至
BibTeX EndNote RefMan NoteFirst NoteExpress
×
提示
您的信息不完整,为了账户安全,请先补充。
现在去补充
×
提示
您因"违规操作"
具体请查看互助需知
我知道了
×
提示
确定
请完成安全验证×
copy
已复制链接
快去分享给好友吧!
我知道了
右上角分享
点击右上角分享
0
联系我们:info@booksci.cn Book学术提供免费学术资源搜索服务,方便国内外学者检索中英文文献。致力于提供最便捷和优质的服务体验。 Copyright © 2023 布克学术 All rights reserved.
京ICP备2023020795号-1
ghs 京公网安备 11010802042870号
Book学术文献互助
Book学术文献互助群
群 号:604180095
Book学术官方微信