心脏手术后急性缺血性和出血性脑血管中风:发病率、预测因素和结果。

IF 1.8 Q3 CRITICAL CARE MEDICINE
Critical Care Research and Practice Pub Date : 2025-04-30 eCollection Date: 2025-01-01 DOI:10.1155/ccrp/6645363
Mohamed Laimoud, Mosleh Nazzal Alanazi, Patricia Machado, Mary Jane Maghirang, Suha Althibait, Shatha Al-Mutlaq, Munirah Alomran, Imad Bou-Saad, Lamees Subhi, Reem Almutairi, Renad Nadhreen, Hamza Busaleh, Sreedevi Pillai, Saranya Sidharthan, Tareq Almazeedi, Zohair Al-Halees
{"title":"心脏手术后急性缺血性和出血性脑血管中风:发病率、预测因素和结果。","authors":"Mohamed Laimoud, Mosleh Nazzal Alanazi, Patricia Machado, Mary Jane Maghirang, Suha Althibait, Shatha Al-Mutlaq, Munirah Alomran, Imad Bou-Saad, Lamees Subhi, Reem Almutairi, Renad Nadhreen, Hamza Busaleh, Sreedevi Pillai, Saranya Sidharthan, Tareq Almazeedi, Zohair Al-Halees","doi":"10.1155/ccrp/6645363","DOIUrl":null,"url":null,"abstract":"<p><p><b>Background:</b> Many studies have attempted to determine the incidence, predictors, and outcomes of cerebrovascular stroke after cardiac surgery, with different, sometimes contradictory, results because of differences in population risk profiles, study design, and surgical details. <b>Methods:</b> We retrospectively reviewed the records of all adult patients who underwent cardiac surgery between January 2018 and January 2023. Univariate, multivariable, and survival analyses were performed to identify the outcomes and predictors of ischemic and hemorrhagic strokes. <b>Results:</b> Of the 1334 patients studied, 70 (5.2%) patients had ischemic stroke, 23 (1.7%) had intracranial hemorrhage (ICH), and 9 (0.7%) had combined ischemic and hemorrhagic strokes. The patients who developed strokes had longer cardiopulmonary bypass (CPB) time (165.5 [126, 234] versus 136 [104, 171] min, <i>p</i> < 0.001) and aortic cross-clamping time (112 [79, 163] versus 89 [75, 121.5] min, <i>p</i> < 0.001), with higher rates of intra-aortic balloon pump (IABP) use (13.3% vs. 4.4%, <i>p</i> < 0.001), veno-arterial extracorporeal membrane oxygenation use (24.8% vs. 12.37%, <i>p</i> < 0.001), and mediastinal exploration for bleeding (22.9% vs. 8.9%, <i>p</i> < 0.0011). The patients who developed strokes showed increased hospital mortality (37.1% vs. 5.6%, <i>p</i> < 0.001), new need for dialysis (29.5% vs. 10.7%, <i>p</i> < 0.001), higher rate of tracheostomy (13.3% vs. 1.2%, <i>p</i> < 0.001), and longer intensive care unit (ICU) stay (12 [7, 28] versus 3 [2, 8] days, <i>p</i> < 0.001) and post-ICU stay (16 [7, 39] versus 5 [3, 10] days, <i>p</i> < 0.001). Follow-up for 36.4 (21.67, 50.7) months revealed an insignificant mortality difference, but there was an increased risk of recurrent cerebrovascular strokes. Cox-proportional hazards regression showed an increased risk of hospital mortality after cardiac surgery in patients who developed acute ischemic stroke (HR: 5.075, 95% CI: 3.28-7.851, <i>p</i> < 0.001) and ICH (HR: 12.288, 95% CI: 7.576-19.93, <i>p</i> < 0.001). Logistic multivariable regression showed that increased age, hyperlactatemia, redo cardiotomy, history of old stroke, CPB time, and perioperative IABP use were the predictors of ischemic stroke. Young age, old ICH, hyperlactatemia, and hypoalbuminemia were the predictors of postoperative ICH. Postoperative ICH, ischemic stroke, atrial fibrillation, chronic kidney disease, blood lactate level 24 h after surgery, and increased age were the independent predictors of mortality. <b>Conclusions:</b> Ischemic and hemorrhagic cerebrovascular strokes are serious complications that increase postoperative mortality and prolong hospitalization after cardiac surgery. Atrial fibrillation was not a significant predictor of postoperative stroke but was a predictor of hospital mortality. Careful attention should be given to maintaining hemodynamic stability and minimizing CPB time, especially in patients with a history of cerebrovascular strokes and redo cardiotomy.</p>","PeriodicalId":46583,"journal":{"name":"Critical Care Research and Practice","volume":"2025 ","pages":"6645363"},"PeriodicalIF":1.8000,"publicationDate":"2025-04-30","publicationTypes":"Journal Article","fieldsOfStudy":null,"isOpenAccess":false,"openAccessPdf":"https://www.ncbi.nlm.nih.gov/pmc/articles/PMC12058317/pdf/","citationCount":"0","resultStr":"{\"title\":\"Acute Ischemic and Hemorrhagic Cerebrovascular Strokes After Cardiac Surgery: Incidence, Predictors, and Outcomes.\",\"authors\":\"Mohamed Laimoud, Mosleh Nazzal Alanazi, Patricia Machado, Mary Jane Maghirang, Suha Althibait, Shatha Al-Mutlaq, Munirah Alomran, Imad Bou-Saad, Lamees Subhi, Reem Almutairi, Renad Nadhreen, Hamza Busaleh, Sreedevi Pillai, Saranya Sidharthan, Tareq Almazeedi, Zohair Al-Halees\",\"doi\":\"10.1155/ccrp/6645363\",\"DOIUrl\":null,\"url\":null,\"abstract\":\"<p><p><b>Background:</b> Many studies have attempted to determine the incidence, predictors, and outcomes of cerebrovascular stroke after cardiac surgery, with different, sometimes contradictory, results because of differences in population risk profiles, study design, and surgical details. <b>Methods:</b> We retrospectively reviewed the records of all adult patients who underwent cardiac surgery between January 2018 and January 2023. Univariate, multivariable, and survival analyses were performed to identify the outcomes and predictors of ischemic and hemorrhagic strokes. <b>Results:</b> Of the 1334 patients studied, 70 (5.2%) patients had ischemic stroke, 23 (1.7%) had intracranial hemorrhage (ICH), and 9 (0.7%) had combined ischemic and hemorrhagic strokes. The patients who developed strokes had longer cardiopulmonary bypass (CPB) time (165.5 [126, 234] versus 136 [104, 171] min, <i>p</i> < 0.001) and aortic cross-clamping time (112 [79, 163] versus 89 [75, 121.5] min, <i>p</i> < 0.001), with higher rates of intra-aortic balloon pump (IABP) use (13.3% vs. 4.4%, <i>p</i> < 0.001), veno-arterial extracorporeal membrane oxygenation use (24.8% vs. 12.37%, <i>p</i> < 0.001), and mediastinal exploration for bleeding (22.9% vs. 8.9%, <i>p</i> < 0.0011). The patients who developed strokes showed increased hospital mortality (37.1% vs. 5.6%, <i>p</i> < 0.001), new need for dialysis (29.5% vs. 10.7%, <i>p</i> < 0.001), higher rate of tracheostomy (13.3% vs. 1.2%, <i>p</i> < 0.001), and longer intensive care unit (ICU) stay (12 [7, 28] versus 3 [2, 8] days, <i>p</i> < 0.001) and post-ICU stay (16 [7, 39] versus 5 [3, 10] days, <i>p</i> < 0.001). Follow-up for 36.4 (21.67, 50.7) months revealed an insignificant mortality difference, but there was an increased risk of recurrent cerebrovascular strokes. Cox-proportional hazards regression showed an increased risk of hospital mortality after cardiac surgery in patients who developed acute ischemic stroke (HR: 5.075, 95% CI: 3.28-7.851, <i>p</i> < 0.001) and ICH (HR: 12.288, 95% CI: 7.576-19.93, <i>p</i> < 0.001). Logistic multivariable regression showed that increased age, hyperlactatemia, redo cardiotomy, history of old stroke, CPB time, and perioperative IABP use were the predictors of ischemic stroke. Young age, old ICH, hyperlactatemia, and hypoalbuminemia were the predictors of postoperative ICH. Postoperative ICH, ischemic stroke, atrial fibrillation, chronic kidney disease, blood lactate level 24 h after surgery, and increased age were the independent predictors of mortality. <b>Conclusions:</b> Ischemic and hemorrhagic cerebrovascular strokes are serious complications that increase postoperative mortality and prolong hospitalization after cardiac surgery. Atrial fibrillation was not a significant predictor of postoperative stroke but was a predictor of hospital mortality. Careful attention should be given to maintaining hemodynamic stability and minimizing CPB time, especially in patients with a history of cerebrovascular strokes and redo cardiotomy.</p>\",\"PeriodicalId\":46583,\"journal\":{\"name\":\"Critical Care Research and Practice\",\"volume\":\"2025 \",\"pages\":\"6645363\"},\"PeriodicalIF\":1.8000,\"publicationDate\":\"2025-04-30\",\"publicationTypes\":\"Journal Article\",\"fieldsOfStudy\":null,\"isOpenAccess\":false,\"openAccessPdf\":\"https://www.ncbi.nlm.nih.gov/pmc/articles/PMC12058317/pdf/\",\"citationCount\":\"0\",\"resultStr\":null,\"platform\":\"Semanticscholar\",\"paperid\":null,\"PeriodicalName\":\"Critical Care Research and Practice\",\"FirstCategoryId\":\"1085\",\"ListUrlMain\":\"https://doi.org/10.1155/ccrp/6645363\",\"RegionNum\":0,\"RegionCategory\":null,\"ArticlePicture\":[],\"TitleCN\":null,\"AbstractTextCN\":null,\"PMCID\":null,\"EPubDate\":\"2025/1/1 0:00:00\",\"PubModel\":\"eCollection\",\"JCR\":\"Q3\",\"JCRName\":\"CRITICAL CARE MEDICINE\",\"Score\":null,\"Total\":0}","platform":"Semanticscholar","paperid":null,"PeriodicalName":"Critical Care Research and Practice","FirstCategoryId":"1085","ListUrlMain":"https://doi.org/10.1155/ccrp/6645363","RegionNum":0,"RegionCategory":null,"ArticlePicture":[],"TitleCN":null,"AbstractTextCN":null,"PMCID":null,"EPubDate":"2025/1/1 0:00:00","PubModel":"eCollection","JCR":"Q3","JCRName":"CRITICAL CARE MEDICINE","Score":null,"Total":0}
引用次数: 0

摘要

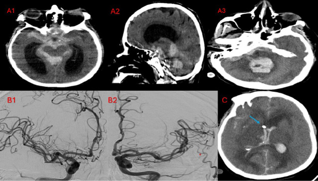
背景:许多研究试图确定心脏手术后脑血管卒中的发病率、预测因素和结局,由于人群风险概况、研究设计和手术细节的差异,结果不同,有时甚至相互矛盾。方法:我们回顾性回顾了2018年1月至2023年1月期间接受心脏手术的所有成年患者的记录。进行单变量、多变量和生存分析,以确定缺血性和出血性中风的结局和预测因素。结果:1334例患者中,缺血性脑卒中70例(5.2%),颅内出血23例(1.7%),缺血性和出血性脑卒中合并9例(0.7%)。卒中患者体外循环(CPB)时间(165.5[126,234]比136[104,171]分钟,p < 0.001)和主动脉交叉夹闭时间(112[79,163]比89[75,121.5]分钟,p < 0.001)更长,且主动脉内球囊泵(IABP)使用率(13.3%比4.4%,p < 0.001)、静脉-动脉体外膜氧合使用率(24.8%比12.37%,p < 0.001)和纵隔出血探查率(22.9%比8.9%,p < 0.0011)更高。发生中风的患者住院死亡率增加(37.1%比5.6%,p < 0.001),新需要透析(29.5%比10.7%,p < 0.001),气管切开术率增加(13.3%比1.2%,p < 0.001),重症监护病房(ICU)住院时间延长(12[7,28]比3[2,8]天,p < 0.001)和ICU后住院时间延长(16[7,39]比5[3,10]天,p < 0.001)。随访36.4个月(21.67个月,50.7个月),死亡率差异不显著,但脑血管卒中复发风险增加。Cox-proportional hazards regression显示,发生急性缺血性卒中(HR: 5.075, 95% CI: 3.28-7.851, p < 0.001)和ICH (HR: 12.288, 95% CI: 7.576-19.93, p < 0.001)的患者心脏手术后住院死亡风险增加。Logistic多变量回归显示,年龄增加、高乳酸血症、再次开心术、老年卒中史、CPB时间和围手术期IABP使用是缺血性卒中的预测因素。年轻、年老脑出血、高乳酸血症和低白蛋白血症是术后脑出血的预测因素。术后脑出血、缺血性卒中、房颤、慢性肾病、术后24 h血乳酸水平、年龄增加是死亡率的独立预测因素。结论:缺血性和出血性脑血管卒中是心脏手术后严重的并发症,可增加术后死亡率,延长住院时间。心房颤动不是术后中风的重要预测因子,但却是住院死亡率的预测因子。应特别注意维持血流动力学稳定性和尽量减少CPB时间,特别是对有脑血管中风史和重开心术的患者。
本文章由计算机程序翻译,如有差异,请以英文原文为准。

Acute Ischemic and Hemorrhagic Cerebrovascular Strokes After Cardiac Surgery: Incidence, Predictors, and Outcomes.

Acute Ischemic and Hemorrhagic Cerebrovascular Strokes After Cardiac Surgery: Incidence, Predictors, and Outcomes.

Acute Ischemic and Hemorrhagic Cerebrovascular Strokes After Cardiac Surgery: Incidence, Predictors, and Outcomes.

Acute Ischemic and Hemorrhagic Cerebrovascular Strokes After Cardiac Surgery: Incidence, Predictors, and Outcomes.

Background: Many studies have attempted to determine the incidence, predictors, and outcomes of cerebrovascular stroke after cardiac surgery, with different, sometimes contradictory, results because of differences in population risk profiles, study design, and surgical details. Methods: We retrospectively reviewed the records of all adult patients who underwent cardiac surgery between January 2018 and January 2023. Univariate, multivariable, and survival analyses were performed to identify the outcomes and predictors of ischemic and hemorrhagic strokes. Results: Of the 1334 patients studied, 70 (5.2%) patients had ischemic stroke, 23 (1.7%) had intracranial hemorrhage (ICH), and 9 (0.7%) had combined ischemic and hemorrhagic strokes. The patients who developed strokes had longer cardiopulmonary bypass (CPB) time (165.5 [126, 234] versus 136 [104, 171] min, p < 0.001) and aortic cross-clamping time (112 [79, 163] versus 89 [75, 121.5] min, p < 0.001), with higher rates of intra-aortic balloon pump (IABP) use (13.3% vs. 4.4%, p < 0.001), veno-arterial extracorporeal membrane oxygenation use (24.8% vs. 12.37%, p < 0.001), and mediastinal exploration for bleeding (22.9% vs. 8.9%, p < 0.0011). The patients who developed strokes showed increased hospital mortality (37.1% vs. 5.6%, p < 0.001), new need for dialysis (29.5% vs. 10.7%, p < 0.001), higher rate of tracheostomy (13.3% vs. 1.2%, p < 0.001), and longer intensive care unit (ICU) stay (12 [7, 28] versus 3 [2, 8] days, p < 0.001) and post-ICU stay (16 [7, 39] versus 5 [3, 10] days, p < 0.001). Follow-up for 36.4 (21.67, 50.7) months revealed an insignificant mortality difference, but there was an increased risk of recurrent cerebrovascular strokes. Cox-proportional hazards regression showed an increased risk of hospital mortality after cardiac surgery in patients who developed acute ischemic stroke (HR: 5.075, 95% CI: 3.28-7.851, p < 0.001) and ICH (HR: 12.288, 95% CI: 7.576-19.93, p < 0.001). Logistic multivariable regression showed that increased age, hyperlactatemia, redo cardiotomy, history of old stroke, CPB time, and perioperative IABP use were the predictors of ischemic stroke. Young age, old ICH, hyperlactatemia, and hypoalbuminemia were the predictors of postoperative ICH. Postoperative ICH, ischemic stroke, atrial fibrillation, chronic kidney disease, blood lactate level 24 h after surgery, and increased age were the independent predictors of mortality. Conclusions: Ischemic and hemorrhagic cerebrovascular strokes are serious complications that increase postoperative mortality and prolong hospitalization after cardiac surgery. Atrial fibrillation was not a significant predictor of postoperative stroke but was a predictor of hospital mortality. Careful attention should be given to maintaining hemodynamic stability and minimizing CPB time, especially in patients with a history of cerebrovascular strokes and redo cardiotomy.

求助全文
通过发布文献求助,成功后即可免费获取论文全文。 去求助
来源期刊
Critical Care Research and Practice
Critical Care Research and Practice CRITICAL CARE MEDICINE-
CiteScore
3.60
自引率
0.00%
发文量
34
审稿时长
14 weeks
×
引用
GB/T 7714-2015
复制
MLA
复制
APA
复制
导出至
BibTeX EndNote RefMan NoteFirst NoteExpress
×
提示
您的信息不完整,为了账户安全,请先补充。
现在去补充
×
提示
您因"违规操作"
具体请查看互助需知
我知道了
×
提示
确定
请完成安全验证×
copy
已复制链接
快去分享给好友吧!
我知道了
右上角分享
点击右上角分享
0
联系我们:info@booksci.cn Book学术提供免费学术资源搜索服务,方便国内外学者检索中英文文献。致力于提供最便捷和优质的服务体验。 Copyright © 2023 布克学术 All rights reserved.
京ICP备2023020795号-1
ghs 京公网安备 11010802042870号
Book学术文献互助
Book学术文献互助群
群 号:604180095
Book学术官方微信