1例鲁宾斯坦-泰比综合征患者的毛瘤:诊断和治疗线索。

Therapeutic advances in rare disease Pub Date : 2025-04-12 eCollection Date: 2025-01-01 DOI:10.1177/26330040251330316
Laura Battaglia, Corrado Ini', Manuela Lo Bianco, Roberta Leonardi, Eleonora Ini', Pietro Valerio Foti, Stefano Palmucci, Marco Fichera, Martino Ruggieri, Antonio Basile
{"title":"1例鲁宾斯坦-泰比综合征患者的毛瘤:诊断和治疗线索。","authors":"Laura Battaglia, Corrado Ini', Manuela Lo Bianco, Roberta Leonardi, Eleonora Ini', Pietro Valerio Foti, Stefano Palmucci, Marco Fichera, Martino Ruggieri, Antonio Basile","doi":"10.1177/26330040251330316","DOIUrl":null,"url":null,"abstract":"<p><p>Pilomatricoma is a rare benign neoplasm originating from hair cortex cells and typically manifests in children as a slow-growing bluish-red, superficial and firm mass. Multiple pilomatricomas can be associated with genetic mutations and syndromic disorders, most commonly with Rubinstein-Taybi syndrome, Gardner syndrome, myotonic dystrophy, Turner syndrome, and Sotos syndrome. Ultrasound examination allows this tumor to be characterized, to assess the involvement of deeper structures and to plan treatment. Pilomatricoma shows some distinctive ultrasonographic features that aid in its diagnosis and it may be seen on ultrasound as an ovoid complex mass. Complications and malignant transformation of pilomatricomas have been described as a possible tumor evolution, and surgical resection is recommended. We present a rare case of a 17-year-old female patient with intellectual disability and microcephaly, and with the evidence of multiple pilomatricomas in the head-neck region on ultrasound examination. The syndromic features of the patient and genetic tests led to a diagnosis of Rubinstein-Taybi syndrome. We also focused on the association between pilomatricomas and genetic mutations in patients with Rubinstein-Taybi syndrome.</p>","PeriodicalId":75218,"journal":{"name":"Therapeutic advances in rare disease","volume":"6 ","pages":"26330040251330316"},"PeriodicalIF":0.0000,"publicationDate":"2025-04-12","publicationTypes":"Journal Article","fieldsOfStudy":null,"isOpenAccess":false,"openAccessPdf":"https://www.ncbi.nlm.nih.gov/pmc/articles/PMC12033402/pdf/","citationCount":"0","resultStr":"{\"title\":\"Pilomatricomas in a patient with Rubinstein-Taybi syndrome: diagnostic and therapeutic clues.\",\"authors\":\"Laura Battaglia, Corrado Ini', Manuela Lo Bianco, Roberta Leonardi, Eleonora Ini', Pietro Valerio Foti, Stefano Palmucci, Marco Fichera, Martino Ruggieri, Antonio Basile\",\"doi\":\"10.1177/26330040251330316\",\"DOIUrl\":null,\"url\":null,\"abstract\":\"<p><p>Pilomatricoma is a rare benign neoplasm originating from hair cortex cells and typically manifests in children as a slow-growing bluish-red, superficial and firm mass. Multiple pilomatricomas can be associated with genetic mutations and syndromic disorders, most commonly with Rubinstein-Taybi syndrome, Gardner syndrome, myotonic dystrophy, Turner syndrome, and Sotos syndrome. Ultrasound examination allows this tumor to be characterized, to assess the involvement of deeper structures and to plan treatment. Pilomatricoma shows some distinctive ultrasonographic features that aid in its diagnosis and it may be seen on ultrasound as an ovoid complex mass. Complications and malignant transformation of pilomatricomas have been described as a possible tumor evolution, and surgical resection is recommended. We present a rare case of a 17-year-old female patient with intellectual disability and microcephaly, and with the evidence of multiple pilomatricomas in the head-neck region on ultrasound examination. The syndromic features of the patient and genetic tests led to a diagnosis of Rubinstein-Taybi syndrome. We also focused on the association between pilomatricomas and genetic mutations in patients with Rubinstein-Taybi syndrome.</p>\",\"PeriodicalId\":75218,\"journal\":{\"name\":\"Therapeutic advances in rare disease\",\"volume\":\"6 \",\"pages\":\"26330040251330316\"},\"PeriodicalIF\":0.0000,\"publicationDate\":\"2025-04-12\",\"publicationTypes\":\"Journal Article\",\"fieldsOfStudy\":null,\"isOpenAccess\":false,\"openAccessPdf\":\"https://www.ncbi.nlm.nih.gov/pmc/articles/PMC12033402/pdf/\",\"citationCount\":\"0\",\"resultStr\":null,\"platform\":\"Semanticscholar\",\"paperid\":null,\"PeriodicalName\":\"Therapeutic advances in rare disease\",\"FirstCategoryId\":\"1085\",\"ListUrlMain\":\"https://doi.org/10.1177/26330040251330316\",\"RegionNum\":0,\"RegionCategory\":null,\"ArticlePicture\":[],\"TitleCN\":null,\"AbstractTextCN\":null,\"PMCID\":null,\"EPubDate\":\"2025/1/1 0:00:00\",\"PubModel\":\"eCollection\",\"JCR\":\"\",\"JCRName\":\"\",\"Score\":null,\"Total\":0}","platform":"Semanticscholar","paperid":null,"PeriodicalName":"Therapeutic advances in rare disease","FirstCategoryId":"1085","ListUrlMain":"https://doi.org/10.1177/26330040251330316","RegionNum":0,"RegionCategory":null,"ArticlePicture":[],"TitleCN":null,"AbstractTextCN":null,"PMCID":null,"EPubDate":"2025/1/1 0:00:00","PubModel":"eCollection","JCR":"","JCRName":"","Score":null,"Total":0}
引用次数: 0

摘要

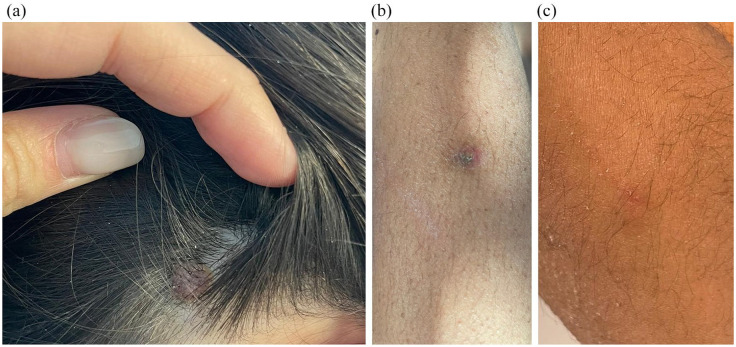
毛瘤是一种罕见的良性肿瘤,起源于头发皮层细胞,在儿童中典型表现为生长缓慢的蓝红色,表面和坚硬的肿块。多发性毛瘤可与基因突变和综合征相关,最常见的是Rubinstein-Taybi综合征、Gardner综合征、肌强直性营养不良症、Turner综合征和Sotos综合征。超声检查可以确定肿瘤的特征,评估深层结构的受累情况,并制定治疗计划。毛囊基质瘤表现出一些独特的超声特征,有助于其诊断,在超声上可视为卵形复杂肿块。毛瘤的并发症和恶性转化已被描述为可能的肿瘤发展,并建议手术切除。我们报告一例罕见的17岁女性智力残疾和小头畸形患者,超声检查显示头颈部有多发毛瘤。患者的综合征特征和基因测试导致鲁宾斯坦-泰比综合征的诊断。我们还关注了鲁宾斯坦-泰比综合征患者毛瘤基质瘤与基因突变之间的关系。
本文章由计算机程序翻译,如有差异,请以英文原文为准。

Pilomatricomas in a patient with Rubinstein-Taybi syndrome: diagnostic and therapeutic clues.

Pilomatricomas in a patient with Rubinstein-Taybi syndrome: diagnostic and therapeutic clues.

Pilomatricomas in a patient with Rubinstein-Taybi syndrome: diagnostic and therapeutic clues.

Pilomatricomas in a patient with Rubinstein-Taybi syndrome: diagnostic and therapeutic clues.

Pilomatricoma is a rare benign neoplasm originating from hair cortex cells and typically manifests in children as a slow-growing bluish-red, superficial and firm mass. Multiple pilomatricomas can be associated with genetic mutations and syndromic disorders, most commonly with Rubinstein-Taybi syndrome, Gardner syndrome, myotonic dystrophy, Turner syndrome, and Sotos syndrome. Ultrasound examination allows this tumor to be characterized, to assess the involvement of deeper structures and to plan treatment. Pilomatricoma shows some distinctive ultrasonographic features that aid in its diagnosis and it may be seen on ultrasound as an ovoid complex mass. Complications and malignant transformation of pilomatricomas have been described as a possible tumor evolution, and surgical resection is recommended. We present a rare case of a 17-year-old female patient with intellectual disability and microcephaly, and with the evidence of multiple pilomatricomas in the head-neck region on ultrasound examination. The syndromic features of the patient and genetic tests led to a diagnosis of Rubinstein-Taybi syndrome. We also focused on the association between pilomatricomas and genetic mutations in patients with Rubinstein-Taybi syndrome.

求助全文
通过发布文献求助,成功后即可免费获取论文全文。 去求助
来源期刊
CiteScore
2.00
自引率
0.00%
发文量
0
×
引用
GB/T 7714-2015
复制
MLA
复制
APA
复制
导出至
BibTeX EndNote RefMan NoteFirst NoteExpress
×
提示
您的信息不完整,为了账户安全,请先补充。
现在去补充
×
提示
您因"违规操作"
具体请查看互助需知
我知道了
×
提示
确定
请完成安全验证×
copy
已复制链接
快去分享给好友吧!
我知道了
右上角分享
点击右上角分享
0
联系我们:info@booksci.cn Book学术提供免费学术资源搜索服务,方便国内外学者检索中英文文献。致力于提供最便捷和优质的服务体验。 Copyright © 2023 布克学术 All rights reserved.
京ICP备2023020795号-1
ghs 京公网安备 11010802042870号
Book学术文献互助
Book学术文献互助群
群 号:604180095
Book学术官方微信