使用OsteoSight™髋关节和骨盆x射线评估骨质疏松症的机会性评估:在美国人群中验证基于人工智能的工具

IF 5.4 2区 医学 Q1 ENDOCRINOLOGY & METABOLISM
Osteoporosis International Pub Date : 2025-06-01 Epub Date: 2025-04-22 DOI:10.1007/s00198-025-07487-0
Robert J Pignolo, John J Connell, Will Briggs, Catherine J Kelly, Chris Tromans, Naima Sultana, J Michael Brady
{"title":"使用OsteoSight™髋关节和骨盆x射线评估骨质疏松症的机会性评估:在美国人群中验证基于人工智能的工具","authors":"Robert J Pignolo, John J Connell, Will Briggs, Catherine J Kelly, Chris Tromans, Naima Sultana, J Michael Brady","doi":"10.1007/s00198-025-07487-0","DOIUrl":null,"url":null,"abstract":"<p><p>Identifying patients at risk of low bone mineral density (BMD) from X-rays presents an attractive approach to increase case finding. This paper showed the diagnostic accuracy, reproducibility, and robustness of a new technology: OsteoSight™. OsteoSight could increase diagnosis and preventive treatment rates for patients with low BMD.</p><p><strong>Purpose: </strong>This study aimed to evaluate the diagnostic accuracy, reproducibility, and robustness of OsteoSight™, an automated image analysis tool designed to identify low bone mineral density (BMD) from routine hip and pelvic X-rays. Given the global rise in osteoporosis-related fractures and the limitations of current diagnostic paradigms, OsteoSight offers a scalable solution that integrates into existing clinical workflows.</p><p><strong>Methods: </strong>Performance of the technology was tested across three key areas: (1) diagnostic accuracy in identifying low BMD as compared to dual-energy X-ray absorptiometry (DXA), the clinical gold standard; (2) reproducibility, through analysis of two images from the same patient; and (3) robustness, by evaluating the tool's performance across different patient demographics and X-ray scanner hardware.</p><p><strong>Results: </strong>The diagnostic accuracy of OsteoSight for identifying patients at risk of low BMD was area under the receiver operating characteristic curve (AUROC) 0.834 [0.789-0.880], with consistent results across subgroups of clinical confounders and X-ray scanner hardware. Specificity 0.852 [0.783-0.930] and sensitivity 0.628 [0.538-0.743] met pre-specified acceptance criteria. The pre-processing pipeline successfully excluded unsuitable cases including incorrect body parts, metalwork, and unacceptable femur positioning.</p><p><strong>Conclusion: </strong>The results demonstrate that OsteoSight is accurate in identifying patients with low BMD. This suggests its utility as an opportunistic assessment tool, especially in settings where DXA accessibility is limited or not recently performed. The tool's reproducibility and robust performance across various clinical confounders further supports its integration into routine orthopedic and medical practices, potentially broadening the reach of osteoporosis assessment and enabling earlier intervention for at-risk patients.</p>","PeriodicalId":19638,"journal":{"name":"Osteoporosis International","volume":" ","pages":"1053-1060"},"PeriodicalIF":5.4000,"publicationDate":"2025-06-01","publicationTypes":"Journal Article","fieldsOfStudy":null,"isOpenAccess":false,"openAccessPdf":"https://www.ncbi.nlm.nih.gov/pmc/articles/PMC12122585/pdf/","citationCount":"0","resultStr":"{\"title\":\"Opportunistic assessment of osteoporosis using hip and pelvic X-rays with OsteoSight™: validation of an AI-based tool in a US population.\",\"authors\":\"Robert J Pignolo, John J Connell, Will Briggs, Catherine J Kelly, Chris Tromans, Naima Sultana, J Michael Brady\",\"doi\":\"10.1007/s00198-025-07487-0\",\"DOIUrl\":null,\"url\":null,\"abstract\":\"<p><p>Identifying patients at risk of low bone mineral density (BMD) from X-rays presents an attractive approach to increase case finding. This paper showed the diagnostic accuracy, reproducibility, and robustness of a new technology: OsteoSight™. OsteoSight could increase diagnosis and preventive treatment rates for patients with low BMD.</p><p><strong>Purpose: </strong>This study aimed to evaluate the diagnostic accuracy, reproducibility, and robustness of OsteoSight™, an automated image analysis tool designed to identify low bone mineral density (BMD) from routine hip and pelvic X-rays. Given the global rise in osteoporosis-related fractures and the limitations of current diagnostic paradigms, OsteoSight offers a scalable solution that integrates into existing clinical workflows.</p><p><strong>Methods: </strong>Performance of the technology was tested across three key areas: (1) diagnostic accuracy in identifying low BMD as compared to dual-energy X-ray absorptiometry (DXA), the clinical gold standard; (2) reproducibility, through analysis of two images from the same patient; and (3) robustness, by evaluating the tool's performance across different patient demographics and X-ray scanner hardware.</p><p><strong>Results: </strong>The diagnostic accuracy of OsteoSight for identifying patients at risk of low BMD was area under the receiver operating characteristic curve (AUROC) 0.834 [0.789-0.880], with consistent results across subgroups of clinical confounders and X-ray scanner hardware. Specificity 0.852 [0.783-0.930] and sensitivity 0.628 [0.538-0.743] met pre-specified acceptance criteria. The pre-processing pipeline successfully excluded unsuitable cases including incorrect body parts, metalwork, and unacceptable femur positioning.</p><p><strong>Conclusion: </strong>The results demonstrate that OsteoSight is accurate in identifying patients with low BMD. This suggests its utility as an opportunistic assessment tool, especially in settings where DXA accessibility is limited or not recently performed. The tool's reproducibility and robust performance across various clinical confounders further supports its integration into routine orthopedic and medical practices, potentially broadening the reach of osteoporosis assessment and enabling earlier intervention for at-risk patients.</p>\",\"PeriodicalId\":19638,\"journal\":{\"name\":\"Osteoporosis International\",\"volume\":\" \",\"pages\":\"1053-1060\"},\"PeriodicalIF\":5.4000,\"publicationDate\":\"2025-06-01\",\"publicationTypes\":\"Journal Article\",\"fieldsOfStudy\":null,\"isOpenAccess\":false,\"openAccessPdf\":\"https://www.ncbi.nlm.nih.gov/pmc/articles/PMC12122585/pdf/\",\"citationCount\":\"0\",\"resultStr\":null,\"platform\":\"Semanticscholar\",\"paperid\":null,\"PeriodicalName\":\"Osteoporosis International\",\"FirstCategoryId\":\"3\",\"ListUrlMain\":\"https://doi.org/10.1007/s00198-025-07487-0\",\"RegionNum\":2,\"RegionCategory\":\"医学\",\"ArticlePicture\":[],\"TitleCN\":null,\"AbstractTextCN\":null,\"PMCID\":null,\"EPubDate\":\"2025/4/22 0:00:00\",\"PubModel\":\"Epub\",\"JCR\":\"Q1\",\"JCRName\":\"ENDOCRINOLOGY & METABOLISM\",\"Score\":null,\"Total\":0}","platform":"Semanticscholar","paperid":null,"PeriodicalName":"Osteoporosis International","FirstCategoryId":"3","ListUrlMain":"https://doi.org/10.1007/s00198-025-07487-0","RegionNum":2,"RegionCategory":"医学","ArticlePicture":[],"TitleCN":null,"AbstractTextCN":null,"PMCID":null,"EPubDate":"2025/4/22 0:00:00","PubModel":"Epub","JCR":"Q1","JCRName":"ENDOCRINOLOGY & METABOLISM","Score":null,"Total":0}
引用次数: 0

摘要

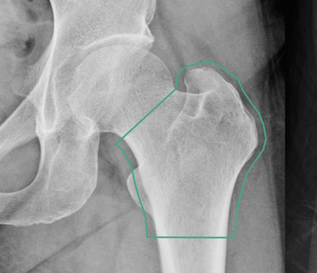
从x射线中识别有低骨密度(BMD)风险的患者是增加病例发现的一种有吸引力的方法。本文展示了一种新技术OsteoSight™的诊断准确性、可重复性和稳健性。OsteoSight可提高低骨密度患者的诊断率和防治率。目的:本研究旨在评估OsteoSight™的诊断准确性、可重复性和稳健性,OsteoSight™是一种自动图像分析工具,旨在从常规髋关节和骨盆x射线中识别低骨密度(BMD)。鉴于全球骨质疏松相关骨折的增加和当前诊断范例的局限性,OsteoSight提供了一种可扩展的解决方案,可集成到现有的临床工作流程中。方法:对该技术的性能进行了三个关键领域的测试:(1)与临床金标准双能x线吸收仪(DXA)相比,诊断低骨密度的准确性;(2)再现性,通过对同一患者的两幅图像进行分析;(3)稳健性,通过评估该工具在不同患者人口统计和x射线扫描仪硬件上的性能。结果:OsteoSight识别低BMD风险患者的诊断准确率为受试者工作特征曲线下面积(AUROC) 0.834[0.789-0.880],在临床混杂因素和x射线扫描仪硬件亚组中结果一致。特异性0.852[0.783-0.930],敏感性0.628[0.538-0.743]符合预先规定的验收标准。预处理管道成功地排除了不合适的情况,包括不正确的身体部位,金属制品和不接受的股骨定位。结论:结果表明OsteoSight在识别低骨密度患者方面是准确的。这表明它是一种机会性评估工具,特别是在DXA可访问性有限或最近没有执行的环境中。该工具的可重复性和在各种临床混杂因素中的强大性能进一步支持其整合到常规骨科和医疗实践中,可能扩大骨质疏松症评估的范围,并为高危患者提供早期干预。
本文章由计算机程序翻译,如有差异,请以英文原文为准。

Opportunistic assessment of osteoporosis using hip and pelvic X-rays with OsteoSight™: validation of an AI-based tool in a US population.

Opportunistic assessment of osteoporosis using hip and pelvic X-rays with OsteoSight™: validation of an AI-based tool in a US population.

Opportunistic assessment of osteoporosis using hip and pelvic X-rays with OsteoSight™: validation of an AI-based tool in a US population.

Opportunistic assessment of osteoporosis using hip and pelvic X-rays with OsteoSight™: validation of an AI-based tool in a US population.

Identifying patients at risk of low bone mineral density (BMD) from X-rays presents an attractive approach to increase case finding. This paper showed the diagnostic accuracy, reproducibility, and robustness of a new technology: OsteoSight™. OsteoSight could increase diagnosis and preventive treatment rates for patients with low BMD.

Purpose: This study aimed to evaluate the diagnostic accuracy, reproducibility, and robustness of OsteoSight™, an automated image analysis tool designed to identify low bone mineral density (BMD) from routine hip and pelvic X-rays. Given the global rise in osteoporosis-related fractures and the limitations of current diagnostic paradigms, OsteoSight offers a scalable solution that integrates into existing clinical workflows.

Methods: Performance of the technology was tested across three key areas: (1) diagnostic accuracy in identifying low BMD as compared to dual-energy X-ray absorptiometry (DXA), the clinical gold standard; (2) reproducibility, through analysis of two images from the same patient; and (3) robustness, by evaluating the tool's performance across different patient demographics and X-ray scanner hardware.

Results: The diagnostic accuracy of OsteoSight for identifying patients at risk of low BMD was area under the receiver operating characteristic curve (AUROC) 0.834 [0.789-0.880], with consistent results across subgroups of clinical confounders and X-ray scanner hardware. Specificity 0.852 [0.783-0.930] and sensitivity 0.628 [0.538-0.743] met pre-specified acceptance criteria. The pre-processing pipeline successfully excluded unsuitable cases including incorrect body parts, metalwork, and unacceptable femur positioning.

Conclusion: The results demonstrate that OsteoSight is accurate in identifying patients with low BMD. This suggests its utility as an opportunistic assessment tool, especially in settings where DXA accessibility is limited or not recently performed. The tool's reproducibility and robust performance across various clinical confounders further supports its integration into routine orthopedic and medical practices, potentially broadening the reach of osteoporosis assessment and enabling earlier intervention for at-risk patients.

求助全文
通过发布文献求助,成功后即可免费获取论文全文。 去求助
来源期刊
Osteoporosis International
Osteoporosis International 医学-内分泌学与代谢
CiteScore
8.10
自引率
10.00%
发文量
224
审稿时长
3 months
期刊介绍: An international multi-disciplinary journal which is a joint initiative between the International Osteoporosis Foundation and the National Osteoporosis Foundation of the USA, Osteoporosis International provides a forum for the communication and exchange of current ideas concerning the diagnosis, prevention, treatment and management of osteoporosis and other metabolic bone diseases. It publishes: original papers - reporting progress and results in all areas of osteoporosis and its related fields; review articles - reflecting the present state of knowledge in special areas of summarizing limited themes in which discussion has led to clearly defined conclusions; educational articles - giving information on the progress of a topic of particular interest; case reports - of uncommon or interesting presentations of the condition. While focusing on clinical research, the Journal will also accept submissions on more basic aspects of research, where they are considered by the editors to be relevant to the human disease spectrum.
×
引用
GB/T 7714-2015
复制
MLA
复制
APA
复制
导出至
BibTeX EndNote RefMan NoteFirst NoteExpress
×
提示
您的信息不完整,为了账户安全,请先补充。
现在去补充
×
提示
您因"违规操作"
具体请查看互助需知
我知道了
×
提示
确定
请完成安全验证×
copy
已复制链接
快去分享给好友吧!
我知道了
右上角分享
点击右上角分享
0
联系我们:info@booksci.cn Book学术提供免费学术资源搜索服务,方便国内外学者检索中英文文献。致力于提供最便捷和优质的服务体验。 Copyright © 2023 布克学术 All rights reserved.
京ICP备2023020795号-1
ghs 京公网安备 11010802042870号
Book学术文献互助
Book学术文献互助群
群 号:604180095
Book学术官方微信