胃癌出血止血放疗后的早期血管造影改变,提及治疗的机制和潜在的即时效果。

IF 5.1 1区 医学 Q1 GASTROENTEROLOGY & HEPATOLOGY
Gastric Cancer Pub Date : 2025-07-01 Epub Date: 2025-05-02 DOI:10.1007/s10120-025-01616-8
Yuki Wada, Motoko Konno, Tomoki Tozawa, Tomochika Sato, Tetsugaku Shinozaki, Satoshi Kumagai, Noriko Takagi, Koji Fukuda, Hiroyuki Shibata, Naoko Mori
{"title":"胃癌出血止血放疗后的早期血管造影改变,提及治疗的机制和潜在的即时效果。","authors":"Yuki Wada, Motoko Konno, Tomoki Tozawa, Tomochika Sato, Tetsugaku Shinozaki, Satoshi Kumagai, Noriko Takagi, Koji Fukuda, Hiroyuki Shibata, Naoko Mori","doi":"10.1007/s10120-025-01616-8","DOIUrl":null,"url":null,"abstract":"<p><p>Although hemostatic radiotherapy has been reported as an effective treatment for gastric cancer bleeding, its mechanism and immediate effects remain unclear. We experienced a case of gastric cancer bleeding originating from both the whole gastric tumor and a left gastric arterial pseudoaneurysm at the tumor-associated ulcer. The patient was treated with radiotherapy for bleeding from the whole gastric tumor, followed by transcatheter arterial embolization for the left gastric arterial pseudoaneurysm. Angiography performed two hours after radiotherapy with an X-ray of 8 Gy in a single fraction revealed the disappearance of both tumor vessels and tumor stain from not only the embolized left gastric artery but also both the non-embolized right gastric artery and common trunk of the left gastric and the left hepatic arteries, which indicated these angiographic changes of the non-embolized arteries were presumed to reflect an immediate effect of hemostatic radiotherapy. Following hemostatic treatments, the patient's vital signs stabilized, and hemoglobin levels did not decrease, indicating immediate hemostasis. This case suggests a link between hemostatic mechanism and early tumor vessel changes, indicating that hemostatic radiotherapy can achieve rapid bleeding control. Therefore, hemostatic radiotherapy should be considered an emergency treatment option for gastric cancer bleeding.</p>","PeriodicalId":12684,"journal":{"name":"Gastric Cancer","volume":" ","pages":"712-717"},"PeriodicalIF":5.1000,"publicationDate":"2025-07-01","publicationTypes":"Journal Article","fieldsOfStudy":null,"isOpenAccess":false,"openAccessPdf":"https://www.ncbi.nlm.nih.gov/pmc/articles/PMC12174217/pdf/","citationCount":"0","resultStr":"{\"title\":\"Early angiographic changes after hemostatic radiotherapy for gastric cancer bleeding, mentioning the mechanism and potential immediate effects of the treatment.\",\"authors\":\"Yuki Wada, Motoko Konno, Tomoki Tozawa, Tomochika Sato, Tetsugaku Shinozaki, Satoshi Kumagai, Noriko Takagi, Koji Fukuda, Hiroyuki Shibata, Naoko Mori\",\"doi\":\"10.1007/s10120-025-01616-8\",\"DOIUrl\":null,\"url\":null,\"abstract\":\"<p><p>Although hemostatic radiotherapy has been reported as an effective treatment for gastric cancer bleeding, its mechanism and immediate effects remain unclear. We experienced a case of gastric cancer bleeding originating from both the whole gastric tumor and a left gastric arterial pseudoaneurysm at the tumor-associated ulcer. The patient was treated with radiotherapy for bleeding from the whole gastric tumor, followed by transcatheter arterial embolization for the left gastric arterial pseudoaneurysm. Angiography performed two hours after radiotherapy with an X-ray of 8 Gy in a single fraction revealed the disappearance of both tumor vessels and tumor stain from not only the embolized left gastric artery but also both the non-embolized right gastric artery and common trunk of the left gastric and the left hepatic arteries, which indicated these angiographic changes of the non-embolized arteries were presumed to reflect an immediate effect of hemostatic radiotherapy. Following hemostatic treatments, the patient's vital signs stabilized, and hemoglobin levels did not decrease, indicating immediate hemostasis. This case suggests a link between hemostatic mechanism and early tumor vessel changes, indicating that hemostatic radiotherapy can achieve rapid bleeding control. Therefore, hemostatic radiotherapy should be considered an emergency treatment option for gastric cancer bleeding.</p>\",\"PeriodicalId\":12684,\"journal\":{\"name\":\"Gastric Cancer\",\"volume\":\" \",\"pages\":\"712-717\"},\"PeriodicalIF\":5.1000,\"publicationDate\":\"2025-07-01\",\"publicationTypes\":\"Journal Article\",\"fieldsOfStudy\":null,\"isOpenAccess\":false,\"openAccessPdf\":\"https://www.ncbi.nlm.nih.gov/pmc/articles/PMC12174217/pdf/\",\"citationCount\":\"0\",\"resultStr\":null,\"platform\":\"Semanticscholar\",\"paperid\":null,\"PeriodicalName\":\"Gastric Cancer\",\"FirstCategoryId\":\"3\",\"ListUrlMain\":\"https://doi.org/10.1007/s10120-025-01616-8\",\"RegionNum\":1,\"RegionCategory\":\"医学\",\"ArticlePicture\":[],\"TitleCN\":null,\"AbstractTextCN\":null,\"PMCID\":null,\"EPubDate\":\"2025/5/2 0:00:00\",\"PubModel\":\"Epub\",\"JCR\":\"Q1\",\"JCRName\":\"GASTROENTEROLOGY & HEPATOLOGY\",\"Score\":null,\"Total\":0}","platform":"Semanticscholar","paperid":null,"PeriodicalName":"Gastric Cancer","FirstCategoryId":"3","ListUrlMain":"https://doi.org/10.1007/s10120-025-01616-8","RegionNum":1,"RegionCategory":"医学","ArticlePicture":[],"TitleCN":null,"AbstractTextCN":null,"PMCID":null,"EPubDate":"2025/5/2 0:00:00","PubModel":"Epub","JCR":"Q1","JCRName":"GASTROENTEROLOGY & HEPATOLOGY","Score":null,"Total":0}
引用次数: 0

摘要

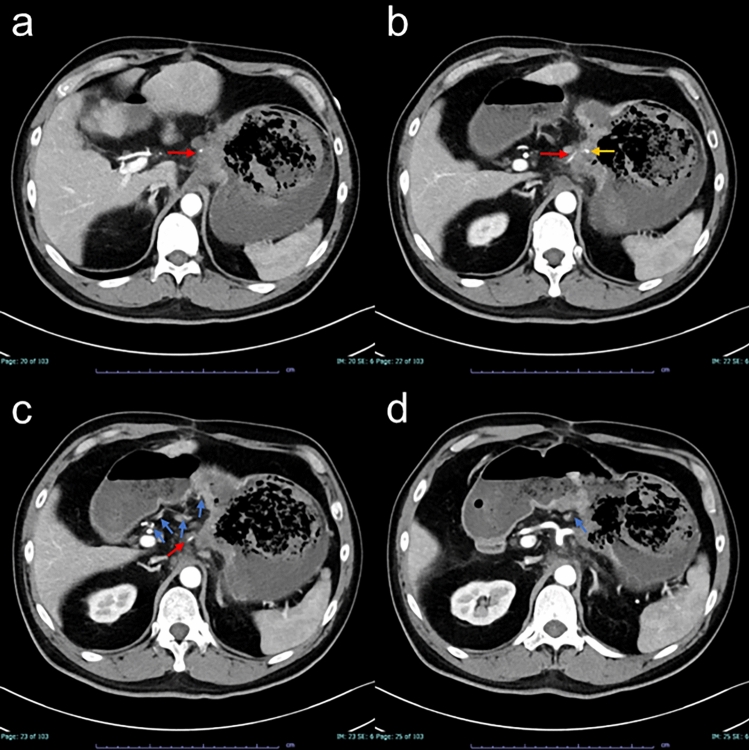
虽然有报道称止血放疗是治疗胃癌出血的有效方法,但其作用机制和即时效果尚不清楚。我们报告了一个胃癌出血的病例,这是由整个胃肿瘤和左侧胃动脉假性动脉瘤在肿瘤相关溃疡处引起的。患者因全胃肿瘤出血行放射治疗,随后经导管动脉栓塞治疗左胃动脉假性动脉瘤。放疗后2小时单段8 Gy x线造影显示,栓塞后的胃左动脉、未栓塞的胃右动脉、胃左动脉和肝左动脉总干的肿瘤血管和肿瘤染色均消失,推测未栓塞动脉的这些血管造影改变反映了止血放疗的即时效果。止血治疗后,患者生命体征稳定,血红蛋白水平未下降,提示立即止血。本病例提示止血机制与早期肿瘤血管改变有关,说明止血放疗可实现快速止血控制。因此,止血放疗应被视为胃癌出血的紧急治疗选择。
本文章由计算机程序翻译,如有差异,请以英文原文为准。

Early angiographic changes after hemostatic radiotherapy for gastric cancer bleeding, mentioning the mechanism and potential immediate effects of the treatment.

Early angiographic changes after hemostatic radiotherapy for gastric cancer bleeding, mentioning the mechanism and potential immediate effects of the treatment.

Early angiographic changes after hemostatic radiotherapy for gastric cancer bleeding, mentioning the mechanism and potential immediate effects of the treatment.

Early angiographic changes after hemostatic radiotherapy for gastric cancer bleeding, mentioning the mechanism and potential immediate effects of the treatment.

Although hemostatic radiotherapy has been reported as an effective treatment for gastric cancer bleeding, its mechanism and immediate effects remain unclear. We experienced a case of gastric cancer bleeding originating from both the whole gastric tumor and a left gastric arterial pseudoaneurysm at the tumor-associated ulcer. The patient was treated with radiotherapy for bleeding from the whole gastric tumor, followed by transcatheter arterial embolization for the left gastric arterial pseudoaneurysm. Angiography performed two hours after radiotherapy with an X-ray of 8 Gy in a single fraction revealed the disappearance of both tumor vessels and tumor stain from not only the embolized left gastric artery but also both the non-embolized right gastric artery and common trunk of the left gastric and the left hepatic arteries, which indicated these angiographic changes of the non-embolized arteries were presumed to reflect an immediate effect of hemostatic radiotherapy. Following hemostatic treatments, the patient's vital signs stabilized, and hemoglobin levels did not decrease, indicating immediate hemostasis. This case suggests a link between hemostatic mechanism and early tumor vessel changes, indicating that hemostatic radiotherapy can achieve rapid bleeding control. Therefore, hemostatic radiotherapy should be considered an emergency treatment option for gastric cancer bleeding.

求助全文
通过发布文献求助,成功后即可免费获取论文全文。 去求助
来源期刊
Gastric Cancer
Gastric Cancer 医学-胃肠肝病学
CiteScore
14.70
自引率
2.70%
发文量
80
审稿时长
6-12 weeks
期刊介绍: Gastric Cancer is an esteemed global forum that focuses on various aspects of gastric cancer research, treatment, and biology worldwide. The journal promotes a diverse range of content, including original articles, case reports, short communications, and technical notes. It also welcomes Letters to the Editor discussing published articles or sharing viewpoints on gastric cancer topics. Review articles are predominantly sought after by the Editor, ensuring comprehensive coverage of the field. With a dedicated and knowledgeable editorial team, the journal is committed to providing exceptional support and ensuring high levels of author satisfaction. In fact, over 90% of published authors have expressed their intent to publish again in our esteemed journal.
×
引用
GB/T 7714-2015
复制
MLA
复制
APA
复制
导出至
BibTeX EndNote RefMan NoteFirst NoteExpress
×
提示
您的信息不完整,为了账户安全,请先补充。
现在去补充
×
提示
您因"违规操作"
具体请查看互助需知
我知道了
×
提示
确定
请完成安全验证×
copy
已复制链接
快去分享给好友吧!
我知道了
右上角分享
点击右上角分享
0
联系我们:info@booksci.cn Book学术提供免费学术资源搜索服务,方便国内外学者检索中英文文献。致力于提供最便捷和优质的服务体验。 Copyright © 2023 布克学术 All rights reserved.
京ICP备2023020795号-1
ghs 京公网安备 11010802042870号
Book学术文献互助
Book学术文献互助群
群 号:604180095
Book学术官方微信