人类先天免疫缺陷中的淀粉样变性预示着不良预后。

IF 5.7 2区 医学 Q1 IMMUNOLOGY
Elif Soyak Aytekin, Anar Tagiyev, Onat Silleli, İncinur Samur, Fevzi Demirel, Saliha Esenboğa, Emine Arzu Sağlam, Deniz Çağdaş
{"title":"人类先天免疫缺陷中的淀粉样变性预示着不良预后。","authors":"Elif Soyak Aytekin, Anar Tagiyev, Onat Silleli, İncinur Samur, Fevzi Demirel, Saliha Esenboğa, Emine Arzu Sağlam, Deniz Çağdaş","doi":"10.1007/s10875-025-01875-1","DOIUrl":null,"url":null,"abstract":"<p><strong>Purpose: </strong>Chronic inflammation in inborn errors of immunity(IEI) caused by the infections or immune dysregulation is associated with the amyloid A (AA) amyloidosis development. This study aims to analyze the clinical characteristics, management strategies, and outcomes of patients with IEI complicated by AA amyloidosis, focusing on demographics, disease manifestations, treatment modalities, and survival rates.</p><p><strong>Methods: </strong>Thirteen patients diagnosed with IEI and AA amyloidosis, along with an additional 10 patients previously reported from Türkiye, were reviewed retrospectively.</p><p><strong>Results: </strong>The median ages at diagnosis of IEI and amyloidosis were 20 years (2-61) and 25 years (7-70), respectively. Renal (74%) and gastrointestinal involvement (44%) were the most common, followed by skin(9%), pulmonary (9%), and cardiac involvement (9%). Primary antibody deficiencies(48%), combined immunodeficiencies(31%), hyperimmunoglobulin E syndrome(9%), congenital neutropenia (4%), autoinflammatory disorders (4%), and chronic mucocutaneous candidiasis (4%) were the IEI types associated with amyloidosis. Bronchiectasis (74%) and malignancy (17%) were observed in given ratio of patients. Treatment modalities for amyloidosis include colchicine (n = 12, 52%), steroids (n = 5, 22%) and tocilizumab (n = 2, 9%) without significant benefit. Thirteen patients (57%) died with a median age of 24 years (8-45), predominantly due to sepsis (52%). Familial Mediterranean fever (FMF) gene analysis was negative in all patients except for one, who had a heterozygous MEFV gene defect (M694V).</p><p><strong>Conclusion: </strong>AA amyloidosis in IEI is associated with severe morbidity and mortality. Early diagnosis and management of IEI are crucial to prevent amyloidosis development. However, colchicine appears ineffective once amyloidosis has occurred, highlighting the need for further research into early diagnostic biomarkers and novel treatment options.</p>","PeriodicalId":15531,"journal":{"name":"Journal of Clinical Immunology","volume":"45 1","pages":"88"},"PeriodicalIF":5.7000,"publicationDate":"2025-04-23","publicationTypes":"Journal Article","fieldsOfStudy":null,"isOpenAccess":false,"openAccessPdf":"https://www.ncbi.nlm.nih.gov/pmc/articles/PMC12018599/pdf/","citationCount":"0","resultStr":"{\"title\":\"Amyloidosis in Human Inborn Errors of Immunity Predicts Poor Prognosis.\",\"authors\":\"Elif Soyak Aytekin, Anar Tagiyev, Onat Silleli, İncinur Samur, Fevzi Demirel, Saliha Esenboğa, Emine Arzu Sağlam, Deniz Çağdaş\",\"doi\":\"10.1007/s10875-025-01875-1\",\"DOIUrl\":null,\"url\":null,\"abstract\":\"<p><strong>Purpose: </strong>Chronic inflammation in inborn errors of immunity(IEI) caused by the infections or immune dysregulation is associated with the amyloid A (AA) amyloidosis development. This study aims to analyze the clinical characteristics, management strategies, and outcomes of patients with IEI complicated by AA amyloidosis, focusing on demographics, disease manifestations, treatment modalities, and survival rates.</p><p><strong>Methods: </strong>Thirteen patients diagnosed with IEI and AA amyloidosis, along with an additional 10 patients previously reported from Türkiye, were reviewed retrospectively.</p><p><strong>Results: </strong>The median ages at diagnosis of IEI and amyloidosis were 20 years (2-61) and 25 years (7-70), respectively. Renal (74%) and gastrointestinal involvement (44%) were the most common, followed by skin(9%), pulmonary (9%), and cardiac involvement (9%). Primary antibody deficiencies(48%), combined immunodeficiencies(31%), hyperimmunoglobulin E syndrome(9%), congenital neutropenia (4%), autoinflammatory disorders (4%), and chronic mucocutaneous candidiasis (4%) were the IEI types associated with amyloidosis. Bronchiectasis (74%) and malignancy (17%) were observed in given ratio of patients. Treatment modalities for amyloidosis include colchicine (n = 12, 52%), steroids (n = 5, 22%) and tocilizumab (n = 2, 9%) without significant benefit. Thirteen patients (57%) died with a median age of 24 years (8-45), predominantly due to sepsis (52%). Familial Mediterranean fever (FMF) gene analysis was negative in all patients except for one, who had a heterozygous MEFV gene defect (M694V).</p><p><strong>Conclusion: </strong>AA amyloidosis in IEI is associated with severe morbidity and mortality. Early diagnosis and management of IEI are crucial to prevent amyloidosis development. However, colchicine appears ineffective once amyloidosis has occurred, highlighting the need for further research into early diagnostic biomarkers and novel treatment options.</p>\",\"PeriodicalId\":15531,\"journal\":{\"name\":\"Journal of Clinical Immunology\",\"volume\":\"45 1\",\"pages\":\"88\"},\"PeriodicalIF\":5.7000,\"publicationDate\":\"2025-04-23\",\"publicationTypes\":\"Journal Article\",\"fieldsOfStudy\":null,\"isOpenAccess\":false,\"openAccessPdf\":\"https://www.ncbi.nlm.nih.gov/pmc/articles/PMC12018599/pdf/\",\"citationCount\":\"0\",\"resultStr\":null,\"platform\":\"Semanticscholar\",\"paperid\":null,\"PeriodicalName\":\"Journal of Clinical Immunology\",\"FirstCategoryId\":\"3\",\"ListUrlMain\":\"https://doi.org/10.1007/s10875-025-01875-1\",\"RegionNum\":2,\"RegionCategory\":\"医学\",\"ArticlePicture\":[],\"TitleCN\":null,\"AbstractTextCN\":null,\"PMCID\":null,\"EPubDate\":\"\",\"PubModel\":\"\",\"JCR\":\"Q1\",\"JCRName\":\"IMMUNOLOGY\",\"Score\":null,\"Total\":0}","platform":"Semanticscholar","paperid":null,"PeriodicalName":"Journal of Clinical Immunology","FirstCategoryId":"3","ListUrlMain":"https://doi.org/10.1007/s10875-025-01875-1","RegionNum":2,"RegionCategory":"医学","ArticlePicture":[],"TitleCN":null,"AbstractTextCN":null,"PMCID":null,"EPubDate":"","PubModel":"","JCR":"Q1","JCRName":"IMMUNOLOGY","Score":null,"Total":0}
引用次数: 0

摘要

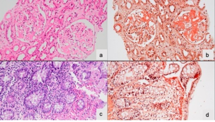
目的:由感染或免疫失调引起的先天性免疫错误(IEI)慢性炎症与淀粉样蛋白A (AA)淀粉样变性的发生有关。本研究旨在分析IEI合并AA型淀粉样变患者的临床特点、治疗策略和结局,重点分析人口统计学、疾病表现、治疗方式和生存率。方法:回顾性分析13例诊断为IEI和AA型淀粉样变的患者,以及先前从t rkiye报告的另外10例患者。结果:诊断为IEI和淀粉样变的中位年龄分别为20岁(2-61岁)和25岁(7-70岁)。肾脏(74%)和胃肠道(44%)是最常见的,其次是皮肤(9%)、肺部(9%)和心脏(9%)。一抗缺陷(48%)、联合免疫缺陷(31%)、高免疫球蛋白E综合征(9%)、先天性中性粒细胞减少症(4%)、自身炎症性疾病(4%)和慢性粘膜皮肤念珠菌病(4%)是与淀粉样变性相关的IEI类型。支气管扩张占74%,恶性肿瘤占17%。淀粉样变性的治疗方式包括秋水仙碱(n = 12, 52%)、类固醇(n = 5, 22%)和托珠单抗(n = 2, 9%),但疗效不显著。13例(57%)患者死亡,中位年龄为24岁(8-45岁),主要死于败血症(52%)。家族性地中海热(FMF)基因分析除1例MEFV基因杂合缺陷(M694V)外,其余患者均为阴性。结论:IEI患者AA淀粉样变性与严重的发病率和死亡率相关。IEI的早期诊断和治疗对于预防淀粉样变的发展至关重要。然而,一旦发生淀粉样变性,秋水仙碱似乎无效,这突出了进一步研究早期诊断生物标志物和新治疗方案的必要性。
本文章由计算机程序翻译,如有差异,请以英文原文为准。

Amyloidosis in Human Inborn Errors of Immunity Predicts Poor Prognosis.

Amyloidosis in Human Inborn Errors of Immunity Predicts Poor Prognosis.

Amyloidosis in Human Inborn Errors of Immunity Predicts Poor Prognosis.

Purpose: Chronic inflammation in inborn errors of immunity(IEI) caused by the infections or immune dysregulation is associated with the amyloid A (AA) amyloidosis development. This study aims to analyze the clinical characteristics, management strategies, and outcomes of patients with IEI complicated by AA amyloidosis, focusing on demographics, disease manifestations, treatment modalities, and survival rates.

Methods: Thirteen patients diagnosed with IEI and AA amyloidosis, along with an additional 10 patients previously reported from Türkiye, were reviewed retrospectively.

Results: The median ages at diagnosis of IEI and amyloidosis were 20 years (2-61) and 25 years (7-70), respectively. Renal (74%) and gastrointestinal involvement (44%) were the most common, followed by skin(9%), pulmonary (9%), and cardiac involvement (9%). Primary antibody deficiencies(48%), combined immunodeficiencies(31%), hyperimmunoglobulin E syndrome(9%), congenital neutropenia (4%), autoinflammatory disorders (4%), and chronic mucocutaneous candidiasis (4%) were the IEI types associated with amyloidosis. Bronchiectasis (74%) and malignancy (17%) were observed in given ratio of patients. Treatment modalities for amyloidosis include colchicine (n = 12, 52%), steroids (n = 5, 22%) and tocilizumab (n = 2, 9%) without significant benefit. Thirteen patients (57%) died with a median age of 24 years (8-45), predominantly due to sepsis (52%). Familial Mediterranean fever (FMF) gene analysis was negative in all patients except for one, who had a heterozygous MEFV gene defect (M694V).

Conclusion: AA amyloidosis in IEI is associated with severe morbidity and mortality. Early diagnosis and management of IEI are crucial to prevent amyloidosis development. However, colchicine appears ineffective once amyloidosis has occurred, highlighting the need for further research into early diagnostic biomarkers and novel treatment options.

求助全文
通过发布文献求助,成功后即可免费获取论文全文。 去求助
来源期刊
CiteScore
12.20
自引率
9.90%
发文量
218
审稿时长
2 months
期刊介绍: The Journal of Clinical Immunology publishes impactful papers in the realm of human immunology, delving into the diagnosis, pathogenesis, prognosis, or treatment of human diseases. The journal places particular emphasis on primary immunodeficiencies and related diseases, encompassing inborn errors of immunity in a broad sense, their underlying genotypes, and diverse phenotypes. These phenotypes include infection, malignancy, allergy, auto-inflammation, and autoimmunity. We welcome a broad spectrum of studies in this domain, spanning genetic discovery, clinical description, immunologic assessment, diagnostic approaches, prognosis evaluation, and treatment interventions. Case reports are considered if they are genuinely original and accompanied by a concise review of the relevant medical literature, illustrating how the novel case study advances the field. The instructions to authors provide detailed guidance on the four categories of papers accepted by the journal.
×
引用
GB/T 7714-2015
复制
MLA
复制
APA
复制
导出至
BibTeX EndNote RefMan NoteFirst NoteExpress
×
提示
您的信息不完整,为了账户安全,请先补充。
现在去补充
×
提示
您因"违规操作"
具体请查看互助需知
我知道了
×
提示
确定
请完成安全验证×
copy
已复制链接
快去分享给好友吧!
我知道了
右上角分享
点击右上角分享
0
联系我们:info@booksci.cn Book学术提供免费学术资源搜索服务,方便国内外学者检索中英文文献。致力于提供最便捷和优质的服务体验。 Copyright © 2023 布克学术 All rights reserved.
京ICP备2023020795号-1
ghs 京公网安备 11010802042870号
Book学术文献互助
Book学术文献互助群
群 号:604180095
Book学术官方微信