活检证实的原发性小血管中枢神经系统血管炎:临床特征和早期强化治疗对缓解的影响。

IF 7.5 1区 医学 Q1 CLINICAL NEUROLOGY
Sumanth P Reddy, Sara C LaHue, Sarah Goglin, Sharon A Chung, Shane Poole, Riley Bove, Melike Pekmezci, Tarik Tihan, Jeffrey M Gelfand
{"title":"活检证实的原发性小血管中枢神经系统血管炎:临床特征和早期强化治疗对缓解的影响。","authors":"Sumanth P Reddy, Sara C LaHue, Sarah Goglin, Sharon A Chung, Shane Poole, Riley Bove, Melike Pekmezci, Tarik Tihan, Jeffrey M Gelfand","doi":"10.1212/NXI.0000000000200397","DOIUrl":null,"url":null,"abstract":"<p><strong>Background and objectives: </strong>This single-center retrospective cohort study sought to characterize the clinical spectrum of small vessel predominant primary CNS vasculitis (sv-PCNSV) and to investigate the impact of early intensive immunosuppressive therapy on remission.</p><p><strong>Methods: </strong>We analyzed data of patients diagnosed with biopsy-proven sv-PCNSV at our institution between 2009 and 2023. \"Early intensive treatment\" (EIT) was defined by cyclophosphamide therapy within 3 months of immunosuppressive treatment initiation. Patients in the \"escalation treatment\" (ESC) group initially received glucocorticoids, either as monotherapy or in conjunction with azathioprine, mycophenolate mofetil, or methotrexate.</p><p><strong>Results: </strong>Twenty-six patients (50% female) met the study criteria, including 7 with amyloid-beta-related angiitis (ABRA). The median age at onset was 55.5 years (range 20-82), and headache (76.9%) and altered mental status (61.5%) were common presenting symptoms. Neuroimaging commonly showed bihemispheric T2/FLAIR lesions (77%) and abnormal gadolinium enhancement (88.5%), but intracranial vascular irregularities indicating large or medium vessel involvement were rare (11.5%). Among patients with non-ABRA sv-PCNSV (n = 19), some demonstrated spinal cord involvement (15.8%) and others exhibited isolated unihemispheric disease (21.1%). Although CSF testing (n = 23) often demonstrated mild pleocytosis, a notable minority of patients (17.4%) had a normal CSF analysis. Six patients (23.1%) underwent repeat brain biopsy because of initial nondiagnostic findings. Remission was achieved in all patients in the EIT group (n = 12/12), in contrast to 78.6% of patients in the ESC group (n = 11/14). Time to remission was significantly shorter among patients in the EIT group compared with the ESC group (median 5 vs 19 months, hazard ratio = 0.24, 95% CI [0.10-0.63], <i>p</i> < 0.005). Most patients achieving remission continued maintenance therapy, with an overall relapse rate of 19%.</p><p><strong>Discussion: </strong>This study highlights the considerable clinical heterogeneity in sv-PCNSV, a rare but serious condition. Early, aggressive treatment with cyclophosphamide is associated with a shorter time to remission, and further validation in prospective studies is warranted.</p>","PeriodicalId":19472,"journal":{"name":"Neurology® Neuroimmunology & Neuroinflammation","volume":"12 4","pages":"e200397"},"PeriodicalIF":7.5000,"publicationDate":"2025-07-01","publicationTypes":"Journal Article","fieldsOfStudy":null,"isOpenAccess":false,"openAccessPdf":"https://www.ncbi.nlm.nih.gov/pmc/articles/PMC12063240/pdf/","citationCount":"0","resultStr":"{\"title\":\"Biopsy-Confirmed Small Vessel Primary CNS Vasculitis: Clinical Features and Impact of Early Intensive Treatment on Remission.\",\"authors\":\"Sumanth P Reddy, Sara C LaHue, Sarah Goglin, Sharon A Chung, Shane Poole, Riley Bove, Melike Pekmezci, Tarik Tihan, Jeffrey M Gelfand\",\"doi\":\"10.1212/NXI.0000000000200397\",\"DOIUrl\":null,\"url\":null,\"abstract\":\"<p><strong>Background and objectives: </strong>This single-center retrospective cohort study sought to characterize the clinical spectrum of small vessel predominant primary CNS vasculitis (sv-PCNSV) and to investigate the impact of early intensive immunosuppressive therapy on remission.</p><p><strong>Methods: </strong>We analyzed data of patients diagnosed with biopsy-proven sv-PCNSV at our institution between 2009 and 2023. \\\"Early intensive treatment\\\" (EIT) was defined by cyclophosphamide therapy within 3 months of immunosuppressive treatment initiation. Patients in the \\\"escalation treatment\\\" (ESC) group initially received glucocorticoids, either as monotherapy or in conjunction with azathioprine, mycophenolate mofetil, or methotrexate.</p><p><strong>Results: </strong>Twenty-six patients (50% female) met the study criteria, including 7 with amyloid-beta-related angiitis (ABRA). The median age at onset was 55.5 years (range 20-82), and headache (76.9%) and altered mental status (61.5%) were common presenting symptoms. Neuroimaging commonly showed bihemispheric T2/FLAIR lesions (77%) and abnormal gadolinium enhancement (88.5%), but intracranial vascular irregularities indicating large or medium vessel involvement were rare (11.5%). Among patients with non-ABRA sv-PCNSV (n = 19), some demonstrated spinal cord involvement (15.8%) and others exhibited isolated unihemispheric disease (21.1%). Although CSF testing (n = 23) often demonstrated mild pleocytosis, a notable minority of patients (17.4%) had a normal CSF analysis. Six patients (23.1%) underwent repeat brain biopsy because of initial nondiagnostic findings. Remission was achieved in all patients in the EIT group (n = 12/12), in contrast to 78.6% of patients in the ESC group (n = 11/14). Time to remission was significantly shorter among patients in the EIT group compared with the ESC group (median 5 vs 19 months, hazard ratio = 0.24, 95% CI [0.10-0.63], <i>p</i> < 0.005). Most patients achieving remission continued maintenance therapy, with an overall relapse rate of 19%.</p><p><strong>Discussion: </strong>This study highlights the considerable clinical heterogeneity in sv-PCNSV, a rare but serious condition. Early, aggressive treatment with cyclophosphamide is associated with a shorter time to remission, and further validation in prospective studies is warranted.</p>\",\"PeriodicalId\":19472,\"journal\":{\"name\":\"Neurology® Neuroimmunology & Neuroinflammation\",\"volume\":\"12 4\",\"pages\":\"e200397\"},\"PeriodicalIF\":7.5000,\"publicationDate\":\"2025-07-01\",\"publicationTypes\":\"Journal Article\",\"fieldsOfStudy\":null,\"isOpenAccess\":false,\"openAccessPdf\":\"https://www.ncbi.nlm.nih.gov/pmc/articles/PMC12063240/pdf/\",\"citationCount\":\"0\",\"resultStr\":null,\"platform\":\"Semanticscholar\",\"paperid\":null,\"PeriodicalName\":\"Neurology® Neuroimmunology & Neuroinflammation\",\"FirstCategoryId\":\"3\",\"ListUrlMain\":\"https://doi.org/10.1212/NXI.0000000000200397\",\"RegionNum\":1,\"RegionCategory\":\"医学\",\"ArticlePicture\":[],\"TitleCN\":null,\"AbstractTextCN\":null,\"PMCID\":null,\"EPubDate\":\"2025/5/7 0:00:00\",\"PubModel\":\"Epub\",\"JCR\":\"Q1\",\"JCRName\":\"CLINICAL NEUROLOGY\",\"Score\":null,\"Total\":0}","platform":"Semanticscholar","paperid":null,"PeriodicalName":"Neurology® Neuroimmunology & Neuroinflammation","FirstCategoryId":"3","ListUrlMain":"https://doi.org/10.1212/NXI.0000000000200397","RegionNum":1,"RegionCategory":"医学","ArticlePicture":[],"TitleCN":null,"AbstractTextCN":null,"PMCID":null,"EPubDate":"2025/5/7 0:00:00","PubModel":"Epub","JCR":"Q1","JCRName":"CLINICAL NEUROLOGY","Score":null,"Total":0}
引用次数: 0

摘要

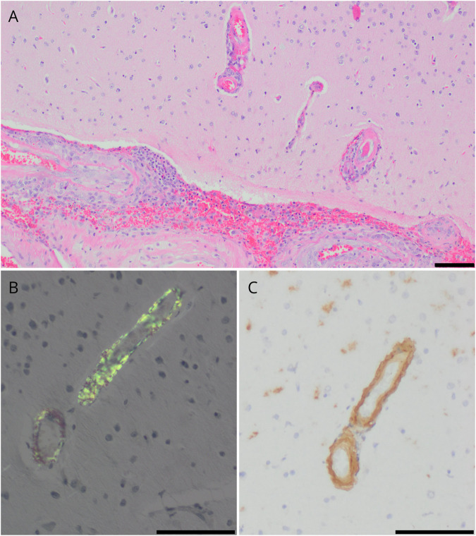
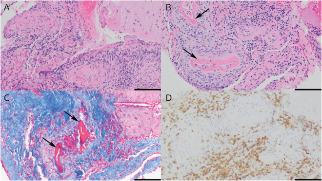
背景和目的:本单中心回顾性队列研究旨在描述小血管显性原发性中枢神经系统血管炎(sv-PCNSV)的临床特征,并探讨早期强化免疫抑制治疗对缓解的影响。方法:我们分析了2009年至2023年间本院活检证实的sv-PCNSV患者的资料。“早期强化治疗”(EIT)定义为免疫抑制治疗开始后3个月内的环磷酰胺治疗。“升级治疗”(ESC)组患者最初接受糖皮质激素单药治疗或与硫唑嘌呤、霉酚酸酯或甲氨蝶呤联合治疗。结果:26例患者(50%为女性)符合研究标准,其中7例为淀粉样蛋白- β相关性血管炎(ABRA)。发病中位年龄为55.5岁(范围20-82岁),头痛(76.9%)和精神状态改变(61.5%)是常见的症状。神经影像学通常显示双半球T2/FLAIR病变(77%)和异常钆增强(88.5%),但颅内血管不规则表明大或中血管受累罕见(11.5%)。在非abra sv-PCNSV患者(n = 19)中,一些患者表现为脊髓受累(15.8%),其他患者表现为孤立的单半球疾病(21.1%)。虽然脑脊液检查(n = 23)经常显示轻度多细胞症,但值得注意的是,少数患者(17.4%)的脑脊液分析正常。6例患者(23.1%)由于最初的非诊断性发现而接受了重复的脑活检。EIT组中所有患者(n = 12/12)均获得缓解,而ESC组中78.6%的患者(n = 11/14)获得缓解。EIT组患者的缓解时间明显短于ESC组(中位5个月vs 19个月,风险比= 0.24,95% CI [0.10-0.63], p < 0.005)。大多数获得缓解的患者继续维持治疗,总体复发率为19%。讨论:本研究强调了sv-PCNSV的相当大的临床异质性,这是一种罕见但严重的疾病。早期积极的环磷酰胺治疗与较短的缓解时间相关,需要在前瞻性研究中进一步验证。
本文章由计算机程序翻译,如有差异,请以英文原文为准。

Biopsy-Confirmed Small Vessel Primary CNS Vasculitis: Clinical Features and Impact of Early Intensive Treatment on Remission.

Biopsy-Confirmed Small Vessel Primary CNS Vasculitis: Clinical Features and Impact of Early Intensive Treatment on Remission.

Biopsy-Confirmed Small Vessel Primary CNS Vasculitis: Clinical Features and Impact of Early Intensive Treatment on Remission.

Biopsy-Confirmed Small Vessel Primary CNS Vasculitis: Clinical Features and Impact of Early Intensive Treatment on Remission.

Background and objectives: This single-center retrospective cohort study sought to characterize the clinical spectrum of small vessel predominant primary CNS vasculitis (sv-PCNSV) and to investigate the impact of early intensive immunosuppressive therapy on remission.

Methods: We analyzed data of patients diagnosed with biopsy-proven sv-PCNSV at our institution between 2009 and 2023. "Early intensive treatment" (EIT) was defined by cyclophosphamide therapy within 3 months of immunosuppressive treatment initiation. Patients in the "escalation treatment" (ESC) group initially received glucocorticoids, either as monotherapy or in conjunction with azathioprine, mycophenolate mofetil, or methotrexate.

Results: Twenty-six patients (50% female) met the study criteria, including 7 with amyloid-beta-related angiitis (ABRA). The median age at onset was 55.5 years (range 20-82), and headache (76.9%) and altered mental status (61.5%) were common presenting symptoms. Neuroimaging commonly showed bihemispheric T2/FLAIR lesions (77%) and abnormal gadolinium enhancement (88.5%), but intracranial vascular irregularities indicating large or medium vessel involvement were rare (11.5%). Among patients with non-ABRA sv-PCNSV (n = 19), some demonstrated spinal cord involvement (15.8%) and others exhibited isolated unihemispheric disease (21.1%). Although CSF testing (n = 23) often demonstrated mild pleocytosis, a notable minority of patients (17.4%) had a normal CSF analysis. Six patients (23.1%) underwent repeat brain biopsy because of initial nondiagnostic findings. Remission was achieved in all patients in the EIT group (n = 12/12), in contrast to 78.6% of patients in the ESC group (n = 11/14). Time to remission was significantly shorter among patients in the EIT group compared with the ESC group (median 5 vs 19 months, hazard ratio = 0.24, 95% CI [0.10-0.63], p < 0.005). Most patients achieving remission continued maintenance therapy, with an overall relapse rate of 19%.

Discussion: This study highlights the considerable clinical heterogeneity in sv-PCNSV, a rare but serious condition. Early, aggressive treatment with cyclophosphamide is associated with a shorter time to remission, and further validation in prospective studies is warranted.

求助全文
通过发布文献求助,成功后即可免费获取论文全文。 去求助
来源期刊
CiteScore
15.60
自引率
2.30%
发文量
219
审稿时长
8 weeks
期刊介绍: Neurology Neuroimmunology & Neuroinflammation is an official journal of the American Academy of Neurology. Neurology: Neuroimmunology & Neuroinflammation will be the premier peer-reviewed journal in neuroimmunology and neuroinflammation. This journal publishes rigorously peer-reviewed open-access reports of original research and in-depth reviews of topics in neuroimmunology & neuroinflammation, affecting the full range of neurologic diseases including (but not limited to) Alzheimer's disease, Parkinson's disease, ALS, tauopathy, and stroke; multiple sclerosis and NMO; inflammatory peripheral nerve and muscle disease, Guillain-Barré and myasthenia gravis; nervous system infection; paraneoplastic syndromes, noninfectious encephalitides and other antibody-mediated disorders; and psychiatric and neurodevelopmental disorders. Clinical trials, instructive case reports, and small case series will also be featured.
×
引用
GB/T 7714-2015
复制
MLA
复制
APA
复制
导出至
BibTeX EndNote RefMan NoteFirst NoteExpress
×
提示
您的信息不完整,为了账户安全,请先补充。
现在去补充
×
提示
您因"违规操作"
具体请查看互助需知
我知道了
×
提示
确定
请完成安全验证×
copy
已复制链接
快去分享给好友吧!
我知道了
右上角分享
点击右上角分享
0
联系我们:info@booksci.cn Book学术提供免费学术资源搜索服务,方便国内外学者检索中英文文献。致力于提供最便捷和优质的服务体验。 Copyright © 2023 布克学术 All rights reserved.
京ICP备2023020795号-1
ghs 京公网安备 11010802042870号
Book学术文献互助
Book学术文献互助群
群 号:604180095
Book学术官方微信