脑活检和宏基因组学在先天性免疫错误(IEI)和不明原因神经系统表现患者决策中的安全性和诊断效用。

IF 5.7 2区 医学 Q1 IMMUNOLOGY
Jesmeen Maimaris, Julia Payne, Adriel Roa-Bautista, Judith Breuer, Nathaniel Storey, Sofia Morfopoulou, Alasdair Bamford, Felice D'Arco, Kimberly Gilmour, Kristian Aquilina, Jane Hassell, Yael Hacohen, Adikarige H D Silva, Ashirwad Merve, Thomas S Jacques, Kanchan Rao, Robert Chiesa, Persis Amrolia, Juliana Silva, Helen Braggins, Jinhua Xu-Bayford, David Goldblatt, Austen Worth, Claire Booth, Winnie Ip, Waseem Qasim, Maaike Kusters, Marios Kaliakatsos, Julianne R Brown, Reem Elfeky
{"title":"脑活检和宏基因组学在先天性免疫错误(IEI)和不明原因神经系统表现患者决策中的安全性和诊断效用。","authors":"Jesmeen Maimaris, Julia Payne, Adriel Roa-Bautista, Judith Breuer, Nathaniel Storey, Sofia Morfopoulou, Alasdair Bamford, Felice D'Arco, Kimberly Gilmour, Kristian Aquilina, Jane Hassell, Yael Hacohen, Adikarige H D Silva, Ashirwad Merve, Thomas S Jacques, Kanchan Rao, Robert Chiesa, Persis Amrolia, Juliana Silva, Helen Braggins, Jinhua Xu-Bayford, David Goldblatt, Austen Worth, Claire Booth, Winnie Ip, Waseem Qasim, Maaike Kusters, Marios Kaliakatsos, Julianne R Brown, Reem Elfeky","doi":"10.1007/s10875-025-01878-y","DOIUrl":null,"url":null,"abstract":"<p><p>Unexplained neurological symptoms can pose a diagnostic challenge in patients with inborn errors of immunity (IEI) where the aetiology can be varied, and diverse pathologies may require contrasting treatments. Brain biopsy, the process of sampling brain tissue directly, has historically provided histological and microbiological information and can now be exploited for deep metagenomic next generation analysis (mNGS). We conducted a retrospective analysis of clinical and diagnostic data on paediatric patients with IEI who had a brain biopsy between 2010 and 2022 at a UK tertiary centre where 14 patients fulfilled our search criteria. We report on clinical characteristics, adverse events and the additional impact of mNGS of brain biopsies, where these were conducted. We found that brain biopsy enabled diagnostics with manageable complications in most cases, either by tissue or metagenomics analysis (n = 11/14, 79%). We found that mNGS analysis improved the diagnostic yield of brain biopsy in 29% of IEI cases (n = 4/14). Brain biopsy enabled a change in management in 71% of cases (n = 10/14). This series provides compelling evidence for the safe and purposeful use of brain biopsy in children with IEI.</p>","PeriodicalId":15531,"journal":{"name":"Journal of Clinical Immunology","volume":"45 1","pages":"86"},"PeriodicalIF":5.7000,"publicationDate":"2025-04-16","publicationTypes":"Journal Article","fieldsOfStudy":null,"isOpenAccess":false,"openAccessPdf":"https://www.ncbi.nlm.nih.gov/pmc/articles/PMC12003468/pdf/","citationCount":"0","resultStr":"{\"title\":\"Safety and Diagnostic Utility of Brain Biopsy and Metagenomics in Decision-Making for Patients with Inborn Errors of Immunity (IEI) and Unexplained Neurological Manifestations.\",\"authors\":\"Jesmeen Maimaris, Julia Payne, Adriel Roa-Bautista, Judith Breuer, Nathaniel Storey, Sofia Morfopoulou, Alasdair Bamford, Felice D'Arco, Kimberly Gilmour, Kristian Aquilina, Jane Hassell, Yael Hacohen, Adikarige H D Silva, Ashirwad Merve, Thomas S Jacques, Kanchan Rao, Robert Chiesa, Persis Amrolia, Juliana Silva, Helen Braggins, Jinhua Xu-Bayford, David Goldblatt, Austen Worth, Claire Booth, Winnie Ip, Waseem Qasim, Maaike Kusters, Marios Kaliakatsos, Julianne R Brown, Reem Elfeky\",\"doi\":\"10.1007/s10875-025-01878-y\",\"DOIUrl\":null,\"url\":null,\"abstract\":\"<p><p>Unexplained neurological symptoms can pose a diagnostic challenge in patients with inborn errors of immunity (IEI) where the aetiology can be varied, and diverse pathologies may require contrasting treatments. Brain biopsy, the process of sampling brain tissue directly, has historically provided histological and microbiological information and can now be exploited for deep metagenomic next generation analysis (mNGS). We conducted a retrospective analysis of clinical and diagnostic data on paediatric patients with IEI who had a brain biopsy between 2010 and 2022 at a UK tertiary centre where 14 patients fulfilled our search criteria. We report on clinical characteristics, adverse events and the additional impact of mNGS of brain biopsies, where these were conducted. We found that brain biopsy enabled diagnostics with manageable complications in most cases, either by tissue or metagenomics analysis (n = 11/14, 79%). We found that mNGS analysis improved the diagnostic yield of brain biopsy in 29% of IEI cases (n = 4/14). Brain biopsy enabled a change in management in 71% of cases (n = 10/14). This series provides compelling evidence for the safe and purposeful use of brain biopsy in children with IEI.</p>\",\"PeriodicalId\":15531,\"journal\":{\"name\":\"Journal of Clinical Immunology\",\"volume\":\"45 1\",\"pages\":\"86\"},\"PeriodicalIF\":5.7000,\"publicationDate\":\"2025-04-16\",\"publicationTypes\":\"Journal Article\",\"fieldsOfStudy\":null,\"isOpenAccess\":false,\"openAccessPdf\":\"https://www.ncbi.nlm.nih.gov/pmc/articles/PMC12003468/pdf/\",\"citationCount\":\"0\",\"resultStr\":null,\"platform\":\"Semanticscholar\",\"paperid\":null,\"PeriodicalName\":\"Journal of Clinical Immunology\",\"FirstCategoryId\":\"3\",\"ListUrlMain\":\"https://doi.org/10.1007/s10875-025-01878-y\",\"RegionNum\":2,\"RegionCategory\":\"医学\",\"ArticlePicture\":[],\"TitleCN\":null,\"AbstractTextCN\":null,\"PMCID\":null,\"EPubDate\":\"\",\"PubModel\":\"\",\"JCR\":\"Q1\",\"JCRName\":\"IMMUNOLOGY\",\"Score\":null,\"Total\":0}","platform":"Semanticscholar","paperid":null,"PeriodicalName":"Journal of Clinical Immunology","FirstCategoryId":"3","ListUrlMain":"https://doi.org/10.1007/s10875-025-01878-y","RegionNum":2,"RegionCategory":"医学","ArticlePicture":[],"TitleCN":null,"AbstractTextCN":null,"PMCID":null,"EPubDate":"","PubModel":"","JCR":"Q1","JCRName":"IMMUNOLOGY","Score":null,"Total":0}
引用次数: 0

摘要

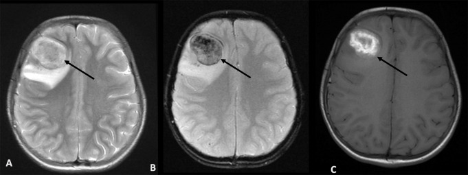
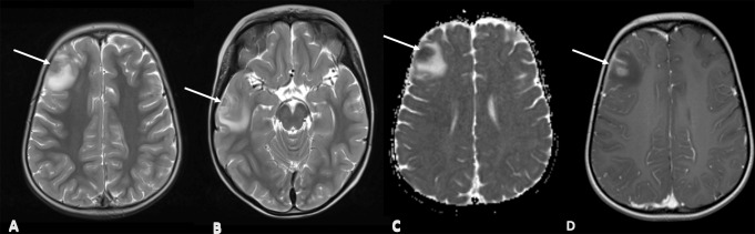
不明原因的神经系统症状可能对先天性免疫错误(IEI)患者的诊断构成挑战,其中病因可能多种多样,不同的病理可能需要不同的治疗方法。脑活检是直接对脑组织进行取样的过程,在历史上提供了组织学和微生物学信息,现在可以用于深层宏基因组下一代分析(mNGS)。我们对2010年至2022年间在英国某三级医疗中心进行脑活检的IEI患儿的临床和诊断数据进行了回顾性分析,其中14例患者符合我们的搜索标准。我们报告了临床特征,不良事件和脑活检的mNGS的额外影响,这些都是进行的。我们发现,在大多数情况下,通过组织或宏基因组学分析,脑活检能够诊断出可控制的并发症(n = 11/14, 79%)。我们发现,mNGS分析提高了29%的IEI病例的脑活检诊断率(n = 4/14)。在71%的病例(n = 10/14)中,脑活检改变了治疗方法。这一系列研究结果为IEI患儿安全且有目的的脑活检提供了强有力的证据。
本文章由计算机程序翻译,如有差异,请以英文原文为准。

Safety and Diagnostic Utility of Brain Biopsy and Metagenomics in Decision-Making for Patients with Inborn Errors of Immunity (IEI) and Unexplained Neurological Manifestations.

Safety and Diagnostic Utility of Brain Biopsy and Metagenomics in Decision-Making for Patients with Inborn Errors of Immunity (IEI) and Unexplained Neurological Manifestations.

Safety and Diagnostic Utility of Brain Biopsy and Metagenomics in Decision-Making for Patients with Inborn Errors of Immunity (IEI) and Unexplained Neurological Manifestations.

Safety and Diagnostic Utility of Brain Biopsy and Metagenomics in Decision-Making for Patients with Inborn Errors of Immunity (IEI) and Unexplained Neurological Manifestations.

Unexplained neurological symptoms can pose a diagnostic challenge in patients with inborn errors of immunity (IEI) where the aetiology can be varied, and diverse pathologies may require contrasting treatments. Brain biopsy, the process of sampling brain tissue directly, has historically provided histological and microbiological information and can now be exploited for deep metagenomic next generation analysis (mNGS). We conducted a retrospective analysis of clinical and diagnostic data on paediatric patients with IEI who had a brain biopsy between 2010 and 2022 at a UK tertiary centre where 14 patients fulfilled our search criteria. We report on clinical characteristics, adverse events and the additional impact of mNGS of brain biopsies, where these were conducted. We found that brain biopsy enabled diagnostics with manageable complications in most cases, either by tissue or metagenomics analysis (n = 11/14, 79%). We found that mNGS analysis improved the diagnostic yield of brain biopsy in 29% of IEI cases (n = 4/14). Brain biopsy enabled a change in management in 71% of cases (n = 10/14). This series provides compelling evidence for the safe and purposeful use of brain biopsy in children with IEI.

求助全文
通过发布文献求助,成功后即可免费获取论文全文。 去求助
来源期刊
CiteScore
12.20
自引率
9.90%
发文量
218
审稿时长
2 months
期刊介绍: The Journal of Clinical Immunology publishes impactful papers in the realm of human immunology, delving into the diagnosis, pathogenesis, prognosis, or treatment of human diseases. The journal places particular emphasis on primary immunodeficiencies and related diseases, encompassing inborn errors of immunity in a broad sense, their underlying genotypes, and diverse phenotypes. These phenotypes include infection, malignancy, allergy, auto-inflammation, and autoimmunity. We welcome a broad spectrum of studies in this domain, spanning genetic discovery, clinical description, immunologic assessment, diagnostic approaches, prognosis evaluation, and treatment interventions. Case reports are considered if they are genuinely original and accompanied by a concise review of the relevant medical literature, illustrating how the novel case study advances the field. The instructions to authors provide detailed guidance on the four categories of papers accepted by the journal.
×
引用
GB/T 7714-2015
复制
MLA
复制
APA
复制
导出至
BibTeX EndNote RefMan NoteFirst NoteExpress
×
提示
您的信息不完整,为了账户安全,请先补充。
现在去补充
×
提示
您因"违规操作"
具体请查看互助需知
我知道了
×
提示
确定
请完成安全验证×
copy
已复制链接
快去分享给好友吧!
我知道了
右上角分享
点击右上角分享
0
联系我们:info@booksci.cn Book学术提供免费学术资源搜索服务,方便国内外学者检索中英文文献。致力于提供最便捷和优质的服务体验。 Copyright © 2023 布克学术 All rights reserved.
京ICP备2023020795号-1
ghs 京公网安备 11010802042870号
Book学术文献互助
Book学术文献互助群
群 号:604180095
Book学术官方微信