肝型Wilson病患者肝硬化的临床特点、治疗效果及危险因素

IF 4.2 3区 医学 Q2 GASTROENTEROLOGY & HEPATOLOGY
Yu-Jia Lu, Chuan-Su Yuan, Yue-Yang Ma, Ke-Ying Ou, Du-Xian Liu, Bin Liu, Yong-Feng Yang, Qing-Fang Xiong
{"title":"肝型Wilson病患者肝硬化的临床特点、治疗效果及危险因素","authors":"Yu-Jia Lu, Chuan-Su Yuan, Yue-Yang Ma, Ke-Ying Ou, Du-Xian Liu, Bin Liu, Yong-Feng Yang, Qing-Fang Xiong","doi":"10.14218/JCTH.2024.00453","DOIUrl":null,"url":null,"abstract":"<p><strong>Background and aims: </strong>Wilson's disease (WD) is a rare autosomal recessive genetic disorder that can be treated with medications. The lack of a single, specific diagnostic indicator leads to diagnostic difficulties, which may result in disease progression to cirrhosis and even liver cancer. Thus, this study aimed to analyze the clinical data, imaging, histopathological manifestations, genetic testing results, and treatment effects of patients with WD hepatic type, and to explore the factors related to WD cirrhosis.</p><p><strong>Methods: </strong>A single-center retrospective study was performed. 48 WD patients with a Leipzig score ≥ 4 were divided into a cirrhosis group and a non-cirrhosis group based on the presence of cirrhosis. Logistic regression analysis and odds ratios were used to describe the strength of association between risk factors and cirrhosis. The predictive value of the model for cirrhosis occurrence was evaluated by calculating the area under the receiver operating characteristic curve and the cutoff value.</p><p><strong>Results: </strong>All 48 patients diagnosed with WD had liver damage, with males accounting for 54.17%. The median age at diagnosis was 28 years (range: 10.25-40.5 years), and 39.58% of patients had cirrhosis. The most prevalent mutation was c.2333G>T (p.Arg778Leu), found in 41.30% (19/46) of cases. Imaging revealed fatty liver in 31.25% (15/48) of patients and \"honeycomb-like\" cirrhosis nodules in 73.68% (14/19). Compared with the non-cirrhosis group, the cirrhosis group had a higher positive rate for the Kayser-Fleischer (K-F) ring, older age at diagnosis, and higher levels of immunoglobulin G, but lower levels of alanine aminotransferase, aspartate aminotransferase, alkaline phosphatase, white blood cells, and platelets (<i>p</i> < 0.05). Age at diagnosis (odds ratio = 1.072, 95% confidence interval = 1.007-1.142, <i>p</i> = 0.03) and the K-F ring (odds ratio = 18.657, 95% confidence interval = 1.451-239.924, <i>p</i> = 0.025) were independent risk factors for WD-related cirrhosis. The best values of area under the receiver operating characteristic curve for age at diagnosis combined with the K-F ring in predicting WD cirrhosis were 0.909. The average follow-up time for 33 patients was 48.6 months (range: 12-72 months). The biochemical recovery rate was over 60% after 12-72 months of treatment with zinc gluconate and/or penicillamine.</p><p><strong>Conclusions: </strong>Age at diagnosis, combined with the K-F ring, is a simple and effective risk factor for WD-related cirrhosis. Zinc gluconate and penicillamine are safe and effective treatments.</p>","PeriodicalId":15484,"journal":{"name":"Journal of Clinical and Translational Hepatology","volume":"13 4","pages":"306-314"},"PeriodicalIF":4.2000,"publicationDate":"2025-04-28","publicationTypes":"Journal Article","fieldsOfStudy":null,"isOpenAccess":false,"openAccessPdf":"https://www.ncbi.nlm.nih.gov/pmc/articles/PMC11976439/pdf/","citationCount":"0","resultStr":"{\"title\":\"Clinical Characteristics, Treatment Effects and Risk Factors of Liver Cirrhosis in Patients with Wilson's Disease Hepatic Type.\",\"authors\":\"Yu-Jia Lu, Chuan-Su Yuan, Yue-Yang Ma, Ke-Ying Ou, Du-Xian Liu, Bin Liu, Yong-Feng Yang, Qing-Fang Xiong\",\"doi\":\"10.14218/JCTH.2024.00453\",\"DOIUrl\":null,\"url\":null,\"abstract\":\"<p><strong>Background and aims: </strong>Wilson's disease (WD) is a rare autosomal recessive genetic disorder that can be treated with medications. The lack of a single, specific diagnostic indicator leads to diagnostic difficulties, which may result in disease progression to cirrhosis and even liver cancer. Thus, this study aimed to analyze the clinical data, imaging, histopathological manifestations, genetic testing results, and treatment effects of patients with WD hepatic type, and to explore the factors related to WD cirrhosis.</p><p><strong>Methods: </strong>A single-center retrospective study was performed. 48 WD patients with a Leipzig score ≥ 4 were divided into a cirrhosis group and a non-cirrhosis group based on the presence of cirrhosis. Logistic regression analysis and odds ratios were used to describe the strength of association between risk factors and cirrhosis. The predictive value of the model for cirrhosis occurrence was evaluated by calculating the area under the receiver operating characteristic curve and the cutoff value.</p><p><strong>Results: </strong>All 48 patients diagnosed with WD had liver damage, with males accounting for 54.17%. The median age at diagnosis was 28 years (range: 10.25-40.5 years), and 39.58% of patients had cirrhosis. The most prevalent mutation was c.2333G>T (p.Arg778Leu), found in 41.30% (19/46) of cases. Imaging revealed fatty liver in 31.25% (15/48) of patients and \\\"honeycomb-like\\\" cirrhosis nodules in 73.68% (14/19). Compared with the non-cirrhosis group, the cirrhosis group had a higher positive rate for the Kayser-Fleischer (K-F) ring, older age at diagnosis, and higher levels of immunoglobulin G, but lower levels of alanine aminotransferase, aspartate aminotransferase, alkaline phosphatase, white blood cells, and platelets (<i>p</i> < 0.05). Age at diagnosis (odds ratio = 1.072, 95% confidence interval = 1.007-1.142, <i>p</i> = 0.03) and the K-F ring (odds ratio = 18.657, 95% confidence interval = 1.451-239.924, <i>p</i> = 0.025) were independent risk factors for WD-related cirrhosis. The best values of area under the receiver operating characteristic curve for age at diagnosis combined with the K-F ring in predicting WD cirrhosis were 0.909. The average follow-up time for 33 patients was 48.6 months (range: 12-72 months). The biochemical recovery rate was over 60% after 12-72 months of treatment with zinc gluconate and/or penicillamine.</p><p><strong>Conclusions: </strong>Age at diagnosis, combined with the K-F ring, is a simple and effective risk factor for WD-related cirrhosis. Zinc gluconate and penicillamine are safe and effective treatments.</p>\",\"PeriodicalId\":15484,\"journal\":{\"name\":\"Journal of Clinical and Translational Hepatology\",\"volume\":\"13 4\",\"pages\":\"306-314\"},\"PeriodicalIF\":4.2000,\"publicationDate\":\"2025-04-28\",\"publicationTypes\":\"Journal Article\",\"fieldsOfStudy\":null,\"isOpenAccess\":false,\"openAccessPdf\":\"https://www.ncbi.nlm.nih.gov/pmc/articles/PMC11976439/pdf/\",\"citationCount\":\"0\",\"resultStr\":null,\"platform\":\"Semanticscholar\",\"paperid\":null,\"PeriodicalName\":\"Journal of Clinical and Translational Hepatology\",\"FirstCategoryId\":\"3\",\"ListUrlMain\":\"https://doi.org/10.14218/JCTH.2024.00453\",\"RegionNum\":3,\"RegionCategory\":\"医学\",\"ArticlePicture\":[],\"TitleCN\":null,\"AbstractTextCN\":null,\"PMCID\":null,\"EPubDate\":\"2025/2/19 0:00:00\",\"PubModel\":\"Epub\",\"JCR\":\"Q2\",\"JCRName\":\"GASTROENTEROLOGY & HEPATOLOGY\",\"Score\":null,\"Total\":0}","platform":"Semanticscholar","paperid":null,"PeriodicalName":"Journal of Clinical and Translational Hepatology","FirstCategoryId":"3","ListUrlMain":"https://doi.org/10.14218/JCTH.2024.00453","RegionNum":3,"RegionCategory":"医学","ArticlePicture":[],"TitleCN":null,"AbstractTextCN":null,"PMCID":null,"EPubDate":"2025/2/19 0:00:00","PubModel":"Epub","JCR":"Q2","JCRName":"GASTROENTEROLOGY & HEPATOLOGY","Score":null,"Total":0}
引用次数: 0

摘要

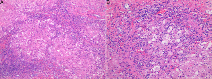
背景和目的:威尔逊氏病(WD)是一种罕见的常染色体隐性遗传疾病,可以通过药物治疗。缺乏单一的、特定的诊断指标导致诊断困难,这可能导致疾病进展为肝硬化甚至肝癌。因此,本研究旨在分析WD肝型患者的临床资料、影像学、组织病理学表现、基因检测结果及治疗效果,探讨与WD肝硬化相关的因素。方法:采用单中心回顾性研究。48例Leipzig评分≥4的WD患者根据是否存在肝硬化分为肝硬化组和非肝硬化组。使用Logistic回归分析和优势比来描述危险因素与肝硬化之间的关联强度。通过计算受试者工作特征曲线下的面积和截止值来评估模型对肝硬化发生的预测价值。结果:48例WD患者均有肝损害,男性占54.17%。诊断时的中位年龄为28岁(范围:10.25-40.5岁),39.58%的患者有肝硬化。最常见的突变为c.2333G >t (p.a g778leu),占41.30%(19/46)。影像学表现为脂肪肝31.25%(15/48),肝硬化“蜂窝状”结节73.68%(14/19)。与非肝硬化组相比,肝硬化组的K-F环阳性率较高,诊断时年龄较大,免疫球蛋白G水平较高,但丙氨酸转氨酶、天冬氨酸转氨酶、碱性磷酸酶、白细胞和血小板水平较低(p < 0.05)。诊断年龄(优势比= 1.072,95%可信区间= 1.007 ~ 1.142,p = 0.03)和K-F环(优势比= 18.657,95%可信区间= 1.451 ~ 239.924,p = 0.025)是wd相关性肝硬化的独立危险因素。诊断时年龄的受试者工作特征曲线下面积结合K-F环预测WD肝硬化的最佳值为0.909。33例患者平均随访时间48.6个月(12 ~ 72个月)。葡萄糖酸锌和/或青霉胺治疗12-72个月后,生化回收率超过60%。结论:诊断年龄结合K-F环是wd相关性肝硬化简单有效的危险因素。葡萄糖酸锌和青霉胺是安全有效的治疗方法。
本文章由计算机程序翻译,如有差异,请以英文原文为准。

Clinical Characteristics, Treatment Effects and Risk Factors of Liver Cirrhosis in Patients with Wilson's Disease Hepatic Type.

Clinical Characteristics, Treatment Effects and Risk Factors of Liver Cirrhosis in Patients with Wilson's Disease Hepatic Type.

Clinical Characteristics, Treatment Effects and Risk Factors of Liver Cirrhosis in Patients with Wilson's Disease Hepatic Type.

Clinical Characteristics, Treatment Effects and Risk Factors of Liver Cirrhosis in Patients with Wilson's Disease Hepatic Type.

Background and aims: Wilson's disease (WD) is a rare autosomal recessive genetic disorder that can be treated with medications. The lack of a single, specific diagnostic indicator leads to diagnostic difficulties, which may result in disease progression to cirrhosis and even liver cancer. Thus, this study aimed to analyze the clinical data, imaging, histopathological manifestations, genetic testing results, and treatment effects of patients with WD hepatic type, and to explore the factors related to WD cirrhosis.

Methods: A single-center retrospective study was performed. 48 WD patients with a Leipzig score ≥ 4 were divided into a cirrhosis group and a non-cirrhosis group based on the presence of cirrhosis. Logistic regression analysis and odds ratios were used to describe the strength of association between risk factors and cirrhosis. The predictive value of the model for cirrhosis occurrence was evaluated by calculating the area under the receiver operating characteristic curve and the cutoff value.

Results: All 48 patients diagnosed with WD had liver damage, with males accounting for 54.17%. The median age at diagnosis was 28 years (range: 10.25-40.5 years), and 39.58% of patients had cirrhosis. The most prevalent mutation was c.2333G>T (p.Arg778Leu), found in 41.30% (19/46) of cases. Imaging revealed fatty liver in 31.25% (15/48) of patients and "honeycomb-like" cirrhosis nodules in 73.68% (14/19). Compared with the non-cirrhosis group, the cirrhosis group had a higher positive rate for the Kayser-Fleischer (K-F) ring, older age at diagnosis, and higher levels of immunoglobulin G, but lower levels of alanine aminotransferase, aspartate aminotransferase, alkaline phosphatase, white blood cells, and platelets (p < 0.05). Age at diagnosis (odds ratio = 1.072, 95% confidence interval = 1.007-1.142, p = 0.03) and the K-F ring (odds ratio = 18.657, 95% confidence interval = 1.451-239.924, p = 0.025) were independent risk factors for WD-related cirrhosis. The best values of area under the receiver operating characteristic curve for age at diagnosis combined with the K-F ring in predicting WD cirrhosis were 0.909. The average follow-up time for 33 patients was 48.6 months (range: 12-72 months). The biochemical recovery rate was over 60% after 12-72 months of treatment with zinc gluconate and/or penicillamine.

Conclusions: Age at diagnosis, combined with the K-F ring, is a simple and effective risk factor for WD-related cirrhosis. Zinc gluconate and penicillamine are safe and effective treatments.

求助全文
通过发布文献求助,成功后即可免费获取论文全文。 去求助
来源期刊
Journal of Clinical and Translational Hepatology
Journal of Clinical and Translational Hepatology GASTROENTEROLOGY & HEPATOLOGY-
CiteScore
6.40
自引率
2.80%
发文量
496
×
引用
GB/T 7714-2015
复制
MLA
复制
APA
复制
导出至
BibTeX EndNote RefMan NoteFirst NoteExpress
×
提示
您的信息不完整,为了账户安全,请先补充。
现在去补充
×
提示
您因"违规操作"
具体请查看互助需知
我知道了
×
提示
确定
请完成安全验证×
copy
已复制链接
快去分享给好友吧!
我知道了
右上角分享
点击右上角分享
0
联系我们:info@booksci.cn Book学术提供免费学术资源搜索服务,方便国内外学者检索中英文文献。致力于提供最便捷和优质的服务体验。 Copyright © 2023 布克学术 All rights reserved.
京ICP备2023020795号-1
ghs 京公网安备 11010802042870号
Book学术文献互助
Book学术文献互助群
群 号:604180095
Book学术官方微信