肱骨骨干骨折切开复位钢板固定后延迟愈合的相关危险因素。

IF 3.7 2区 医学 Q1 ORTHOPEDICS
Yuh-Ruey Kuo, Po-Yen Ko, Chun-Yi Lee, Ting-Chien Tsai, Chang-Han Chuang, Shu-Hsin Yao, Po-Ting Wu
{"title":"肱骨骨干骨折切开复位钢板固定后延迟愈合的相关危险因素。","authors":"Yuh-Ruey Kuo, Po-Yen Ko, Chun-Yi Lee, Ting-Chien Tsai, Chang-Han Chuang, Shu-Hsin Yao, Po-Ting Wu","doi":"10.1186/s10195-025-00843-0","DOIUrl":null,"url":null,"abstract":"<p><strong>Background: </strong>The risk factors related to delayed union in humeral diaphyseal fractures (HDFs) following surgical osteosynthesis remain unclear. Therefore, this study aimed to evaluate radiological outcomes and the risk factors associated with delayed union in a retrospective cohort of patients who underwent open reduction and plate fixation (ORPF) for acute HDFs.</p><p><strong>Materials and methods: </strong>Consecutive patients with AO/OTA 12-A and AO/OTA 12-B fractures who underwent ORPF using standard compression techniques between 2017 and 2020 were enrolled in the study. Demographic data, along with serial medical records and radiographs, were collected. The included patients were divided into two groups: the timely union (union occurring within 6 months postoperatively) and the delayed union group (union occurring between 6 and 12 months postoperatively). Differences between the groups were examined, and logistic regression was subsequently applied for risk factor analysis.</p><p><strong>Results: </strong>Sixty-five cases were included in the study, consisting of 34 males and 31 females, with a median age of 38.9 years. Among these, 45 cases (69.2%) were classified in the timely union group, while 20 cases (30.8%) were classified in the delayed union group. Overall, 30 cases (46.2%) demonstrated secondary bony union. Significant differences were observed between groups in terms of fracture pattern, immediate postoperative fracture gap, union pattern, and complication rate (p < 0.05 for all comparisons). Multivariate logistic regression analysis revealed that the use of interfragmentary screw and the presence of postoperative complications were independent predictors of delayed union, with an adjusted odds ratio of 0.14 and 5.76, respectively.</p><p><strong>Conclusions: </strong>In ORPF for acute HSFs, 30 out of 65 cases demonstrated secondary bone union despite the use of standard compression techniques. The application of interfragmentary screws significantly reduces the risk of delayed union. Conversely, the presence of postoperative complications is associated with an increased likelihood of delayed union.</p><p><strong>Level of evidence: </strong>3 Trial Registration All procedures were approved by the institutional review board of the authors' hospital (IRB nos. A-ER-112-395 and IRB20230089).</p>","PeriodicalId":48603,"journal":{"name":"Journal of Orthopaedics and Traumatology","volume":"26 1","pages":"28"},"PeriodicalIF":3.7000,"publicationDate":"2025-05-12","publicationTypes":"Journal Article","fieldsOfStudy":null,"isOpenAccess":false,"openAccessPdf":"https://www.ncbi.nlm.nih.gov/pmc/articles/PMC12069771/pdf/","citationCount":"0","resultStr":"{\"title\":\"Risk factors associated with delayed union after open reduction and plate fixation for humeral diaphyseal fractures.\",\"authors\":\"Yuh-Ruey Kuo, Po-Yen Ko, Chun-Yi Lee, Ting-Chien Tsai, Chang-Han Chuang, Shu-Hsin Yao, Po-Ting Wu\",\"doi\":\"10.1186/s10195-025-00843-0\",\"DOIUrl\":null,\"url\":null,\"abstract\":\"<p><strong>Background: </strong>The risk factors related to delayed union in humeral diaphyseal fractures (HDFs) following surgical osteosynthesis remain unclear. Therefore, this study aimed to evaluate radiological outcomes and the risk factors associated with delayed union in a retrospective cohort of patients who underwent open reduction and plate fixation (ORPF) for acute HDFs.</p><p><strong>Materials and methods: </strong>Consecutive patients with AO/OTA 12-A and AO/OTA 12-B fractures who underwent ORPF using standard compression techniques between 2017 and 2020 were enrolled in the study. Demographic data, along with serial medical records and radiographs, were collected. The included patients were divided into two groups: the timely union (union occurring within 6 months postoperatively) and the delayed union group (union occurring between 6 and 12 months postoperatively). Differences between the groups were examined, and logistic regression was subsequently applied for risk factor analysis.</p><p><strong>Results: </strong>Sixty-five cases were included in the study, consisting of 34 males and 31 females, with a median age of 38.9 years. Among these, 45 cases (69.2%) were classified in the timely union group, while 20 cases (30.8%) were classified in the delayed union group. Overall, 30 cases (46.2%) demonstrated secondary bony union. Significant differences were observed between groups in terms of fracture pattern, immediate postoperative fracture gap, union pattern, and complication rate (p < 0.05 for all comparisons). Multivariate logistic regression analysis revealed that the use of interfragmentary screw and the presence of postoperative complications were independent predictors of delayed union, with an adjusted odds ratio of 0.14 and 5.76, respectively.</p><p><strong>Conclusions: </strong>In ORPF for acute HSFs, 30 out of 65 cases demonstrated secondary bone union despite the use of standard compression techniques. The application of interfragmentary screws significantly reduces the risk of delayed union. Conversely, the presence of postoperative complications is associated with an increased likelihood of delayed union.</p><p><strong>Level of evidence: </strong>3 Trial Registration All procedures were approved by the institutional review board of the authors' hospital (IRB nos. A-ER-112-395 and IRB20230089).</p>\",\"PeriodicalId\":48603,\"journal\":{\"name\":\"Journal of Orthopaedics and Traumatology\",\"volume\":\"26 1\",\"pages\":\"28\"},\"PeriodicalIF\":3.7000,\"publicationDate\":\"2025-05-12\",\"publicationTypes\":\"Journal Article\",\"fieldsOfStudy\":null,\"isOpenAccess\":false,\"openAccessPdf\":\"https://www.ncbi.nlm.nih.gov/pmc/articles/PMC12069771/pdf/\",\"citationCount\":\"0\",\"resultStr\":null,\"platform\":\"Semanticscholar\",\"paperid\":null,\"PeriodicalName\":\"Journal of Orthopaedics and Traumatology\",\"FirstCategoryId\":\"3\",\"ListUrlMain\":\"https://doi.org/10.1186/s10195-025-00843-0\",\"RegionNum\":2,\"RegionCategory\":\"医学\",\"ArticlePicture\":[],\"TitleCN\":null,\"AbstractTextCN\":null,\"PMCID\":null,\"EPubDate\":\"\",\"PubModel\":\"\",\"JCR\":\"Q1\",\"JCRName\":\"ORTHOPEDICS\",\"Score\":null,\"Total\":0}","platform":"Semanticscholar","paperid":null,"PeriodicalName":"Journal of Orthopaedics and Traumatology","FirstCategoryId":"3","ListUrlMain":"https://doi.org/10.1186/s10195-025-00843-0","RegionNum":2,"RegionCategory":"医学","ArticlePicture":[],"TitleCN":null,"AbstractTextCN":null,"PMCID":null,"EPubDate":"","PubModel":"","JCR":"Q1","JCRName":"ORTHOPEDICS","Score":null,"Total":0}
引用次数: 0

摘要

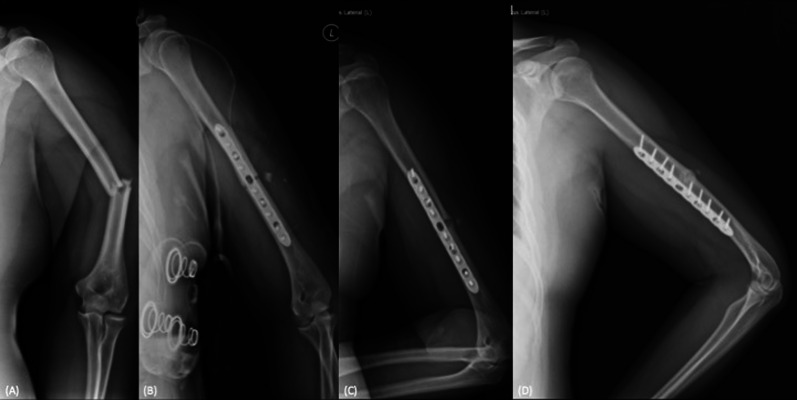
背景:肱骨骨干骨折(HDFs)术后延迟愈合的危险因素尚不清楚。因此,本研究旨在评估一组接受切开复位钢板固定(ORPF)治疗急性HDFs患者的放射学结果和延迟愈合相关的危险因素。材料和方法:2017年至2020年期间,采用标准压缩技术连续接受ORPF的AO/OTA 12-A和AO/OTA 12-B骨折患者纳入研究。收集了人口统计数据以及一系列医疗记录和x射线照片。纳入的患者分为及时愈合组(术后6个月内愈合)和延迟愈合组(术后6 ~ 12个月愈合)。检查各组之间的差异,随后应用逻辑回归进行危险因素分析。结果:纳入病例65例,男34例,女31例,中位年龄38.9岁。其中及时愈合组45例(69.2%),延迟愈合组20例(30.8%)。总体而言,30例(46.2%)表现为继发性骨愈合。在骨折类型、术后即刻骨折间隙、愈合模式和并发症发生率方面,组间观察到显著差异(p)。结论:在急性hsf的ORPF治疗中,尽管使用标准压迫技术,65例患者中有30例出现继发性骨愈合。骨折段间螺钉的应用可显著降低延迟愈合的风险。相反,术后并发症的出现与延迟愈合的可能性增加有关。所有程序均经作者所在医院机构审查委员会批准(IRB号:A-ER-112-395和IRB20230089)。
本文章由计算机程序翻译,如有差异,请以英文原文为准。

Risk factors associated with delayed union after open reduction and plate fixation for humeral diaphyseal fractures.

Risk factors associated with delayed union after open reduction and plate fixation for humeral diaphyseal fractures.

Risk factors associated with delayed union after open reduction and plate fixation for humeral diaphyseal fractures.

Background: The risk factors related to delayed union in humeral diaphyseal fractures (HDFs) following surgical osteosynthesis remain unclear. Therefore, this study aimed to evaluate radiological outcomes and the risk factors associated with delayed union in a retrospective cohort of patients who underwent open reduction and plate fixation (ORPF) for acute HDFs.

Materials and methods: Consecutive patients with AO/OTA 12-A and AO/OTA 12-B fractures who underwent ORPF using standard compression techniques between 2017 and 2020 were enrolled in the study. Demographic data, along with serial medical records and radiographs, were collected. The included patients were divided into two groups: the timely union (union occurring within 6 months postoperatively) and the delayed union group (union occurring between 6 and 12 months postoperatively). Differences between the groups were examined, and logistic regression was subsequently applied for risk factor analysis.

Results: Sixty-five cases were included in the study, consisting of 34 males and 31 females, with a median age of 38.9 years. Among these, 45 cases (69.2%) were classified in the timely union group, while 20 cases (30.8%) were classified in the delayed union group. Overall, 30 cases (46.2%) demonstrated secondary bony union. Significant differences were observed between groups in terms of fracture pattern, immediate postoperative fracture gap, union pattern, and complication rate (p < 0.05 for all comparisons). Multivariate logistic regression analysis revealed that the use of interfragmentary screw and the presence of postoperative complications were independent predictors of delayed union, with an adjusted odds ratio of 0.14 and 5.76, respectively.

Conclusions: In ORPF for acute HSFs, 30 out of 65 cases demonstrated secondary bone union despite the use of standard compression techniques. The application of interfragmentary screws significantly reduces the risk of delayed union. Conversely, the presence of postoperative complications is associated with an increased likelihood of delayed union.

Level of evidence: 3 Trial Registration All procedures were approved by the institutional review board of the authors' hospital (IRB nos. A-ER-112-395 and IRB20230089).

求助全文
通过发布文献求助,成功后即可免费获取论文全文。 去求助
来源期刊
Journal of Orthopaedics and Traumatology
Journal of Orthopaedics and Traumatology Medicine-Orthopedics and Sports Medicine
CiteScore
4.30
自引率
0.00%
发文量
56
审稿时长
13 weeks
期刊介绍: The Journal of Orthopaedics and Traumatology, the official open access peer-reviewed journal of the Italian Society of Orthopaedics and Traumatology, publishes original papers reporting basic or clinical research in the field of orthopaedic and traumatologic surgery, as well as systematic reviews, brief communications, case reports and letters to the Editor. Narrative instructional reviews and commentaries to original articles may be commissioned by Editors from eminent colleagues. The Journal of Orthopaedics and Traumatology aims to be an international forum for the communication and exchange of ideas concerning the various aspects of orthopaedics and musculoskeletal trauma.
×
引用
GB/T 7714-2015
复制
MLA
复制
APA
复制
导出至
BibTeX EndNote RefMan NoteFirst NoteExpress
×
提示
您的信息不完整,为了账户安全,请先补充。
现在去补充
×
提示
您因"违规操作"
具体请查看互助需知
我知道了
×
提示
确定
请完成安全验证×
copy
已复制链接
快去分享给好友吧!
我知道了
右上角分享
点击右上角分享
0
联系我们:info@booksci.cn Book学术提供免费学术资源搜索服务,方便国内外学者检索中英文文献。致力于提供最便捷和优质的服务体验。 Copyright © 2023 布克学术 All rights reserved.
京ICP备2023020795号-1
ghs 京公网安备 11010802042870号
Book学术文献互助
Book学术文献互助群
群 号:604180095
Book学术官方微信