外伤性孤立棘突骨折。

IF 1
Muhittin Emre Altunrende, Elif Evrim Ekin
{"title":"外伤性孤立棘突骨折。","authors":"Muhittin Emre Altunrende, Elif Evrim Ekin","doi":"10.14744/tjtes.2025.20830","DOIUrl":null,"url":null,"abstract":"<p><strong>Background: </strong>Isolated traumatic spinous process fractures account for a small proportion of diagnosed spinal fractures. Among spinal fractures, the cervical vertebra is the most common site of involvement, often referred to as a Clay-Shoveler's fracture. This study included patients with isolated spinous process fractures through radiologic examinations over the past five years. The study aimed to investigate the cause of trauma, the presence of spinal ligament injury, and the relationship between these fractures with age and sex.</p><p><strong>Methods: </strong>Magnetic resonance imaging (MRI) and computed tomography (CT) scans of the spine, performed for any reason over the past five years at the hospital where the study was conducted, were retrospectively reviewed and re-evaluated. Patients whose examinations were unrelated to trauma, those with imaging artifacts that interfered with evaluation, and those who had undergone spinal vertebral surgery were excluded. The etiology of fractures was classified using the International Classification of Diseases (ICD) diagnoses. Data on age, sex, cause of trauma, and spinal ligament injury were recorded.</p><p><strong>Results: </strong>A total of 44 patients (36 men and eight women) were included in the study, with a mean age of 43.1 years. Among them, 25 patients were admitted due to traffic accidents and 18 due to falls. Spinous process fractures were observed in 18, 17, and three patients in the cervical, thoracic, and lumbar regions, respectively. Multiple spinous process fractures were found in 15 patients, while six patients had fractures in both the cervical and thoracic regions (Clay-Shoveler's fracture). In 12 patients, spinal MRI with Short-TI Inversion Recovery (STIR) sequences was performed in addition to CT imaging. All patients with Clay-Shoveler's fracture fractures underwent both CT and MRI examinations. In all cases where MRI was performed, interspinous ligament damage was detected. However, no intracanal involvement or comorbid pathology was observed.</p><p><strong>Conclusion: </strong>Notably, multiple fractures may occur, particularly at the cervicothoracic junction. Although spinous process fractures associated with trauma are rarely isolated, they are usually managed with medical treatment. Therefore, the vertebrae below the initially detected fracture site should also be evaluated. Additionally, imaging studies such as MRI with STIR sequences should be performed to assess ligament damage and the neural canal, in addition to tests for evaluating bony structures.</p>","PeriodicalId":94263,"journal":{"name":"Ulusal travma ve acil cerrahi dergisi = Turkish journal of trauma & emergency surgery : TJTES","volume":"31 4","pages":"394-398"},"PeriodicalIF":1.0000,"publicationDate":"2025-04-01","publicationTypes":"Journal Article","fieldsOfStudy":null,"isOpenAccess":false,"openAccessPdf":"https://www.ncbi.nlm.nih.gov/pmc/articles/PMC12000981/pdf/","citationCount":"0","resultStr":"{\"title\":\"Traumatic isolated spinous process fractures.\",\"authors\":\"Muhittin Emre Altunrende, Elif Evrim Ekin\",\"doi\":\"10.14744/tjtes.2025.20830\",\"DOIUrl\":null,\"url\":null,\"abstract\":\"<p><strong>Background: </strong>Isolated traumatic spinous process fractures account for a small proportion of diagnosed spinal fractures. Among spinal fractures, the cervical vertebra is the most common site of involvement, often referred to as a Clay-Shoveler's fracture. This study included patients with isolated spinous process fractures through radiologic examinations over the past five years. The study aimed to investigate the cause of trauma, the presence of spinal ligament injury, and the relationship between these fractures with age and sex.</p><p><strong>Methods: </strong>Magnetic resonance imaging (MRI) and computed tomography (CT) scans of the spine, performed for any reason over the past five years at the hospital where the study was conducted, were retrospectively reviewed and re-evaluated. Patients whose examinations were unrelated to trauma, those with imaging artifacts that interfered with evaluation, and those who had undergone spinal vertebral surgery were excluded. The etiology of fractures was classified using the International Classification of Diseases (ICD) diagnoses. Data on age, sex, cause of trauma, and spinal ligament injury were recorded.</p><p><strong>Results: </strong>A total of 44 patients (36 men and eight women) were included in the study, with a mean age of 43.1 years. Among them, 25 patients were admitted due to traffic accidents and 18 due to falls. Spinous process fractures were observed in 18, 17, and three patients in the cervical, thoracic, and lumbar regions, respectively. Multiple spinous process fractures were found in 15 patients, while six patients had fractures in both the cervical and thoracic regions (Clay-Shoveler's fracture). In 12 patients, spinal MRI with Short-TI Inversion Recovery (STIR) sequences was performed in addition to CT imaging. All patients with Clay-Shoveler's fracture fractures underwent both CT and MRI examinations. In all cases where MRI was performed, interspinous ligament damage was detected. However, no intracanal involvement or comorbid pathology was observed.</p><p><strong>Conclusion: </strong>Notably, multiple fractures may occur, particularly at the cervicothoracic junction. Although spinous process fractures associated with trauma are rarely isolated, they are usually managed with medical treatment. Therefore, the vertebrae below the initially detected fracture site should also be evaluated. Additionally, imaging studies such as MRI with STIR sequences should be performed to assess ligament damage and the neural canal, in addition to tests for evaluating bony structures.</p>\",\"PeriodicalId\":94263,\"journal\":{\"name\":\"Ulusal travma ve acil cerrahi dergisi = Turkish journal of trauma & emergency surgery : TJTES\",\"volume\":\"31 4\",\"pages\":\"394-398\"},\"PeriodicalIF\":1.0000,\"publicationDate\":\"2025-04-01\",\"publicationTypes\":\"Journal Article\",\"fieldsOfStudy\":null,\"isOpenAccess\":false,\"openAccessPdf\":\"https://www.ncbi.nlm.nih.gov/pmc/articles/PMC12000981/pdf/\",\"citationCount\":\"0\",\"resultStr\":null,\"platform\":\"Semanticscholar\",\"paperid\":null,\"PeriodicalName\":\"Ulusal travma ve acil cerrahi dergisi = Turkish journal of trauma & emergency surgery : TJTES\",\"FirstCategoryId\":\"1085\",\"ListUrlMain\":\"https://doi.org/10.14744/tjtes.2025.20830\",\"RegionNum\":0,\"RegionCategory\":null,\"ArticlePicture\":[],\"TitleCN\":null,\"AbstractTextCN\":null,\"PMCID\":null,\"EPubDate\":\"\",\"PubModel\":\"\",\"JCR\":\"\",\"JCRName\":\"\",\"Score\":null,\"Total\":0}","platform":"Semanticscholar","paperid":null,"PeriodicalName":"Ulusal travma ve acil cerrahi dergisi = Turkish journal of trauma & emergency surgery : TJTES","FirstCategoryId":"1085","ListUrlMain":"https://doi.org/10.14744/tjtes.2025.20830","RegionNum":0,"RegionCategory":null,"ArticlePicture":[],"TitleCN":null,"AbstractTextCN":null,"PMCID":null,"EPubDate":"","PubModel":"","JCR":"","JCRName":"","Score":null,"Total":0}
引用次数: 0

摘要

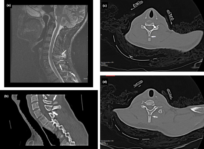
背景:孤立的外伤性棘突骨折占诊断脊柱骨折的一小部分。在脊柱骨折中,颈椎是最常见的受累部位,通常被称为铲泥骨折。本研究纳入了过去五年通过影像学检查的孤立棘突骨折患者。该研究旨在调查创伤的原因,脊髓韧带损伤的存在,以及这些骨折与年龄和性别之间的关系。方法:回顾性回顾和重新评估过去五年中在进行研究的医院因任何原因进行的脊柱磁共振成像(MRI)和计算机断层扫描(CT)扫描。检查与创伤无关的患者、有干扰评估的成像伪影的患者以及接受过脊柱手术的患者被排除在外。骨折的病因采用国际疾病分类(ICD)诊断。记录年龄、性别、创伤原因和脊髓韧带损伤的数据。结果:共纳入44例患者(男36例,女8例),平均年龄43.1岁。其中,因交通事故入院的有25人,因跌倒入院的有18人。棘突骨折分别发生在18例、17例和3例患者的颈椎、胸椎和腰椎区域。15例患者发现多发棘突骨折,6例患者同时发生颈椎和胸椎骨折(Clay-Shoveler骨折)。在12例患者中,除CT成像外,还进行了短ti反转恢复(STIR)序列脊柱MRI。所有Clay-Shoveler骨折患者均行CT和MRI检查。在所有进行MRI检查的病例中,均发现棘间韧带损伤。然而,没有观察到管内受累或共病病理。结论:值得注意的是,多发骨折可能发生,特别是在颈胸交界处。虽然与创伤相关的棘突骨折很少被孤立,但它们通常是通过药物治疗来管理的。因此,对最初发现的骨折部位下方的椎骨也应进行评估。此外,除了评估骨结构的测试外,还应进行影像学研究,如MRI与STIR序列,以评估韧带损伤和神经管。
本文章由计算机程序翻译,如有差异,请以英文原文为准。

Traumatic isolated spinous process fractures.

Traumatic isolated spinous process fractures.

Traumatic isolated spinous process fractures.

Background: Isolated traumatic spinous process fractures account for a small proportion of diagnosed spinal fractures. Among spinal fractures, the cervical vertebra is the most common site of involvement, often referred to as a Clay-Shoveler's fracture. This study included patients with isolated spinous process fractures through radiologic examinations over the past five years. The study aimed to investigate the cause of trauma, the presence of spinal ligament injury, and the relationship between these fractures with age and sex.

Methods: Magnetic resonance imaging (MRI) and computed tomography (CT) scans of the spine, performed for any reason over the past five years at the hospital where the study was conducted, were retrospectively reviewed and re-evaluated. Patients whose examinations were unrelated to trauma, those with imaging artifacts that interfered with evaluation, and those who had undergone spinal vertebral surgery were excluded. The etiology of fractures was classified using the International Classification of Diseases (ICD) diagnoses. Data on age, sex, cause of trauma, and spinal ligament injury were recorded.

Results: A total of 44 patients (36 men and eight women) were included in the study, with a mean age of 43.1 years. Among them, 25 patients were admitted due to traffic accidents and 18 due to falls. Spinous process fractures were observed in 18, 17, and three patients in the cervical, thoracic, and lumbar regions, respectively. Multiple spinous process fractures were found in 15 patients, while six patients had fractures in both the cervical and thoracic regions (Clay-Shoveler's fracture). In 12 patients, spinal MRI with Short-TI Inversion Recovery (STIR) sequences was performed in addition to CT imaging. All patients with Clay-Shoveler's fracture fractures underwent both CT and MRI examinations. In all cases where MRI was performed, interspinous ligament damage was detected. However, no intracanal involvement or comorbid pathology was observed.

Conclusion: Notably, multiple fractures may occur, particularly at the cervicothoracic junction. Although spinous process fractures associated with trauma are rarely isolated, they are usually managed with medical treatment. Therefore, the vertebrae below the initially detected fracture site should also be evaluated. Additionally, imaging studies such as MRI with STIR sequences should be performed to assess ligament damage and the neural canal, in addition to tests for evaluating bony structures.

求助全文
通过发布文献求助,成功后即可免费获取论文全文。 去求助
来源期刊
自引率
0.00%
发文量
0
×
引用
GB/T 7714-2015
复制
MLA
复制
APA
复制
导出至
BibTeX EndNote RefMan NoteFirst NoteExpress
×
提示
您的信息不完整,为了账户安全,请先补充。
现在去补充
×
提示
您因"违规操作"
具体请查看互助需知
我知道了
×
提示
确定
请完成安全验证×
copy
已复制链接
快去分享给好友吧!
我知道了
右上角分享
点击右上角分享
0
联系我们:info@booksci.cn Book学术提供免费学术资源搜索服务,方便国内外学者检索中英文文献。致力于提供最便捷和优质的服务体验。 Copyright © 2023 布克学术 All rights reserved.
京ICP备2023020795号-1
ghs 京公网安备 11010802042870号
Book学术文献互助
Book学术文献互助群
群 号:604180095
Book学术官方微信