SL One®快速输液器对儿童肾切除术伴下腔静脉扩张肾母细胞瘤患者急性出血的有效治疗:1例报告。

IF 1 Q3 ANESTHESIOLOGY
Shoko Fujioka, Yusuke Miyazaki, Hinako Furuya, Chika Miyazaki, Nobuyuki Katori, Yoshie Taniguchi
{"title":"SL One®快速输液器对儿童肾切除术伴下腔静脉扩张肾母细胞瘤患者急性出血的有效治疗:1例报告。","authors":"Shoko Fujioka, Yusuke Miyazaki, Hinako Furuya, Chika Miyazaki, Nobuyuki Katori, Yoshie Taniguchi","doi":"10.1186/s40981-025-00788-7","DOIUrl":null,"url":null,"abstract":"<p><strong>Background: </strong>Wilms tumor is the most common pediatric renal tumor. Tumor extension into the inferior vena cava (IVC) can increase hemorrhage risk during surgical resection, necessitating rapid transfusion. Pediatric patients have lower circulating blood volume, heightening their susceptibility to hemodynamic instability.</p><p><strong>Case presentation: </strong>A 2-year-old boy with an IVC-extending Wilms tumor underwent nephrectomy. Anticipating hemorrhage, we employed an SL One<sup>®</sup> rapid infusion device via a Broviac™ central venous catheter. During a sudden, high-volume bleeding, transfusion was initiated at 23 mL/min and intermittently increased to 150 mL/min while preload was evaluated using transesophageal echocardiography, rapidly stabilizing hemodynamics. No rapid-transfusion-related complications, such as hyperkalemia or hypothermia, were observed, and the postoperative course was uneventful.</p><p><strong>Conclusions: </strong>In this pediatric case at high risk for acute blood loss, the SL One<sup>®</sup> provided effective circulatory stabilization without adverse events. Further studies are needed to validate the safety of the SL One<sup>®</sup> in pediatric patients.</p>","PeriodicalId":14635,"journal":{"name":"JA Clinical Reports","volume":"11 1","pages":"25"},"PeriodicalIF":1.0000,"publicationDate":"2025-05-04","publicationTypes":"Journal Article","fieldsOfStudy":null,"isOpenAccess":false,"openAccessPdf":"https://www.ncbi.nlm.nih.gov/pmc/articles/PMC12050254/pdf/","citationCount":"0","resultStr":"{\"title\":\"Effective management of acute hemorrhage using an SL One<sup>®</sup> rapid infusion device in a pediatric patient undergoing nephrectomy for Wilms tumor with inferior vena cava extension: a case report.\",\"authors\":\"Shoko Fujioka, Yusuke Miyazaki, Hinako Furuya, Chika Miyazaki, Nobuyuki Katori, Yoshie Taniguchi\",\"doi\":\"10.1186/s40981-025-00788-7\",\"DOIUrl\":null,\"url\":null,\"abstract\":\"<p><strong>Background: </strong>Wilms tumor is the most common pediatric renal tumor. Tumor extension into the inferior vena cava (IVC) can increase hemorrhage risk during surgical resection, necessitating rapid transfusion. Pediatric patients have lower circulating blood volume, heightening their susceptibility to hemodynamic instability.</p><p><strong>Case presentation: </strong>A 2-year-old boy with an IVC-extending Wilms tumor underwent nephrectomy. Anticipating hemorrhage, we employed an SL One<sup>®</sup> rapid infusion device via a Broviac™ central venous catheter. During a sudden, high-volume bleeding, transfusion was initiated at 23 mL/min and intermittently increased to 150 mL/min while preload was evaluated using transesophageal echocardiography, rapidly stabilizing hemodynamics. No rapid-transfusion-related complications, such as hyperkalemia or hypothermia, were observed, and the postoperative course was uneventful.</p><p><strong>Conclusions: </strong>In this pediatric case at high risk for acute blood loss, the SL One<sup>®</sup> provided effective circulatory stabilization without adverse events. Further studies are needed to validate the safety of the SL One<sup>®</sup> in pediatric patients.</p>\",\"PeriodicalId\":14635,\"journal\":{\"name\":\"JA Clinical Reports\",\"volume\":\"11 1\",\"pages\":\"25\"},\"PeriodicalIF\":1.0000,\"publicationDate\":\"2025-05-04\",\"publicationTypes\":\"Journal Article\",\"fieldsOfStudy\":null,\"isOpenAccess\":false,\"openAccessPdf\":\"https://www.ncbi.nlm.nih.gov/pmc/articles/PMC12050254/pdf/\",\"citationCount\":\"0\",\"resultStr\":null,\"platform\":\"Semanticscholar\",\"paperid\":null,\"PeriodicalName\":\"JA Clinical Reports\",\"FirstCategoryId\":\"1085\",\"ListUrlMain\":\"https://doi.org/10.1186/s40981-025-00788-7\",\"RegionNum\":0,\"RegionCategory\":null,\"ArticlePicture\":[],\"TitleCN\":null,\"AbstractTextCN\":null,\"PMCID\":null,\"EPubDate\":\"\",\"PubModel\":\"\",\"JCR\":\"Q3\",\"JCRName\":\"ANESTHESIOLOGY\",\"Score\":null,\"Total\":0}","platform":"Semanticscholar","paperid":null,"PeriodicalName":"JA Clinical Reports","FirstCategoryId":"1085","ListUrlMain":"https://doi.org/10.1186/s40981-025-00788-7","RegionNum":0,"RegionCategory":null,"ArticlePicture":[],"TitleCN":null,"AbstractTextCN":null,"PMCID":null,"EPubDate":"","PubModel":"","JCR":"Q3","JCRName":"ANESTHESIOLOGY","Score":null,"Total":0}
引用次数: 0

摘要

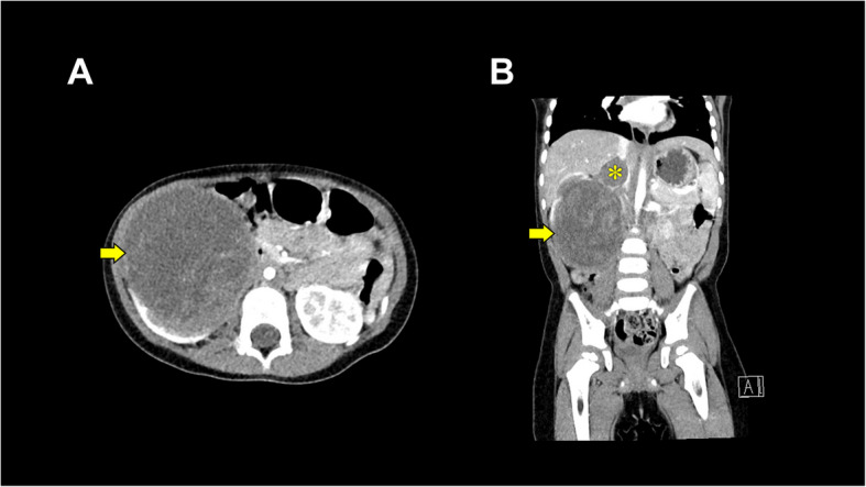
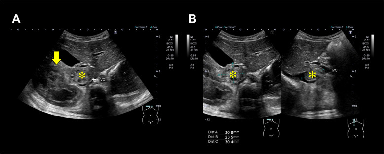
背景:肾母细胞瘤是儿童最常见的肾脏肿瘤。肿瘤扩展到下腔静脉(IVC)会增加手术切除时出血的风险,需要快速输血。儿科患者循环血容量较低,易发生血流动力学不稳定。病例介绍:一名2岁男孩因下腔静脉扩张肾母细胞瘤行肾切除术。预计出血,我们通过Broviac中心静脉导管使用了SL One®快速输液装置。在突然大容量出血时,开始以23ml /min输血,并间歇性地增加到150ml /min,同时使用经食管超声心动图评估预负荷,迅速稳定血流动力学。没有观察到快速输血相关的并发症,如高钾血症或低体温,术后过程平稳。结论:在这个急性失血高风险的儿童病例中,SL One®提供了有效的循环稳定,没有不良事件。需要进一步的研究来验证SL One®在儿科患者中的安全性。
本文章由计算机程序翻译,如有差异,请以英文原文为准。

Effective management of acute hemorrhage using an SL One<sup>®</sup> rapid infusion device in a pediatric patient undergoing nephrectomy for Wilms tumor with inferior vena cava extension: a case report.

Effective management of acute hemorrhage using an SL One<sup>®</sup> rapid infusion device in a pediatric patient undergoing nephrectomy for Wilms tumor with inferior vena cava extension: a case report.

Effective management of acute hemorrhage using an SL One® rapid infusion device in a pediatric patient undergoing nephrectomy for Wilms tumor with inferior vena cava extension: a case report.

Background: Wilms tumor is the most common pediatric renal tumor. Tumor extension into the inferior vena cava (IVC) can increase hemorrhage risk during surgical resection, necessitating rapid transfusion. Pediatric patients have lower circulating blood volume, heightening their susceptibility to hemodynamic instability.

Case presentation: A 2-year-old boy with an IVC-extending Wilms tumor underwent nephrectomy. Anticipating hemorrhage, we employed an SL One® rapid infusion device via a Broviac™ central venous catheter. During a sudden, high-volume bleeding, transfusion was initiated at 23 mL/min and intermittently increased to 150 mL/min while preload was evaluated using transesophageal echocardiography, rapidly stabilizing hemodynamics. No rapid-transfusion-related complications, such as hyperkalemia or hypothermia, were observed, and the postoperative course was uneventful.

Conclusions: In this pediatric case at high risk for acute blood loss, the SL One® provided effective circulatory stabilization without adverse events. Further studies are needed to validate the safety of the SL One® in pediatric patients.

求助全文
通过发布文献求助,成功后即可免费获取论文全文。 去求助
来源期刊
JA Clinical Reports
JA Clinical Reports ANESTHESIOLOGY-
CiteScore
1.30
自引率
0.00%
发文量
90
审稿时长
9 weeks
期刊介绍: JA Clinical Reports is a companion journal to the Journal of Anesthesia (JA), the official journal of the Japanese Society of Anesthesiologists (JSA). This journal is an open access, peer-reviewed, online journal related to clinical anesthesia practices such as anesthesia management, pain management and intensive care. Case reports are very important articles from the viewpoint of education and the cultivation of scientific thinking in the field of anesthesia. However, submissions of anesthesia research and clinical reports from Japan are notably decreasing in major anesthesia journals. Therefore, the JSA has decided to launch a new journal, JA Clinical Reports, to encourage JSA members, particularly junior Japanese anesthesiologists, to publish papers in English language.
×
引用
GB/T 7714-2015
复制
MLA
复制
APA
复制
导出至
BibTeX EndNote RefMan NoteFirst NoteExpress
×
提示
您的信息不完整,为了账户安全,请先补充。
现在去补充
×
提示
您因"违规操作"
具体请查看互助需知
我知道了
×
提示
确定
请完成安全验证×
copy
已复制链接
快去分享给好友吧!
我知道了
右上角分享
点击右上角分享
0
联系我们:info@booksci.cn Book学术提供免费学术资源搜索服务,方便国内外学者检索中英文文献。致力于提供最便捷和优质的服务体验。 Copyright © 2023 布克学术 All rights reserved.
京ICP备2023020795号-1
ghs 京公网安备 11010802042870号
Book学术文献互助
Book学术文献互助群
群 号:604180095
Book学术官方微信