一种新型胫骨钉拔除技术。

IF 1.3 Q3 ORTHOPEDICS
Jeffrey Mauras, Peter Krause, Ryan Roubion
{"title":"一种新型胫骨钉拔除技术。","authors":"Jeffrey Mauras, Peter Krause, Ryan Roubion","doi":"10.5005/jp-journals-10080-1624","DOIUrl":null,"url":null,"abstract":"<p><strong>Aim: </strong>We present a case where the proximal end of a cannulated tibial nail was inaccessible for removal.</p><p><strong>Background: </strong>Some common techniques for the removal of broken hardware are discussed in the literature, but there is no one technique that will work in every situation. Routine removal techniques may not suffice when removing a buried or broken tibial nail.</p><p><strong>Case description: </strong>Difficulties were encountered removing a tibial nail which was deeply sunk into the proximal tibia from its entry point. Therefore, the fracture site was exposed, and the nail was cut. The proximal portion was removed in a retrograde fashion. Removing the distal end of the nail posed a dilemma after standard techniques failed, but it was successfully extracted by threading a Schanz pin into the exposed cannulated portion of the nail and then backslapping a T-handle.</p><p><strong>Conclusion: </strong>This is a novel technique for the removal of an incarcerated segment of a cannulated tibial nail from the distal tibia when other techniques were unsuccessful.</p><p><strong>Clinical significance: </strong>The novel method presented in this case report allows for extraction of a sunken tibial intramedullary nail when extractor seating is difficult to obtain and the incarcerated distal segment of a cannulated tibial nail cannot be removed by standard techniques.</p><p><strong>How to cite this article: </strong>Mauras J, Krause P, Roubion R. A Novel Technique to Remove a Tibial Nail. Strategies Trauma Limb Reconstr 2024;19(3):169-170.</p>","PeriodicalId":21979,"journal":{"name":"Strategies in Trauma and Limb Reconstruction","volume":"19 3","pages":"169-170"},"PeriodicalIF":1.3000,"publicationDate":"2024-09-01","publicationTypes":"Journal Article","fieldsOfStudy":null,"isOpenAccess":false,"openAccessPdf":"https://www.ncbi.nlm.nih.gov/pmc/articles/PMC11982909/pdf/","citationCount":"0","resultStr":"{\"title\":\"A Novel Technique to Remove a Tibial Nail.\",\"authors\":\"Jeffrey Mauras, Peter Krause, Ryan Roubion\",\"doi\":\"10.5005/jp-journals-10080-1624\",\"DOIUrl\":null,\"url\":null,\"abstract\":\"<p><strong>Aim: </strong>We present a case where the proximal end of a cannulated tibial nail was inaccessible for removal.</p><p><strong>Background: </strong>Some common techniques for the removal of broken hardware are discussed in the literature, but there is no one technique that will work in every situation. Routine removal techniques may not suffice when removing a buried or broken tibial nail.</p><p><strong>Case description: </strong>Difficulties were encountered removing a tibial nail which was deeply sunk into the proximal tibia from its entry point. Therefore, the fracture site was exposed, and the nail was cut. The proximal portion was removed in a retrograde fashion. Removing the distal end of the nail posed a dilemma after standard techniques failed, but it was successfully extracted by threading a Schanz pin into the exposed cannulated portion of the nail and then backslapping a T-handle.</p><p><strong>Conclusion: </strong>This is a novel technique for the removal of an incarcerated segment of a cannulated tibial nail from the distal tibia when other techniques were unsuccessful.</p><p><strong>Clinical significance: </strong>The novel method presented in this case report allows for extraction of a sunken tibial intramedullary nail when extractor seating is difficult to obtain and the incarcerated distal segment of a cannulated tibial nail cannot be removed by standard techniques.</p><p><strong>How to cite this article: </strong>Mauras J, Krause P, Roubion R. A Novel Technique to Remove a Tibial Nail. Strategies Trauma Limb Reconstr 2024;19(3):169-170.</p>\",\"PeriodicalId\":21979,\"journal\":{\"name\":\"Strategies in Trauma and Limb Reconstruction\",\"volume\":\"19 3\",\"pages\":\"169-170\"},\"PeriodicalIF\":1.3000,\"publicationDate\":\"2024-09-01\",\"publicationTypes\":\"Journal Article\",\"fieldsOfStudy\":null,\"isOpenAccess\":false,\"openAccessPdf\":\"https://www.ncbi.nlm.nih.gov/pmc/articles/PMC11982909/pdf/\",\"citationCount\":\"0\",\"resultStr\":null,\"platform\":\"Semanticscholar\",\"paperid\":null,\"PeriodicalName\":\"Strategies in Trauma and Limb Reconstruction\",\"FirstCategoryId\":\"1085\",\"ListUrlMain\":\"https://doi.org/10.5005/jp-journals-10080-1624\",\"RegionNum\":0,\"RegionCategory\":null,\"ArticlePicture\":[],\"TitleCN\":null,\"AbstractTextCN\":null,\"PMCID\":null,\"EPubDate\":\"2025/3/20 0:00:00\",\"PubModel\":\"Epub\",\"JCR\":\"Q3\",\"JCRName\":\"ORTHOPEDICS\",\"Score\":null,\"Total\":0}","platform":"Semanticscholar","paperid":null,"PeriodicalName":"Strategies in Trauma and Limb Reconstruction","FirstCategoryId":"1085","ListUrlMain":"https://doi.org/10.5005/jp-journals-10080-1624","RegionNum":0,"RegionCategory":null,"ArticlePicture":[],"TitleCN":null,"AbstractTextCN":null,"PMCID":null,"EPubDate":"2025/3/20 0:00:00","PubModel":"Epub","JCR":"Q3","JCRName":"ORTHOPEDICS","Score":null,"Total":0}
引用次数: 0

摘要

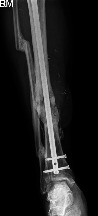
目的:我们提出了一个病例,其中近端插管胫骨钉是无法去除。背景:文献中讨论了一些常见的去除损坏硬件的技术,但没有一种技术可以在每种情况下工作。常规的拔除技术在拔除埋藏或折断的胫骨钉时可能是不够的。病例描述:取出胫骨钉时遇到困难,该胫骨钉从其入口点深深沉入胫骨近端。因此,暴露骨折部位,剪断钉。近端部分逆行切除。在标准技术失败后,移除指甲远端是一个难题,但通过将Schanz销穿入指甲暴露的空心部分,然后在背后拍一个t型手柄,成功地取出了指甲。结论:当其他技术不成功时,这是一种从胫骨远端移除嵌顿段空心胫骨钉的新技术。临床意义:本病例报告中提出的新方法允许在难以获得拔牙器就位和标准技术无法移除嵌顿的管状胫骨远端段时拔出下沉的胫骨髓内钉。本文摘自:Mauras J, Krause P, Roubion R.一种新型胫骨钉拔除技术。创伤肢体重建[j]; 2009;19(3):169-170。
本文章由计算机程序翻译,如有差异,请以英文原文为准。

A Novel Technique to Remove a Tibial Nail.

A Novel Technique to Remove a Tibial Nail.

A Novel Technique to Remove a Tibial Nail.

A Novel Technique to Remove a Tibial Nail.

Aim: We present a case where the proximal end of a cannulated tibial nail was inaccessible for removal.

Background: Some common techniques for the removal of broken hardware are discussed in the literature, but there is no one technique that will work in every situation. Routine removal techniques may not suffice when removing a buried or broken tibial nail.

Case description: Difficulties were encountered removing a tibial nail which was deeply sunk into the proximal tibia from its entry point. Therefore, the fracture site was exposed, and the nail was cut. The proximal portion was removed in a retrograde fashion. Removing the distal end of the nail posed a dilemma after standard techniques failed, but it was successfully extracted by threading a Schanz pin into the exposed cannulated portion of the nail and then backslapping a T-handle.

Conclusion: This is a novel technique for the removal of an incarcerated segment of a cannulated tibial nail from the distal tibia when other techniques were unsuccessful.

Clinical significance: The novel method presented in this case report allows for extraction of a sunken tibial intramedullary nail when extractor seating is difficult to obtain and the incarcerated distal segment of a cannulated tibial nail cannot be removed by standard techniques.

How to cite this article: Mauras J, Krause P, Roubion R. A Novel Technique to Remove a Tibial Nail. Strategies Trauma Limb Reconstr 2024;19(3):169-170.

求助全文
通过发布文献求助,成功后即可免费获取论文全文。 去求助
来源期刊
Strategies in Trauma and Limb Reconstruction
Strategies in Trauma and Limb Reconstruction Medicine-Orthopedics and Sports Medicine
CiteScore
1.50
自引率
0.00%
发文量
31
期刊介绍: Strategies in Trauma and Limb Reconstruction is dedicated to surgeons, allied medical professionals and researchers in the field of orthopaedics and trauma. The scope of the journal is to discuss the fields of skeletal injury, and the complications thereof, congenital and acquired limb deformities and deficiencies, and orthopaedic-related infection, together with their surgical and non-surgical treatments. The journal publishes original articles, reviews, case reports, descriptions of new or recognised treatment techniques, forum discussions of clinical scenarios and relevant correspondence. It aims to provide a widely accessible source of useful information to practitioners in the field through the problem- or technique-based approach of published articles.
×
引用
GB/T 7714-2015
复制
MLA
复制
APA
复制
导出至
BibTeX EndNote RefMan NoteFirst NoteExpress
×
提示
您的信息不完整,为了账户安全,请先补充。
现在去补充
×
提示
您因"违规操作"
具体请查看互助需知
我知道了
×
提示
确定
请完成安全验证×
copy
已复制链接
快去分享给好友吧!
我知道了
右上角分享
点击右上角分享
0
联系我们:info@booksci.cn Book学术提供免费学术资源搜索服务,方便国内外学者检索中英文文献。致力于提供最便捷和优质的服务体验。 Copyright © 2023 布克学术 All rights reserved.
京ICP备2023020795号-1
ghs 京公网安备 11010802042870号
Book学术文献互助
Book学术文献互助群
群 号:604180095
Book学术官方微信