高血压和类癌性心脏病是卵巢类癌肿瘤的初始表现。

JCEM case reports Pub Date : 2025-04-17 eCollection Date: 2025-05-01 DOI:10.1210/jcemcr/luaf073
Andreia Martins Fernandes, Sara Reis, Catarina Neves, David Prieto, Paulo Aldinhas, Raquel G Martins
{"title":"高血压和类癌性心脏病是卵巢类癌肿瘤的初始表现。","authors":"Andreia Martins Fernandes, Sara Reis, Catarina Neves, David Prieto, Paulo Aldinhas, Raquel G Martins","doi":"10.1210/jcemcr/luaf073","DOIUrl":null,"url":null,"abstract":"<p><p>Ovarian carcinoid tumors (OCTs) are rare and may cause carcinoid syndrome (CS) even in the absence of liver metastases. Carcinoid heart disease (CHD), which develops in up to 50% of patients with CS, substantially affects morbidity and mortality. While prognosis is generally favorable, maintaining clinical suspicion and early diagnosis is crucial to prevent the development of advanced heart failure or metastases. We present a case of a woman exhibiting asthenia, diarrhea, and de novo severe hypertension. Echocardiography revealed typical features of CHD. Elevated urinary levels of 5-hydroxyindoleacetic acid (5-HIAA) corroborated the diagnosis of CS. <sup>68</sup>Ga-DOTANOC positron emission tomography computed tomography identified a suspicious left pelvic mass, which was subsequently confirmed by magnetic resonance imaging. Surgical resection of the tumor was performed, followed by tricuspid valve replacement surgery, confirming the diagnosis of OCT associated with CS and CHD. Postoperative follow-up revealed considerable clinical improvement, and the patient has remained free of recurrence. This case underscores the complex cardiovascular involvement in CS, with secondary hypertension as the initial symptomatic manifestation, which improved following resection of OCT. Additionally, it highlights the role of CS in the pathogenesis of severe tricuspid valve dysfunction, which ultimately required cardiac surgery.</p>","PeriodicalId":73540,"journal":{"name":"JCEM case reports","volume":"3 5","pages":"luaf073"},"PeriodicalIF":0.0000,"publicationDate":"2025-04-17","publicationTypes":"Journal Article","fieldsOfStudy":null,"isOpenAccess":false,"openAccessPdf":"https://www.ncbi.nlm.nih.gov/pmc/articles/PMC12003261/pdf/","citationCount":"0","resultStr":"{\"title\":\"Hypertension and Carcinoid Heart Disease as Initial Manifestations of Ovarian Carcinoid Tumor.\",\"authors\":\"Andreia Martins Fernandes, Sara Reis, Catarina Neves, David Prieto, Paulo Aldinhas, Raquel G Martins\",\"doi\":\"10.1210/jcemcr/luaf073\",\"DOIUrl\":null,\"url\":null,\"abstract\":\"<p><p>Ovarian carcinoid tumors (OCTs) are rare and may cause carcinoid syndrome (CS) even in the absence of liver metastases. Carcinoid heart disease (CHD), which develops in up to 50% of patients with CS, substantially affects morbidity and mortality. While prognosis is generally favorable, maintaining clinical suspicion and early diagnosis is crucial to prevent the development of advanced heart failure or metastases. We present a case of a woman exhibiting asthenia, diarrhea, and de novo severe hypertension. Echocardiography revealed typical features of CHD. Elevated urinary levels of 5-hydroxyindoleacetic acid (5-HIAA) corroborated the diagnosis of CS. <sup>68</sup>Ga-DOTANOC positron emission tomography computed tomography identified a suspicious left pelvic mass, which was subsequently confirmed by magnetic resonance imaging. Surgical resection of the tumor was performed, followed by tricuspid valve replacement surgery, confirming the diagnosis of OCT associated with CS and CHD. Postoperative follow-up revealed considerable clinical improvement, and the patient has remained free of recurrence. This case underscores the complex cardiovascular involvement in CS, with secondary hypertension as the initial symptomatic manifestation, which improved following resection of OCT. Additionally, it highlights the role of CS in the pathogenesis of severe tricuspid valve dysfunction, which ultimately required cardiac surgery.</p>\",\"PeriodicalId\":73540,\"journal\":{\"name\":\"JCEM case reports\",\"volume\":\"3 5\",\"pages\":\"luaf073\"},\"PeriodicalIF\":0.0000,\"publicationDate\":\"2025-04-17\",\"publicationTypes\":\"Journal Article\",\"fieldsOfStudy\":null,\"isOpenAccess\":false,\"openAccessPdf\":\"https://www.ncbi.nlm.nih.gov/pmc/articles/PMC12003261/pdf/\",\"citationCount\":\"0\",\"resultStr\":null,\"platform\":\"Semanticscholar\",\"paperid\":null,\"PeriodicalName\":\"JCEM case reports\",\"FirstCategoryId\":\"1085\",\"ListUrlMain\":\"https://doi.org/10.1210/jcemcr/luaf073\",\"RegionNum\":0,\"RegionCategory\":null,\"ArticlePicture\":[],\"TitleCN\":null,\"AbstractTextCN\":null,\"PMCID\":null,\"EPubDate\":\"2025/5/1 0:00:00\",\"PubModel\":\"eCollection\",\"JCR\":\"\",\"JCRName\":\"\",\"Score\":null,\"Total\":0}","platform":"Semanticscholar","paperid":null,"PeriodicalName":"JCEM case reports","FirstCategoryId":"1085","ListUrlMain":"https://doi.org/10.1210/jcemcr/luaf073","RegionNum":0,"RegionCategory":null,"ArticlePicture":[],"TitleCN":null,"AbstractTextCN":null,"PMCID":null,"EPubDate":"2025/5/1 0:00:00","PubModel":"eCollection","JCR":"","JCRName":"","Score":null,"Total":0}
引用次数: 0

摘要

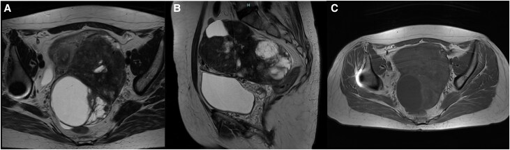
卵巢类癌(OCTs)是罕见的,即使在没有肝转移的情况下也可能引起类癌综合征(CS)。类癌性心脏病(CHD)在高达50%的CS患者中发生,严重影响发病率和死亡率。虽然预后通常是良好的,但保持临床怀疑和早期诊断对于防止发展为晚期心力衰竭或转移至关重要。我们提出一个病例的妇女表现出虚弱,腹泻,并重新严重高血压。超声心动图显示冠心病的典型特征。尿中5-羟基吲哚乙酸(5-HIAA)水平升高证实了CS的诊断。68Ga-DOTANOC正电子发射断层扫描计算机断层扫描发现可疑的左盆腔肿块,随后通过磁共振成像证实。手术切除肿瘤后行三尖瓣置换术,确认OCT合并CS和冠心病的诊断。术后随访显示临床改善明显,患者无复发。该病例强调了CS复杂的心血管累及,最初的症状表现为继发性高血压,在oct切除后有所改善。此外,它还强调了CS在严重三尖瓣功能障碍的发病机制中的作用,最终需要心脏手术。
本文章由计算机程序翻译,如有差异,请以英文原文为准。

Hypertension and Carcinoid Heart Disease as Initial Manifestations of Ovarian Carcinoid Tumor.

Hypertension and Carcinoid Heart Disease as Initial Manifestations of Ovarian Carcinoid Tumor.

Hypertension and Carcinoid Heart Disease as Initial Manifestations of Ovarian Carcinoid Tumor.

Hypertension and Carcinoid Heart Disease as Initial Manifestations of Ovarian Carcinoid Tumor.

Ovarian carcinoid tumors (OCTs) are rare and may cause carcinoid syndrome (CS) even in the absence of liver metastases. Carcinoid heart disease (CHD), which develops in up to 50% of patients with CS, substantially affects morbidity and mortality. While prognosis is generally favorable, maintaining clinical suspicion and early diagnosis is crucial to prevent the development of advanced heart failure or metastases. We present a case of a woman exhibiting asthenia, diarrhea, and de novo severe hypertension. Echocardiography revealed typical features of CHD. Elevated urinary levels of 5-hydroxyindoleacetic acid (5-HIAA) corroborated the diagnosis of CS. 68Ga-DOTANOC positron emission tomography computed tomography identified a suspicious left pelvic mass, which was subsequently confirmed by magnetic resonance imaging. Surgical resection of the tumor was performed, followed by tricuspid valve replacement surgery, confirming the diagnosis of OCT associated with CS and CHD. Postoperative follow-up revealed considerable clinical improvement, and the patient has remained free of recurrence. This case underscores the complex cardiovascular involvement in CS, with secondary hypertension as the initial symptomatic manifestation, which improved following resection of OCT. Additionally, it highlights the role of CS in the pathogenesis of severe tricuspid valve dysfunction, which ultimately required cardiac surgery.

求助全文
通过发布文献求助,成功后即可免费获取论文全文。 去求助
来源期刊
自引率
0.00%
发文量
0
×
引用
GB/T 7714-2015
复制
MLA
复制
APA
复制
导出至
BibTeX EndNote RefMan NoteFirst NoteExpress
×
提示
您的信息不完整,为了账户安全,请先补充。
现在去补充
×
提示
您因"违规操作"
具体请查看互助需知
我知道了
×
提示
确定
请完成安全验证×
copy
已复制链接
快去分享给好友吧!
我知道了
右上角分享
点击右上角分享
0
联系我们:info@booksci.cn Book学术提供免费学术资源搜索服务,方便国内外学者检索中英文文献。致力于提供最便捷和优质的服务体验。 Copyright © 2023 布克学术 All rights reserved.
京ICP备2023020795号-1
ghs 京公网安备 11010802042870号
Book学术文献互助
Book学术文献互助群
群 号:604180095
Book学术官方微信