肺脓肿的罕见病因:肺叶内支气管肺隔离1例。

IF 1 Q4 Medicine
Journal of Chest Surgery Pub Date : 2025-05-05 Epub Date: 2025-04-15 DOI:10.5090/jcs.25.004
Matthew O'Brien, Max Edward Ireland, Nick Hollings, Osama Elzain
{"title":"肺脓肿的罕见病因:肺叶内支气管肺隔离1例。","authors":"Matthew O'Brien, Max Edward Ireland, Nick Hollings, Osama Elzain","doi":"10.5090/jcs.25.004","DOIUrl":null,"url":null,"abstract":"<p><p>A patient in her early 20s presented with a cough and elevated inflammatory markers. A chest radiograph revealed an abnormal opacity in the right lower zone. Subsequent computed tomography showed an abscess in the right lower lobe that was fed by an anomalous vessel arising from the aorta. These findings were consistent with intralobar sequestration complicated by abscess formation. The patient was treated with antibiotics and discharged home, with plans for elective embolization and lobectomy under the care of the cardiothoracic surgeons. A literature review revealed a limited body of work on pulmonary sequestrations, with very few reported cases involving similar presentations. Thus, our case represents a rare and important addition to the literature.</p>","PeriodicalId":34499,"journal":{"name":"Journal of Chest Surgery","volume":"58 3","pages":"114-117"},"PeriodicalIF":1.0000,"publicationDate":"2025-05-05","publicationTypes":"Journal Article","fieldsOfStudy":null,"isOpenAccess":false,"openAccessPdf":"https://www.ncbi.nlm.nih.gov/pmc/articles/PMC12066396/pdf/","citationCount":"0","resultStr":"{\"title\":\"A Case of an Uncommon Cause of Pulmonary Abscess: Intralobar Bronchopulmonary Sequestration.\",\"authors\":\"Matthew O'Brien, Max Edward Ireland, Nick Hollings, Osama Elzain\",\"doi\":\"10.5090/jcs.25.004\",\"DOIUrl\":null,\"url\":null,\"abstract\":\"<p><p>A patient in her early 20s presented with a cough and elevated inflammatory markers. A chest radiograph revealed an abnormal opacity in the right lower zone. Subsequent computed tomography showed an abscess in the right lower lobe that was fed by an anomalous vessel arising from the aorta. These findings were consistent with intralobar sequestration complicated by abscess formation. The patient was treated with antibiotics and discharged home, with plans for elective embolization and lobectomy under the care of the cardiothoracic surgeons. A literature review revealed a limited body of work on pulmonary sequestrations, with very few reported cases involving similar presentations. Thus, our case represents a rare and important addition to the literature.</p>\",\"PeriodicalId\":34499,\"journal\":{\"name\":\"Journal of Chest Surgery\",\"volume\":\"58 3\",\"pages\":\"114-117\"},\"PeriodicalIF\":1.0000,\"publicationDate\":\"2025-05-05\",\"publicationTypes\":\"Journal Article\",\"fieldsOfStudy\":null,\"isOpenAccess\":false,\"openAccessPdf\":\"https://www.ncbi.nlm.nih.gov/pmc/articles/PMC12066396/pdf/\",\"citationCount\":\"0\",\"resultStr\":null,\"platform\":\"Semanticscholar\",\"paperid\":null,\"PeriodicalName\":\"Journal of Chest Surgery\",\"FirstCategoryId\":\"1085\",\"ListUrlMain\":\"https://doi.org/10.5090/jcs.25.004\",\"RegionNum\":0,\"RegionCategory\":null,\"ArticlePicture\":[],\"TitleCN\":null,\"AbstractTextCN\":null,\"PMCID\":null,\"EPubDate\":\"2025/4/15 0:00:00\",\"PubModel\":\"Epub\",\"JCR\":\"Q4\",\"JCRName\":\"Medicine\",\"Score\":null,\"Total\":0}","platform":"Semanticscholar","paperid":null,"PeriodicalName":"Journal of Chest Surgery","FirstCategoryId":"1085","ListUrlMain":"https://doi.org/10.5090/jcs.25.004","RegionNum":0,"RegionCategory":null,"ArticlePicture":[],"TitleCN":null,"AbstractTextCN":null,"PMCID":null,"EPubDate":"2025/4/15 0:00:00","PubModel":"Epub","JCR":"Q4","JCRName":"Medicine","Score":null,"Total":0}
引用次数: 0

摘要

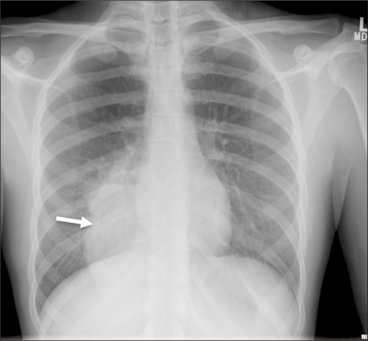
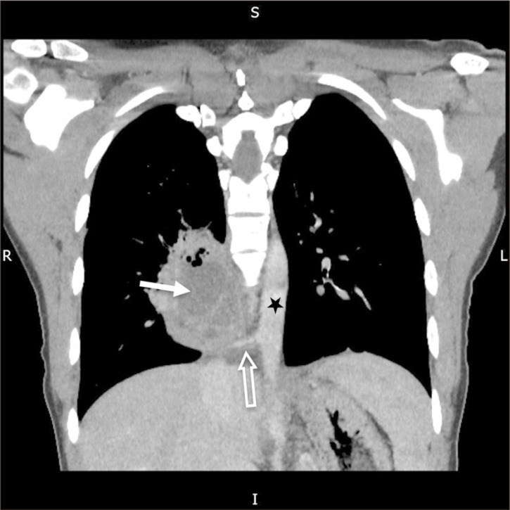
一位20岁出头的患者表现为咳嗽和炎症标志物升高。胸片显示右下区异常混浊。随后的计算机断层扫描显示右下叶脓肿,由主动脉产生的异常血管供血。这些发现与肺泡内隔离合并脓肿形成一致。患者接受抗生素治疗后出院,并计划在心胸外科医生的护理下进行选择性栓塞和肺叶切除术。一项文献综述显示,关于肺隔离的工作有限,很少有涉及类似表现的病例报告。因此,我们的病例是文献中罕见而重要的补充。
本文章由计算机程序翻译,如有差异,请以英文原文为准。

A Case of an Uncommon Cause of Pulmonary Abscess: Intralobar Bronchopulmonary Sequestration.

A Case of an Uncommon Cause of Pulmonary Abscess: Intralobar Bronchopulmonary Sequestration.

A Case of an Uncommon Cause of Pulmonary Abscess: Intralobar Bronchopulmonary Sequestration.

A Case of an Uncommon Cause of Pulmonary Abscess: Intralobar Bronchopulmonary Sequestration.

A patient in her early 20s presented with a cough and elevated inflammatory markers. A chest radiograph revealed an abnormal opacity in the right lower zone. Subsequent computed tomography showed an abscess in the right lower lobe that was fed by an anomalous vessel arising from the aorta. These findings were consistent with intralobar sequestration complicated by abscess formation. The patient was treated with antibiotics and discharged home, with plans for elective embolization and lobectomy under the care of the cardiothoracic surgeons. A literature review revealed a limited body of work on pulmonary sequestrations, with very few reported cases involving similar presentations. Thus, our case represents a rare and important addition to the literature.

求助全文
通过发布文献求助,成功后即可免费获取论文全文。 去求助
来源期刊
Journal of Chest Surgery
Journal of Chest Surgery Medicine-Surgery
CiteScore
0.80
自引率
0.00%
发文量
76
审稿时长
7 weeks
×
引用
GB/T 7714-2015
复制
MLA
复制
APA
复制
导出至
BibTeX EndNote RefMan NoteFirst NoteExpress
×
提示
您的信息不完整,为了账户安全,请先补充。
现在去补充
×
提示
您因"违规操作"
具体请查看互助需知
我知道了
×
提示
确定
请完成安全验证×
copy
已复制链接
快去分享给好友吧!
我知道了
右上角分享
点击右上角分享
0
联系我们:info@booksci.cn Book学术提供免费学术资源搜索服务,方便国内外学者检索中英文文献。致力于提供最便捷和优质的服务体验。 Copyright © 2023 布克学术 All rights reserved.
京ICP备2023020795号-1
ghs 京公网安备 11010802042870号
Book学术文献互助
Book学术文献互助群
群 号:604180095
Book学术官方微信