是否有肺气肿?婴儿肺囊性病变病例报告。

IF 1.3 4区 医学 Q3 PATHOLOGY
Pediatric and Developmental Pathology Pub Date : 2025-09-01 Epub Date: 2025-05-12 DOI:10.1177/10935266251338562
Florence Birru, Anne Hicks, Jake Mandziuk, Ioana Bratu
{"title":"是否有肺气肿?婴儿肺囊性病变病例报告。","authors":"Florence Birru, Anne Hicks, Jake Mandziuk, Ioana Bratu","doi":"10.1177/10935266251338562","DOIUrl":null,"url":null,"abstract":"<p><p>Pulmonary cystic lesions in infants are uncommon and can present diagnostic challenges due to overlapping radiologic features with other cystic lung conditions. We present 2 cases of left lung cystic lesions in infants. Initial high-resolution computed tomography (HRCT) suggested differential diagnoses, including pneumatocele, type I congenital pulmonary airway malformation (CPAM), or a solitary cystic lymphangioma. Definitive diagnosis was achieved through histopathological examination after left lower lobectomy and resection of the lesion. These cases highlight the challenges in accurately diagnosing pulmonary cystic lesions, given the limitations of imaging alone.</p>","PeriodicalId":54634,"journal":{"name":"Pediatric and Developmental Pathology","volume":" ","pages":"400-405"},"PeriodicalIF":1.3000,"publicationDate":"2025-09-01","publicationTypes":"Journal Article","fieldsOfStudy":null,"isOpenAccess":false,"openAccessPdf":"https://www.ncbi.nlm.nih.gov/pmc/articles/PMC12426324/pdf/","citationCount":"0","resultStr":"{\"title\":\"Pneumatoceles or Not? Case Reports on Pulmonary Cystic Lesions in Infants.\",\"authors\":\"Florence Birru, Anne Hicks, Jake Mandziuk, Ioana Bratu\",\"doi\":\"10.1177/10935266251338562\",\"DOIUrl\":null,\"url\":null,\"abstract\":\"<p><p>Pulmonary cystic lesions in infants are uncommon and can present diagnostic challenges due to overlapping radiologic features with other cystic lung conditions. We present 2 cases of left lung cystic lesions in infants. Initial high-resolution computed tomography (HRCT) suggested differential diagnoses, including pneumatocele, type I congenital pulmonary airway malformation (CPAM), or a solitary cystic lymphangioma. Definitive diagnosis was achieved through histopathological examination after left lower lobectomy and resection of the lesion. These cases highlight the challenges in accurately diagnosing pulmonary cystic lesions, given the limitations of imaging alone.</p>\",\"PeriodicalId\":54634,\"journal\":{\"name\":\"Pediatric and Developmental Pathology\",\"volume\":\" \",\"pages\":\"400-405\"},\"PeriodicalIF\":1.3000,\"publicationDate\":\"2025-09-01\",\"publicationTypes\":\"Journal Article\",\"fieldsOfStudy\":null,\"isOpenAccess\":false,\"openAccessPdf\":\"https://www.ncbi.nlm.nih.gov/pmc/articles/PMC12426324/pdf/\",\"citationCount\":\"0\",\"resultStr\":null,\"platform\":\"Semanticscholar\",\"paperid\":null,\"PeriodicalName\":\"Pediatric and Developmental Pathology\",\"FirstCategoryId\":\"3\",\"ListUrlMain\":\"https://doi.org/10.1177/10935266251338562\",\"RegionNum\":4,\"RegionCategory\":\"医学\",\"ArticlePicture\":[],\"TitleCN\":null,\"AbstractTextCN\":null,\"PMCID\":null,\"EPubDate\":\"2025/5/12 0:00:00\",\"PubModel\":\"Epub\",\"JCR\":\"Q3\",\"JCRName\":\"PATHOLOGY\",\"Score\":null,\"Total\":0}","platform":"Semanticscholar","paperid":null,"PeriodicalName":"Pediatric and Developmental Pathology","FirstCategoryId":"3","ListUrlMain":"https://doi.org/10.1177/10935266251338562","RegionNum":4,"RegionCategory":"医学","ArticlePicture":[],"TitleCN":null,"AbstractTextCN":null,"PMCID":null,"EPubDate":"2025/5/12 0:00:00","PubModel":"Epub","JCR":"Q3","JCRName":"PATHOLOGY","Score":null,"Total":0}
引用次数: 0

摘要

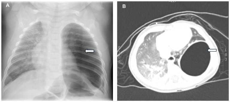
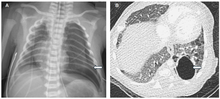
肺囊性病变在婴儿中并不常见,并且由于与其他囊性肺疾病的放射学特征重叠,可能会给诊断带来挑战。我们报告2例婴儿左肺囊性病变。最初的高分辨率计算机断层扫描(HRCT)提示鉴别诊断,包括气膨出、I型先天性肺气道畸形(CPAM)或孤立性囊性淋巴管瘤。通过左下叶切除术和病变切除后的组织病理学检查获得明确诊断。这些病例强调了准确诊断肺囊性病变的挑战,因为单独成像的局限性。
本文章由计算机程序翻译,如有差异,请以英文原文为准。

Pneumatoceles or Not? Case Reports on Pulmonary Cystic Lesions in Infants.

Pneumatoceles or Not? Case Reports on Pulmonary Cystic Lesions in Infants.

Pneumatoceles or Not? Case Reports on Pulmonary Cystic Lesions in Infants.

Pneumatoceles or Not? Case Reports on Pulmonary Cystic Lesions in Infants.

Pulmonary cystic lesions in infants are uncommon and can present diagnostic challenges due to overlapping radiologic features with other cystic lung conditions. We present 2 cases of left lung cystic lesions in infants. Initial high-resolution computed tomography (HRCT) suggested differential diagnoses, including pneumatocele, type I congenital pulmonary airway malformation (CPAM), or a solitary cystic lymphangioma. Definitive diagnosis was achieved through histopathological examination after left lower lobectomy and resection of the lesion. These cases highlight the challenges in accurately diagnosing pulmonary cystic lesions, given the limitations of imaging alone.

求助全文
通过发布文献求助,成功后即可免费获取论文全文。 去求助
来源期刊
CiteScore
3.70
自引率
5.30%
发文量
59
审稿时长
6-12 weeks
期刊介绍: The Journal covers the spectrum of disorders of early development (including embryology, placentology, and teratology), gestational and perinatal diseases, and all diseases of childhood. Studies may be in any field of experimental, anatomic, or clinical pathology, including molecular pathology. Case reports are published only if they provide new insights into disease mechanisms or new information.
×
引用
GB/T 7714-2015
复制
MLA
复制
APA
复制
导出至
BibTeX EndNote RefMan NoteFirst NoteExpress
×
提示
您的信息不完整,为了账户安全,请先补充。
现在去补充
×
提示
您因"违规操作"
具体请查看互助需知
我知道了
×
提示
确定
请完成安全验证×
copy
已复制链接
快去分享给好友吧!
我知道了
右上角分享
点击右上角分享
0
联系我们:info@booksci.cn Book学术提供免费学术资源搜索服务,方便国内外学者检索中英文文献。致力于提供最便捷和优质的服务体验。 Copyright © 2023 布克学术 All rights reserved.
京ICP备2023020795号-1
ghs 京公网安备 11010802042870号
Book学术文献互助
Book学术文献互助群
群 号:604180095
Book学术官方微信