头颈部鳞状细胞癌术后(化疗)放疗后空间与剂量联合复发模式分析。

IF 3.3 2区 医学 Q2 ONCOLOGY
Philipp Schröter, Hoi Hin Lau, Florian Stritzke, Henrik Franke, Katharina Weusthof, Sebastian Regnery, Lukas Bauer, Maximilian Deng, Katharina Dvornikovich, Anna Hofmann, Lars Wessel, Karl Semmelmayer, Julius Moratin, Oliver Ristow, Jürgen Hoffmann, Peter Plinkert, Gerhard Dyckhoff, Jürgen Debus, Thomas Held
{"title":"头颈部鳞状细胞癌术后(化疗)放疗后空间与剂量联合复发模式分析。","authors":"Philipp Schröter, Hoi Hin Lau, Florian Stritzke, Henrik Franke, Katharina Weusthof, Sebastian Regnery, Lukas Bauer, Maximilian Deng, Katharina Dvornikovich, Anna Hofmann, Lars Wessel, Karl Semmelmayer, Julius Moratin, Oliver Ristow, Jürgen Hoffmann, Peter Plinkert, Gerhard Dyckhoff, Jürgen Debus, Thomas Held","doi":"10.1186/s13014-025-02641-8","DOIUrl":null,"url":null,"abstract":"<p><strong>Background: </strong>Advancements in nodal staging for head and neck squamous cell carcinoma (HNSCC) have prompted radiotherapy de-escalation trials to reduce irradiation of electively treated neck regions, with the goal of improving treatment tolerability. While volumetric de-escalation has shown promise in definitive radiotherapy of HNSCC, limited data exist regarding its safety in the postoperative treatment setting. This study aimed to assess dose-level-specific locoregional recurrence patterns following standard postoperative (chemo)radiotherapy in a mixed HNSCC cohort to inform risk-adaptive radiotherapy strategies.</p><p><strong>Materials and methods: </strong>We retrospectively reviewed 203 HNSCC patients (75% HPV-negative, 25% HPV-positive) treated with curative intent postoperative (chemo)radiotherapy from 2017 to 2021. Recurrence imaging was co-registered with planning CT, and recurrent tumor volumes were dosimetrically compared to the target volume dose and spatially analyzed using a center-of-mass-based approach. We classified five recurrence types: A (central high-dose), B (peripheral high-dose), C (central intermediate- or low-dose), D (peripheral intermediate- or low-dose), and E (extraneous dose).</p><p><strong>Results: </strong>With a median follow-up of 39.7 months, the three-year local, regional, and distant control of HPV-negative HNSCC were 84%, 87%, and 87%, respectively. Of 56 recurrences, 17 were local, 13 regional, 3 locoregional, 9 combined local/regional with concomitant distant failure, and 14 distant only. Of 40 analyzed recurrences, we identified 47.5% as type A/B, 5% as type C/D intermediate-dose, and 20% as type E, half of which were secondary cancers. Among the 27.5% (11/40) type C/D low-dose recurrences in the elective target volume, 15% (6/40) were true nodal failures, resulting in an overall elective neck failure rate of 3% (6/203).</p><p><strong>Conclusion: </strong>The predominance of high-dose recurrences suggests that biological tumor resistance is a key driver of treatment failure, highlighting the necessity to refine postoperative risk stratification and integrate tumor biology into dose escalation decisions. The low incidence of isolated nodal recurrences in electively treated neck regions supports the feasibility of volumetric de-escalation of postoperative radiotherapy. This approach might not only be feasible for HPV-associated oropharyngeal cancers but also for HPV-negative tumors, provided that accurate nodal staging has been conducted.</p>","PeriodicalId":49639,"journal":{"name":"Radiation Oncology","volume":"20 1","pages":"63"},"PeriodicalIF":3.3000,"publicationDate":"2025-04-23","publicationTypes":"Journal Article","fieldsOfStudy":null,"isOpenAccess":false,"openAccessPdf":"https://www.ncbi.nlm.nih.gov/pmc/articles/PMC12020044/pdf/","citationCount":"0","resultStr":"{\"title\":\"Combined Spatial and Dosimetric Recurrence Pattern Analysis in Head and Neck Squamous Cell Carcinoma Following Postoperative (Chemo)radiotherapy.\",\"authors\":\"Philipp Schröter, Hoi Hin Lau, Florian Stritzke, Henrik Franke, Katharina Weusthof, Sebastian Regnery, Lukas Bauer, Maximilian Deng, Katharina Dvornikovich, Anna Hofmann, Lars Wessel, Karl Semmelmayer, Julius Moratin, Oliver Ristow, Jürgen Hoffmann, Peter Plinkert, Gerhard Dyckhoff, Jürgen Debus, Thomas Held\",\"doi\":\"10.1186/s13014-025-02641-8\",\"DOIUrl\":null,\"url\":null,\"abstract\":\"<p><strong>Background: </strong>Advancements in nodal staging for head and neck squamous cell carcinoma (HNSCC) have prompted radiotherapy de-escalation trials to reduce irradiation of electively treated neck regions, with the goal of improving treatment tolerability. While volumetric de-escalation has shown promise in definitive radiotherapy of HNSCC, limited data exist regarding its safety in the postoperative treatment setting. This study aimed to assess dose-level-specific locoregional recurrence patterns following standard postoperative (chemo)radiotherapy in a mixed HNSCC cohort to inform risk-adaptive radiotherapy strategies.</p><p><strong>Materials and methods: </strong>We retrospectively reviewed 203 HNSCC patients (75% HPV-negative, 25% HPV-positive) treated with curative intent postoperative (chemo)radiotherapy from 2017 to 2021. Recurrence imaging was co-registered with planning CT, and recurrent tumor volumes were dosimetrically compared to the target volume dose and spatially analyzed using a center-of-mass-based approach. We classified five recurrence types: A (central high-dose), B (peripheral high-dose), C (central intermediate- or low-dose), D (peripheral intermediate- or low-dose), and E (extraneous dose).</p><p><strong>Results: </strong>With a median follow-up of 39.7 months, the three-year local, regional, and distant control of HPV-negative HNSCC were 84%, 87%, and 87%, respectively. Of 56 recurrences, 17 were local, 13 regional, 3 locoregional, 9 combined local/regional with concomitant distant failure, and 14 distant only. Of 40 analyzed recurrences, we identified 47.5% as type A/B, 5% as type C/D intermediate-dose, and 20% as type E, half of which were secondary cancers. Among the 27.5% (11/40) type C/D low-dose recurrences in the elective target volume, 15% (6/40) were true nodal failures, resulting in an overall elective neck failure rate of 3% (6/203).</p><p><strong>Conclusion: </strong>The predominance of high-dose recurrences suggests that biological tumor resistance is a key driver of treatment failure, highlighting the necessity to refine postoperative risk stratification and integrate tumor biology into dose escalation decisions. The low incidence of isolated nodal recurrences in electively treated neck regions supports the feasibility of volumetric de-escalation of postoperative radiotherapy. This approach might not only be feasible for HPV-associated oropharyngeal cancers but also for HPV-negative tumors, provided that accurate nodal staging has been conducted.</p>\",\"PeriodicalId\":49639,\"journal\":{\"name\":\"Radiation Oncology\",\"volume\":\"20 1\",\"pages\":\"63\"},\"PeriodicalIF\":3.3000,\"publicationDate\":\"2025-04-23\",\"publicationTypes\":\"Journal Article\",\"fieldsOfStudy\":null,\"isOpenAccess\":false,\"openAccessPdf\":\"https://www.ncbi.nlm.nih.gov/pmc/articles/PMC12020044/pdf/\",\"citationCount\":\"0\",\"resultStr\":null,\"platform\":\"Semanticscholar\",\"paperid\":null,\"PeriodicalName\":\"Radiation Oncology\",\"FirstCategoryId\":\"3\",\"ListUrlMain\":\"https://doi.org/10.1186/s13014-025-02641-8\",\"RegionNum\":2,\"RegionCategory\":\"医学\",\"ArticlePicture\":[],\"TitleCN\":null,\"AbstractTextCN\":null,\"PMCID\":null,\"EPubDate\":\"\",\"PubModel\":\"\",\"JCR\":\"Q2\",\"JCRName\":\"ONCOLOGY\",\"Score\":null,\"Total\":0}","platform":"Semanticscholar","paperid":null,"PeriodicalName":"Radiation Oncology","FirstCategoryId":"3","ListUrlMain":"https://doi.org/10.1186/s13014-025-02641-8","RegionNum":2,"RegionCategory":"医学","ArticlePicture":[],"TitleCN":null,"AbstractTextCN":null,"PMCID":null,"EPubDate":"","PubModel":"","JCR":"Q2","JCRName":"ONCOLOGY","Score":null,"Total":0}
引用次数: 0

摘要

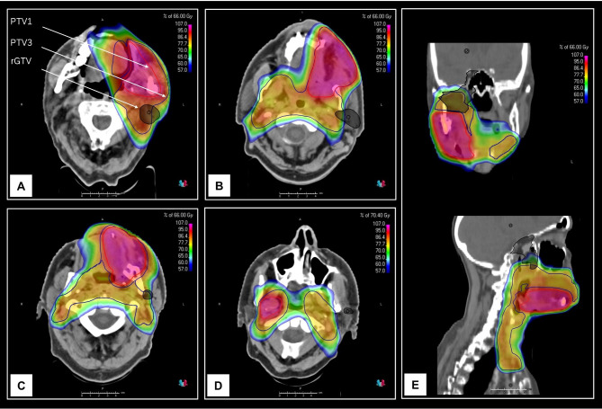
背景:头颈部鳞状细胞癌(HNSCC)淋巴结分期的进展促使放疗降级试验,以减少选择性治疗颈部区域的照射,目的是提高治疗耐受性。虽然体积降级法在HNSCC的最终放疗中显示出希望,但关于其在术后治疗环境中的安全性的数据有限。本研究旨在评估混合HNSCC患者标准术后(化疗)放疗后的剂量水平特异性局部区域复发模式,为风险适应性放疗策略提供信息。材料和方法:我们回顾性分析了2017年至2021年接受治疗意图术后(化疗)放疗的203例HNSCC患者(75% hpv阴性,25% hpv阳性)。复发成像与计划CT共同登记,复发肿瘤体积与靶体积剂量进行剂量学比较,并使用基于质量中心的方法进行空间分析。我们将复发分为五种类型:A(中心高剂量)、B(外周高剂量)、C(中心中或低剂量)、D(外周中或低剂量)和E(外周剂量)。结果:中位随访时间为39.7个月,hpv阴性HNSCC的3年局部、区域和远程控制率分别为84%、87%和87%。在56例复发中,17例为局部,13例为局部,3例为局部,9例为局部/局部合并远处失败,14例仅为远处失败。在40例分析的复发病例中,我们确定47.5%为A/B型,5%为C/D型中剂量,20%为E型,其中一半为继发性癌症。在27.5%(11/40)的选择性靶区C/D型低剂量复发中,15%(6/40)为真正的淋巴结失败,导致整体选择性颈部失败率为3%(6/203)。结论:高剂量复发的优势表明,肿瘤生物耐药是治疗失败的关键驱动因素,强调了完善术后风险分层和将肿瘤生物学纳入剂量递增决策的必要性。选择性治疗颈部区域孤立性淋巴结复发的低发生率支持了术后放疗体积降级的可行性。这种方法可能不仅适用于hpv相关的口咽癌,而且也适用于hpv阴性肿瘤,前提是已经进行了准确的淋巴结分期。
本文章由计算机程序翻译,如有差异,请以英文原文为准。

Combined Spatial and Dosimetric Recurrence Pattern Analysis in Head and Neck Squamous Cell Carcinoma Following Postoperative (Chemo)radiotherapy.

Combined Spatial and Dosimetric Recurrence Pattern Analysis in Head and Neck Squamous Cell Carcinoma Following Postoperative (Chemo)radiotherapy.

Combined Spatial and Dosimetric Recurrence Pattern Analysis in Head and Neck Squamous Cell Carcinoma Following Postoperative (Chemo)radiotherapy.

Combined Spatial and Dosimetric Recurrence Pattern Analysis in Head and Neck Squamous Cell Carcinoma Following Postoperative (Chemo)radiotherapy.

Background: Advancements in nodal staging for head and neck squamous cell carcinoma (HNSCC) have prompted radiotherapy de-escalation trials to reduce irradiation of electively treated neck regions, with the goal of improving treatment tolerability. While volumetric de-escalation has shown promise in definitive radiotherapy of HNSCC, limited data exist regarding its safety in the postoperative treatment setting. This study aimed to assess dose-level-specific locoregional recurrence patterns following standard postoperative (chemo)radiotherapy in a mixed HNSCC cohort to inform risk-adaptive radiotherapy strategies.

Materials and methods: We retrospectively reviewed 203 HNSCC patients (75% HPV-negative, 25% HPV-positive) treated with curative intent postoperative (chemo)radiotherapy from 2017 to 2021. Recurrence imaging was co-registered with planning CT, and recurrent tumor volumes were dosimetrically compared to the target volume dose and spatially analyzed using a center-of-mass-based approach. We classified five recurrence types: A (central high-dose), B (peripheral high-dose), C (central intermediate- or low-dose), D (peripheral intermediate- or low-dose), and E (extraneous dose).

Results: With a median follow-up of 39.7 months, the three-year local, regional, and distant control of HPV-negative HNSCC were 84%, 87%, and 87%, respectively. Of 56 recurrences, 17 were local, 13 regional, 3 locoregional, 9 combined local/regional with concomitant distant failure, and 14 distant only. Of 40 analyzed recurrences, we identified 47.5% as type A/B, 5% as type C/D intermediate-dose, and 20% as type E, half of which were secondary cancers. Among the 27.5% (11/40) type C/D low-dose recurrences in the elective target volume, 15% (6/40) were true nodal failures, resulting in an overall elective neck failure rate of 3% (6/203).

Conclusion: The predominance of high-dose recurrences suggests that biological tumor resistance is a key driver of treatment failure, highlighting the necessity to refine postoperative risk stratification and integrate tumor biology into dose escalation decisions. The low incidence of isolated nodal recurrences in electively treated neck regions supports the feasibility of volumetric de-escalation of postoperative radiotherapy. This approach might not only be feasible for HPV-associated oropharyngeal cancers but also for HPV-negative tumors, provided that accurate nodal staging has been conducted.

求助全文
通过发布文献求助,成功后即可免费获取论文全文。 去求助
来源期刊
Radiation Oncology
Radiation Oncology ONCOLOGY-RADIOLOGY, NUCLEAR MEDICINE & MEDICAL IMAGING
CiteScore
6.50
自引率
2.80%
发文量
181
审稿时长
3-6 weeks
期刊介绍: Radiation Oncology encompasses all aspects of research that impacts on the treatment of cancer using radiation. It publishes findings in molecular and cellular radiation biology, radiation physics, radiation technology, and clinical oncology.
×
引用
GB/T 7714-2015
复制
MLA
复制
APA
复制
导出至
BibTeX EndNote RefMan NoteFirst NoteExpress
×
提示
您的信息不完整,为了账户安全,请先补充。
现在去补充
×
提示
您因"违规操作"
具体请查看互助需知
我知道了
×
提示
确定
请完成安全验证×
copy
已复制链接
快去分享给好友吧!
我知道了
右上角分享
点击右上角分享
0
联系我们:info@booksci.cn Book学术提供免费学术资源搜索服务,方便国内外学者检索中英文文献。致力于提供最便捷和优质的服务体验。 Copyright © 2023 布克学术 All rights reserved.
京ICP备2023020795号-1
ghs 京公网安备 11010802042870号
Book学术文献互助
Book学术文献互助群
群 号:604180095
Book学术官方微信