omp34介导的鲍曼不动杆菌侵袭人宫颈癌上皮、HeLa细胞及抗omp34抗体的影响

IF 2.7 4区 医学 Q3 CELL BIOLOGY
Analytical Cellular Pathology Pub Date : 2025-04-10 eCollection Date: 2025-01-01 DOI:10.1155/ancp/1931119
Seyedeh Faezeh Hosseini, Mohammadreza Jalali Nadoushan, Zahra Fekrirad, Iraj Rasooli
{"title":"omp34介导的鲍曼不动杆菌侵袭人宫颈癌上皮、HeLa细胞及抗omp34抗体的影响","authors":"Seyedeh Faezeh Hosseini, Mohammadreza Jalali Nadoushan, Zahra Fekrirad, Iraj Rasooli","doi":"10.1155/ancp/1931119","DOIUrl":null,"url":null,"abstract":"<p><p><i>Acinetobacter baumannii</i> is known for its ability to invade and persist within eukaryotic cells, impacting infection outcomes and disease progression. This study investigates the role of Omp34, a key outer membrane protein (Omp), in <i>A. baumannii</i> interaction with epithelial cells and the protective effects of anti-Omp34 antibodies (Abs). Omp34 is a key regulator of <i>A. baumannii</i> epithelial cell invasion, influencing bacterial adherence, internalization, and intracellular proliferation. The presence of anti-Omp34 Abs mitigates <i>A. baumannii</i>-induced cellular damage and enhances bacterial clearance. The process involved the expression and purification of Omp34, which in turn induced Abs in BALB/c mice against Omp34. The acute toxicity of Omp34 was studied through a histological analysis conducted on six distinct organs in mice. HeLa cells were infected by <i>A. baumannii</i> ATCC 19606 and a clinical strain. Various aspects of <i>A. baumannii</i> behavior with HeLa cells, including HeLa cell viability, adherence, serum resistance, cell internalization, and intracellular proliferation with and without anti-Omp34 sera. Cytoskeleton inhibitors were used to study the potential roles played in the process of <i>A. baumannii</i> invasion by microfilaments and microtubules. Omp34 effectively triggered Ab production in mice without resulting in any toxicity. The assay for serum resistance revealed potent bactericidal and antibiofilm effects on both <i>A. baumannii</i> strains. Bacterial internalization was constrained when actin polymerization was inhibited. Examination under the microscope revealed instances of adherence, alterations in the cell membrane, apoptosis, vacuolization, and cell damage. HeLa cells exposed to anti-Omp34 serum showed decreased cell damage. The results provide substantial evidence of the adherence capacity of <i>A. baumannii</i> to proliferate in the epithelial cells. In conclusion, Omp34 plays a substantial role in regulating interactions between epithelial cells and <i>A. baumannii</i>, the multifaceted nature of which intricately modifies the trajectory of infection within host cells by <i>A. baumannii</i>.</p>","PeriodicalId":49326,"journal":{"name":"Analytical Cellular Pathology","volume":"2025 ","pages":"1931119"},"PeriodicalIF":2.7000,"publicationDate":"2025-04-10","publicationTypes":"Journal Article","fieldsOfStudy":null,"isOpenAccess":false,"openAccessPdf":"https://www.ncbi.nlm.nih.gov/pmc/articles/PMC12006715/pdf/","citationCount":"0","resultStr":"{\"title\":\"Omp34-Mediated <i>Acinetobacter baumannii</i> Invasion of Human Cervical Carcinoma Epithelial, HeLa Cells, and the Influence of Anti-Omp34 Antibodies.\",\"authors\":\"Seyedeh Faezeh Hosseini, Mohammadreza Jalali Nadoushan, Zahra Fekrirad, Iraj Rasooli\",\"doi\":\"10.1155/ancp/1931119\",\"DOIUrl\":null,\"url\":null,\"abstract\":\"<p><p><i>Acinetobacter baumannii</i> is known for its ability to invade and persist within eukaryotic cells, impacting infection outcomes and disease progression. This study investigates the role of Omp34, a key outer membrane protein (Omp), in <i>A. baumannii</i> interaction with epithelial cells and the protective effects of anti-Omp34 antibodies (Abs). Omp34 is a key regulator of <i>A. baumannii</i> epithelial cell invasion, influencing bacterial adherence, internalization, and intracellular proliferation. The presence of anti-Omp34 Abs mitigates <i>A. baumannii</i>-induced cellular damage and enhances bacterial clearance. The process involved the expression and purification of Omp34, which in turn induced Abs in BALB/c mice against Omp34. The acute toxicity of Omp34 was studied through a histological analysis conducted on six distinct organs in mice. HeLa cells were infected by <i>A. baumannii</i> ATCC 19606 and a clinical strain. Various aspects of <i>A. baumannii</i> behavior with HeLa cells, including HeLa cell viability, adherence, serum resistance, cell internalization, and intracellular proliferation with and without anti-Omp34 sera. Cytoskeleton inhibitors were used to study the potential roles played in the process of <i>A. baumannii</i> invasion by microfilaments and microtubules. Omp34 effectively triggered Ab production in mice without resulting in any toxicity. The assay for serum resistance revealed potent bactericidal and antibiofilm effects on both <i>A. baumannii</i> strains. Bacterial internalization was constrained when actin polymerization was inhibited. Examination under the microscope revealed instances of adherence, alterations in the cell membrane, apoptosis, vacuolization, and cell damage. HeLa cells exposed to anti-Omp34 serum showed decreased cell damage. The results provide substantial evidence of the adherence capacity of <i>A. baumannii</i> to proliferate in the epithelial cells. In conclusion, Omp34 plays a substantial role in regulating interactions between epithelial cells and <i>A. baumannii</i>, the multifaceted nature of which intricately modifies the trajectory of infection within host cells by <i>A. baumannii</i>.</p>\",\"PeriodicalId\":49326,\"journal\":{\"name\":\"Analytical Cellular Pathology\",\"volume\":\"2025 \",\"pages\":\"1931119\"},\"PeriodicalIF\":2.7000,\"publicationDate\":\"2025-04-10\",\"publicationTypes\":\"Journal Article\",\"fieldsOfStudy\":null,\"isOpenAccess\":false,\"openAccessPdf\":\"https://www.ncbi.nlm.nih.gov/pmc/articles/PMC12006715/pdf/\",\"citationCount\":\"0\",\"resultStr\":null,\"platform\":\"Semanticscholar\",\"paperid\":null,\"PeriodicalName\":\"Analytical Cellular Pathology\",\"FirstCategoryId\":\"3\",\"ListUrlMain\":\"https://doi.org/10.1155/ancp/1931119\",\"RegionNum\":4,\"RegionCategory\":\"医学\",\"ArticlePicture\":[],\"TitleCN\":null,\"AbstractTextCN\":null,\"PMCID\":null,\"EPubDate\":\"2025/1/1 0:00:00\",\"PubModel\":\"eCollection\",\"JCR\":\"Q3\",\"JCRName\":\"CELL BIOLOGY\",\"Score\":null,\"Total\":0}","platform":"Semanticscholar","paperid":null,"PeriodicalName":"Analytical Cellular Pathology","FirstCategoryId":"3","ListUrlMain":"https://doi.org/10.1155/ancp/1931119","RegionNum":4,"RegionCategory":"医学","ArticlePicture":[],"TitleCN":null,"AbstractTextCN":null,"PMCID":null,"EPubDate":"2025/1/1 0:00:00","PubModel":"eCollection","JCR":"Q3","JCRName":"CELL BIOLOGY","Score":null,"Total":0}
引用次数: 0

摘要

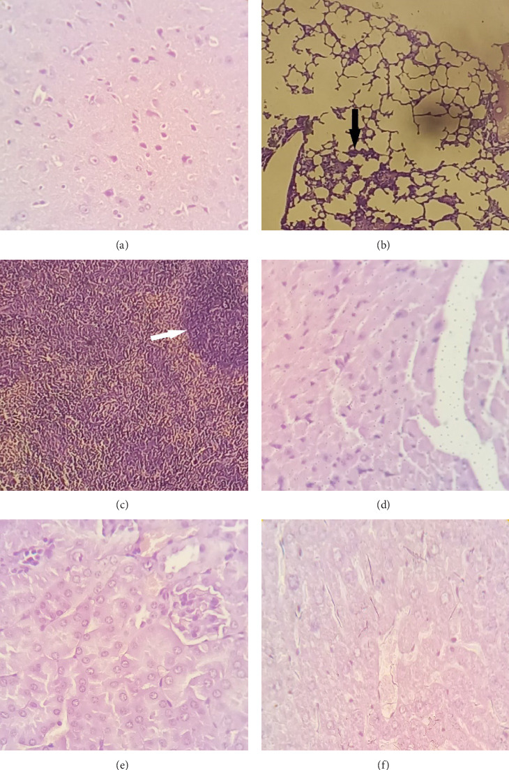
鲍曼不动杆菌以其入侵和持续存在真核细胞的能力而闻名,影响感染结果和疾病进展。本研究探讨了鲍曼不动杆菌关键外膜蛋白Omp34在与上皮细胞相互作用中的作用以及抗Omp34抗体(Abs)的保护作用。Omp34是鲍曼不动杆菌上皮细胞侵袭的关键调节因子,影响细菌粘附、内化和细胞内增殖。抗omp34抗体的存在减轻了鲍曼不动杆菌诱导的细胞损伤并增强了细菌清除。该过程涉及到Omp34的表达和纯化,进而在BALB/c小鼠中诱导针对Omp34的抗体。通过对小鼠六个不同器官的组织学分析,研究了Omp34的急性毒性。用鲍曼不动杆菌ATCC 19606和临床菌株感染HeLa细胞。鲍曼不动杆菌与HeLa细胞行为的各个方面,包括HeLa细胞活力、粘附性、血清抗性、细胞内化和细胞内增殖,有和没有抗omp34血清。利用细胞骨架抑制剂研究鲍曼不动杆菌微丝和微管入侵过程中可能发挥的作用。Omp34有效地触发了小鼠体内Ab的产生,而不产生任何毒性。血清耐药试验显示两株鲍曼不动杆菌均有较强的杀菌和抗生物膜作用。当肌动蛋白聚合被抑制时,细菌内化受到限制。显微镜下检查发现粘附、细胞膜改变、细胞凋亡、空泡化和细胞损伤。暴露于抗omp34血清的HeLa细胞显示细胞损伤减轻。结果为鲍曼不动杆菌在上皮细胞中增殖的粘附能力提供了充分的证据。综上所述,Omp34在调节上皮细胞与鲍曼不动杆菌之间的相互作用中发挥了重要作用,这种相互作用的多面性复杂地改变了鲍曼不动杆菌在宿主细胞内感染的轨迹。
本文章由计算机程序翻译,如有差异,请以英文原文为准。

Omp34-Mediated <i>Acinetobacter baumannii</i> Invasion of Human Cervical Carcinoma Epithelial, HeLa Cells, and the Influence of Anti-Omp34 Antibodies.

Omp34-Mediated <i>Acinetobacter baumannii</i> Invasion of Human Cervical Carcinoma Epithelial, HeLa Cells, and the Influence of Anti-Omp34 Antibodies.

Omp34-Mediated <i>Acinetobacter baumannii</i> Invasion of Human Cervical Carcinoma Epithelial, HeLa Cells, and the Influence of Anti-Omp34 Antibodies.

Omp34-Mediated Acinetobacter baumannii Invasion of Human Cervical Carcinoma Epithelial, HeLa Cells, and the Influence of Anti-Omp34 Antibodies.

Acinetobacter baumannii is known for its ability to invade and persist within eukaryotic cells, impacting infection outcomes and disease progression. This study investigates the role of Omp34, a key outer membrane protein (Omp), in A. baumannii interaction with epithelial cells and the protective effects of anti-Omp34 antibodies (Abs). Omp34 is a key regulator of A. baumannii epithelial cell invasion, influencing bacterial adherence, internalization, and intracellular proliferation. The presence of anti-Omp34 Abs mitigates A. baumannii-induced cellular damage and enhances bacterial clearance. The process involved the expression and purification of Omp34, which in turn induced Abs in BALB/c mice against Omp34. The acute toxicity of Omp34 was studied through a histological analysis conducted on six distinct organs in mice. HeLa cells were infected by A. baumannii ATCC 19606 and a clinical strain. Various aspects of A. baumannii behavior with HeLa cells, including HeLa cell viability, adherence, serum resistance, cell internalization, and intracellular proliferation with and without anti-Omp34 sera. Cytoskeleton inhibitors were used to study the potential roles played in the process of A. baumannii invasion by microfilaments and microtubules. Omp34 effectively triggered Ab production in mice without resulting in any toxicity. The assay for serum resistance revealed potent bactericidal and antibiofilm effects on both A. baumannii strains. Bacterial internalization was constrained when actin polymerization was inhibited. Examination under the microscope revealed instances of adherence, alterations in the cell membrane, apoptosis, vacuolization, and cell damage. HeLa cells exposed to anti-Omp34 serum showed decreased cell damage. The results provide substantial evidence of the adherence capacity of A. baumannii to proliferate in the epithelial cells. In conclusion, Omp34 plays a substantial role in regulating interactions between epithelial cells and A. baumannii, the multifaceted nature of which intricately modifies the trajectory of infection within host cells by A. baumannii.

求助全文
通过发布文献求助,成功后即可免费获取论文全文。 去求助
来源期刊
Analytical Cellular Pathology
Analytical Cellular Pathology ONCOLOGY-CELL BIOLOGY
CiteScore
4.90
自引率
3.10%
发文量
70
审稿时长
16 weeks
期刊介绍: Analytical Cellular Pathology is a peer-reviewed, Open Access journal that provides a forum for scientists, medical practitioners and pathologists working in the area of cellular pathology. The journal publishes original research articles, review articles, and clinical studies related to cytology, carcinogenesis, cell receptors, biomarkers, diagnostic pathology, immunopathology, and hematology.
×
引用
GB/T 7714-2015
复制
MLA
复制
APA
复制
导出至
BibTeX EndNote RefMan NoteFirst NoteExpress
×
提示
您的信息不完整,为了账户安全,请先补充。
现在去补充
×
提示
您因"违规操作"
具体请查看互助需知
我知道了
×
提示
确定
请完成安全验证×
copy
已复制链接
快去分享给好友吧!
我知道了
右上角分享
点击右上角分享
0
联系我们:info@booksci.cn Book学术提供免费学术资源搜索服务,方便国内外学者检索中英文文献。致力于提供最便捷和优质的服务体验。 Copyright © 2023 布克学术 All rights reserved.
京ICP备2023020795号-1
ghs 京公网安备 11010802042870号
Book学术文献互助
Book学术文献互助群
群 号:604180095
Book学术官方微信