移植后14年的同种异体肾脏完全内生肿瘤的部分肾切除术。

IF 0.9 Q3 UROLOGY & NEPHROLOGY
Indian Journal of Urology Pub Date : 2025-04-01 Epub Date: 2025-01-29 DOI:10.4103/iju.iju_135_24
Vivek Dadasaheb Patil, Prashanth Reddy Yensani, Vishnu Prasad, Mounish Nuthalapati, Shashank Agrawal, Arun Ramdas Menon, P Ginil Kumar
{"title":"移植后14年的同种异体肾脏完全内生肿瘤的部分肾切除术。","authors":"Vivek Dadasaheb Patil, Prashanth Reddy Yensani, Vishnu Prasad, Mounish Nuthalapati, Shashank Agrawal, Arun Ramdas Menon, P Ginil Kumar","doi":"10.4103/iju.iju_135_24","DOIUrl":null,"url":null,"abstract":"<p><p>We report our experience with nephron-sparing surgery for a completely endophytic small renal mass in an allograft kidney. A 37-year-old female, 14 years post live-related renal transplant for end-stage renal disease due to crescentic glomerulonephritis, presented with a 3.6 cm renal mass. She underwent open allograft partial nephrectomy and was discharged on the 5<sup>th</sup> postoperative day. Six months postsurgery, she showed excellent graft function with no tumor recurrence. Nephron-sparing surgery of the allograft kidney presents challenges regarding vascular anatomy, hilar, and parenchymal adhesions making the surgery difficult, but is feasible and oncologically safe for transplant recipients with tumors in the allograft kidney.</p>","PeriodicalId":47352,"journal":{"name":"Indian Journal of Urology","volume":"41 2","pages":"145-147"},"PeriodicalIF":0.9000,"publicationDate":"2025-04-01","publicationTypes":"Journal Article","fieldsOfStudy":null,"isOpenAccess":false,"openAccessPdf":"https://www.ncbi.nlm.nih.gov/pmc/articles/PMC12021362/pdf/","citationCount":"0","resultStr":"{\"title\":\"Partial nephrectomy for a completely endophytic tumor in an allograft kidney, 14 years after transplantation.\",\"authors\":\"Vivek Dadasaheb Patil, Prashanth Reddy Yensani, Vishnu Prasad, Mounish Nuthalapati, Shashank Agrawal, Arun Ramdas Menon, P Ginil Kumar\",\"doi\":\"10.4103/iju.iju_135_24\",\"DOIUrl\":null,\"url\":null,\"abstract\":\"<p><p>We report our experience with nephron-sparing surgery for a completely endophytic small renal mass in an allograft kidney. A 37-year-old female, 14 years post live-related renal transplant for end-stage renal disease due to crescentic glomerulonephritis, presented with a 3.6 cm renal mass. She underwent open allograft partial nephrectomy and was discharged on the 5<sup>th</sup> postoperative day. Six months postsurgery, she showed excellent graft function with no tumor recurrence. Nephron-sparing surgery of the allograft kidney presents challenges regarding vascular anatomy, hilar, and parenchymal adhesions making the surgery difficult, but is feasible and oncologically safe for transplant recipients with tumors in the allograft kidney.</p>\",\"PeriodicalId\":47352,\"journal\":{\"name\":\"Indian Journal of Urology\",\"volume\":\"41 2\",\"pages\":\"145-147\"},\"PeriodicalIF\":0.9000,\"publicationDate\":\"2025-04-01\",\"publicationTypes\":\"Journal Article\",\"fieldsOfStudy\":null,\"isOpenAccess\":false,\"openAccessPdf\":\"https://www.ncbi.nlm.nih.gov/pmc/articles/PMC12021362/pdf/\",\"citationCount\":\"0\",\"resultStr\":null,\"platform\":\"Semanticscholar\",\"paperid\":null,\"PeriodicalName\":\"Indian Journal of Urology\",\"FirstCategoryId\":\"1085\",\"ListUrlMain\":\"https://doi.org/10.4103/iju.iju_135_24\",\"RegionNum\":0,\"RegionCategory\":null,\"ArticlePicture\":[],\"TitleCN\":null,\"AbstractTextCN\":null,\"PMCID\":null,\"EPubDate\":\"2025/1/29 0:00:00\",\"PubModel\":\"Epub\",\"JCR\":\"Q3\",\"JCRName\":\"UROLOGY & NEPHROLOGY\",\"Score\":null,\"Total\":0}","platform":"Semanticscholar","paperid":null,"PeriodicalName":"Indian Journal of Urology","FirstCategoryId":"1085","ListUrlMain":"https://doi.org/10.4103/iju.iju_135_24","RegionNum":0,"RegionCategory":null,"ArticlePicture":[],"TitleCN":null,"AbstractTextCN":null,"PMCID":null,"EPubDate":"2025/1/29 0:00:00","PubModel":"Epub","JCR":"Q3","JCRName":"UROLOGY & NEPHROLOGY","Score":null,"Total":0}
引用次数: 0

摘要

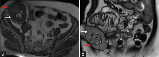
我们报告了我们在同种异体移植肾中完全内生的小肾肿块的保留肾脏手术的经验。37岁女性,因月牙状肾小球肾炎终末期肾病接受活体肾移植术后14年,表现为3.6 cm肾肿块。患者行开放性同种异体肾部分切除术,术后第5天出院。术后6个月移植物功能良好,肿瘤无复发。同种异体移植肾保留肾单位的手术在血管解剖、肾门和实质粘连方面存在挑战,使手术困难,但对于移植肾中有肿瘤的移植受体是可行的,并且在肿瘤上是安全的。
本文章由计算机程序翻译,如有差异,请以英文原文为准。

Partial nephrectomy for a completely endophytic tumor in an allograft kidney, 14 years after transplantation.

Partial nephrectomy for a completely endophytic tumor in an allograft kidney, 14 years after transplantation.

Partial nephrectomy for a completely endophytic tumor in an allograft kidney, 14 years after transplantation.

We report our experience with nephron-sparing surgery for a completely endophytic small renal mass in an allograft kidney. A 37-year-old female, 14 years post live-related renal transplant for end-stage renal disease due to crescentic glomerulonephritis, presented with a 3.6 cm renal mass. She underwent open allograft partial nephrectomy and was discharged on the 5th postoperative day. Six months postsurgery, she showed excellent graft function with no tumor recurrence. Nephron-sparing surgery of the allograft kidney presents challenges regarding vascular anatomy, hilar, and parenchymal adhesions making the surgery difficult, but is feasible and oncologically safe for transplant recipients with tumors in the allograft kidney.

求助全文
通过发布文献求助,成功后即可免费获取论文全文。 去求助
来源期刊
Indian Journal of Urology
Indian Journal of Urology UROLOGY & NEPHROLOGY-
CiteScore
1.90
自引率
0.00%
发文量
62
审稿时长
33 weeks
期刊介绍: Indian Journal of Urology-IJU (ISSN 0970-1591) is official publication of the Urological Society of India. The journal is published Quarterly. Bibliographic listings: The journal is indexed with Abstracts on Hygiene and Communicable Diseases, CAB Abstracts, Caspur, DOAJ, EBSCO Publishing’s Electronic Databases, Excerpta Medica / EMBASE, Expanded Academic ASAP, Genamics JournalSeek, Global Health, Google Scholar, Health & Wellness Research Center, Health Reference Center Academic, Hinari, Index Copernicus, IndMed, OpenJGate, PubMed, Pubmed Central, Scimago Journal Ranking, SCOLOAR, SCOPUS, SIIC databases, SNEMB, Tropical Diseases Bulletin, Ulrich’s International Periodical Directory
×
引用
GB/T 7714-2015
复制
MLA
复制
APA
复制
导出至
BibTeX EndNote RefMan NoteFirst NoteExpress
×
提示
您的信息不完整,为了账户安全,请先补充。
现在去补充
×
提示
您因"违规操作"
具体请查看互助需知
我知道了
×
提示
确定
请完成安全验证×
copy
已复制链接
快去分享给好友吧!
我知道了
右上角分享
点击右上角分享
0
联系我们:info@booksci.cn Book学术提供免费学术资源搜索服务,方便国内外学者检索中英文文献。致力于提供最便捷和优质的服务体验。 Copyright © 2023 布克学术 All rights reserved.
京ICP备2023020795号-1
ghs 京公网安备 11010802042870号
Book学术文献互助
Book学术文献互助群
群 号:604180095
Book学术官方微信