梭形上皮肿瘤伴胸腺样元素(SETTLE):术前使用细针穿刺细胞学诊断一例手术病例。

IF 0.7 Q4 ENDOCRINOLOGY & METABOLISM
Fumiaki Kawano, Teru Chiyotanda, Kazuhiko Nakame, Satoru Meiri, Tsuyoshi Fukushima, Kousei Shirahama, Yuichiro Sato, Hideki Yamaguchi, Makoto Ikenoue, Shun Munakata, Kazuhiro Higuchi, Shinsuke Takeno, Atsushi Nanashima
{"title":"梭形上皮肿瘤伴胸腺样元素(SETTLE):术前使用细针穿刺细胞学诊断一例手术病例。","authors":"Fumiaki Kawano, Teru Chiyotanda, Kazuhiko Nakame, Satoru Meiri, Tsuyoshi Fukushima, Kousei Shirahama, Yuichiro Sato, Hideki Yamaguchi, Makoto Ikenoue, Shun Munakata, Kazuhiro Higuchi, Shinsuke Takeno, Atsushi Nanashima","doi":"10.1530/EDM-25-0014","DOIUrl":null,"url":null,"abstract":"<p><strong>Summary: </strong>Spindle epithelial tumor with thymic-like elements (SETTLE) is an extremely rare tumor that occurs primarily in the thyroid gland. Histologically, SETTLE is characterized by the presence of spindle-shaped epithelial cells and glandular structures. However, it is known that diagnosis via fine-needle aspiration cytology can be challenging. SETTLE predominantly occurs in younger individuals and has a less favorable prognosis compared to differentiated thyroid carcinoma. Therefore, ensuring accurate diagnosis and appropriate treatment is crucial. We encountered a case of spindle epithelial tumor with thymus-like differentiation in a 10-year-old patient for whom the preoperative diagnosis was successfully established through fine-needle aspiration cytology, which facilitated appropriate surgical resection. Comprehensive histopathological examination and immunohistochemical analysis are essential to ensure appropriate management and surveillance of SETTLE.</p><p><strong>Learning points: </strong>A rare thyroid tumor, spindle epithelial tumor with thymic-like elements (SETTLE), was diagnosed preoperatively and treated surgically. SETTLE presents with characteristic histological features that must be recognized for accurate diagnosis. In addition, diagnosis through cytology is often challenging. The primary treatment for SETTLE is surgical intervention as radiotherapy and pharmacological treatments are generally not expected to be highly effective. Radical resection is the only effective treatment, making the selection of the surgical procedure according to the stage of the disease essential.</p>","PeriodicalId":37467,"journal":{"name":"Endocrinology, Diabetes and Metabolism Case Reports","volume":"2025 2","pages":""},"PeriodicalIF":0.7000,"publicationDate":"2025-05-14","publicationTypes":"Journal Article","fieldsOfStudy":null,"isOpenAccess":false,"openAccessPdf":"https://www.ncbi.nlm.nih.gov/pmc/articles/PMC12085082/pdf/","citationCount":"0","resultStr":"{\"title\":\"Spindle epithelial tumor with thymus-like elements (SETTLE): a surgical case diagnosed preoperatively using fine-needle aspiration cytology.\",\"authors\":\"Fumiaki Kawano, Teru Chiyotanda, Kazuhiko Nakame, Satoru Meiri, Tsuyoshi Fukushima, Kousei Shirahama, Yuichiro Sato, Hideki Yamaguchi, Makoto Ikenoue, Shun Munakata, Kazuhiro Higuchi, Shinsuke Takeno, Atsushi Nanashima\",\"doi\":\"10.1530/EDM-25-0014\",\"DOIUrl\":null,\"url\":null,\"abstract\":\"<p><strong>Summary: </strong>Spindle epithelial tumor with thymic-like elements (SETTLE) is an extremely rare tumor that occurs primarily in the thyroid gland. Histologically, SETTLE is characterized by the presence of spindle-shaped epithelial cells and glandular structures. However, it is known that diagnosis via fine-needle aspiration cytology can be challenging. SETTLE predominantly occurs in younger individuals and has a less favorable prognosis compared to differentiated thyroid carcinoma. Therefore, ensuring accurate diagnosis and appropriate treatment is crucial. We encountered a case of spindle epithelial tumor with thymus-like differentiation in a 10-year-old patient for whom the preoperative diagnosis was successfully established through fine-needle aspiration cytology, which facilitated appropriate surgical resection. Comprehensive histopathological examination and immunohistochemical analysis are essential to ensure appropriate management and surveillance of SETTLE.</p><p><strong>Learning points: </strong>A rare thyroid tumor, spindle epithelial tumor with thymic-like elements (SETTLE), was diagnosed preoperatively and treated surgically. SETTLE presents with characteristic histological features that must be recognized for accurate diagnosis. In addition, diagnosis through cytology is often challenging. The primary treatment for SETTLE is surgical intervention as radiotherapy and pharmacological treatments are generally not expected to be highly effective. Radical resection is the only effective treatment, making the selection of the surgical procedure according to the stage of the disease essential.</p>\",\"PeriodicalId\":37467,\"journal\":{\"name\":\"Endocrinology, Diabetes and Metabolism Case Reports\",\"volume\":\"2025 2\",\"pages\":\"\"},\"PeriodicalIF\":0.7000,\"publicationDate\":\"2025-05-14\",\"publicationTypes\":\"Journal Article\",\"fieldsOfStudy\":null,\"isOpenAccess\":false,\"openAccessPdf\":\"https://www.ncbi.nlm.nih.gov/pmc/articles/PMC12085082/pdf/\",\"citationCount\":\"0\",\"resultStr\":null,\"platform\":\"Semanticscholar\",\"paperid\":null,\"PeriodicalName\":\"Endocrinology, Diabetes and Metabolism Case Reports\",\"FirstCategoryId\":\"1085\",\"ListUrlMain\":\"https://doi.org/10.1530/EDM-25-0014\",\"RegionNum\":0,\"RegionCategory\":null,\"ArticlePicture\":[],\"TitleCN\":null,\"AbstractTextCN\":null,\"PMCID\":null,\"EPubDate\":\"2025/4/1 0:00:00\",\"PubModel\":\"Print\",\"JCR\":\"Q4\",\"JCRName\":\"ENDOCRINOLOGY & METABOLISM\",\"Score\":null,\"Total\":0}","platform":"Semanticscholar","paperid":null,"PeriodicalName":"Endocrinology, Diabetes and Metabolism Case Reports","FirstCategoryId":"1085","ListUrlMain":"https://doi.org/10.1530/EDM-25-0014","RegionNum":0,"RegionCategory":null,"ArticlePicture":[],"TitleCN":null,"AbstractTextCN":null,"PMCID":null,"EPubDate":"2025/4/1 0:00:00","PubModel":"Print","JCR":"Q4","JCRName":"ENDOCRINOLOGY & METABOLISM","Score":null,"Total":0}
引用次数: 0

摘要

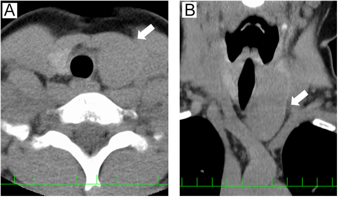
摘要:梭形上皮肿瘤伴胸腺样元素(SETTLE)是一种极其罕见的肿瘤,主要发生在甲状腺。组织学上,SETTLE以梭形上皮细胞和腺状结构的存在为特征。然而,众所周知,通过细针穿刺细胞学诊断可能具有挑战性。SETTLE主要发生在年轻人中,与分化型甲状腺癌相比,预后较差。因此,确保准确诊断和适当治疗至关重要。我们遇到一个10岁的梭形上皮肿瘤,胸腺样分化,术前通过细针穿刺细胞学成功诊断,这有利于适当的手术切除。全面的组织病理学检查和免疫组织化学分析是必要的,以确保适当的管理和监测安顿。学习要点:一个罕见的甲状腺肿瘤,梭形上皮肿瘤伴胸腺样元素(SETTLE),术前诊断并手术治疗。SETTLE表现出特征性的组织学特征,必须加以识别才能准确诊断。此外,通过细胞学诊断通常具有挑战性。由于放射治疗和药物治疗通常不太有效,因此对安顿安顿的主要治疗是手术干预。根治性切除是唯一有效的治疗方法,因此根据疾病的分期选择手术方式至关重要。
本文章由计算机程序翻译,如有差异,请以英文原文为准。

Spindle epithelial tumor with thymus-like elements (SETTLE): a surgical case diagnosed preoperatively using fine-needle aspiration cytology.

Spindle epithelial tumor with thymus-like elements (SETTLE): a surgical case diagnosed preoperatively using fine-needle aspiration cytology.

Spindle epithelial tumor with thymus-like elements (SETTLE): a surgical case diagnosed preoperatively using fine-needle aspiration cytology.

Spindle epithelial tumor with thymus-like elements (SETTLE): a surgical case diagnosed preoperatively using fine-needle aspiration cytology.

Summary: Spindle epithelial tumor with thymic-like elements (SETTLE) is an extremely rare tumor that occurs primarily in the thyroid gland. Histologically, SETTLE is characterized by the presence of spindle-shaped epithelial cells and glandular structures. However, it is known that diagnosis via fine-needle aspiration cytology can be challenging. SETTLE predominantly occurs in younger individuals and has a less favorable prognosis compared to differentiated thyroid carcinoma. Therefore, ensuring accurate diagnosis and appropriate treatment is crucial. We encountered a case of spindle epithelial tumor with thymus-like differentiation in a 10-year-old patient for whom the preoperative diagnosis was successfully established through fine-needle aspiration cytology, which facilitated appropriate surgical resection. Comprehensive histopathological examination and immunohistochemical analysis are essential to ensure appropriate management and surveillance of SETTLE.

Learning points: A rare thyroid tumor, spindle epithelial tumor with thymic-like elements (SETTLE), was diagnosed preoperatively and treated surgically. SETTLE presents with characteristic histological features that must be recognized for accurate diagnosis. In addition, diagnosis through cytology is often challenging. The primary treatment for SETTLE is surgical intervention as radiotherapy and pharmacological treatments are generally not expected to be highly effective. Radical resection is the only effective treatment, making the selection of the surgical procedure according to the stage of the disease essential.

求助全文
通过发布文献求助,成功后即可免费获取论文全文。 去求助
来源期刊
CiteScore
1.50
自引率
0.00%
发文量
142
审稿时长
9 weeks
期刊介绍: Endocrinology, Diabetes & Metabolism Case Reports publishes case reports on common and rare conditions in all areas of clinical endocrinology, diabetes and metabolism. Articles should include clear learning points which readers can use to inform medical education or clinical practice. The types of cases of interest to Endocrinology, Diabetes & Metabolism Case Reports include: -Insight into disease pathogenesis or mechanism of therapy - Novel diagnostic procedure - Novel treatment - Unique/unexpected symptoms or presentations of a disease - New disease or syndrome: presentations/diagnosis/management - Unusual effects of medical treatment - Error in diagnosis/pitfalls and caveats
×
引用
GB/T 7714-2015
复制
MLA
复制
APA
复制
导出至
BibTeX EndNote RefMan NoteFirst NoteExpress
×
提示
您的信息不完整,为了账户安全,请先补充。
现在去补充
×
提示
您因"违规操作"
具体请查看互助需知
我知道了
×
提示
确定
请完成安全验证×
copy
已复制链接
快去分享给好友吧!
我知道了
右上角分享
点击右上角分享
0
联系我们:info@booksci.cn Book学术提供免费学术资源搜索服务,方便国内外学者检索中英文文献。致力于提供最便捷和优质的服务体验。 Copyright © 2023 布克学术 All rights reserved.
京ICP备2023020795号-1
ghs 京公网安备 11010802042870号
Book学术文献互助
Book学术文献互助群
群 号:604180095
Book学术官方微信