一例10岁男童空肠重复,表现为全身性水肿及腹胀。

Q3 Medicine
European journal of case reports in internal medicine Pub Date : 2025-04-28 eCollection Date: 2025-01-01 DOI:10.12890/2025_005423
Thitima Ngoenmak, Chaiyaporn Virochsangaroon, Krittaporn Phruksarudee, Napat Vimtrimate, Pattawarin Wata
{"title":"一例10岁男童空肠重复,表现为全身性水肿及腹胀。","authors":"Thitima Ngoenmak, Chaiyaporn Virochsangaroon, Krittaporn Phruksarudee, Napat Vimtrimate, Pattawarin Wata","doi":"10.12890/2025_005423","DOIUrl":null,"url":null,"abstract":"<p><strong>Background: </strong>Gastrointestinal tract duplications are rare congenital anomalies, with the jejunum being the second most common site after the ileum. These duplications can vary in size, location, and presence of ectopic mucosa, significantly impacting clinical presentation and often requiring surgical intervention.</p><p><strong>Case presentation: </strong>A 10-year-old Thai boy with haemoglobin (Hb) E trait and iron deficiency anaemia presented with significant oedema and abdominal distention. Laboratory investigations revealed isolated hypoalbuminemia. Imaging studies, including computed tomography (CT) scan, demonstrated a large, loculated, rim-enhancing air-fluid collection adjacent to the jejunum, along with mild dilatation and wall thickening of the affected jejunal loop. The patient underwent exploratory laparotomy, which included jejunal resection and jejunojejunal end-to-end anastomosis.</p><p><strong>Conclusion: </strong>Jejunal duplications are uncommon in children and can present diagnostic challenges, potentially leading to serious complications. This case underscores the importance of considering jejunal duplication in paediatric patients with unexplained abdominal distention and protein-losing enteropathy. Early recognition and timely surgical management are crucial to prevent severe complications and improve patient outcomes.</p><p><strong>Learning points: </strong>Jejunal duplications are rare congenital malformations, which can cause a range of symptoms, including bilious vomiting, abdominal pain, and obstruction.Our patient presented with iron deficiency anaemia, generalized oedema, including swelling of both legs, scrotum, and abdominal distension.The diagnosis was made by computed tomography scan.</p>","PeriodicalId":11908,"journal":{"name":"European journal of case reports in internal medicine","volume":"12 5","pages":"005423"},"PeriodicalIF":0.0000,"publicationDate":"2025-04-28","publicationTypes":"Journal Article","fieldsOfStudy":null,"isOpenAccess":false,"openAccessPdf":"https://www.ncbi.nlm.nih.gov/pmc/articles/PMC12061199/pdf/","citationCount":"0","resultStr":"{\"title\":\"Jejunal Duplication in a 10-Year-Old Boy Presenting with Generalized Oedema and Abdominal Distension.\",\"authors\":\"Thitima Ngoenmak, Chaiyaporn Virochsangaroon, Krittaporn Phruksarudee, Napat Vimtrimate, Pattawarin Wata\",\"doi\":\"10.12890/2025_005423\",\"DOIUrl\":null,\"url\":null,\"abstract\":\"<p><strong>Background: </strong>Gastrointestinal tract duplications are rare congenital anomalies, with the jejunum being the second most common site after the ileum. These duplications can vary in size, location, and presence of ectopic mucosa, significantly impacting clinical presentation and often requiring surgical intervention.</p><p><strong>Case presentation: </strong>A 10-year-old Thai boy with haemoglobin (Hb) E trait and iron deficiency anaemia presented with significant oedema and abdominal distention. Laboratory investigations revealed isolated hypoalbuminemia. Imaging studies, including computed tomography (CT) scan, demonstrated a large, loculated, rim-enhancing air-fluid collection adjacent to the jejunum, along with mild dilatation and wall thickening of the affected jejunal loop. The patient underwent exploratory laparotomy, which included jejunal resection and jejunojejunal end-to-end anastomosis.</p><p><strong>Conclusion: </strong>Jejunal duplications are uncommon in children and can present diagnostic challenges, potentially leading to serious complications. This case underscores the importance of considering jejunal duplication in paediatric patients with unexplained abdominal distention and protein-losing enteropathy. Early recognition and timely surgical management are crucial to prevent severe complications and improve patient outcomes.</p><p><strong>Learning points: </strong>Jejunal duplications are rare congenital malformations, which can cause a range of symptoms, including bilious vomiting, abdominal pain, and obstruction.Our patient presented with iron deficiency anaemia, generalized oedema, including swelling of both legs, scrotum, and abdominal distension.The diagnosis was made by computed tomography scan.</p>\",\"PeriodicalId\":11908,\"journal\":{\"name\":\"European journal of case reports in internal medicine\",\"volume\":\"12 5\",\"pages\":\"005423\"},\"PeriodicalIF\":0.0000,\"publicationDate\":\"2025-04-28\",\"publicationTypes\":\"Journal Article\",\"fieldsOfStudy\":null,\"isOpenAccess\":false,\"openAccessPdf\":\"https://www.ncbi.nlm.nih.gov/pmc/articles/PMC12061199/pdf/\",\"citationCount\":\"0\",\"resultStr\":null,\"platform\":\"Semanticscholar\",\"paperid\":null,\"PeriodicalName\":\"European journal of case reports in internal medicine\",\"FirstCategoryId\":\"1085\",\"ListUrlMain\":\"https://doi.org/10.12890/2025_005423\",\"RegionNum\":0,\"RegionCategory\":null,\"ArticlePicture\":[],\"TitleCN\":null,\"AbstractTextCN\":null,\"PMCID\":null,\"EPubDate\":\"2025/1/1 0:00:00\",\"PubModel\":\"eCollection\",\"JCR\":\"Q3\",\"JCRName\":\"Medicine\",\"Score\":null,\"Total\":0}","platform":"Semanticscholar","paperid":null,"PeriodicalName":"European journal of case reports in internal medicine","FirstCategoryId":"1085","ListUrlMain":"https://doi.org/10.12890/2025_005423","RegionNum":0,"RegionCategory":null,"ArticlePicture":[],"TitleCN":null,"AbstractTextCN":null,"PMCID":null,"EPubDate":"2025/1/1 0:00:00","PubModel":"eCollection","JCR":"Q3","JCRName":"Medicine","Score":null,"Total":0}
引用次数: 0

摘要

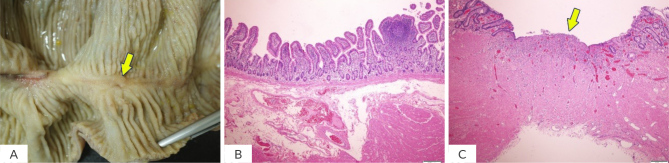
背景:胃肠道重复是一种罕见的先天性异常,其中空肠是仅次于回肠的第二常见部位。这些重复可能在大小,位置和异位粘膜的存在上有所不同,显著影响临床表现,通常需要手术干预。病例介绍:一名10岁的泰国男孩,患有血红蛋白(Hb) E特征和缺铁性贫血,表现为明显的水肿和腹胀。实验室调查显示孤立性低白蛋白血症。影像学检查,包括计算机断层扫描(CT),显示空肠附近有一个大的、定位的、边缘增强的空气-液体集合,并伴有受影响的空肠袢轻度扩张和壁增厚。患者行开腹探查术,包括空肠切除术和空肠端对端吻合。结论:空肠重复在儿童中并不常见,并且可能给诊断带来挑战,可能导致严重的并发症。本病例强调了考虑空肠重复的重要性,在儿科患者不明原因的腹胀和蛋白质丢失肠病。早期识别和及时手术治疗对于预防严重并发症和改善患者预后至关重要。学习要点:空肠重复是一种罕见的先天性畸形,可引起一系列症状,包括胆汁性呕吐、腹痛和梗阻。我们的病人表现为缺铁性贫血,全身性水肿,包括双腿、阴囊肿胀和腹胀。通过计算机断层扫描诊断。
本文章由计算机程序翻译,如有差异,请以英文原文为准。

Jejunal Duplication in a 10-Year-Old Boy Presenting with Generalized Oedema and Abdominal Distension.

Jejunal Duplication in a 10-Year-Old Boy Presenting with Generalized Oedema and Abdominal Distension.

Jejunal Duplication in a 10-Year-Old Boy Presenting with Generalized Oedema and Abdominal Distension.

Jejunal Duplication in a 10-Year-Old Boy Presenting with Generalized Oedema and Abdominal Distension.

Background: Gastrointestinal tract duplications are rare congenital anomalies, with the jejunum being the second most common site after the ileum. These duplications can vary in size, location, and presence of ectopic mucosa, significantly impacting clinical presentation and often requiring surgical intervention.

Case presentation: A 10-year-old Thai boy with haemoglobin (Hb) E trait and iron deficiency anaemia presented with significant oedema and abdominal distention. Laboratory investigations revealed isolated hypoalbuminemia. Imaging studies, including computed tomography (CT) scan, demonstrated a large, loculated, rim-enhancing air-fluid collection adjacent to the jejunum, along with mild dilatation and wall thickening of the affected jejunal loop. The patient underwent exploratory laparotomy, which included jejunal resection and jejunojejunal end-to-end anastomosis.

Conclusion: Jejunal duplications are uncommon in children and can present diagnostic challenges, potentially leading to serious complications. This case underscores the importance of considering jejunal duplication in paediatric patients with unexplained abdominal distention and protein-losing enteropathy. Early recognition and timely surgical management are crucial to prevent severe complications and improve patient outcomes.

Learning points: Jejunal duplications are rare congenital malformations, which can cause a range of symptoms, including bilious vomiting, abdominal pain, and obstruction.Our patient presented with iron deficiency anaemia, generalized oedema, including swelling of both legs, scrotum, and abdominal distension.The diagnosis was made by computed tomography scan.

求助全文
通过发布文献求助,成功后即可免费获取论文全文。 去求助
来源期刊
CiteScore
2.10
自引率
0.00%
发文量
166
审稿时长
8 weeks
期刊介绍: The European Journal of Case Reports in Internal Medicine is an official journal of the European Federation of Internal Medicine (EFIM), representing 35 national societies from 33 European countries. The Journal''s mission is to promote the best medical practice and innovation in the field of acute and general medicine. It also provides a forum for internal medicine doctors where they can share new approaches with the aim of improving diagnostic and clinical skills in this field. EJCRIM welcomes high-quality case reports describing unusual or complex cases that an internist may encounter in everyday practice. The cases should either demonstrate the appropriateness of a diagnostic/therapeutic approach, describe a new procedure or maneuver, or show unusual manifestations of a disease or unexpected reactions. The Journal only accepts and publishes those case reports whose learning points provide new insight and/or contribute to advancing medical knowledge both in terms of diagnostics and therapeutic approaches. Case reports of medical errors, therefore, are also welcome as long as they provide innovative measures on how to prevent them in the current practice (Instructive Errors). The Journal may also consider brief and reasoned reports on issues relevant to the practice of Internal Medicine, as well as Abstracts submitted to the scientific meetings of acknowledged medical societies.
×
引用
GB/T 7714-2015
复制
MLA
复制
APA
复制
导出至
BibTeX EndNote RefMan NoteFirst NoteExpress
×
提示
您的信息不完整,为了账户安全,请先补充。
现在去补充
×
提示
您因"违规操作"
具体请查看互助需知
我知道了
×
提示
确定
请完成安全验证×
copy
已复制链接
快去分享给好友吧!
我知道了
右上角分享
点击右上角分享
0
联系我们:info@booksci.cn Book学术提供免费学术资源搜索服务,方便国内外学者检索中英文文献。致力于提供最便捷和优质的服务体验。 Copyright © 2023 布克学术 All rights reserved.
京ICP备2023020795号-1
ghs 京公网安备 11010802042870号
Book学术文献互助
Book学术文献互助群
群 号:604180095
Book学术官方微信