乳腺叶状肿瘤亚型拷贝数变异的比较研究。

IF 1.9 Q3 ONCOLOGY
Breast Cancer : Basic and Clinical Research Pub Date : 2025-04-12 eCollection Date: 2025-01-01 DOI:10.1177/11782234251329209
Yuqiong Liu, Min Zhang, Huifen Huang, Huayan Ren, Huixiang Li, Chenran Wang
{"title":"乳腺叶状肿瘤亚型拷贝数变异的比较研究。","authors":"Yuqiong Liu, Min Zhang, Huifen Huang, Huayan Ren, Huixiang Li, Chenran Wang","doi":"10.1177/11782234251329209","DOIUrl":null,"url":null,"abstract":"<p><strong>Background: </strong>Breast phyllodes tumor (PT) is a biphasic tumor and constitutes about 0.3% to 1% of all breast tumors. The PT is histologically classified as benign, borderline, and malignant subtypes. Unlike epithelial breast cancers, PT is derived from breast fibroepithelial tissues, and the genomic information of PT subtypes is still limited.</p><p><strong>Objectives: </strong>The objectives were to gain a deeper understanding of genomic changes in the progression of PTs from benign and borderline to malignant.</p><p><strong>Design: </strong>In this study, we used an Affymetrix OncoScan Array to analyze the genome-wide copy number variations (CNVs) and nucleotide point mutations from 3 benign PTs, 3 borderline PTs, and 3 malignant PTs collected from the First Affiliated Hospital of Zhengzhou University.</p><p><strong>Methods: </strong>DNA was extracted from formalin-fixed paraffin-embedded (FFPE) specimens using the TIANamp FFPE DNA Kit. The DNA was profiled for genome-wide CNV using the Affymetrix OncoScan Array and analyzed using the Nexus Express Chromosome Analysis Suite.</p><p><strong>Results: </strong>Our in silico variation analysis indicated copy number loss in Xp11.22 to q22.1 of all benign PTs (χ<sup>2</sup> = 9, <i>P</i> = .0027) and 22q11.23 and Xq23 in all malignant PTs (χ<sup>2</sup> = 12, <i>P</i> = .0005). A copy number gain was observed in 1p13.3 of all borderline PTs (χ<sup>2</sup> = 9, <i>P</i> = .0027) and 7p11.2 of all malignant PTs (χ<sup>2</sup> = 9, <i>P</i> = .0027). We also found consistent loss of heterozygosity (LOH) in 32 loci of benign PTs, 32 loci of borderline PTs, and 23 loci of malignant PTs. Among the 87 LOH, there were 15 overlapping loci across all PT subtypes. We observed missense mutations of <i>NRAS</i>, <i>KRAS</i>, <i>IDH2</i>, <i>TP53</i>, and a frameshift deletion in <i>PTEN</i> of sequenced PT samples, irrespective of their subtype. Interestingly, a point mutation in <i>EGFR/EGFR-AS1</i> was only observed in malignant PTs.</p><p><strong>Conclusions: </strong>Our data suggested that CNV at 7p11.2, 22q11.23, and Xq23 together with a point mutation in <i>EGFR</i>/<i>EGFR-AS1</i> uniquely presented in malignant PTs may correlate with the progression of PTs.</p>","PeriodicalId":9163,"journal":{"name":"Breast Cancer : Basic and Clinical Research","volume":"19 ","pages":"11782234251329209"},"PeriodicalIF":1.9000,"publicationDate":"2025-04-12","publicationTypes":"Journal Article","fieldsOfStudy":null,"isOpenAccess":false,"openAccessPdf":"https://www.ncbi.nlm.nih.gov/pmc/articles/PMC12033413/pdf/","citationCount":"0","resultStr":"{\"title\":\"A Comparative Study on Copy Number Variation in Subtypes of Breast Phyllodes Tumors.\",\"authors\":\"Yuqiong Liu, Min Zhang, Huifen Huang, Huayan Ren, Huixiang Li, Chenran Wang\",\"doi\":\"10.1177/11782234251329209\",\"DOIUrl\":null,\"url\":null,\"abstract\":\"<p><strong>Background: </strong>Breast phyllodes tumor (PT) is a biphasic tumor and constitutes about 0.3% to 1% of all breast tumors. The PT is histologically classified as benign, borderline, and malignant subtypes. Unlike epithelial breast cancers, PT is derived from breast fibroepithelial tissues, and the genomic information of PT subtypes is still limited.</p><p><strong>Objectives: </strong>The objectives were to gain a deeper understanding of genomic changes in the progression of PTs from benign and borderline to malignant.</p><p><strong>Design: </strong>In this study, we used an Affymetrix OncoScan Array to analyze the genome-wide copy number variations (CNVs) and nucleotide point mutations from 3 benign PTs, 3 borderline PTs, and 3 malignant PTs collected from the First Affiliated Hospital of Zhengzhou University.</p><p><strong>Methods: </strong>DNA was extracted from formalin-fixed paraffin-embedded (FFPE) specimens using the TIANamp FFPE DNA Kit. The DNA was profiled for genome-wide CNV using the Affymetrix OncoScan Array and analyzed using the Nexus Express Chromosome Analysis Suite.</p><p><strong>Results: </strong>Our in silico variation analysis indicated copy number loss in Xp11.22 to q22.1 of all benign PTs (χ<sup>2</sup> = 9, <i>P</i> = .0027) and 22q11.23 and Xq23 in all malignant PTs (χ<sup>2</sup> = 12, <i>P</i> = .0005). A copy number gain was observed in 1p13.3 of all borderline PTs (χ<sup>2</sup> = 9, <i>P</i> = .0027) and 7p11.2 of all malignant PTs (χ<sup>2</sup> = 9, <i>P</i> = .0027). We also found consistent loss of heterozygosity (LOH) in 32 loci of benign PTs, 32 loci of borderline PTs, and 23 loci of malignant PTs. Among the 87 LOH, there were 15 overlapping loci across all PT subtypes. We observed missense mutations of <i>NRAS</i>, <i>KRAS</i>, <i>IDH2</i>, <i>TP53</i>, and a frameshift deletion in <i>PTEN</i> of sequenced PT samples, irrespective of their subtype. Interestingly, a point mutation in <i>EGFR/EGFR-AS1</i> was only observed in malignant PTs.</p><p><strong>Conclusions: </strong>Our data suggested that CNV at 7p11.2, 22q11.23, and Xq23 together with a point mutation in <i>EGFR</i>/<i>EGFR-AS1</i> uniquely presented in malignant PTs may correlate with the progression of PTs.</p>\",\"PeriodicalId\":9163,\"journal\":{\"name\":\"Breast Cancer : Basic and Clinical Research\",\"volume\":\"19 \",\"pages\":\"11782234251329209\"},\"PeriodicalIF\":1.9000,\"publicationDate\":\"2025-04-12\",\"publicationTypes\":\"Journal Article\",\"fieldsOfStudy\":null,\"isOpenAccess\":false,\"openAccessPdf\":\"https://www.ncbi.nlm.nih.gov/pmc/articles/PMC12033413/pdf/\",\"citationCount\":\"0\",\"resultStr\":null,\"platform\":\"Semanticscholar\",\"paperid\":null,\"PeriodicalName\":\"Breast Cancer : Basic and Clinical Research\",\"FirstCategoryId\":\"1085\",\"ListUrlMain\":\"https://doi.org/10.1177/11782234251329209\",\"RegionNum\":0,\"RegionCategory\":null,\"ArticlePicture\":[],\"TitleCN\":null,\"AbstractTextCN\":null,\"PMCID\":null,\"EPubDate\":\"2025/1/1 0:00:00\",\"PubModel\":\"eCollection\",\"JCR\":\"Q3\",\"JCRName\":\"ONCOLOGY\",\"Score\":null,\"Total\":0}","platform":"Semanticscholar","paperid":null,"PeriodicalName":"Breast Cancer : Basic and Clinical Research","FirstCategoryId":"1085","ListUrlMain":"https://doi.org/10.1177/11782234251329209","RegionNum":0,"RegionCategory":null,"ArticlePicture":[],"TitleCN":null,"AbstractTextCN":null,"PMCID":null,"EPubDate":"2025/1/1 0:00:00","PubModel":"eCollection","JCR":"Q3","JCRName":"ONCOLOGY","Score":null,"Total":0}
引用次数: 0

摘要

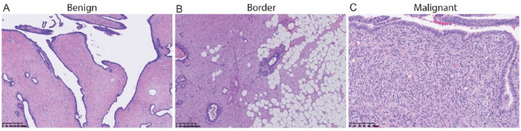
背景:乳腺叶状瘤(PT)是一种双期肿瘤,约占乳腺肿瘤的0.3% ~ 1%。PT在组织学上分为良性、交界性和恶性三种亚型。与上皮性乳腺癌不同,PT来源于乳腺纤维上皮组织,PT亚型的基因组信息仍然有限。目的:目的是更深入地了解从良性和交界性到恶性的PTs进展的基因组变化。设计:本研究采用Affymetrix OncoScan阵列对郑州大学第一附属医院3例良性、交界性和恶性患者的全基因组拷贝数变异(CNVs)和核苷酸点突变进行分析。方法:采用TIANamp FFPE DNA试剂盒从福尔马林固定石蜡包埋(FFPE)标本中提取DNA。使用Affymetrix OncoScan阵列对DNA进行全基因组CNV分析,并使用Nexus Express染色体分析套件进行分析。结果:我们的计算机变异分析显示,所有良性PTs中Xp11.22至q22.1的拷贝数缺失(χ2 = 9, P = 0.0027),所有恶性PTs中22q11.23和Xq23的拷贝数缺失(χ2 = 12, P = 0.005)。所有交界性PTs的拷贝数增加1p13.3 (χ2 = 9, P = 0.0027),所有恶性PTs的拷贝数增加7p11.2 (χ2 = 9, P = 0.0027)。我们还发现32个良性PTs位点、32个交界性PTs位点和23个恶性PTs位点的杂合性缺失(LOH)一致。在87个LOH中,所有PT亚型中有15个重叠位点。我们在测序的PT样本中观察到NRAS、KRAS、IDH2、TP53的错义突变和PTEN的移码缺失,无论其亚型如何。有趣的是,EGFR/EGFR- as1的点突变仅在恶性PTs中观察到。结论:我们的数据表明,7p11.2、22q11.23和Xq23位点的CNV与恶性PTs中独特的EGFR/EGFR- as1点突变可能与PTs的进展相关。
本文章由计算机程序翻译,如有差异,请以英文原文为准。

A Comparative Study on Copy Number Variation in Subtypes of Breast Phyllodes Tumors.

A Comparative Study on Copy Number Variation in Subtypes of Breast Phyllodes Tumors.

A Comparative Study on Copy Number Variation in Subtypes of Breast Phyllodes Tumors.

A Comparative Study on Copy Number Variation in Subtypes of Breast Phyllodes Tumors.

Background: Breast phyllodes tumor (PT) is a biphasic tumor and constitutes about 0.3% to 1% of all breast tumors. The PT is histologically classified as benign, borderline, and malignant subtypes. Unlike epithelial breast cancers, PT is derived from breast fibroepithelial tissues, and the genomic information of PT subtypes is still limited.

Objectives: The objectives were to gain a deeper understanding of genomic changes in the progression of PTs from benign and borderline to malignant.

Design: In this study, we used an Affymetrix OncoScan Array to analyze the genome-wide copy number variations (CNVs) and nucleotide point mutations from 3 benign PTs, 3 borderline PTs, and 3 malignant PTs collected from the First Affiliated Hospital of Zhengzhou University.

Methods: DNA was extracted from formalin-fixed paraffin-embedded (FFPE) specimens using the TIANamp FFPE DNA Kit. The DNA was profiled for genome-wide CNV using the Affymetrix OncoScan Array and analyzed using the Nexus Express Chromosome Analysis Suite.

Results: Our in silico variation analysis indicated copy number loss in Xp11.22 to q22.1 of all benign PTs (χ2 = 9, P = .0027) and 22q11.23 and Xq23 in all malignant PTs (χ2 = 12, P = .0005). A copy number gain was observed in 1p13.3 of all borderline PTs (χ2 = 9, P = .0027) and 7p11.2 of all malignant PTs (χ2 = 9, P = .0027). We also found consistent loss of heterozygosity (LOH) in 32 loci of benign PTs, 32 loci of borderline PTs, and 23 loci of malignant PTs. Among the 87 LOH, there were 15 overlapping loci across all PT subtypes. We observed missense mutations of NRAS, KRAS, IDH2, TP53, and a frameshift deletion in PTEN of sequenced PT samples, irrespective of their subtype. Interestingly, a point mutation in EGFR/EGFR-AS1 was only observed in malignant PTs.

Conclusions: Our data suggested that CNV at 7p11.2, 22q11.23, and Xq23 together with a point mutation in EGFR/EGFR-AS1 uniquely presented in malignant PTs may correlate with the progression of PTs.

求助全文
通过发布文献求助,成功后即可免费获取论文全文。 去求助
来源期刊
CiteScore
5.10
自引率
3.40%
发文量
22
审稿时长
8 weeks
期刊介绍: Breast Cancer: Basic and Clinical Research is an international, open access, peer-reviewed, journal which considers manuscripts on all areas of breast cancer research and treatment. We welcome original research, short notes, case studies and review articles related to breast cancer-related research. Specific areas of interest include, but are not limited to, breast cancer sub types, pathobiology, metastasis, genetics and epigenetics, mammary gland biology, breast cancer models, prevention, detection, therapy and clinical interventions, and epidemiology and population genetics.
×
引用
GB/T 7714-2015
复制
MLA
复制
APA
复制
导出至
BibTeX EndNote RefMan NoteFirst NoteExpress
×
提示
您的信息不完整,为了账户安全,请先补充。
现在去补充
×
提示
您因"违规操作"
具体请查看互助需知
我知道了
×
提示
确定
请完成安全验证×
copy
已复制链接
快去分享给好友吧!
我知道了
右上角分享
点击右上角分享
0
联系我们:info@booksci.cn Book学术提供免费学术资源搜索服务,方便国内外学者检索中英文文献。致力于提供最便捷和优质的服务体验。 Copyright © 2023 布克学术 All rights reserved.
京ICP备2023020795号-1
ghs 京公网安备 11010802042870号
Book学术文献互助
Book学术文献互助群
群 号:604180095
Book学术官方微信