促甲状腺激素分泌型垂体腺瘤:两例诊断与治疗的挑战。

IF 0.9 Q4 ENDOCRINOLOGY & METABOLISM
Case Reports in Endocrinology Pub Date : 2025-04-14 eCollection Date: 2025-01-01 DOI:10.1155/crie/5103475
Elodie Gruneisen, Juan Andres Rivera
{"title":"促甲状腺激素分泌型垂体腺瘤:两例诊断与治疗的挑战。","authors":"Elodie Gruneisen, Juan Andres Rivera","doi":"10.1155/crie/5103475","DOIUrl":null,"url":null,"abstract":"<p><p><b>Background:</b> Thyroid-stimulating hormone (TSH)-secreting pituitary adenomas (TSHomas) are very rare pituitary tumors causing central hyperthyroidism. Most are macroadenomas (≥ 10 mm) with local and systemic comorbidities at diagnosis. The atypical changes in thyroid function tests (TFTs) may be subtle and are often initially missed, while over-secretion of other pituitary hormones is often present. Somatostatin analogs (SSAs) are the recommended first-line medical therapy for these lesions. We report two cases of TSHomas successfully managed with a dopamine agonist (DA) therapy, alone or following transsphenoidal surgery (TSS). <b>Case Presentation:</b> A 47-year-old man presented with significant weight loss, fatigue, and muscle weakness. He was found to have hyperprolactinemia, secondary adrenal insufficiency (AI), and central hypogonadism, which led to the discovery of a 3 cm invasive pituitary adenoma. Additional tests showed an increased IGF1, TSH, and free T4. A Pit-1 multihormonal tumor was documented on pathology after partial resection by TSS. Persistent hyperprolactinemia and central hyperthyroidism responded to DA therapy, as the patient refused therapy. A 66-year-old man with a history of anxiety, hypertension, coronary artery disease, atrial fibrillation, and thyroid nodules, was consulted for severe dizziness and was found to have a 2.4 cm pituitary adenoma on a head CT scan. Lab records showed a progressive supranormal free T4 and TSH increase over the preceding five years. He refused surgery and had an excellent clinical and biochemical response to DA treatment. <b>Conclusion:</b> Prompt detection of central hyperthyroidism by monitoring and correctly interpreting TFT over time is essential for early diagnosis and optimal management of TSHomas. TSH-secreting adenomas may respond to DA therapy.</p>","PeriodicalId":9621,"journal":{"name":"Case Reports in Endocrinology","volume":"2025 ","pages":"5103475"},"PeriodicalIF":0.9000,"publicationDate":"2025-04-14","publicationTypes":"Journal Article","fieldsOfStudy":null,"isOpenAccess":false,"openAccessPdf":"https://www.ncbi.nlm.nih.gov/pmc/articles/PMC12011456/pdf/","citationCount":"0","resultStr":"{\"title\":\"Thyroid-Stimulating Hormone-Secreting Pituitary Adenoma: Two Cases With Challenging Diagnosis and Management.\",\"authors\":\"Elodie Gruneisen, Juan Andres Rivera\",\"doi\":\"10.1155/crie/5103475\",\"DOIUrl\":null,\"url\":null,\"abstract\":\"<p><p><b>Background:</b> Thyroid-stimulating hormone (TSH)-secreting pituitary adenomas (TSHomas) are very rare pituitary tumors causing central hyperthyroidism. Most are macroadenomas (≥ 10 mm) with local and systemic comorbidities at diagnosis. The atypical changes in thyroid function tests (TFTs) may be subtle and are often initially missed, while over-secretion of other pituitary hormones is often present. Somatostatin analogs (SSAs) are the recommended first-line medical therapy for these lesions. We report two cases of TSHomas successfully managed with a dopamine agonist (DA) therapy, alone or following transsphenoidal surgery (TSS). <b>Case Presentation:</b> A 47-year-old man presented with significant weight loss, fatigue, and muscle weakness. He was found to have hyperprolactinemia, secondary adrenal insufficiency (AI), and central hypogonadism, which led to the discovery of a 3 cm invasive pituitary adenoma. Additional tests showed an increased IGF1, TSH, and free T4. A Pit-1 multihormonal tumor was documented on pathology after partial resection by TSS. Persistent hyperprolactinemia and central hyperthyroidism responded to DA therapy, as the patient refused therapy. A 66-year-old man with a history of anxiety, hypertension, coronary artery disease, atrial fibrillation, and thyroid nodules, was consulted for severe dizziness and was found to have a 2.4 cm pituitary adenoma on a head CT scan. Lab records showed a progressive supranormal free T4 and TSH increase over the preceding five years. He refused surgery and had an excellent clinical and biochemical response to DA treatment. <b>Conclusion:</b> Prompt detection of central hyperthyroidism by monitoring and correctly interpreting TFT over time is essential for early diagnosis and optimal management of TSHomas. TSH-secreting adenomas may respond to DA therapy.</p>\",\"PeriodicalId\":9621,\"journal\":{\"name\":\"Case Reports in Endocrinology\",\"volume\":\"2025 \",\"pages\":\"5103475\"},\"PeriodicalIF\":0.9000,\"publicationDate\":\"2025-04-14\",\"publicationTypes\":\"Journal Article\",\"fieldsOfStudy\":null,\"isOpenAccess\":false,\"openAccessPdf\":\"https://www.ncbi.nlm.nih.gov/pmc/articles/PMC12011456/pdf/\",\"citationCount\":\"0\",\"resultStr\":null,\"platform\":\"Semanticscholar\",\"paperid\":null,\"PeriodicalName\":\"Case Reports in Endocrinology\",\"FirstCategoryId\":\"1085\",\"ListUrlMain\":\"https://doi.org/10.1155/crie/5103475\",\"RegionNum\":0,\"RegionCategory\":null,\"ArticlePicture\":[],\"TitleCN\":null,\"AbstractTextCN\":null,\"PMCID\":null,\"EPubDate\":\"2025/1/1 0:00:00\",\"PubModel\":\"eCollection\",\"JCR\":\"Q4\",\"JCRName\":\"ENDOCRINOLOGY & METABOLISM\",\"Score\":null,\"Total\":0}","platform":"Semanticscholar","paperid":null,"PeriodicalName":"Case Reports in Endocrinology","FirstCategoryId":"1085","ListUrlMain":"https://doi.org/10.1155/crie/5103475","RegionNum":0,"RegionCategory":null,"ArticlePicture":[],"TitleCN":null,"AbstractTextCN":null,"PMCID":null,"EPubDate":"2025/1/1 0:00:00","PubModel":"eCollection","JCR":"Q4","JCRName":"ENDOCRINOLOGY & METABOLISM","Score":null,"Total":0}
引用次数: 0

摘要

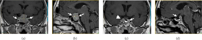
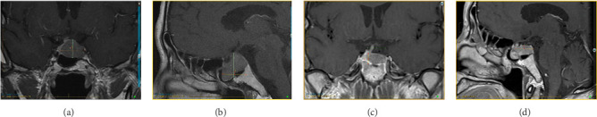
背景:促甲状腺激素(TSH)分泌型垂体腺瘤(TSHomas)是一种非常罕见的垂体肿瘤,可引起中枢性甲状腺功能亢进。大多数为大腺瘤(≥10mm),诊断时伴有局部和全身合并症。甲状腺功能试验(TFTs)的不典型变化可能是微妙的,最初常常被遗漏,而其他垂体激素的过度分泌往往存在。生长抑素类似物(SSAs)是推荐的一线药物治疗这些病变。我们报告两例TSHomas成功地管理与多巴胺激动剂(DA)治疗,单独或后经蝶窦手术(TSS)。病例介绍:一名47岁男性,表现为体重明显减轻、疲劳和肌肉无力。他被发现有高泌乳素血症、继发性肾上腺功能不全(AI)和中枢性性腺功能减退,导致发现一个3厘米的侵袭性垂体腺瘤。额外的测试显示IGF1, TSH和游离T4增加。经TSS部分切除后病理证实为Pit-1多激素肿瘤。持续的高催乳素血症和中枢性甲状腺功能亢进对DA治疗有反应,因为患者拒绝治疗。66岁男性,有焦虑、高血压、冠状动脉疾病、房颤、甲状腺结节病史,因严重头晕就诊,头部CT扫描发现垂体腺瘤2.4 cm。实验室记录显示,在过去的五年中,游离T4和TSH逐渐异常增加。他拒绝手术,对DA治疗有很好的临床和生化反应。结论:通过长期监测和正确解释TFT,及时发现中枢性甲状腺功能亢进,对tshoma的早期诊断和最佳治疗至关重要。分泌tsh的腺瘤可能对DA治疗有反应。
本文章由计算机程序翻译,如有差异,请以英文原文为准。

Thyroid-Stimulating Hormone-Secreting Pituitary Adenoma: Two Cases With Challenging Diagnosis and Management.

Thyroid-Stimulating Hormone-Secreting Pituitary Adenoma: Two Cases With Challenging Diagnosis and Management.

Thyroid-Stimulating Hormone-Secreting Pituitary Adenoma: Two Cases With Challenging Diagnosis and Management.

Thyroid-Stimulating Hormone-Secreting Pituitary Adenoma: Two Cases With Challenging Diagnosis and Management.

Background: Thyroid-stimulating hormone (TSH)-secreting pituitary adenomas (TSHomas) are very rare pituitary tumors causing central hyperthyroidism. Most are macroadenomas (≥ 10 mm) with local and systemic comorbidities at diagnosis. The atypical changes in thyroid function tests (TFTs) may be subtle and are often initially missed, while over-secretion of other pituitary hormones is often present. Somatostatin analogs (SSAs) are the recommended first-line medical therapy for these lesions. We report two cases of TSHomas successfully managed with a dopamine agonist (DA) therapy, alone or following transsphenoidal surgery (TSS). Case Presentation: A 47-year-old man presented with significant weight loss, fatigue, and muscle weakness. He was found to have hyperprolactinemia, secondary adrenal insufficiency (AI), and central hypogonadism, which led to the discovery of a 3 cm invasive pituitary adenoma. Additional tests showed an increased IGF1, TSH, and free T4. A Pit-1 multihormonal tumor was documented on pathology after partial resection by TSS. Persistent hyperprolactinemia and central hyperthyroidism responded to DA therapy, as the patient refused therapy. A 66-year-old man with a history of anxiety, hypertension, coronary artery disease, atrial fibrillation, and thyroid nodules, was consulted for severe dizziness and was found to have a 2.4 cm pituitary adenoma on a head CT scan. Lab records showed a progressive supranormal free T4 and TSH increase over the preceding five years. He refused surgery and had an excellent clinical and biochemical response to DA treatment. Conclusion: Prompt detection of central hyperthyroidism by monitoring and correctly interpreting TFT over time is essential for early diagnosis and optimal management of TSHomas. TSH-secreting adenomas may respond to DA therapy.

求助全文
通过发布文献求助,成功后即可免费获取论文全文。 去求助
来源期刊
Case Reports in Endocrinology
Case Reports in Endocrinology ENDOCRINOLOGY & METABOLISM-
CiteScore
2.10
自引率
0.00%
发文量
45
审稿时长
13 weeks
×
引用
GB/T 7714-2015
复制
MLA
复制
APA
复制
导出至
BibTeX EndNote RefMan NoteFirst NoteExpress
×
提示
您的信息不完整,为了账户安全,请先补充。
现在去补充
×
提示
您因"违规操作"
具体请查看互助需知
我知道了
×
提示
确定
请完成安全验证×
copy
已复制链接
快去分享给好友吧!
我知道了
右上角分享
点击右上角分享
0
联系我们:info@booksci.cn Book学术提供免费学术资源搜索服务,方便国内外学者检索中英文文献。致力于提供最便捷和优质的服务体验。 Copyright © 2023 布克学术 All rights reserved.
京ICP备2023020795号-1
ghs 京公网安备 11010802042870号
Book学术文献互助
Book学术文献互助群
群 号:604180095
Book学术官方微信