表达psma,氟氯洛夫阴性椎体血管瘤。

IF 3.1 3区 医学 Q1 RADIOLOGY, NUCLEAR MEDICINE & MEDICAL IMAGING
Azadeh Eslambolchi, Amin Haghighat Jahromi
{"title":"表达psma,氟氯洛夫阴性椎体血管瘤。","authors":"Azadeh Eslambolchi, Amin Haghighat Jahromi","doi":"10.1186/s13550-025-01248-0","DOIUrl":null,"url":null,"abstract":"<p><strong>Background: </strong>False-positive findings in Prostate-Specific Membrane Antigen Positron Emission Tomography-Computed Tomography (PSMA PET-CT) can complicate accurate staging of prostate cancer, especially in cases such as vertebral hemangiomas, a benign lesion of the spinal column. These ambiguities may result in unnecessary biopsies in patients with prostate cancer when PSMA PET findings are inconclusive.</p><p><strong>Case presentation: </strong>We present the case of a 68-year-old male with prostate cancer who had a PSMA-expressing, fluciclovine-negative vertebral hemangioma.</p><p><strong>Conclusion: </strong>This case highlights the role of fluciclovine PET-CT in distinguishing benign vertebral hemangiomas from prostate cancer metastases, improving diagnostic accuracy specifically in positive cases of PSMA PET-CT.</p>","PeriodicalId":11611,"journal":{"name":"EJNMMI Research","volume":"15 1","pages":"54"},"PeriodicalIF":3.1000,"publicationDate":"2025-05-09","publicationTypes":"Journal Article","fieldsOfStudy":null,"isOpenAccess":false,"openAccessPdf":"https://www.ncbi.nlm.nih.gov/pmc/articles/PMC12064478/pdf/","citationCount":"0","resultStr":"{\"title\":\"PSMA-expressing, fluciclovine-negative vertebral hemangioma.\",\"authors\":\"Azadeh Eslambolchi, Amin Haghighat Jahromi\",\"doi\":\"10.1186/s13550-025-01248-0\",\"DOIUrl\":null,\"url\":null,\"abstract\":\"<p><strong>Background: </strong>False-positive findings in Prostate-Specific Membrane Antigen Positron Emission Tomography-Computed Tomography (PSMA PET-CT) can complicate accurate staging of prostate cancer, especially in cases such as vertebral hemangiomas, a benign lesion of the spinal column. These ambiguities may result in unnecessary biopsies in patients with prostate cancer when PSMA PET findings are inconclusive.</p><p><strong>Case presentation: </strong>We present the case of a 68-year-old male with prostate cancer who had a PSMA-expressing, fluciclovine-negative vertebral hemangioma.</p><p><strong>Conclusion: </strong>This case highlights the role of fluciclovine PET-CT in distinguishing benign vertebral hemangiomas from prostate cancer metastases, improving diagnostic accuracy specifically in positive cases of PSMA PET-CT.</p>\",\"PeriodicalId\":11611,\"journal\":{\"name\":\"EJNMMI Research\",\"volume\":\"15 1\",\"pages\":\"54\"},\"PeriodicalIF\":3.1000,\"publicationDate\":\"2025-05-09\",\"publicationTypes\":\"Journal Article\",\"fieldsOfStudy\":null,\"isOpenAccess\":false,\"openAccessPdf\":\"https://www.ncbi.nlm.nih.gov/pmc/articles/PMC12064478/pdf/\",\"citationCount\":\"0\",\"resultStr\":null,\"platform\":\"Semanticscholar\",\"paperid\":null,\"PeriodicalName\":\"EJNMMI Research\",\"FirstCategoryId\":\"3\",\"ListUrlMain\":\"https://doi.org/10.1186/s13550-025-01248-0\",\"RegionNum\":3,\"RegionCategory\":\"医学\",\"ArticlePicture\":[],\"TitleCN\":null,\"AbstractTextCN\":null,\"PMCID\":null,\"EPubDate\":\"\",\"PubModel\":\"\",\"JCR\":\"Q1\",\"JCRName\":\"RADIOLOGY, NUCLEAR MEDICINE & MEDICAL IMAGING\",\"Score\":null,\"Total\":0}","platform":"Semanticscholar","paperid":null,"PeriodicalName":"EJNMMI Research","FirstCategoryId":"3","ListUrlMain":"https://doi.org/10.1186/s13550-025-01248-0","RegionNum":3,"RegionCategory":"医学","ArticlePicture":[],"TitleCN":null,"AbstractTextCN":null,"PMCID":null,"EPubDate":"","PubModel":"","JCR":"Q1","JCRName":"RADIOLOGY, NUCLEAR MEDICINE & MEDICAL IMAGING","Score":null,"Total":0}
引用次数: 0

摘要

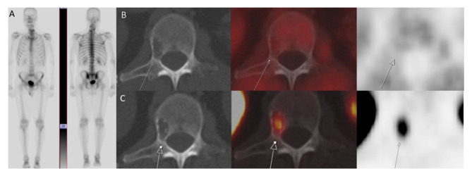
背景:前列腺特异性膜抗原正电子发射断层扫描-计算机断层扫描(PSMA PET-CT)的假阳性结果会使前列腺癌的准确分期复杂化,特别是在脊柱良性病变椎体血管瘤等病例中。当PSMA PET检查结果不确定时,这些模糊性可能导致前列腺癌患者进行不必要的活检。病例介绍:我们提出的情况下,68岁的男性前列腺癌谁有psma表达,氟氯酚阴性椎体血管瘤。结论:本病例突出了氟氯叶PET-CT在区分良性椎体血管瘤和前列腺癌转移中的作用,特别是在PSMA PET-CT阳性病例中,提高了诊断准确性。
本文章由计算机程序翻译,如有差异,请以英文原文为准。

PSMA-expressing, fluciclovine-negative vertebral hemangioma.

PSMA-expressing, fluciclovine-negative vertebral hemangioma.

Background: False-positive findings in Prostate-Specific Membrane Antigen Positron Emission Tomography-Computed Tomography (PSMA PET-CT) can complicate accurate staging of prostate cancer, especially in cases such as vertebral hemangiomas, a benign lesion of the spinal column. These ambiguities may result in unnecessary biopsies in patients with prostate cancer when PSMA PET findings are inconclusive.

Case presentation: We present the case of a 68-year-old male with prostate cancer who had a PSMA-expressing, fluciclovine-negative vertebral hemangioma.

Conclusion: This case highlights the role of fluciclovine PET-CT in distinguishing benign vertebral hemangiomas from prostate cancer metastases, improving diagnostic accuracy specifically in positive cases of PSMA PET-CT.

求助全文
通过发布文献求助,成功后即可免费获取论文全文。 去求助
来源期刊
EJNMMI Research
EJNMMI Research RADIOLOGY, NUCLEAR MEDICINE & MEDICAL IMAGING&nb-
CiteScore
5.90
自引率
3.10%
发文量
72
审稿时长
13 weeks
期刊介绍: EJNMMI Research publishes new basic, translational and clinical research in the field of nuclear medicine and molecular imaging. Regular features include original research articles, rapid communication of preliminary data on innovative research, interesting case reports, editorials, and letters to the editor. Educational articles on basic sciences, fundamental aspects and controversy related to pre-clinical and clinical research or ethical aspects of research are also welcome. Timely reviews provide updates on current applications, issues in imaging research and translational aspects of nuclear medicine and molecular imaging technologies. The main emphasis is placed on the development of targeted imaging with radiopharmaceuticals within the broader context of molecular probes to enhance understanding and characterisation of the complex biological processes underlying disease and to develop, test and guide new treatment modalities, including radionuclide therapy.
×
引用
GB/T 7714-2015
复制
MLA
复制
APA
复制
导出至
BibTeX EndNote RefMan NoteFirst NoteExpress
×
提示
您的信息不完整,为了账户安全,请先补充。
现在去补充
×
提示
您因"违规操作"
具体请查看互助需知
我知道了
×
提示
确定
请完成安全验证×
copy
已复制链接
快去分享给好友吧!
我知道了
右上角分享
点击右上角分享
0
联系我们:info@booksci.cn Book学术提供免费学术资源搜索服务,方便国内外学者检索中英文文献。致力于提供最便捷和优质的服务体验。 Copyright © 2023 布克学术 All rights reserved.
京ICP备2023020795号-1
ghs 京公网安备 11010802042870号
Book学术文献互助
Book学术文献互助群
群 号:604180095
Book学术官方微信