微小病变与原发性胆道胆管炎的罕见关联:1例报告。

IF 0.9 Q4 UROLOGY & NEPHROLOGY
Case Reports in Nephrology and Dialysis Pub Date : 2025-04-02 eCollection Date: 2025-01-01 DOI:10.1159/000545015
Neeraj Sharma, Heidi Duong, Bahman Moghadam, Tachaporn Sangwattanarat
{"title":"微小病变与原发性胆道胆管炎的罕见关联:1例报告。","authors":"Neeraj Sharma, Heidi Duong, Bahman Moghadam, Tachaporn Sangwattanarat","doi":"10.1159/000545015","DOIUrl":null,"url":null,"abstract":"<p><strong>Introduction: </strong>Primary biliary cholangitis (PBC) is a chronic and progressive cholestatic liver disease that is autoimmune in nature and characterized by circulating anti-mitochondrial antibodies. A wide range of autoimmune disorders have been concomitantly observed in patients with PBC, and although quite rare PBC has been associated with a wide variety of renal disorders. Glomerular diseases have a very rare association with PBC, and these include diffuse membranous glomerulonephritis and minimal change disease, which have been sparsely described in prior literature.</p><p><strong>Presentation: </strong>Here we present a case of biopsy-proven minimal change disease in a patient with PBC treated with a course of steroids and achieving complete recovery.</p><p><strong>Conclusion: </strong>Establishing the relationship between PBC and MCD has been limited in prior literature and should be kept in mind to bring forth this rare association, which may help dictate future treatment courses.</p>","PeriodicalId":9599,"journal":{"name":"Case Reports in Nephrology and Dialysis","volume":"15 1","pages":"78-82"},"PeriodicalIF":0.9000,"publicationDate":"2025-04-02","publicationTypes":"Journal Article","fieldsOfStudy":null,"isOpenAccess":false,"openAccessPdf":"https://www.ncbi.nlm.nih.gov/pmc/articles/PMC12054988/pdf/","citationCount":"0","resultStr":"{\"title\":\"Rare Association between Minimal Change Disease and Primary Biliary Cholangitis: Case Report.\",\"authors\":\"Neeraj Sharma, Heidi Duong, Bahman Moghadam, Tachaporn Sangwattanarat\",\"doi\":\"10.1159/000545015\",\"DOIUrl\":null,\"url\":null,\"abstract\":\"<p><strong>Introduction: </strong>Primary biliary cholangitis (PBC) is a chronic and progressive cholestatic liver disease that is autoimmune in nature and characterized by circulating anti-mitochondrial antibodies. A wide range of autoimmune disorders have been concomitantly observed in patients with PBC, and although quite rare PBC has been associated with a wide variety of renal disorders. Glomerular diseases have a very rare association with PBC, and these include diffuse membranous glomerulonephritis and minimal change disease, which have been sparsely described in prior literature.</p><p><strong>Presentation: </strong>Here we present a case of biopsy-proven minimal change disease in a patient with PBC treated with a course of steroids and achieving complete recovery.</p><p><strong>Conclusion: </strong>Establishing the relationship between PBC and MCD has been limited in prior literature and should be kept in mind to bring forth this rare association, which may help dictate future treatment courses.</p>\",\"PeriodicalId\":9599,\"journal\":{\"name\":\"Case Reports in Nephrology and Dialysis\",\"volume\":\"15 1\",\"pages\":\"78-82\"},\"PeriodicalIF\":0.9000,\"publicationDate\":\"2025-04-02\",\"publicationTypes\":\"Journal Article\",\"fieldsOfStudy\":null,\"isOpenAccess\":false,\"openAccessPdf\":\"https://www.ncbi.nlm.nih.gov/pmc/articles/PMC12054988/pdf/\",\"citationCount\":\"0\",\"resultStr\":null,\"platform\":\"Semanticscholar\",\"paperid\":null,\"PeriodicalName\":\"Case Reports in Nephrology and Dialysis\",\"FirstCategoryId\":\"1085\",\"ListUrlMain\":\"https://doi.org/10.1159/000545015\",\"RegionNum\":0,\"RegionCategory\":null,\"ArticlePicture\":[],\"TitleCN\":null,\"AbstractTextCN\":null,\"PMCID\":null,\"EPubDate\":\"2025/1/1 0:00:00\",\"PubModel\":\"eCollection\",\"JCR\":\"Q4\",\"JCRName\":\"UROLOGY & NEPHROLOGY\",\"Score\":null,\"Total\":0}","platform":"Semanticscholar","paperid":null,"PeriodicalName":"Case Reports in Nephrology and Dialysis","FirstCategoryId":"1085","ListUrlMain":"https://doi.org/10.1159/000545015","RegionNum":0,"RegionCategory":null,"ArticlePicture":[],"TitleCN":null,"AbstractTextCN":null,"PMCID":null,"EPubDate":"2025/1/1 0:00:00","PubModel":"eCollection","JCR":"Q4","JCRName":"UROLOGY & NEPHROLOGY","Score":null,"Total":0}
引用次数: 0

摘要

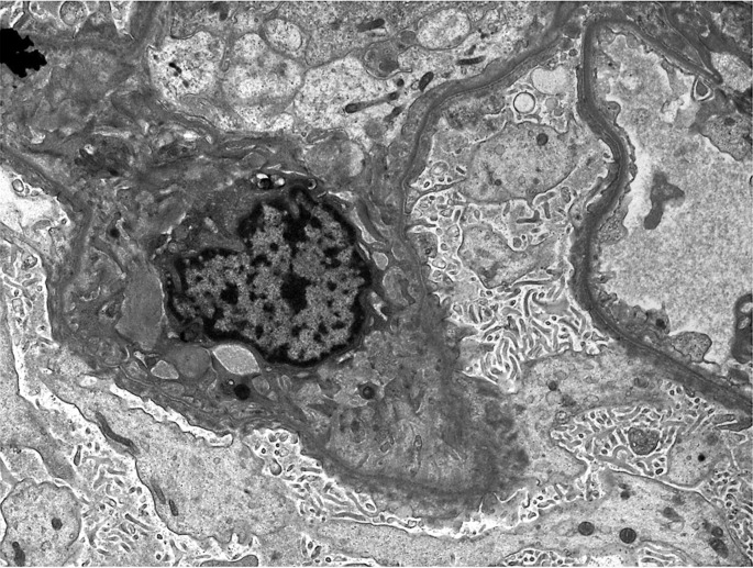
原发性胆道胆管炎(PBC)是一种慢性进行性胆汁淤积性肝病,本质上是自身免疫性的,以循环抗线粒体抗体为特征。在PBC患者中已观察到广泛的自身免疫性疾病,尽管相当罕见的PBC已与多种肾脏疾病相关。肾小球疾病与PBC的关联非常罕见,包括弥漫性膜性肾小球肾炎和微小改变疾病,这些疾病在先前的文献中很少被描述。报告:在这里,我们提出一例活检证实的微小变化疾病,患者的PBC治疗一个疗程的类固醇和实现完全恢复。结论:建立PBC和MCD之间的关系在先前的文献中是有限的,应该记住这种罕见的关联,这可能有助于指导未来的治疗方案。
本文章由计算机程序翻译,如有差异,请以英文原文为准。

Rare Association between Minimal Change Disease and Primary Biliary Cholangitis: Case Report.

Rare Association between Minimal Change Disease and Primary Biliary Cholangitis: Case Report.

Introduction: Primary biliary cholangitis (PBC) is a chronic and progressive cholestatic liver disease that is autoimmune in nature and characterized by circulating anti-mitochondrial antibodies. A wide range of autoimmune disorders have been concomitantly observed in patients with PBC, and although quite rare PBC has been associated with a wide variety of renal disorders. Glomerular diseases have a very rare association with PBC, and these include diffuse membranous glomerulonephritis and minimal change disease, which have been sparsely described in prior literature.

Presentation: Here we present a case of biopsy-proven minimal change disease in a patient with PBC treated with a course of steroids and achieving complete recovery.

Conclusion: Establishing the relationship between PBC and MCD has been limited in prior literature and should be kept in mind to bring forth this rare association, which may help dictate future treatment courses.

求助全文
通过发布文献求助,成功后即可免费获取论文全文。 去求助
来源期刊
CiteScore
1.20
自引率
0.00%
发文量
36
审稿时长
10 weeks
期刊介绍: This peer-reviewed online-only journal publishes original case reports covering the entire spectrum of nephrology and dialysis, including genetic susceptibility, clinical presentation, diagnosis, treatment or prevention, toxicities of therapy, critical care, supportive care, quality-of-life and survival issues. The journal will also accept case reports dealing with the use of novel technologies, both in the arena of diagnosis and treatment. Supplementary material is welcomed.
×
引用
GB/T 7714-2015
复制
MLA
复制
APA
复制
导出至
BibTeX EndNote RefMan NoteFirst NoteExpress
×
提示
您的信息不完整,为了账户安全,请先补充。
现在去补充
×
提示
您因"违规操作"
具体请查看互助需知
我知道了
×
提示
确定
请完成安全验证×
copy
已复制链接
快去分享给好友吧!
我知道了
右上角分享
点击右上角分享
0
联系我们:info@booksci.cn Book学术提供免费学术资源搜索服务,方便国内外学者检索中英文文献。致力于提供最便捷和优质的服务体验。 Copyright © 2023 布克学术 All rights reserved.
京ICP备2023020795号-1
ghs 京公网安备 11010802042870号
Book学术文献互助
Book学术文献互助群
群 号:604180095
Book学术官方微信