Mepolizumab、皮质类固醇和静脉注射免疫球蛋白对dupilumab引发的嗜酸性肉芽肿病合并多血管炎的早期干预:1例报告

IF 3 3区 医学 Q2 ALLERGY
Journal of Asthma and Allergy Pub Date : 2025-04-13 eCollection Date: 2025-01-01 DOI:10.2147/JAA.S513640
Shota Kaburaki, Toru Tanaka, Koichiro Kamio, Yosuke Tanaka, Kazuo Kasahara, Masahiro Seike
{"title":"Mepolizumab、皮质类固醇和静脉注射免疫球蛋白对dupilumab引发的嗜酸性肉芽肿病合并多血管炎的早期干预:1例报告","authors":"Shota Kaburaki, Toru Tanaka, Koichiro Kamio, Yosuke Tanaka, Kazuo Kasahara, Masahiro Seike","doi":"10.2147/JAA.S513640","DOIUrl":null,"url":null,"abstract":"<p><strong>Introduction: </strong>Eosinophilic granulomatosis with polyangiitis (EGPA) is a rare complication during dupilumab therapy. However, the optimal treatment strategy for dupilumab-triggered EGPA remains unclear, particularly the timing and role of anti-interleukin-5 therapy.</p><p><strong>Case study: </strong>A 48-year-old female with severe eosinophilic rhinosinusitis and asthma, increased blood eosinophils (2098/μL) and myeloperoxidase-specific antineutrophil cytoplasmic antibody (MPO-ANCA) (46.1 U/mL) without vasculitic symptoms, developed systemic symptoms, including fever, arthralgia, and peripheral neuropathy immediately after dupilumab administration.</p><p><strong>Results: </strong>Physical assessment revealed bilateral expiratory wheezes and laboratory tests revealed marked elevations in blood eosinophil (11,889/μL) and MPO-ANCA levels (125.0 U/mL). Other conditions, including parasitic infections, allergic bronchopulmonary aspergillosis, and <i>FIP1L1-PDGFRA</i>-positive disease, were excluded. Early intervention with mepolizumab (300 mg), methylprednisolone pulse therapy, and intravenous immunoglobulin (IVIG) was initiated after discontinuing dupilumab, resulting in rapid normalization of blood eosinophil counts and clinical improvement. Residual neuropathy was successfully treated with intravenous immunoglobulin (IVIg). Prednisolone was reduced to 15 mg daily with negative MPO-ANCA one month after treatment initiation.</p><p><strong>Conclusion: </strong>This case emphasizes the importance of monitoring preexisting MPO-ANCA and blood eosinophils before and during dupilumab therapy. Early intervention with mepolizumab combined with conventional therapy is considered an optimal treatment strategy for dupilumab-triggered EGPA.</p>","PeriodicalId":15079,"journal":{"name":"Journal of Asthma and Allergy","volume":"18 ","pages":"559-565"},"PeriodicalIF":3.0000,"publicationDate":"2025-04-13","publicationTypes":"Journal Article","fieldsOfStudy":null,"isOpenAccess":false,"openAccessPdf":"https://www.ncbi.nlm.nih.gov/pmc/articles/PMC12005197/pdf/","citationCount":"0","resultStr":"{\"title\":\"Early Intervention with Mepolizumab, Corticosteroids, and Intravenous Immunoglobulin for Dupilumab-Triggered Eosinophilic Granulomatosis with Polyangiitis: A Case Report.\",\"authors\":\"Shota Kaburaki, Toru Tanaka, Koichiro Kamio, Yosuke Tanaka, Kazuo Kasahara, Masahiro Seike\",\"doi\":\"10.2147/JAA.S513640\",\"DOIUrl\":null,\"url\":null,\"abstract\":\"<p><strong>Introduction: </strong>Eosinophilic granulomatosis with polyangiitis (EGPA) is a rare complication during dupilumab therapy. However, the optimal treatment strategy for dupilumab-triggered EGPA remains unclear, particularly the timing and role of anti-interleukin-5 therapy.</p><p><strong>Case study: </strong>A 48-year-old female with severe eosinophilic rhinosinusitis and asthma, increased blood eosinophils (2098/μL) and myeloperoxidase-specific antineutrophil cytoplasmic antibody (MPO-ANCA) (46.1 U/mL) without vasculitic symptoms, developed systemic symptoms, including fever, arthralgia, and peripheral neuropathy immediately after dupilumab administration.</p><p><strong>Results: </strong>Physical assessment revealed bilateral expiratory wheezes and laboratory tests revealed marked elevations in blood eosinophil (11,889/μL) and MPO-ANCA levels (125.0 U/mL). Other conditions, including parasitic infections, allergic bronchopulmonary aspergillosis, and <i>FIP1L1-PDGFRA</i>-positive disease, were excluded. Early intervention with mepolizumab (300 mg), methylprednisolone pulse therapy, and intravenous immunoglobulin (IVIG) was initiated after discontinuing dupilumab, resulting in rapid normalization of blood eosinophil counts and clinical improvement. Residual neuropathy was successfully treated with intravenous immunoglobulin (IVIg). Prednisolone was reduced to 15 mg daily with negative MPO-ANCA one month after treatment initiation.</p><p><strong>Conclusion: </strong>This case emphasizes the importance of monitoring preexisting MPO-ANCA and blood eosinophils before and during dupilumab therapy. Early intervention with mepolizumab combined with conventional therapy is considered an optimal treatment strategy for dupilumab-triggered EGPA.</p>\",\"PeriodicalId\":15079,\"journal\":{\"name\":\"Journal of Asthma and Allergy\",\"volume\":\"18 \",\"pages\":\"559-565\"},\"PeriodicalIF\":3.0000,\"publicationDate\":\"2025-04-13\",\"publicationTypes\":\"Journal Article\",\"fieldsOfStudy\":null,\"isOpenAccess\":false,\"openAccessPdf\":\"https://www.ncbi.nlm.nih.gov/pmc/articles/PMC12005197/pdf/\",\"citationCount\":\"0\",\"resultStr\":null,\"platform\":\"Semanticscholar\",\"paperid\":null,\"PeriodicalName\":\"Journal of Asthma and Allergy\",\"FirstCategoryId\":\"3\",\"ListUrlMain\":\"https://doi.org/10.2147/JAA.S513640\",\"RegionNum\":3,\"RegionCategory\":\"医学\",\"ArticlePicture\":[],\"TitleCN\":null,\"AbstractTextCN\":null,\"PMCID\":null,\"EPubDate\":\"2025/1/1 0:00:00\",\"PubModel\":\"eCollection\",\"JCR\":\"Q2\",\"JCRName\":\"ALLERGY\",\"Score\":null,\"Total\":0}","platform":"Semanticscholar","paperid":null,"PeriodicalName":"Journal of Asthma and Allergy","FirstCategoryId":"3","ListUrlMain":"https://doi.org/10.2147/JAA.S513640","RegionNum":3,"RegionCategory":"医学","ArticlePicture":[],"TitleCN":null,"AbstractTextCN":null,"PMCID":null,"EPubDate":"2025/1/1 0:00:00","PubModel":"eCollection","JCR":"Q2","JCRName":"ALLERGY","Score":null,"Total":0}
引用次数: 0

摘要

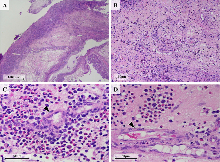
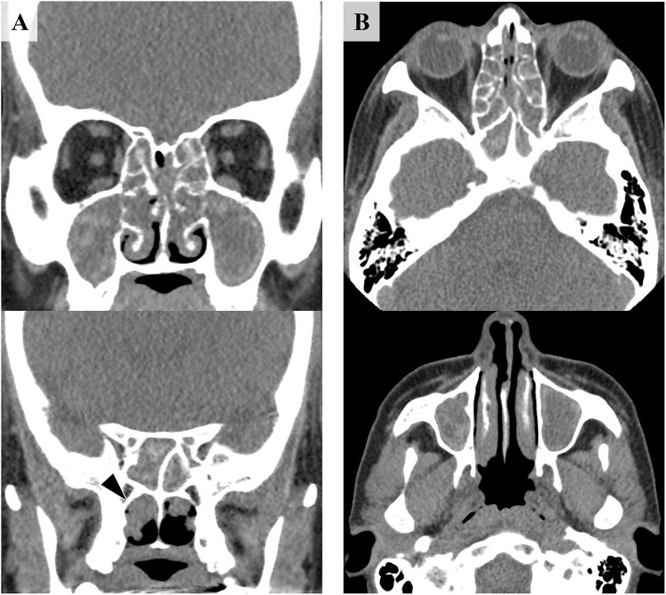
简介:嗜酸性肉芽肿病合并多血管炎(EGPA)是杜匹单抗治疗期间罕见的并发症。然而,dupilumab触发EGPA的最佳治疗策略仍不清楚,特别是抗白细胞介素-5治疗的时机和作用。病例研究:一名48岁女性,患有严重嗜酸性鼻窦炎和哮喘,血嗜酸性粒细胞(2098/μL)和髓过氧化物酶特异性抗中性粒细胞细胞质抗体(MPO-ANCA)升高(46.1 U/mL),无血管症状,在给予杜匹单抗后立即出现全身症状,包括发烧、关节痛和周围神经病变。结果:体格检查显示双侧呼气喘息,实验室检查显示血嗜酸性粒细胞(11,889/μL)和MPO-ANCA水平(125.0 U/mL)明显升高。其他情况,包括寄生虫感染、过敏性支气管肺曲霉病和fip1l1 - pdgfr阳性疾病,均被排除在外。停用杜匹单抗后,开始早期干预mepolizumab (300 mg),甲基强的松龙脉冲治疗和静脉注射免疫球蛋白(IVIG),导致血液嗜酸性粒细胞计数迅速正常化和临床改善。静脉注射免疫球蛋白(IVIg)治疗残余神经病变成功。泼尼松龙在治疗开始一个月后MPO-ANCA为阴性,降至每日15mg。结论:本病例强调了在dupilumab治疗前和治疗期间监测既往存在的MPO-ANCA和血嗜酸性粒细胞的重要性。mepolizumab联合常规治疗的早期干预被认为是dupilumab引发EGPA的最佳治疗策略。
本文章由计算机程序翻译,如有差异,请以英文原文为准。

Early Intervention with Mepolizumab, Corticosteroids, and Intravenous Immunoglobulin for Dupilumab-Triggered Eosinophilic Granulomatosis with Polyangiitis: A Case Report.

Early Intervention with Mepolizumab, Corticosteroids, and Intravenous Immunoglobulin for Dupilumab-Triggered Eosinophilic Granulomatosis with Polyangiitis: A Case Report.

Early Intervention with Mepolizumab, Corticosteroids, and Intravenous Immunoglobulin for Dupilumab-Triggered Eosinophilic Granulomatosis with Polyangiitis: A Case Report.

Introduction: Eosinophilic granulomatosis with polyangiitis (EGPA) is a rare complication during dupilumab therapy. However, the optimal treatment strategy for dupilumab-triggered EGPA remains unclear, particularly the timing and role of anti-interleukin-5 therapy.

Case study: A 48-year-old female with severe eosinophilic rhinosinusitis and asthma, increased blood eosinophils (2098/μL) and myeloperoxidase-specific antineutrophil cytoplasmic antibody (MPO-ANCA) (46.1 U/mL) without vasculitic symptoms, developed systemic symptoms, including fever, arthralgia, and peripheral neuropathy immediately after dupilumab administration.

Results: Physical assessment revealed bilateral expiratory wheezes and laboratory tests revealed marked elevations in blood eosinophil (11,889/μL) and MPO-ANCA levels (125.0 U/mL). Other conditions, including parasitic infections, allergic bronchopulmonary aspergillosis, and FIP1L1-PDGFRA-positive disease, were excluded. Early intervention with mepolizumab (300 mg), methylprednisolone pulse therapy, and intravenous immunoglobulin (IVIG) was initiated after discontinuing dupilumab, resulting in rapid normalization of blood eosinophil counts and clinical improvement. Residual neuropathy was successfully treated with intravenous immunoglobulin (IVIg). Prednisolone was reduced to 15 mg daily with negative MPO-ANCA one month after treatment initiation.

Conclusion: This case emphasizes the importance of monitoring preexisting MPO-ANCA and blood eosinophils before and during dupilumab therapy. Early intervention with mepolizumab combined with conventional therapy is considered an optimal treatment strategy for dupilumab-triggered EGPA.

求助全文
通过发布文献求助,成功后即可免费获取论文全文。 去求助
来源期刊
Journal of Asthma and Allergy
Journal of Asthma and Allergy Medicine-Immunology and Allergy
CiteScore
5.30
自引率
6.20%
发文量
185
审稿时长
16 weeks
期刊介绍: An international, peer-reviewed journal publishing original research, reports, editorials and commentaries on the following topics: Asthma; Pulmonary physiology; Asthma related clinical health; Clinical immunology and the immunological basis of disease; Pharmacological interventions and new therapies. Although the main focus of the journal will be to publish research and clinical results in humans, preclinical, animal and in vitro studies will be published where they shed light on disease processes and potential new therapies.
×
引用
GB/T 7714-2015
复制
MLA
复制
APA
复制
导出至
BibTeX EndNote RefMan NoteFirst NoteExpress
×
提示
您的信息不完整,为了账户安全,请先补充。
现在去补充
×
提示
您因"违规操作"
具体请查看互助需知
我知道了
×
提示
确定
请完成安全验证×
copy
已复制链接
快去分享给好友吧!
我知道了
右上角分享
点击右上角分享
0
联系我们:info@booksci.cn Book学术提供免费学术资源搜索服务,方便国内外学者检索中英文文献。致力于提供最便捷和优质的服务体验。 Copyright © 2023 布克学术 All rights reserved.
京ICP备2023020795号-1
ghs 京公网安备 11010802042870号
Book学术文献互助
Book学术文献互助群
群 号:604180095
Book学术官方微信