Secukinumab可快速改善化脓性关节炎、痤疮、坏疽性脓皮病和化脓性汗腺炎(PAPASH)综合征:一个病例报告和PAPASH患者治疗方式的回顾。

Case Reports in Rheumatology Pub Date : 2025-04-22 eCollection Date: 2025-01-01 DOI:10.1155/crrh/7720064
Inga N Shevtsova, James J Abbott, Pavel N Shevtsov, Guiset Carvajal Bedoya, Diana C Norton
{"title":"Secukinumab可快速改善化脓性关节炎、痤疮、坏疽性脓皮病和化脓性汗腺炎(PAPASH)综合征:一个病例报告和PAPASH患者治疗方式的回顾。","authors":"Inga N Shevtsova, James J Abbott, Pavel N Shevtsov, Guiset Carvajal Bedoya, Diana C Norton","doi":"10.1155/crrh/7720064","DOIUrl":null,"url":null,"abstract":"<p><p>PAPASH syndrome, a rare autoinflammatory condition characterized by pyogenic arthritis, pyoderma gangrenosum, acne, and hidradenitis suppurativa, presents significant treatment challenges due to its rarity and complex multisystem involvement. Since its initial description in 2013, only 14 cases have been documented, leading to limited treatment experience. Although IL-1 and TNF-alpha blocking agents have shown efficacy, responses vary due to genetic and pathogenetic differences, with some cases being resistant. Therefore, alongside summarizing prior treatment experiences, new treatment modalities need to be explored. This report presents the case of a 46-year-old Native American male with PAPASH syndrome who responded successfully to IL-17 inhibition with secukinumab. The patient experienced marked improvement in both dermatologic and rheumatologic symptoms, highlighting the potential role of IL-17 in the pathogenesis of PAPASH. This case suggests that IL-17 inhibition could be a promising treatment modality for PAPASH syndrome.</p>","PeriodicalId":9622,"journal":{"name":"Case Reports in Rheumatology","volume":"2025 ","pages":"7720064"},"PeriodicalIF":0.0000,"publicationDate":"2025-04-22","publicationTypes":"Journal Article","fieldsOfStudy":null,"isOpenAccess":false,"openAccessPdf":"https://www.ncbi.nlm.nih.gov/pmc/articles/PMC12041644/pdf/","citationCount":"0","resultStr":"{\"title\":\"Secukinumab Leading to Rapid Improvement in Pyogenic Arthritis, Acne, Pyoderma Gangrenosum, and Hidradenitis Suppurativa (PAPASH) Syndrome: A Case Report and Review of Treatment Modalities for PAPASH Patients.\",\"authors\":\"Inga N Shevtsova, James J Abbott, Pavel N Shevtsov, Guiset Carvajal Bedoya, Diana C Norton\",\"doi\":\"10.1155/crrh/7720064\",\"DOIUrl\":null,\"url\":null,\"abstract\":\"<p><p>PAPASH syndrome, a rare autoinflammatory condition characterized by pyogenic arthritis, pyoderma gangrenosum, acne, and hidradenitis suppurativa, presents significant treatment challenges due to its rarity and complex multisystem involvement. Since its initial description in 2013, only 14 cases have been documented, leading to limited treatment experience. Although IL-1 and TNF-alpha blocking agents have shown efficacy, responses vary due to genetic and pathogenetic differences, with some cases being resistant. Therefore, alongside summarizing prior treatment experiences, new treatment modalities need to be explored. This report presents the case of a 46-year-old Native American male with PAPASH syndrome who responded successfully to IL-17 inhibition with secukinumab. The patient experienced marked improvement in both dermatologic and rheumatologic symptoms, highlighting the potential role of IL-17 in the pathogenesis of PAPASH. This case suggests that IL-17 inhibition could be a promising treatment modality for PAPASH syndrome.</p>\",\"PeriodicalId\":9622,\"journal\":{\"name\":\"Case Reports in Rheumatology\",\"volume\":\"2025 \",\"pages\":\"7720064\"},\"PeriodicalIF\":0.0000,\"publicationDate\":\"2025-04-22\",\"publicationTypes\":\"Journal Article\",\"fieldsOfStudy\":null,\"isOpenAccess\":false,\"openAccessPdf\":\"https://www.ncbi.nlm.nih.gov/pmc/articles/PMC12041644/pdf/\",\"citationCount\":\"0\",\"resultStr\":null,\"platform\":\"Semanticscholar\",\"paperid\":null,\"PeriodicalName\":\"Case Reports in Rheumatology\",\"FirstCategoryId\":\"1085\",\"ListUrlMain\":\"https://doi.org/10.1155/crrh/7720064\",\"RegionNum\":0,\"RegionCategory\":null,\"ArticlePicture\":[],\"TitleCN\":null,\"AbstractTextCN\":null,\"PMCID\":null,\"EPubDate\":\"2025/1/1 0:00:00\",\"PubModel\":\"eCollection\",\"JCR\":\"\",\"JCRName\":\"\",\"Score\":null,\"Total\":0}","platform":"Semanticscholar","paperid":null,"PeriodicalName":"Case Reports in Rheumatology","FirstCategoryId":"1085","ListUrlMain":"https://doi.org/10.1155/crrh/7720064","RegionNum":0,"RegionCategory":null,"ArticlePicture":[],"TitleCN":null,"AbstractTextCN":null,"PMCID":null,"EPubDate":"2025/1/1 0:00:00","PubModel":"eCollection","JCR":"","JCRName":"","Score":null,"Total":0}
引用次数: 0

摘要

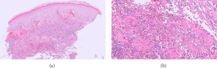
PAPASH综合征是一种罕见的自身炎症性疾病,以化脓性关节炎、坏疽性脓皮病、痤疮和化脓性汗腺炎为特征,由于其罕见性和复杂的多系统累及,给治疗带来了重大挑战。自2013年首次描述以来,仅记录了14例病例,导致治疗经验有限。尽管IL-1和tnf - α阻断剂已显示出疗效,但由于遗传和病理差异,反应各不相同,有些病例具有耐药性。因此,除了总结以往的治疗经验外,还需要探索新的治疗方式。本报告提出了一个46岁的美洲原住民男性PAPASH综合征谁成功响应IL-17抑制secukinumab的情况下。患者的皮肤和风湿病症状均有明显改善,这突出了IL-17在PAPASH发病机制中的潜在作用。本病例提示IL-17抑制可能是治疗PAPASH综合征的一种有希望的治疗方式。
本文章由计算机程序翻译,如有差异,请以英文原文为准。

Secukinumab Leading to Rapid Improvement in Pyogenic Arthritis, Acne, Pyoderma Gangrenosum, and Hidradenitis Suppurativa (PAPASH) Syndrome: A Case Report and Review of Treatment Modalities for PAPASH Patients.

Secukinumab Leading to Rapid Improvement in Pyogenic Arthritis, Acne, Pyoderma Gangrenosum, and Hidradenitis Suppurativa (PAPASH) Syndrome: A Case Report and Review of Treatment Modalities for PAPASH Patients.

Secukinumab Leading to Rapid Improvement in Pyogenic Arthritis, Acne, Pyoderma Gangrenosum, and Hidradenitis Suppurativa (PAPASH) Syndrome: A Case Report and Review of Treatment Modalities for PAPASH Patients.

Secukinumab Leading to Rapid Improvement in Pyogenic Arthritis, Acne, Pyoderma Gangrenosum, and Hidradenitis Suppurativa (PAPASH) Syndrome: A Case Report and Review of Treatment Modalities for PAPASH Patients.

PAPASH syndrome, a rare autoinflammatory condition characterized by pyogenic arthritis, pyoderma gangrenosum, acne, and hidradenitis suppurativa, presents significant treatment challenges due to its rarity and complex multisystem involvement. Since its initial description in 2013, only 14 cases have been documented, leading to limited treatment experience. Although IL-1 and TNF-alpha blocking agents have shown efficacy, responses vary due to genetic and pathogenetic differences, with some cases being resistant. Therefore, alongside summarizing prior treatment experiences, new treatment modalities need to be explored. This report presents the case of a 46-year-old Native American male with PAPASH syndrome who responded successfully to IL-17 inhibition with secukinumab. The patient experienced marked improvement in both dermatologic and rheumatologic symptoms, highlighting the potential role of IL-17 in the pathogenesis of PAPASH. This case suggests that IL-17 inhibition could be a promising treatment modality for PAPASH syndrome.

求助全文
通过发布文献求助,成功后即可免费获取论文全文。 去求助
来源期刊
自引率
0.00%
发文量
35
审稿时长
12 weeks
×
引用
GB/T 7714-2015
复制
MLA
复制
APA
复制
导出至
BibTeX EndNote RefMan NoteFirst NoteExpress
×
提示
您的信息不完整,为了账户安全,请先补充。
现在去补充
×
提示
您因"违规操作"
具体请查看互助需知
我知道了
×
提示
确定
请完成安全验证×
copy
已复制链接
快去分享给好友吧!
我知道了
右上角分享
点击右上角分享
0
联系我们:info@booksci.cn Book学术提供免费学术资源搜索服务,方便国内外学者检索中英文文献。致力于提供最便捷和优质的服务体验。 Copyright © 2023 布克学术 All rights reserved.
京ICP备2023020795号-1
ghs 京公网安备 11010802042870号
Book学术文献互助
Book学术文献互助群
群 号:604180095
Book学术官方微信