肼嗪诱导的ANCA血管炎/狼疮重叠综合征1例,表现为持续性双环减少。

Case Reports in Rheumatology Pub Date : 2025-04-09 eCollection Date: 2025-01-01 DOI:10.1155/crrh/9276592
Madiha Naqsh Siddiqui, Stephanie Norris
{"title":"肼嗪诱导的ANCA血管炎/狼疮重叠综合征1例,表现为持续性双环减少。","authors":"Madiha Naqsh Siddiqui, Stephanie Norris","doi":"10.1155/crrh/9276592","DOIUrl":null,"url":null,"abstract":"<p><p><b>Background:</b> Hydralazine is a commonly used arteriolar vasodilator that is associated with autoimmune side effects, including drug-induced lupus. A less well-recognized drug-induced vasculitis can be seen, often accompanying drug-induced lupus. This syndrome can cause long-standing vague symptoms, leading to missed diagnoses, and can result in permanent end-organ damage. We describe here such a case of hydralazine-induced vasculitis and lupus overlap syndrome. <b>Case Presentation:</b> An 85-year old male presented with chronic fatigue and weight loss associated with anemia, leukopenia, and acute renal injury in the setting of longstanding hydralazine use. Serologic studies were notable for a positive antinuclear antibody, antihistone antibody, along with anti-myeloperoxidase (MPO) and anti-proteinase 3 (PR3) antibodies. Hydralazine was discontinued, and treatment was initiated with high-dose prednisone. A renal biopsy revealed antineutrophil cytoplasmic antibody (ANCA)-associated focal necrotizing pauci-immune glomerulonephritis. The patient's clinical course was complicated by the development of oral ulcerations and recurrent hydrocele secondary to serositis. Rituximab was then employed without clinical improvement, with eventual progression to end-stage renal disease requiring hemodialysis. <b>Conclusions:</b> This case report helps highlight the vague symptoms that can be associated with hydralazine-induced vasculitis/lupus overlap syndrome. This case will increase clinician awareness for early recognition of such a syndrome, prompting early diagnosis, preventing end-organ damage, reducing hospitalizations and improving quality of life.</p>","PeriodicalId":9622,"journal":{"name":"Case Reports in Rheumatology","volume":"2025 ","pages":"9276592"},"PeriodicalIF":0.0000,"publicationDate":"2025-04-09","publicationTypes":"Journal Article","fieldsOfStudy":null,"isOpenAccess":false,"openAccessPdf":"https://www.ncbi.nlm.nih.gov/pmc/articles/PMC12003037/pdf/","citationCount":"0","resultStr":"{\"title\":\"A Case of Hydralazine-Induced ANCA Vasculitis/Lupus Overlap Syndrome Presenting as Persistent Bicytopenia.\",\"authors\":\"Madiha Naqsh Siddiqui, Stephanie Norris\",\"doi\":\"10.1155/crrh/9276592\",\"DOIUrl\":null,\"url\":null,\"abstract\":\"<p><p><b>Background:</b> Hydralazine is a commonly used arteriolar vasodilator that is associated with autoimmune side effects, including drug-induced lupus. A less well-recognized drug-induced vasculitis can be seen, often accompanying drug-induced lupus. This syndrome can cause long-standing vague symptoms, leading to missed diagnoses, and can result in permanent end-organ damage. We describe here such a case of hydralazine-induced vasculitis and lupus overlap syndrome. <b>Case Presentation:</b> An 85-year old male presented with chronic fatigue and weight loss associated with anemia, leukopenia, and acute renal injury in the setting of longstanding hydralazine use. Serologic studies were notable for a positive antinuclear antibody, antihistone antibody, along with anti-myeloperoxidase (MPO) and anti-proteinase 3 (PR3) antibodies. Hydralazine was discontinued, and treatment was initiated with high-dose prednisone. A renal biopsy revealed antineutrophil cytoplasmic antibody (ANCA)-associated focal necrotizing pauci-immune glomerulonephritis. The patient's clinical course was complicated by the development of oral ulcerations and recurrent hydrocele secondary to serositis. Rituximab was then employed without clinical improvement, with eventual progression to end-stage renal disease requiring hemodialysis. <b>Conclusions:</b> This case report helps highlight the vague symptoms that can be associated with hydralazine-induced vasculitis/lupus overlap syndrome. This case will increase clinician awareness for early recognition of such a syndrome, prompting early diagnosis, preventing end-organ damage, reducing hospitalizations and improving quality of life.</p>\",\"PeriodicalId\":9622,\"journal\":{\"name\":\"Case Reports in Rheumatology\",\"volume\":\"2025 \",\"pages\":\"9276592\"},\"PeriodicalIF\":0.0000,\"publicationDate\":\"2025-04-09\",\"publicationTypes\":\"Journal Article\",\"fieldsOfStudy\":null,\"isOpenAccess\":false,\"openAccessPdf\":\"https://www.ncbi.nlm.nih.gov/pmc/articles/PMC12003037/pdf/\",\"citationCount\":\"0\",\"resultStr\":null,\"platform\":\"Semanticscholar\",\"paperid\":null,\"PeriodicalName\":\"Case Reports in Rheumatology\",\"FirstCategoryId\":\"1085\",\"ListUrlMain\":\"https://doi.org/10.1155/crrh/9276592\",\"RegionNum\":0,\"RegionCategory\":null,\"ArticlePicture\":[],\"TitleCN\":null,\"AbstractTextCN\":null,\"PMCID\":null,\"EPubDate\":\"2025/1/1 0:00:00\",\"PubModel\":\"eCollection\",\"JCR\":\"\",\"JCRName\":\"\",\"Score\":null,\"Total\":0}","platform":"Semanticscholar","paperid":null,"PeriodicalName":"Case Reports in Rheumatology","FirstCategoryId":"1085","ListUrlMain":"https://doi.org/10.1155/crrh/9276592","RegionNum":0,"RegionCategory":null,"ArticlePicture":[],"TitleCN":null,"AbstractTextCN":null,"PMCID":null,"EPubDate":"2025/1/1 0:00:00","PubModel":"eCollection","JCR":"","JCRName":"","Score":null,"Total":0}
引用次数: 0

摘要

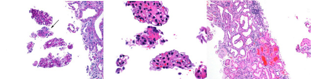
背景:海氮嗪是一种常用的动脉血管扩张剂,与自身免疫性副作用相关,包括药物性狼疮。一种不太为人所知的药物性血管炎,常伴随药物性狼疮。该综合征可引起长期的模糊症状,导致漏诊,并可导致永久性终末器官损伤。我们在此描述一例肼引起的血管炎和狼疮重叠综合征。病例介绍:一名85岁男性,长期使用肼嗪,慢性疲劳和体重减轻,伴有贫血、白细胞减少和急性肾损伤。血清学研究显示,抗核抗体、抗组蛋白抗体以及抗髓过氧化物酶(MPO)和抗蛋白酶3 (PR3)抗体均呈阳性。停用海氮嗪,开始使用大剂量强的松治疗。肾活检显示抗中性粒细胞胞浆抗体(ANCA)相关局灶性坏死性肾免疫肾小球肾炎。患者的临床过程因口腔溃疡和继发于浆液炎的复发性鞘膜积液的发展而复杂化。随后使用利妥昔单抗,临床无改善,最终进展为需要血液透析的终末期肾病。结论:本病例报告有助于强调与肼诱导的血管炎/狼疮重叠综合征相关的模糊症状。本病例将提高临床医生对此类综合征的早期识别意识,促进早期诊断,预防终末器官损伤,减少住院治疗,提高生活质量。
本文章由计算机程序翻译,如有差异,请以英文原文为准。

A Case of Hydralazine-Induced ANCA Vasculitis/Lupus Overlap Syndrome Presenting as Persistent Bicytopenia.

A Case of Hydralazine-Induced ANCA Vasculitis/Lupus Overlap Syndrome Presenting as Persistent Bicytopenia.

Background: Hydralazine is a commonly used arteriolar vasodilator that is associated with autoimmune side effects, including drug-induced lupus. A less well-recognized drug-induced vasculitis can be seen, often accompanying drug-induced lupus. This syndrome can cause long-standing vague symptoms, leading to missed diagnoses, and can result in permanent end-organ damage. We describe here such a case of hydralazine-induced vasculitis and lupus overlap syndrome. Case Presentation: An 85-year old male presented with chronic fatigue and weight loss associated with anemia, leukopenia, and acute renal injury in the setting of longstanding hydralazine use. Serologic studies were notable for a positive antinuclear antibody, antihistone antibody, along with anti-myeloperoxidase (MPO) and anti-proteinase 3 (PR3) antibodies. Hydralazine was discontinued, and treatment was initiated with high-dose prednisone. A renal biopsy revealed antineutrophil cytoplasmic antibody (ANCA)-associated focal necrotizing pauci-immune glomerulonephritis. The patient's clinical course was complicated by the development of oral ulcerations and recurrent hydrocele secondary to serositis. Rituximab was then employed without clinical improvement, with eventual progression to end-stage renal disease requiring hemodialysis. Conclusions: This case report helps highlight the vague symptoms that can be associated with hydralazine-induced vasculitis/lupus overlap syndrome. This case will increase clinician awareness for early recognition of such a syndrome, prompting early diagnosis, preventing end-organ damage, reducing hospitalizations and improving quality of life.

求助全文
通过发布文献求助,成功后即可免费获取论文全文。 去求助
来源期刊
自引率
0.00%
发文量
35
审稿时长
12 weeks
×
引用
GB/T 7714-2015
复制
MLA
复制
APA
复制
导出至
BibTeX EndNote RefMan NoteFirst NoteExpress
×
提示
您的信息不完整,为了账户安全,请先补充。
现在去补充
×
提示
您因"违规操作"
具体请查看互助需知
我知道了
×
提示
确定
请完成安全验证×
copy
已复制链接
快去分享给好友吧!
我知道了
右上角分享
点击右上角分享
0
联系我们:info@booksci.cn Book学术提供免费学术资源搜索服务,方便国内外学者检索中英文文献。致力于提供最便捷和优质的服务体验。 Copyright © 2023 布克学术 All rights reserved.
京ICP备2023020795号-1
ghs 京公网安备 11010802042870号
Book学术文献互助
Book学术文献互助群
群 号:604180095
Book学术官方微信