基于深度学习的非诊断性(GB-RADS 0)超声患者胆囊病变分类

IF 1.7 Q3 GASTROENTEROLOGY & HEPATOLOGY
Clinical and Experimental Hepatology Pub Date : 2024-12-01 Epub Date: 2024-12-11 DOI:10.5114/ceh.2024.145424
Pankaj Gupta, Ruby Siddiqui, Thakur D Yadav, Lileswar Kaman, Gaurav Prakash, Parikshaa Gupta, Uma N Saikia, Usha Dutta
{"title":"基于深度学习的非诊断性(GB-RADS 0)超声患者胆囊病变分类","authors":"Pankaj Gupta, Ruby Siddiqui, Thakur D Yadav, Lileswar Kaman, Gaurav Prakash, Parikshaa Gupta, Uma N Saikia, Usha Dutta","doi":"10.5114/ceh.2024.145424","DOIUrl":null,"url":null,"abstract":"<p><strong>Aim of the study: </strong>Non-diagnostic ultrasound (US) of the gallbladder may be due to various factors. We aimed to evaluate the diagnostic performance of deep learning-based classification of gallbladder lesions on US images in patients with non-diagnostic US secondary to gallbladder factors.</p><p><strong>Material and methods: </strong>Consecutive patients with non-diagnostic US due to calculi within the gallbladder lumen, obscuring the detailed evaluation, were identified by a research fellow from a prospective database of patients with gallbladder lesions. The US reports and images were evaluated by a radiologist blinded to the final diagnosis. Patients who had the final pathological diagnosis based on fine-needle aspiration cytology, percutaneous or endoscopic biopsy, or surgical histopathology were included. Convolution neural networks (ResNet50, GBCNet), transformer models (vision transformer [ViT], RadFormer), and a hybrid model (MedViT) were trained on a public gallbladder dataset (GBCU dataset). The performance of these models for classifying gallbladder lesions into benign and malignant was tested on non-diagnostic (GB-RADS 0) US images.</p><p><strong>Results: </strong>Training and validation cohorts (GBCU dataset) comprised 1004 and 251 images, respectively. The testing data (26 patients, mean age [SD]: 57.5 ±8.07 years, 17 female) comprised 304 images. The best performance for detection of GBC was achieved with GBCNet (sensitivity 51.1%, specificity 83.3%, area under the curve [AUC] 0.709) and MedViT (sensitivity 92.8%, specificity 50%, AUC 0.714). MedViT had the best accuracy (73.1%) for detecting benign gallbladder lesions.</p><p><strong>Conclusions: </strong>These results suggest that deep learning models can potentially stratify patients with non-diagnostic US. However, further improvement in the performance is needed to render this approach relevant in clinical practice.</p>","PeriodicalId":10281,"journal":{"name":"Clinical and Experimental Hepatology","volume":"10 4","pages":"232-239"},"PeriodicalIF":1.7000,"publicationDate":"2024-12-01","publicationTypes":"Journal Article","fieldsOfStudy":null,"isOpenAccess":false,"openAccessPdf":"https://www.ncbi.nlm.nih.gov/pmc/articles/PMC12022622/pdf/","citationCount":"0","resultStr":"{\"title\":\"Deep learning-based classification of gallbladder lesions in patients with non-diagnostic (GB-RADS 0) ultrasound.\",\"authors\":\"Pankaj Gupta, Ruby Siddiqui, Thakur D Yadav, Lileswar Kaman, Gaurav Prakash, Parikshaa Gupta, Uma N Saikia, Usha Dutta\",\"doi\":\"10.5114/ceh.2024.145424\",\"DOIUrl\":null,\"url\":null,\"abstract\":\"<p><strong>Aim of the study: </strong>Non-diagnostic ultrasound (US) of the gallbladder may be due to various factors. We aimed to evaluate the diagnostic performance of deep learning-based classification of gallbladder lesions on US images in patients with non-diagnostic US secondary to gallbladder factors.</p><p><strong>Material and methods: </strong>Consecutive patients with non-diagnostic US due to calculi within the gallbladder lumen, obscuring the detailed evaluation, were identified by a research fellow from a prospective database of patients with gallbladder lesions. The US reports and images were evaluated by a radiologist blinded to the final diagnosis. Patients who had the final pathological diagnosis based on fine-needle aspiration cytology, percutaneous or endoscopic biopsy, or surgical histopathology were included. Convolution neural networks (ResNet50, GBCNet), transformer models (vision transformer [ViT], RadFormer), and a hybrid model (MedViT) were trained on a public gallbladder dataset (GBCU dataset). The performance of these models for classifying gallbladder lesions into benign and malignant was tested on non-diagnostic (GB-RADS 0) US images.</p><p><strong>Results: </strong>Training and validation cohorts (GBCU dataset) comprised 1004 and 251 images, respectively. The testing data (26 patients, mean age [SD]: 57.5 ±8.07 years, 17 female) comprised 304 images. The best performance for detection of GBC was achieved with GBCNet (sensitivity 51.1%, specificity 83.3%, area under the curve [AUC] 0.709) and MedViT (sensitivity 92.8%, specificity 50%, AUC 0.714). MedViT had the best accuracy (73.1%) for detecting benign gallbladder lesions.</p><p><strong>Conclusions: </strong>These results suggest that deep learning models can potentially stratify patients with non-diagnostic US. However, further improvement in the performance is needed to render this approach relevant in clinical practice.</p>\",\"PeriodicalId\":10281,\"journal\":{\"name\":\"Clinical and Experimental Hepatology\",\"volume\":\"10 4\",\"pages\":\"232-239\"},\"PeriodicalIF\":1.7000,\"publicationDate\":\"2024-12-01\",\"publicationTypes\":\"Journal Article\",\"fieldsOfStudy\":null,\"isOpenAccess\":false,\"openAccessPdf\":\"https://www.ncbi.nlm.nih.gov/pmc/articles/PMC12022622/pdf/\",\"citationCount\":\"0\",\"resultStr\":null,\"platform\":\"Semanticscholar\",\"paperid\":null,\"PeriodicalName\":\"Clinical and Experimental Hepatology\",\"FirstCategoryId\":\"1085\",\"ListUrlMain\":\"https://doi.org/10.5114/ceh.2024.145424\",\"RegionNum\":0,\"RegionCategory\":null,\"ArticlePicture\":[],\"TitleCN\":null,\"AbstractTextCN\":null,\"PMCID\":null,\"EPubDate\":\"2024/12/11 0:00:00\",\"PubModel\":\"Epub\",\"JCR\":\"Q3\",\"JCRName\":\"GASTROENTEROLOGY & HEPATOLOGY\",\"Score\":null,\"Total\":0}","platform":"Semanticscholar","paperid":null,"PeriodicalName":"Clinical and Experimental Hepatology","FirstCategoryId":"1085","ListUrlMain":"https://doi.org/10.5114/ceh.2024.145424","RegionNum":0,"RegionCategory":null,"ArticlePicture":[],"TitleCN":null,"AbstractTextCN":null,"PMCID":null,"EPubDate":"2024/12/11 0:00:00","PubModel":"Epub","JCR":"Q3","JCRName":"GASTROENTEROLOGY & HEPATOLOGY","Score":null,"Total":0}
引用次数: 0

摘要

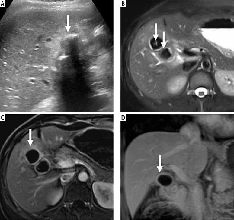
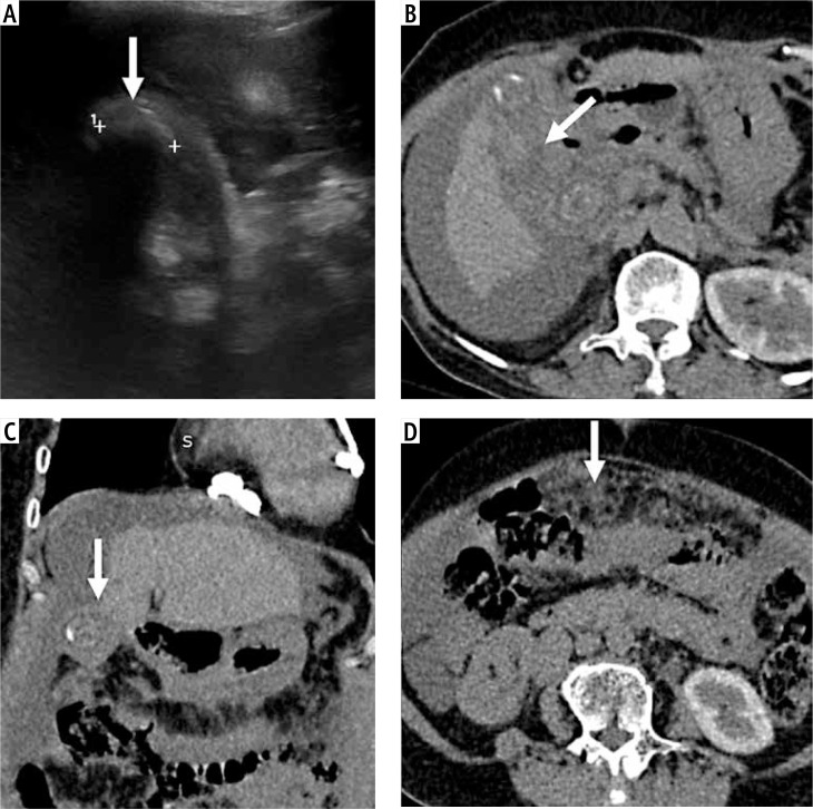
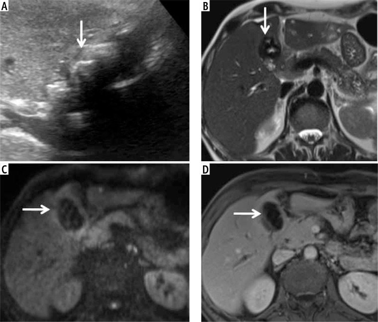
研究目的:胆囊超声诊断不准确可能是由多种因素引起的。我们的目的是评估基于深度学习的胆囊病变分类在超声图像上对继发于胆囊因素的非诊断性超声患者的诊断性能。材料和方法:一名研究员从前瞻性胆囊病变患者数据库中发现了由于胆囊腔内结石导致的连续的非诊断性超声患者,这些患者模糊了详细的评估。美国的报告和图像由一位不知道最终诊断的放射科医生评估。经细针穿刺细胞学、经皮或内窥镜活检或手术组织病理学诊断为最终病理诊断的患者被纳入研究。卷积神经网络(ResNet50, GBCNet),变压器模型(vision transformer [ViT], RadFormer)和混合模型(MedViT)在公共胆囊数据集(GBCU数据集)上进行训练。在非诊断性(GB-RADS 0) US图像上测试了这些模型对胆囊病变良恶性分类的性能。结果:训练队列和验证队列(GBCU数据集)分别包含1004张和251张图像。试验资料共26例,平均年龄[SD]: 57.5±8.07岁,女性17例,共304张图像。GBCNet(灵敏度51.1%,特异度83.3%,曲线下面积[AUC] 0.709)和MedViT(灵敏度92.8%,特异度50%,AUC 0.714)检测GBC效果最佳。MedViT检测胆囊良性病变的准确率最高(73.1%)。结论:这些结果表明,深度学习模型有可能对非诊断性US患者进行分层。然而,需要进一步提高性能,使这种方法在临床实践中相关。
本文章由计算机程序翻译,如有差异,请以英文原文为准。

Deep learning-based classification of gallbladder lesions in patients with non-diagnostic (GB-RADS 0) ultrasound.

Deep learning-based classification of gallbladder lesions in patients with non-diagnostic (GB-RADS 0) ultrasound.

Deep learning-based classification of gallbladder lesions in patients with non-diagnostic (GB-RADS 0) ultrasound.

Deep learning-based classification of gallbladder lesions in patients with non-diagnostic (GB-RADS 0) ultrasound.

Aim of the study: Non-diagnostic ultrasound (US) of the gallbladder may be due to various factors. We aimed to evaluate the diagnostic performance of deep learning-based classification of gallbladder lesions on US images in patients with non-diagnostic US secondary to gallbladder factors.

Material and methods: Consecutive patients with non-diagnostic US due to calculi within the gallbladder lumen, obscuring the detailed evaluation, were identified by a research fellow from a prospective database of patients with gallbladder lesions. The US reports and images were evaluated by a radiologist blinded to the final diagnosis. Patients who had the final pathological diagnosis based on fine-needle aspiration cytology, percutaneous or endoscopic biopsy, or surgical histopathology were included. Convolution neural networks (ResNet50, GBCNet), transformer models (vision transformer [ViT], RadFormer), and a hybrid model (MedViT) were trained on a public gallbladder dataset (GBCU dataset). The performance of these models for classifying gallbladder lesions into benign and malignant was tested on non-diagnostic (GB-RADS 0) US images.

Results: Training and validation cohorts (GBCU dataset) comprised 1004 and 251 images, respectively. The testing data (26 patients, mean age [SD]: 57.5 ±8.07 years, 17 female) comprised 304 images. The best performance for detection of GBC was achieved with GBCNet (sensitivity 51.1%, specificity 83.3%, area under the curve [AUC] 0.709) and MedViT (sensitivity 92.8%, specificity 50%, AUC 0.714). MedViT had the best accuracy (73.1%) for detecting benign gallbladder lesions.

Conclusions: These results suggest that deep learning models can potentially stratify patients with non-diagnostic US. However, further improvement in the performance is needed to render this approach relevant in clinical practice.

求助全文
通过发布文献求助,成功后即可免费获取论文全文。 去求助
来源期刊
Clinical and Experimental Hepatology
Clinical and Experimental Hepatology GASTROENTEROLOGY & HEPATOLOGY-
CiteScore
2.80
自引率
0.00%
发文量
32
期刊介绍: Clinical and Experimental Hepatology – quarterly of the Polish Association for Study of Liver – is a scientific and educational, peer-reviewed journal publishing original and review papers describing clinical and basic investigations in the field of hepatology.
×
引用
GB/T 7714-2015
复制
MLA
复制
APA
复制
导出至
BibTeX EndNote RefMan NoteFirst NoteExpress
×
提示
您的信息不完整,为了账户安全,请先补充。
现在去补充
×
提示
您因"违规操作"
具体请查看互助需知
我知道了
×
提示
确定
请完成安全验证×
copy
已复制链接
快去分享给好友吧!
我知道了
右上角分享
点击右上角分享
0
联系我们:info@booksci.cn Book学术提供免费学术资源搜索服务,方便国内外学者检索中英文文献。致力于提供最便捷和优质的服务体验。 Copyright © 2023 布克学术 All rights reserved.
京ICP备2023020795号-1
ghs 京公网安备 11010802042870号
Book学术文献互助
Book学术文献互助群
群 号:604180095
Book学术官方微信