安洛替尼治疗肺上皮样炎性肌成纤维细胞肉瘤1例。

IF 2.2 4区 医学 Q3 ONCOLOGY
Anti-Cancer Drugs Pub Date : 2025-09-01 Epub Date: 2025-05-12 DOI:10.1097/CAD.0000000000001731
Huanling Zeng, Xin Li, Shengli Chen, Jiajian Xu, Yue Xiao, Yuhua Zhao
{"title":"安洛替尼治疗肺上皮样炎性肌成纤维细胞肉瘤1例。","authors":"Huanling Zeng, Xin Li, Shengli Chen, Jiajian Xu, Yue Xiao, Yuhua Zhao","doi":"10.1097/CAD.0000000000001731","DOIUrl":null,"url":null,"abstract":"<p><p>Epithelioid inflammatory myofibroblastic sarcoma (EIMS) is a rare subtype of inflammatory myofibrosarcoma. Anlotinib has demonstrated efficacy in the treatment of sarcoma. Nevertheless, to our knowledge, its use in EIMS has not been reported. Herein, we present a case of pulmonary EIMS. The patient underwent two courses of chemotherapy with doxorubicin combined with ifosfamide; however, the treatment was switched to anlotinib due to leukocytopenia. After 11 months of treatment with anlotinib, the tumor was in partial remission. Subsequently, the patient developed an acute myocardial infarction, which resulted in the discontinuation of anlotinib. Four months after discontinuation, the tumor progressed and anlotinib therapy was resumed. Following treatment for 5 months, tumor assessment indicated partial remission until March 2024. During this period, the patient experienced an adverse effect (i.e. ostealgia), which led to two reductions in the dosage of anlotinib. This case report provides a novel strategy for treating EIMS.</p>","PeriodicalId":7969,"journal":{"name":"Anti-Cancer Drugs","volume":" ","pages":"678-681"},"PeriodicalIF":2.2000,"publicationDate":"2025-09-01","publicationTypes":"Journal Article","fieldsOfStudy":null,"isOpenAccess":false,"openAccessPdf":"https://www.ncbi.nlm.nih.gov/pmc/articles/PMC12329802/pdf/","citationCount":"0","resultStr":"{\"title\":\"Anlotinib for the treatment of pulmonary epithelioid inflammatory myofibroblastic sarcoma: a case report.\",\"authors\":\"Huanling Zeng, Xin Li, Shengli Chen, Jiajian Xu, Yue Xiao, Yuhua Zhao\",\"doi\":\"10.1097/CAD.0000000000001731\",\"DOIUrl\":null,\"url\":null,\"abstract\":\"<p><p>Epithelioid inflammatory myofibroblastic sarcoma (EIMS) is a rare subtype of inflammatory myofibrosarcoma. Anlotinib has demonstrated efficacy in the treatment of sarcoma. Nevertheless, to our knowledge, its use in EIMS has not been reported. Herein, we present a case of pulmonary EIMS. The patient underwent two courses of chemotherapy with doxorubicin combined with ifosfamide; however, the treatment was switched to anlotinib due to leukocytopenia. After 11 months of treatment with anlotinib, the tumor was in partial remission. Subsequently, the patient developed an acute myocardial infarction, which resulted in the discontinuation of anlotinib. Four months after discontinuation, the tumor progressed and anlotinib therapy was resumed. Following treatment for 5 months, tumor assessment indicated partial remission until March 2024. During this period, the patient experienced an adverse effect (i.e. ostealgia), which led to two reductions in the dosage of anlotinib. This case report provides a novel strategy for treating EIMS.</p>\",\"PeriodicalId\":7969,\"journal\":{\"name\":\"Anti-Cancer Drugs\",\"volume\":\" \",\"pages\":\"678-681\"},\"PeriodicalIF\":2.2000,\"publicationDate\":\"2025-09-01\",\"publicationTypes\":\"Journal Article\",\"fieldsOfStudy\":null,\"isOpenAccess\":false,\"openAccessPdf\":\"https://www.ncbi.nlm.nih.gov/pmc/articles/PMC12329802/pdf/\",\"citationCount\":\"0\",\"resultStr\":null,\"platform\":\"Semanticscholar\",\"paperid\":null,\"PeriodicalName\":\"Anti-Cancer Drugs\",\"FirstCategoryId\":\"3\",\"ListUrlMain\":\"https://doi.org/10.1097/CAD.0000000000001731\",\"RegionNum\":4,\"RegionCategory\":\"医学\",\"ArticlePicture\":[],\"TitleCN\":null,\"AbstractTextCN\":null,\"PMCID\":null,\"EPubDate\":\"2025/5/12 0:00:00\",\"PubModel\":\"Epub\",\"JCR\":\"Q3\",\"JCRName\":\"ONCOLOGY\",\"Score\":null,\"Total\":0}","platform":"Semanticscholar","paperid":null,"PeriodicalName":"Anti-Cancer Drugs","FirstCategoryId":"3","ListUrlMain":"https://doi.org/10.1097/CAD.0000000000001731","RegionNum":4,"RegionCategory":"医学","ArticlePicture":[],"TitleCN":null,"AbstractTextCN":null,"PMCID":null,"EPubDate":"2025/5/12 0:00:00","PubModel":"Epub","JCR":"Q3","JCRName":"ONCOLOGY","Score":null,"Total":0}
引用次数: 0

摘要

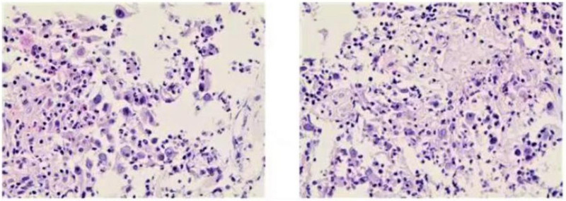
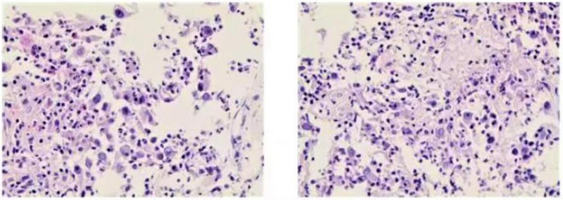
上皮样炎性肌纤维母细胞肉瘤(EIMS)是一种罕见的炎性肌纤维肉瘤亚型。安洛替尼已经证明了治疗肉瘤的有效性。然而,据我们所知,其在EIMS中的应用尚未见报道。在此,我们报告一例肺部EIMS。患者接受了阿霉素联合异环磷酰胺两个疗程的化疗;然而,由于白细胞减少,治疗转为安洛替尼。经过11个月的安洛替尼治疗,肿瘤部分缓解。随后,患者发生急性心肌梗死,导致anlotinib停药。停药4个月后,肿瘤进展,恢复安洛替尼治疗。治疗5个月后,肿瘤评估显示部分缓解,直至2024年3月。在此期间,患者出现了不良反应(即骨痛),这导致了anlotinib剂量的两次减少。本病例报告提供了一种治疗EIMS的新策略。
本文章由计算机程序翻译,如有差异,请以英文原文为准。

Anlotinib for the treatment of pulmonary epithelioid inflammatory myofibroblastic sarcoma: a case report.

Anlotinib for the treatment of pulmonary epithelioid inflammatory myofibroblastic sarcoma: a case report.

Anlotinib for the treatment of pulmonary epithelioid inflammatory myofibroblastic sarcoma: a case report.

Anlotinib for the treatment of pulmonary epithelioid inflammatory myofibroblastic sarcoma: a case report.

Anlotinib for the treatment of pulmonary epithelioid inflammatory myofibroblastic sarcoma: a case report.

Epithelioid inflammatory myofibroblastic sarcoma (EIMS) is a rare subtype of inflammatory myofibrosarcoma. Anlotinib has demonstrated efficacy in the treatment of sarcoma. Nevertheless, to our knowledge, its use in EIMS has not been reported. Herein, we present a case of pulmonary EIMS. The patient underwent two courses of chemotherapy with doxorubicin combined with ifosfamide; however, the treatment was switched to anlotinib due to leukocytopenia. After 11 months of treatment with anlotinib, the tumor was in partial remission. Subsequently, the patient developed an acute myocardial infarction, which resulted in the discontinuation of anlotinib. Four months after discontinuation, the tumor progressed and anlotinib therapy was resumed. Following treatment for 5 months, tumor assessment indicated partial remission until March 2024. During this period, the patient experienced an adverse effect (i.e. ostealgia), which led to two reductions in the dosage of anlotinib. This case report provides a novel strategy for treating EIMS.

求助全文
通过发布文献求助,成功后即可免费获取论文全文。 去求助
来源期刊
Anti-Cancer Drugs
Anti-Cancer Drugs 医学-药学
CiteScore
3.80
自引率
0.00%
发文量
244
审稿时长
3 months
期刊介绍: Anti-Cancer Drugs reports both clinical and experimental results related to anti-cancer drugs, and welcomes contributions on anti-cancer drug design, drug delivery, pharmacology, hormonal and biological modalities and chemotherapy evaluation. An internationally refereed journal devoted to the fast publication of innovative investigations on therapeutic agents against cancer, Anti-Cancer Drugs aims to stimulate and report research on both toxic and non-toxic anti-cancer agents. Consequently, the scope on the journal will cover both conventional cytotoxic chemotherapy and hormonal or biological response modalities such as interleukins and immunotherapy. Submitted articles undergo a preliminary review by the editor. Some articles may be returned to authors without further consideration. Those being considered for publication will undergo further assessment and peer-review by the editors and those invited to do so from a reviewer pool.
×
引用
GB/T 7714-2015
复制
MLA
复制
APA
复制
导出至
BibTeX EndNote RefMan NoteFirst NoteExpress
×
提示
您的信息不完整,为了账户安全,请先补充。
现在去补充
×
提示
您因"违规操作"
具体请查看互助需知
我知道了
×
提示
确定
请完成安全验证×
copy
已复制链接
快去分享给好友吧!
我知道了
右上角分享
点击右上角分享
0
联系我们:info@booksci.cn Book学术提供免费学术资源搜索服务,方便国内外学者检索中英文文献。致力于提供最便捷和优质的服务体验。 Copyright © 2023 布克学术 All rights reserved.
京ICP备2023020795号-1
ghs 京公网安备 11010802042870号
Book学术文献互助
Book学术文献互助群
群 号:604180095
Book学术官方微信